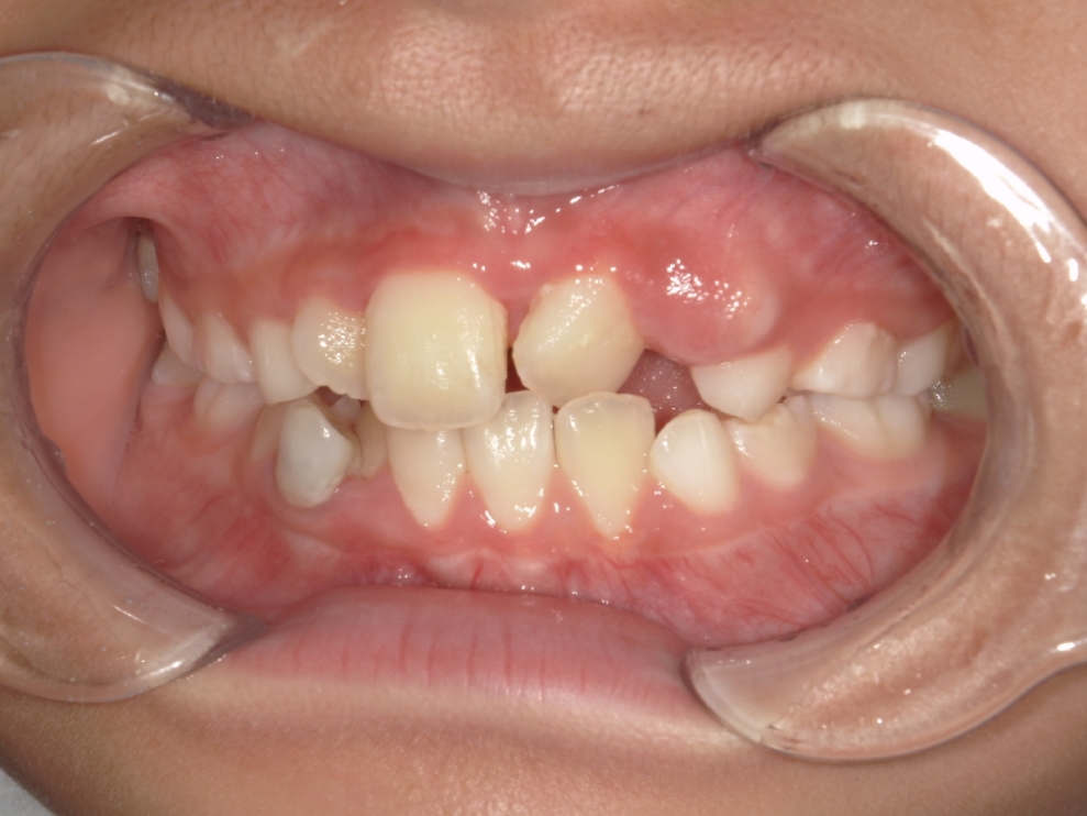
8歳女児 ガタガタが気になる
上前歯のガタガタを改善したいとご来院されました。
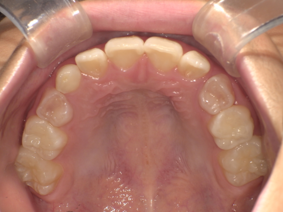
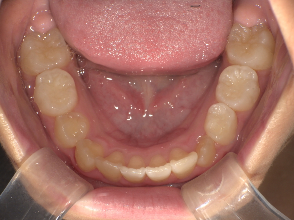
痛みが少なく、目立たないマウスピース矯正インビザラインファーストを用いて矯正治療を行い、1年11ヶ月という短期間で美しい歯並びに改善されました。
BEFORE
AFTER






年齢・性別 | 8歳女児 |
---|---|
主訴 | ガタガタした歯並びが気になる |
施術内容 | インビザラインファースト |
治療期間 | 1年11ヶ月 |
費用 | 594,000円(税込) |
リスク/副作用 | 全ての方で、疼痛、咬合痛、歯根吸収、歯肉退縮、歯髄壊死が生じる可能性があります。 |
その他注意点 | 指定した時間、マウスピースをつけていただけない場合は治療期間が長くなる場合があります。 |