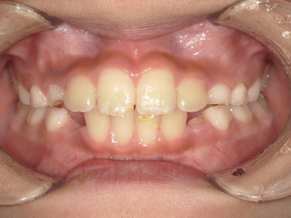
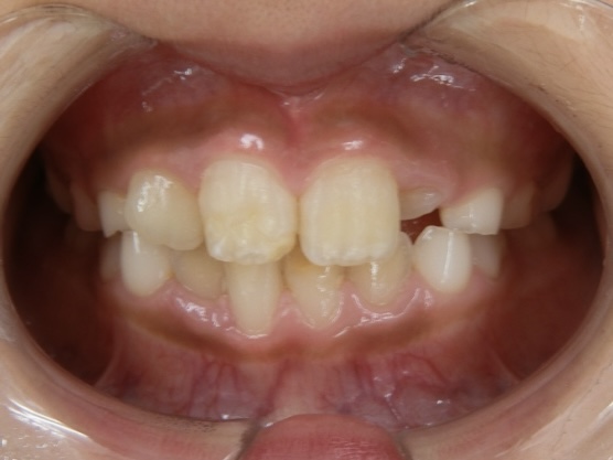
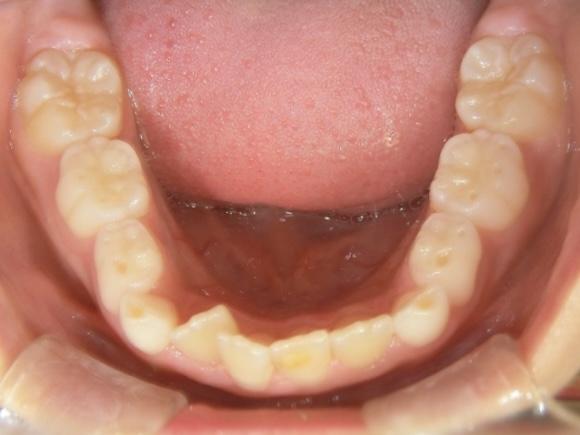
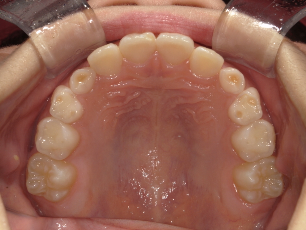
8歳女児 ガタガタが気になる

ご家族皆様で通院してくださっている患者様です。
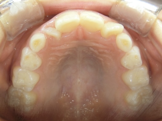
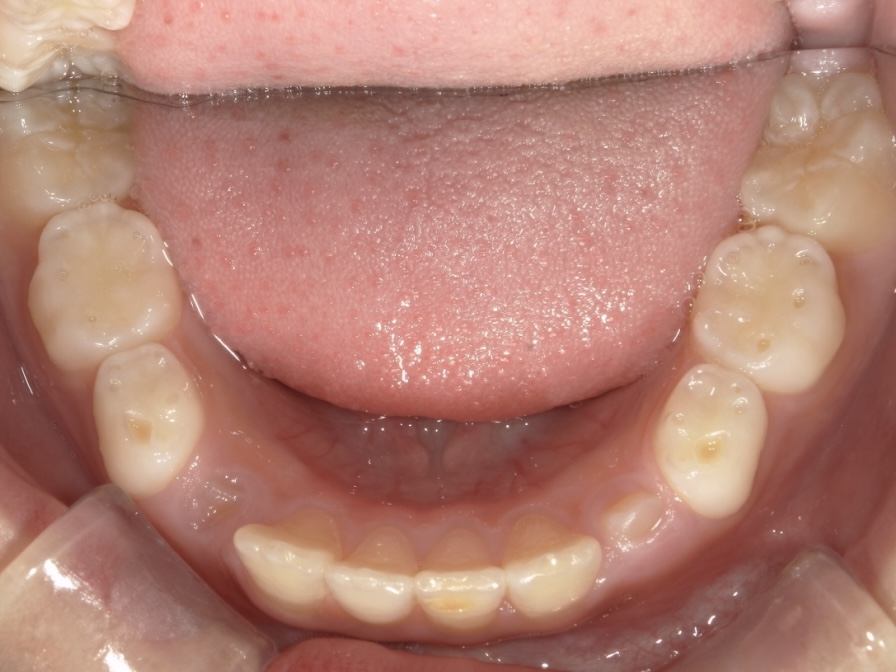
永久歯が生えるスペース不足によるガタガタの歯並びを気にされていました。
原因根本から改善するプレオルソと目立たないマウスピース矯正インビザラインファーストを噛み合わせ、1年3ヶ月という短期間で美しい歯並びへ。
現在もご家族皆さまでメインテナンスに通ってくださっています。

BEFORE AFTER
Before 1
After 1
Before 2
After 2
Before 3
After 3
年齢・性別 8歳女児
主訴 ガタガタ、永久歯萌出スペース不足
施術内容 プレオルソ+インビザライン
治療期間 1年3ヶ月
費用 594,000円(税込)
リスク/副作用 全ての方で、疼痛、咬合痛、歯根吸収、歯肉退縮、歯髄壊死が生じる可能性があります。
その他注意点 指定した時間、マウスピースをつけていただけない場合は治療期間が長くなる場合があります。
症例実績一覧へ戻る