20代女性 前歯のガタガタが気になる
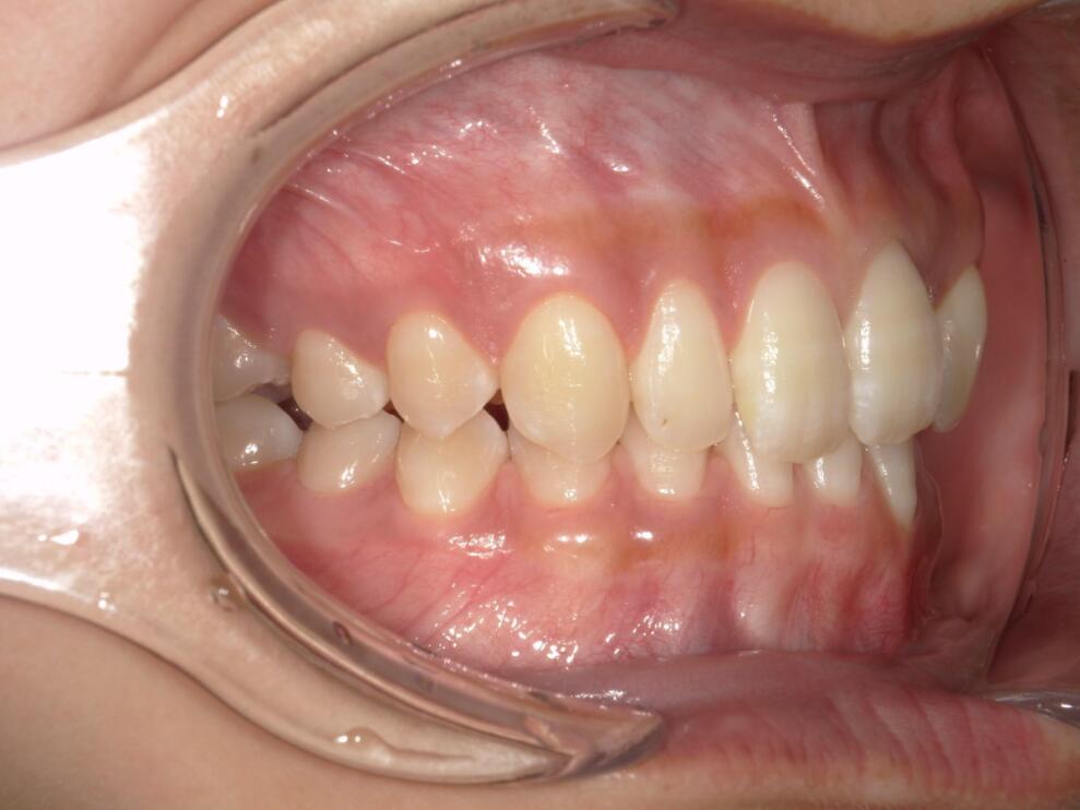
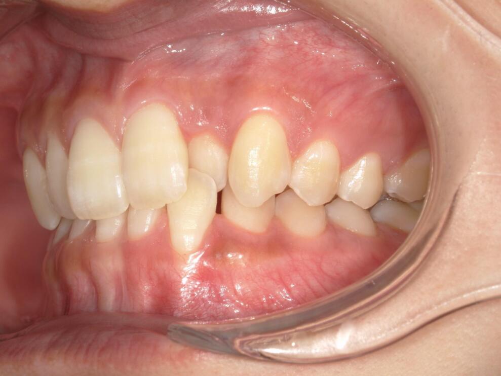
20代女性の患者さまで、以前から歯並びが気になっており、ご友人がマウスピース矯正をされているのをきっかけに当院へご相談に来院されました。主訴は、上の前歯が1本だけ下の前歯より後ろに入っていることでした。
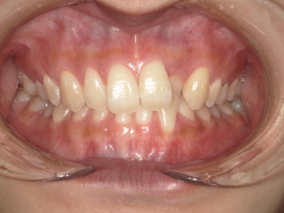
治療は、マウスピース矯正インビザラインにて矯正治療を行い、歯列全体のバランスを考慮しながら計画を立てました。治療期間は2年6ヶ月で、歯並びが整い、前歯の位置関係も自然に改善しています。
長年のコンプレックスを解消し、笑顔に自信を持っていただけるようになった症例です。
BEFORE
AFTER
| 年齢・性別 | 20代女性 |
|---|---|
| 主訴 | 前歯のガタガタが気になる |
| 施術内容 | 歯全体のマウスピース矯正システム「インビザラインフル」を用いた治療 |
| 治療期間 | 2年5ヶ月 |
| 費用 | 924,000円(税込) |
| リスク/副作用 | 全ての方で、疼痛、咬合痛、歯根吸収、歯肉退縮、歯髄壊死が生じる可能性があります。 |
| その他注意点 | 指定した時間、マウスピースをつけていただけない場合は治療期間が長くなる場合があります。 |

ガタガタ・八重歯
出っ歯
受け口
すきっ歯
開咬
深い噛み合わせ
〜11歳
12〜19歳
20〜29歳
30〜39歳
40〜49歳
50歳〜