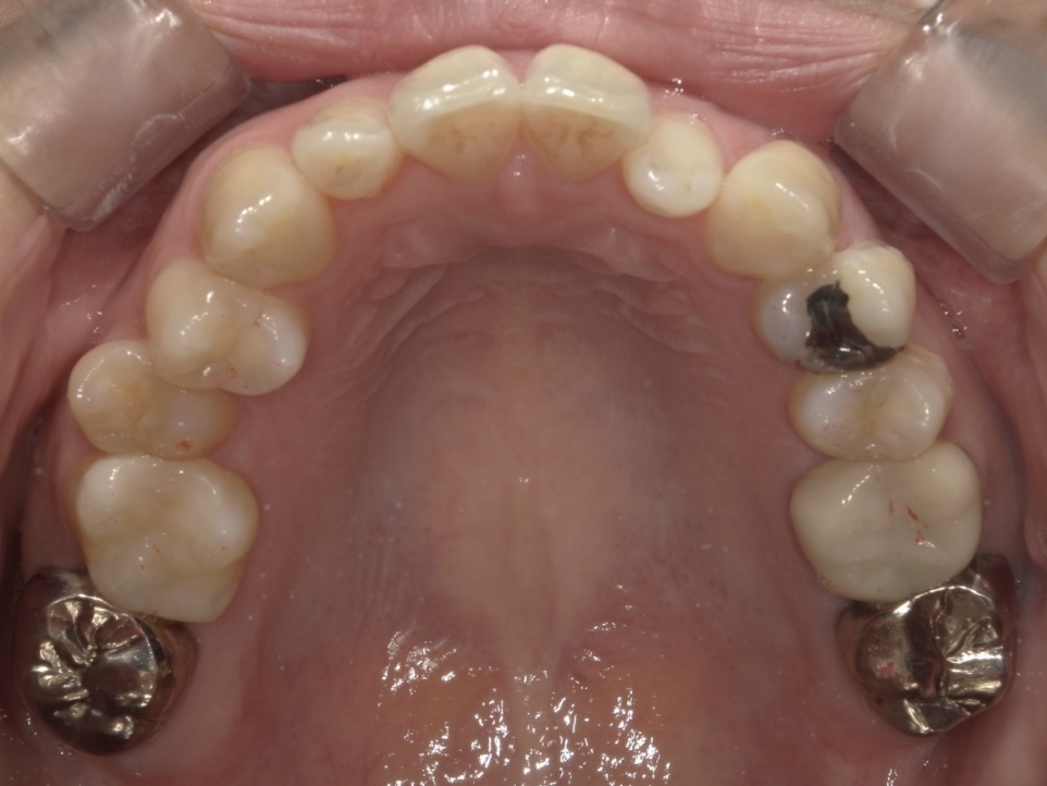
30代女性 ガタガタが気になる
長年歯並びに悩まれており、遠方よりご相談にいらしてくださいました。2年という期間で綺麗な歯並びに整えることができた症例です。
					BEFORE
					AFTER
				
				
				
                                                                                
                                
                                
                                
                                
                                
                                | 年齢・性別 | 30代女性 | 
|---|---|
| 主訴 | 叢生 | 
| 施術内容 | 歯全体のマウスピース矯正システム「インビザラインフル」を用いた治療 | 
| 治療期間 | 2年 | 
| 費用 | 924,000円(税込) | 
| リスク/副作用 | 全ての方で、疼痛、咬合痛、歯根吸収、歯肉退縮、歯髄壊死が生じる可能性があります。 | 
| その他注意点 | 指定した時間、マウスピースをつけていただけない場合は治療期間が長くなる場合があります。 | 
