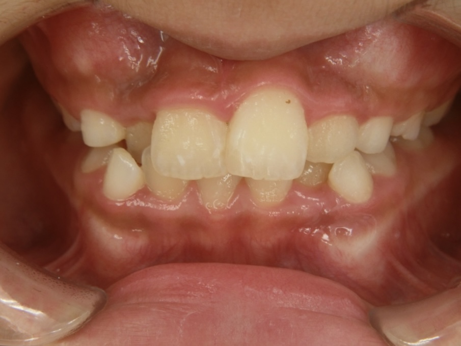
9歳男児 ガタガタと噛み合わせが気になる
9歳の男の子の症例です。
主訴は「ガタガタした歯並び」と一部の歯が交叉してかみ合っている状態「交叉咬合」でした。
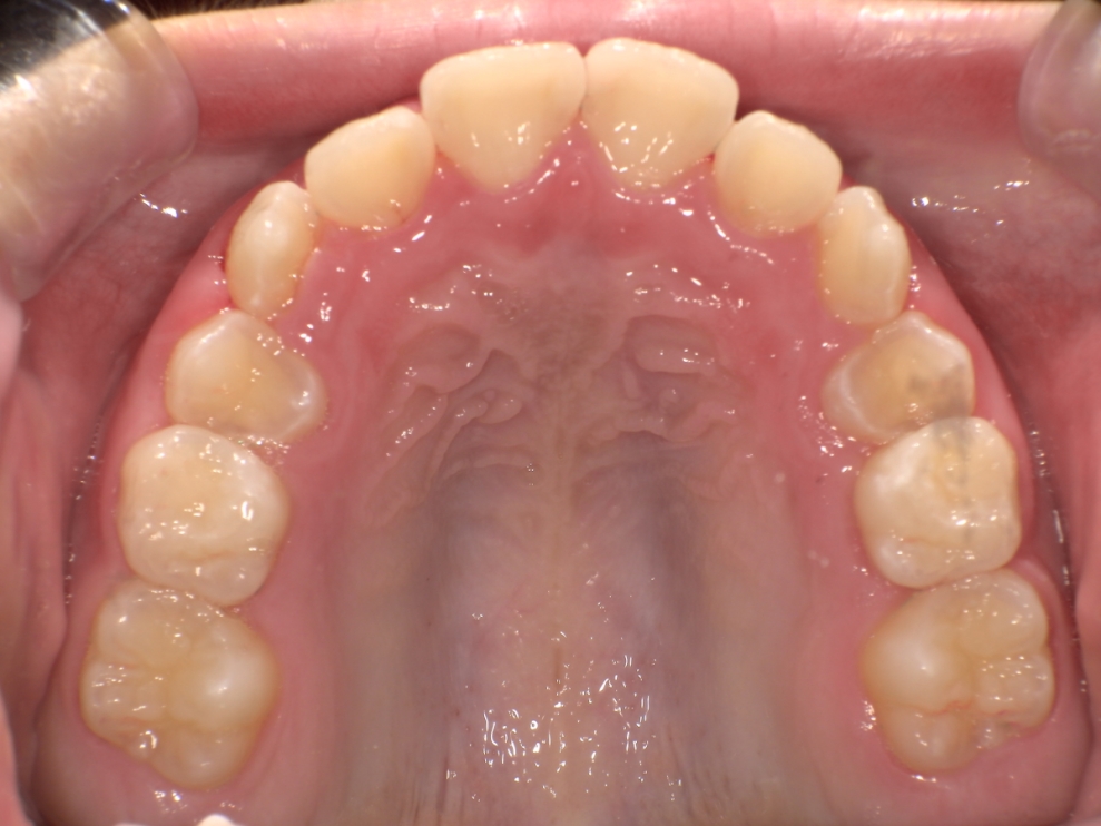
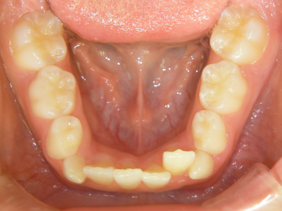
インビザラインファーストを使って1年5か月治療を行った結果、健康な噛み合わせと綺麗な歯並びに導くことができました。
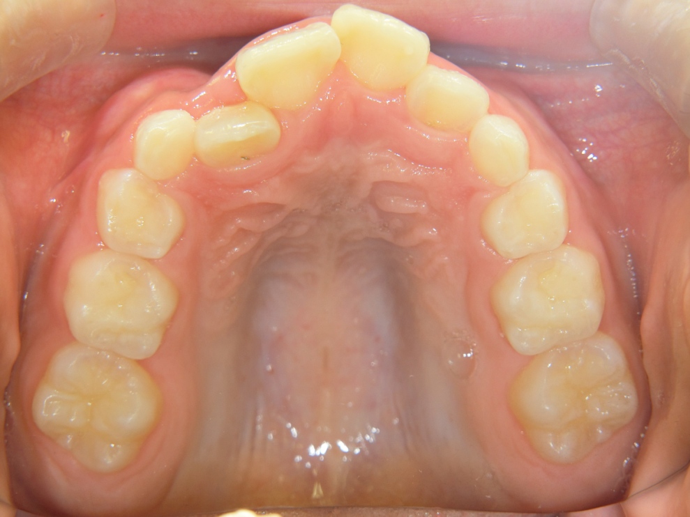
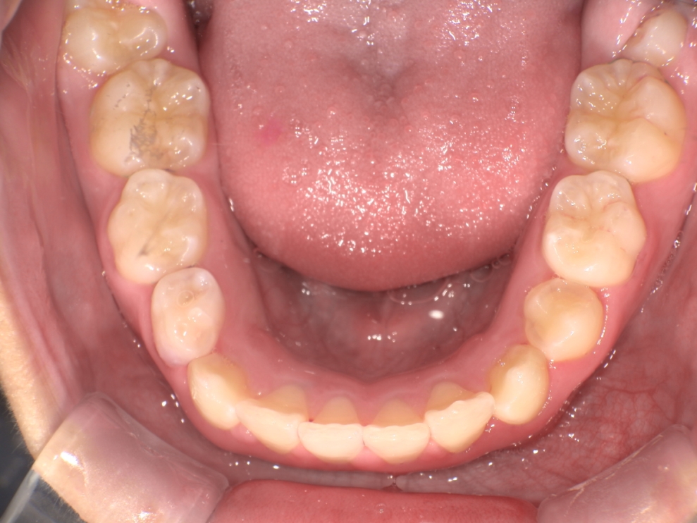
BEFORE
AFTER






年齢・性別 | |
---|---|
主訴 | ガタガタ、噛み合わせが悪い |
施術内容 | インビザラインファースト |
治療期間 | 1年5ヶ月 |
費用 | 594,000円(税込) |
リスク/副作用 | 全ての方で、疼痛、咬合痛、歯根吸収、歯肉退縮、歯髄壊死が生じる可能性があります。 |
その他注意点 | 指定した時間、マウスピースをつけていただけない場合は治療期間が長くなる場合があります。 |