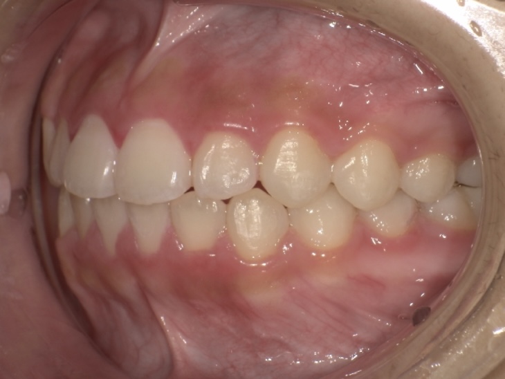
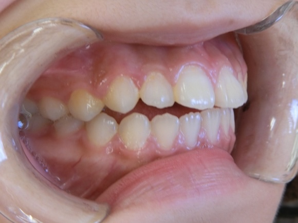
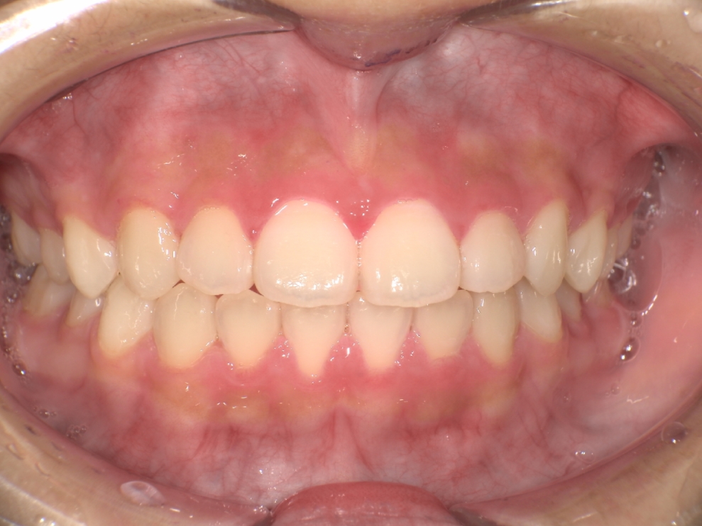
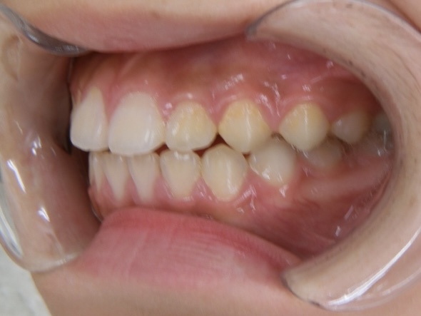
10歳女児 開咬が気になる

10歳の女の子の患者様です。前歯がかみ合わず、食べ物を前歯でかみ切ることが難しい「開咬」の状態でした。

まずプレオルソを5か月間使い、口の周りの筋肉のバランスを整えたうえで、その後インビザライン・ファーストで1年9か月治療を行いました。

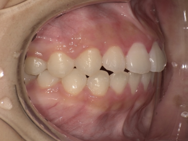
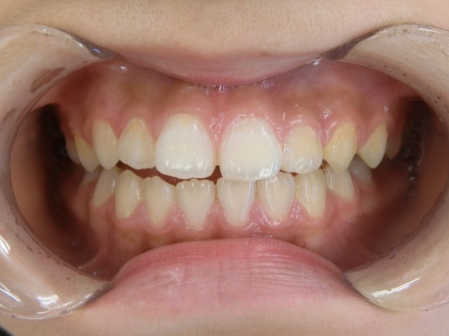
治療の結果、上下の前歯がしっかりとかみ合うようになり、食べ物を前歯でかみ切れるようになりました。見た目も自然でバランスの良い歯並びになり、笑顔に自信を持っていただけるようになりました。

BEFORE AFTER
Before 1
After 1
Before 2
After 2
Before 3
After 3
年齢・性別 10歳女児
主訴 開咬
施術内容 プレオルソ+インビザラインファースト
治療期間 2年4ヶ月
費用 594,000円(税込)
リスク/副作用 全ての方で、疼痛、咬合痛、歯根吸収、歯肉退縮、歯髄壊死が生じる可能性があります。
その他注意点 指定した時間、マウスピースをつけていただけない場合は治療期間が長くなる場合があります。
症例実績一覧へ戻る