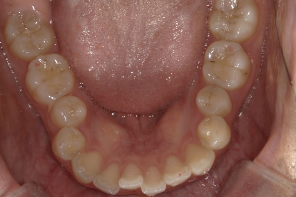
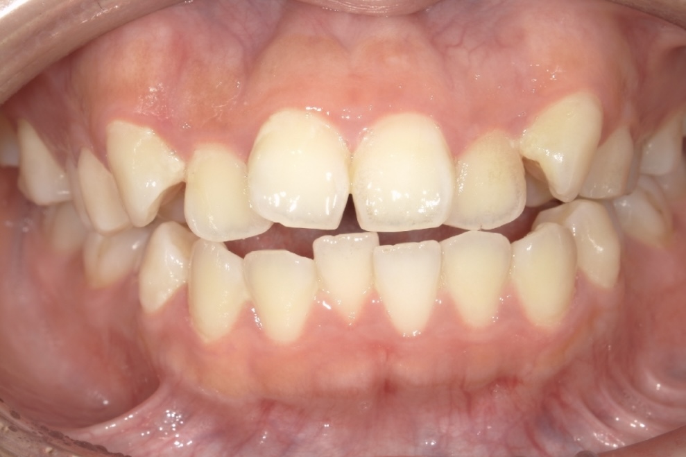
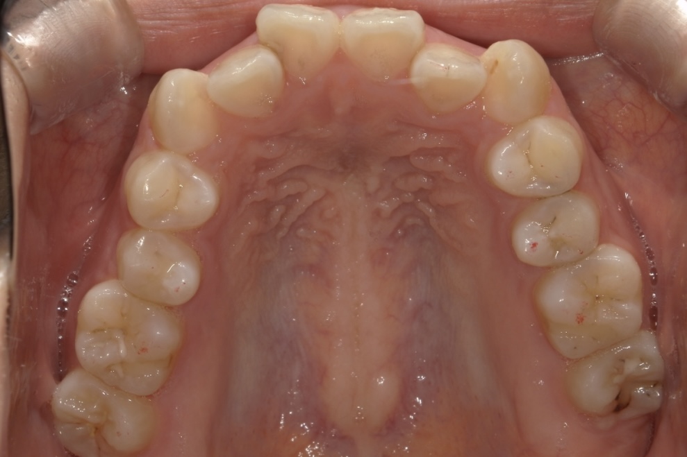
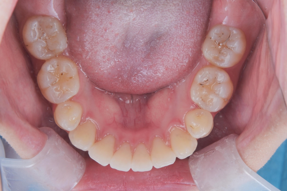
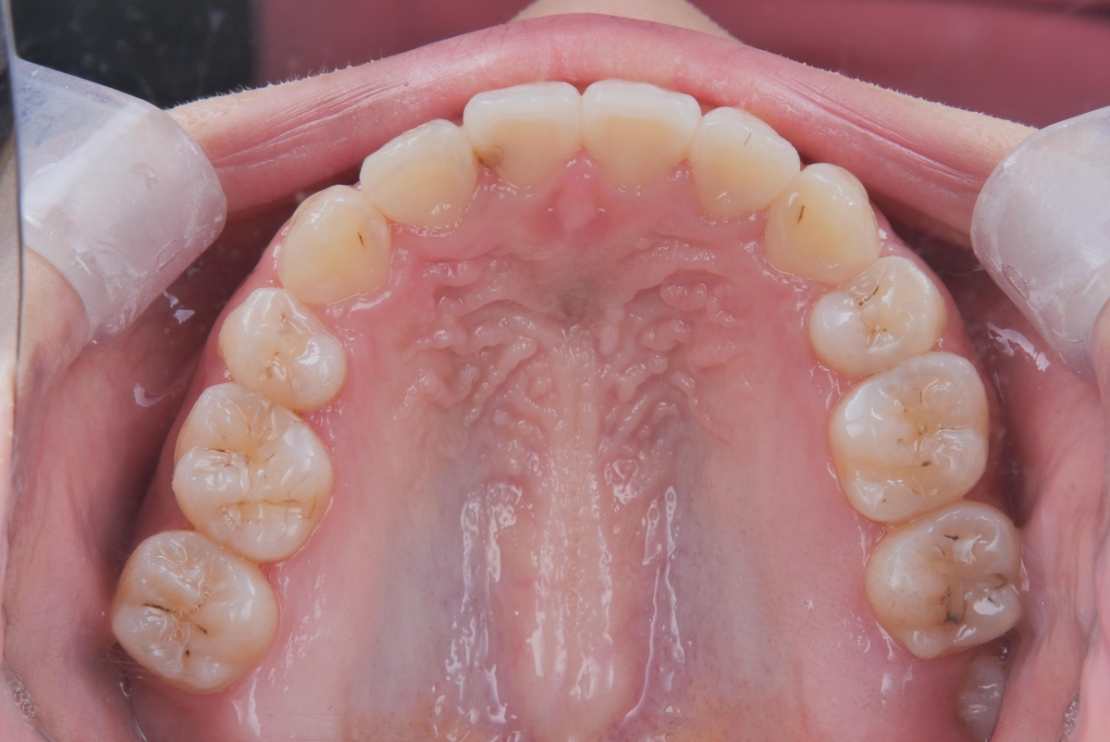
大学生女性 八重歯と噛み合わせが気になる
こちらの症例は大学生の女性の患者さまで、「八重歯」や「上の前歯のガタつき」を主訴にご相談に来院されました。
また、以前から噛み合わせが悪いと言われてきたことも気にされており、治療にあたっては、できるだけ目立たず、痛みの少ない方法での矯正を希望されていました。
幼少期より噛み合わせについて指摘を受けてきたそうで、子どもの頃にはマウスピースによる治療を経験されたそうですが、十分な改善には至らなかったとのことです。
大学生となり比較的時間に余裕がある今のうちに、あらためてしっかりと治したいと考えられ、ご相談にいらっしゃいました。
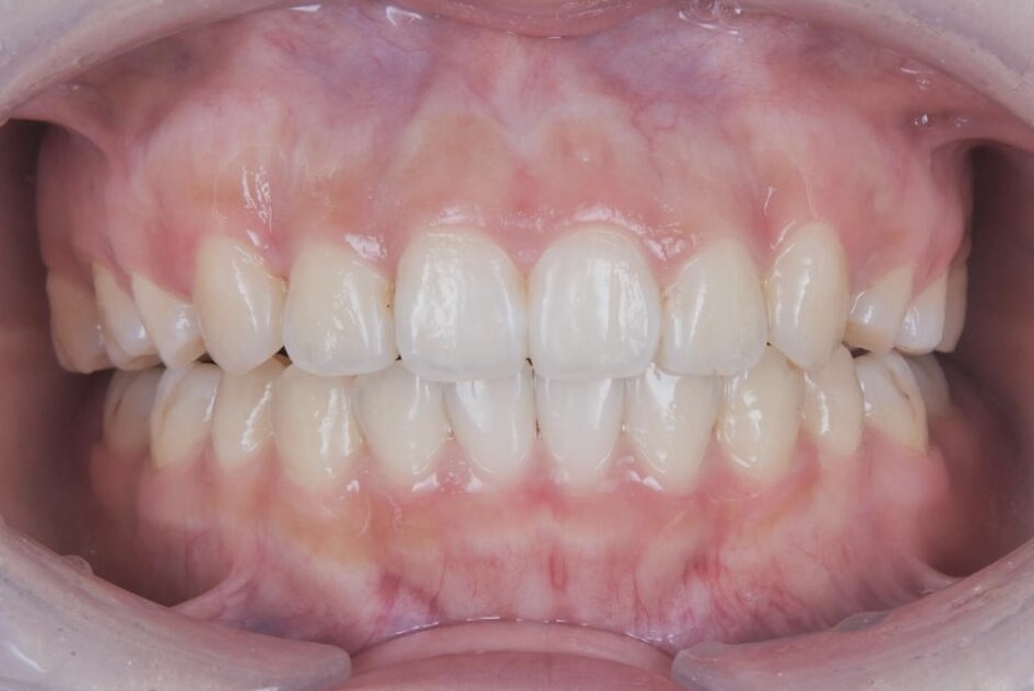
本症例では、歯並びだけでなく噛み合わせ全体のバランスを重視しながら治療を進め、治療期間は3年となりました。大学在学中に治療を終えることができ、見た目と機能の両面で改善が得られた症例です。
この症例のように、大学生や社会人の方からは「学業や仕事、日常生活に支障を出さずに治療したい」「できるだけ痛みを抑えたい」「周囲に気づかれずに矯正したい」といったご希望を多くいただきます。
