担当医紹介
担当医紹介
矯正治療を検討する中で、
「抜歯は必要なのか」「本当にきれいに仕上がるのか」と悩まれている方は多いのではないでしょうか。
実はマウスピース矯正治療は、装置以上に担当する医師の診断力や治療方針によって結果が大きく変わります。
当院では、見た目だけでなく顔全体のバランスや将来の安定性まで見据えた矯正治療を行っています。
本ページでは、担当医の実績とともに、治療に対する考え方をご紹介します。
- 顎咬合学会認定医
- インビザライン認定医
- 2022年 インビザライン社公認プラチナエリートドクター
- 2023年 インビザライン社公認ダイヤモンドステータスドクター
- 2023年 歯科医師40名にインビザラインについて講演
- 2024年 インビザライン社公認ダイヤモンドステータスドクター(2年連続)
- 2024年 歯科医師30名にインビザラインファーストについて講演
- 2025年 インビザライン社公認ダイヤモンドステータスドクター(3年連続)
- 2025年 インビザライングローバルトップドクター選出(日本でわずか30名)
- 2025年 インビザライン社公認講師に選出(全国で38名の内、広島県で1名)
- 2026年 インビザライン社公認ダイヤモンドエリートステータスドクター
担当医紹介|実績と専門性
矯正担当医の野崎雄介は、マウスピース矯正において豊富な症例実績を持ち、インビザラインにおける上位認定を複数年にわたり取得しています。
さらに、歯科医師向けの講演やセミナーにも登壇し、技術指導を行う立場としても活動しています。
これは単なる経験数だけでなく、治療の質や設計力が評価されている証です。
また、世界的に評価されるドクターが集まる国際的な場にも選出されており、国内外から高い評価を受けています。
主な実績・活動歴
- インビザライン ダイヤモンドステータスドクター(複数年)
- インビザライン グローバルトップドクター選出(日本でわずか30名)
- インビザライン社公認講師に選出(全国で38名)
- 歯科医師向け講演・セミナー登壇実績あり
治療方針|抜歯・非抜歯をどう考えるか
矯正治療において「抜歯をするかどうか」は非常に重要な判断です。
しかし、どちらが正解というものではなく、患者様一人ひとりで最適な選択は異なります。
当院では、歯並びだけでなく口元のバランス・噛み合わせ・将来的な安定性まで考慮し、総合的に治療方針を決定しています。
非抜歯矯正への対応
「できれば歯を抜きたくない」というご希望に対しては、IPRや奥歯の後方移動などを組み合わせることで、抜歯を回避できる可能性を広げています。
また、歯を段階的にコントロールすることで、シミュレーションとのズレを抑え、追加アライナーのリスクを軽減しています。
抜歯矯正の判断
一方で、無理に非抜歯にこだわることで口元の突出感が残る場合もあります。
そのため、セファロ分析などを用いて骨格や横顔のバランスを評価し、必要に応じて抜歯を選択します。治療前にはシミュレーションを共有し、ゴールを明確にした上で治療を進めます。
難症例への対応|他院で迷われている方へ
「マウスピース矯正では難しいと言われた」
「抜歯しかないと言われたが不安」
このように、他院で治療方針に迷われている方からのご相談も多くいただいています。
矯正治療は、同じ症例でも診断や設計によって結果が大きく変わるため、医院によって提案内容が異なることは珍しくありません。
対応している症例
たとえば以下のような症例にも対応しています。
- 前歯が大きく前に出ている「出っ歯」
- 歯が重なり合う「ガタガタ(叢生)」
- 噛み合わせが逆になる「受け口」
- 前歯が噛み合わない「開咬」
これらは一見するとマウスピース矯正が難しいと判断されることもありますが、診断と設計によって対応できるケースもあります。
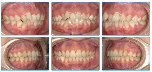
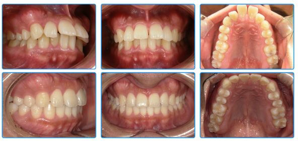
症例実例はこちら難症例に対応できる理由
難しい症例を成功に導くためには、
- 骨格や歯の動きを正確に読み取る診断力
- シミュレーションを設計する分析力
- 治療中の微調整を行う管理力
が重要になります。
当院ではこれまでの豊富な症例経験とデジタル技術を組み合わせることで、複雑なケースにも対応しています。
インビザライン治療で差が出る理由
インビザライン矯正は「どこで受けても同じ」と思われがちですが、実際には担当する歯科医師によって結果に大きな差が出ます。
特に重要なのが、診断力・治療設計(クリンチェック)・経過管理です。
当院では、治療計画を立てた医師が最後まで責任を持って担当し、毎回の診察でも細かな調整を行います。
これにより、計画と実際のズレを最小限に抑え、より精度の高い治療を実現しています。
担当医からのメッセージ
のざき歯科・東広島おとなこども矯正歯科で矯正治療を担当しております、副院長の野崎雄介と申します。
「当院に通ってくださる患者さんには、歯のことで困ることなく、幸せになってほしい」
その想いで日々、歯科医療と矯正治療に向き合っています。
歯並びを整えることは、見た目が美しくなるだけでなく、噛み合わせの改善や全身の健康にもつながります。
特に、顎の成長が期待できるお子さまの時期に、お口ポカンや口呼吸を改善し、歯並びを整えることは非常に大きな価値があります。
また、インビザライン矯正は担当する歯科医師の診断力や設計力によって結果が大きく変わる治療です。
当院では、治療開始から終了まで必ず私が責任を持って経過を確認し、最適な治療を提供いたします。
歯並びにお悩みの方は、まずはお気軽に無料矯正相談にお越しください。
一緒に、より良い未来をつくっていきましょう。
まとめ|矯正は「誰に任せるか」で変わる
矯正治療は、担当医の診断力と治療方針によって結果が大きく左右されます。
当院では、抜歯・非抜歯の判断から難症例への対応まで、一人ひとりに合わせた治療を大切にしています。
他院で迷われている方や、納得できる治療を受けたい方も、まずは一度ご相談ください。
まずはお気軽に無料相談へお越しください!
