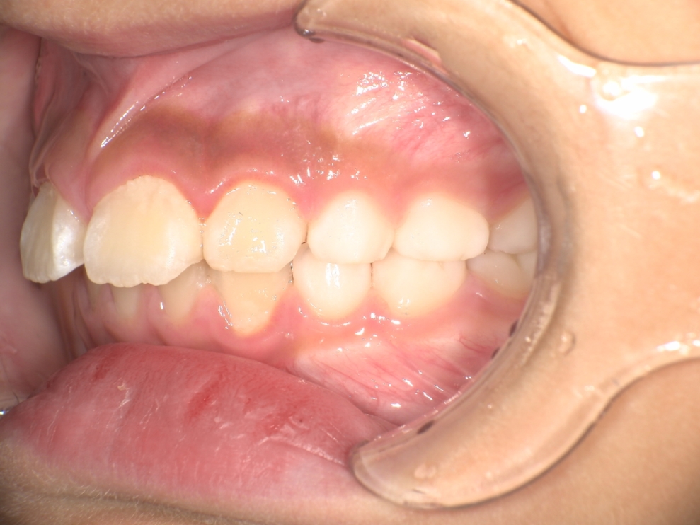
8歳男児 出っ歯・すきっ歯が気になる
出っ歯とすきっ歯を見た目が目立ない方法で改善したいとご相談いただきました。
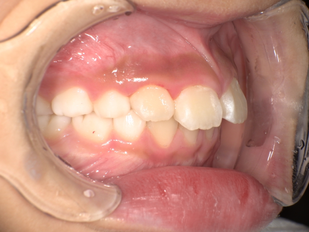
目立たないマウスピース矯正インビザラインファーストで治療を行い、1年6ヶ月で健康で美しいに改善されました。
BEFORE
AFTER






年齢・性別 | 8歳男児 |
---|---|
主訴 | 出っ歯・すきっ歯 |
施術内容 | インビザラインファースト |
治療期間 | 1年半 |
費用 | 594,000円(税込) |
リスク/副作用 | 全ての方で、疼痛、咬合痛、歯根吸収、歯肉退縮、歯髄壊死が生じる可能性があります。 |
その他注意点 | 指定した時間、マウスピースをつけていただけない場合は治療期間が長くなる場合があります。 |