マウスピース矯正は、こうしたライフスタイルを大切にしながら歯並びを整えたい方にとって、非常に相性の良い治療方法だと考えております。
また、過去に矯正治療を経験したものの十分な改善が得られなかった方や、成長とともに歯並びや噛み合わせの変化を感じ始めた方が、あらためて治療を検討されるケースも少なくありません。
当院では、患者さま一人ひとりの治療歴やご希望、ライフステージを丁寧にお伺いし、見た目だけでなく噛み合わせの機能面も重視した治療計画をご提案しています。
「今さら矯正しても遅いのでは」「治療期間が長くなるのが不安」と感じている方でも、適切な診断と計画によって、無理なく治療を進めることが可能です。
大学生のうちに、あるいは社会人としての生活を続けながら、自然で美しい口元と快適な噛み合わせを目指したい方は、ぜひ一度ご相談ください。
| 年齢・性別 | 大学生女性 |
|---|---|
| 主訴 | 八重歯、前歯のガタガタ、噛み合わせが気になる |
| 施術内容 | 歯全体のマウスピース矯正システム「インビザラインアドバンス」を用いた治療 |
| 治療期間 | 3年 |
| 費用 | 1,034,000円(税込) |
| リスク/副作用 | 全ての方で、疼痛、咬合痛、歯根吸収、歯肉退縮、歯髄壊死が生じる可能性があります。 |
| その他注意点 | 指定した時間、マウスピースをつけていただけない場合は治療期間が長くなる場合があります。 |

ガタガタ・八重歯
出っ歯
受け口
すきっ歯
開咬
深い噛み合わせ
〜11歳
12〜19歳
20〜29歳
30〜39歳
40〜49歳
50歳〜