20代女性 八重歯が気になる
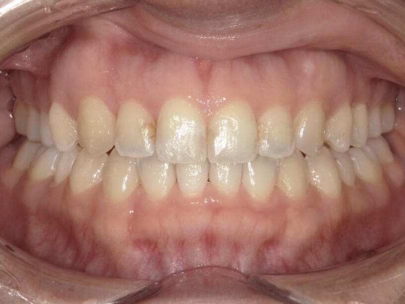
20代女性の患者さまで、八重歯を主訴にご相談に来院されました。結婚式を控えており、「式までに歯並びをきれいにしたい」という明確な目標を持って治療を検討されていました。
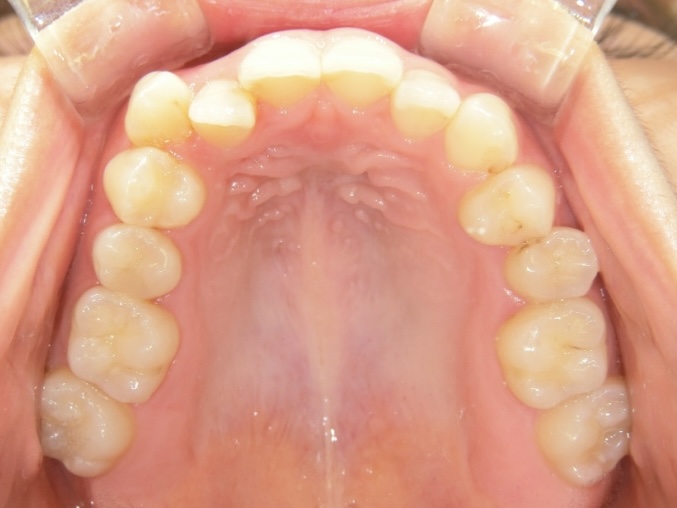
治療では、挙式までのスケジュールを考慮しながら計画を立て、マウスピース矯正で治療を進めました。その結果、治療期間は約1年で歯並びが整い、きれいな歯並びで前撮りと結婚式を迎えていただくことができました。
治療後には、「理想の歯並びで大切な日を迎えることができて感謝しています」とのお言葉をいただき、私たちスタッフ一同も本当に嬉しく思っています。また、計画通りに治療を進めることができたのは、患者さまが日々しっかりと装置を装着し、前向きに治療に取り組んでくださったおかげでもあります。
BEFORE
AFTER
| 年齢・性別 | 20代女性 |
|---|---|
| 主訴 | 八重歯を結婚式までに綺麗にしたい |
| 施術内容 | 歯全体のマウスピース矯正システム「インビザラインフル」を用いた治療 |
| 治療期間 | 1年 |
| 費用 | 歯全体のマウスピース矯正システム「インビザラインフル」を用いた治療 |
| リスク/副作用 | 全ての方で、疼痛、咬合痛、歯根吸収、歯肉退縮、歯髄壊死が生じる可能性があります。 |
| その他注意点 | 指定した時間、マウスピースをつけていただけない場合は治療期間が長くなる場合があります。 |

ガタガタ・八重歯
出っ歯
受け口
すきっ歯
開咬
深い噛み合わせ
〜11歳
12〜19歳
20〜29歳
30〜39歳
40〜49歳
50歳〜