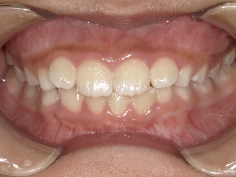
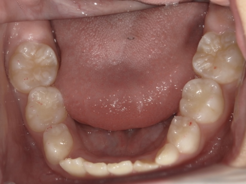
9歳男児 永久歯が生えるスペースがない
永久歯が生えるスペースがなく、このままではガタガタした歯並びになるのではとご相談いただきました。
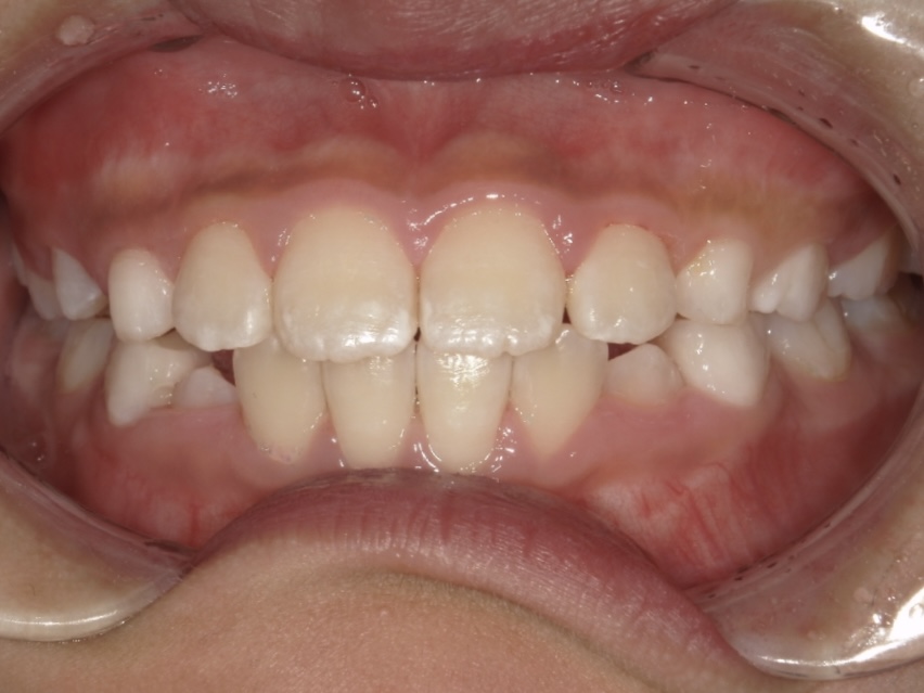
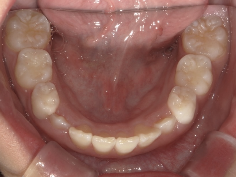
マウスピース矯正インビザラインファーストを用いて、歯を抜くことなく、成長を利用して歯列を拡大。
2年かからず綺麗な歯並びに導くことができました。
BEFORE
AFTER






年齢・性別 | 9歳男児 |
---|---|
主訴 | 永久歯が生えるスペースがなく、今後ガタガタするのが心配 |
施術内容 | インビザラインファースト |
治療期間 | 1年11ヶ月 |
費用 | 594,000円(税込) |
リスク/副作用 | 全ての方で、疼痛、咬合痛、歯根吸収、歯肉退縮、歯髄壊死が生じる可能性があります。 |
その他注意点 | 指定した時間、マウスピースをつけていただけない場合は治療期間が長くなる場合があります。 |