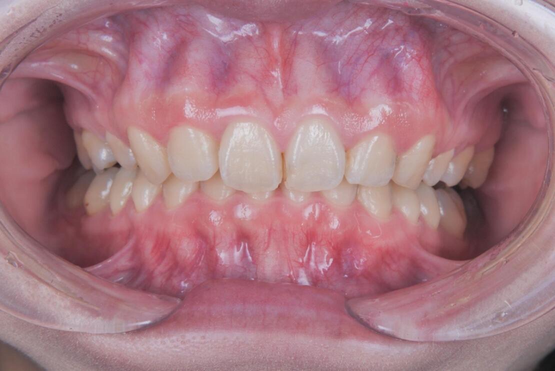
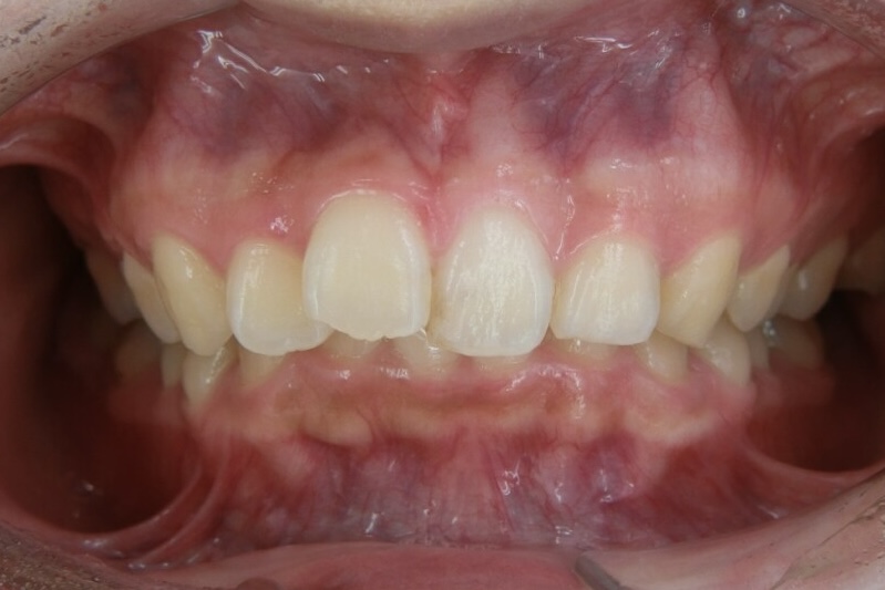
20代女性 出っ歯と前歯のガタガタが気になる
主訴は出っ歯と前歯のねじれでした。
矯正方法についてはワイヤー矯正も含めて検討されていましたが、見た目や日常生活への影響を考慮され、当院での治療をお選びいただきました。
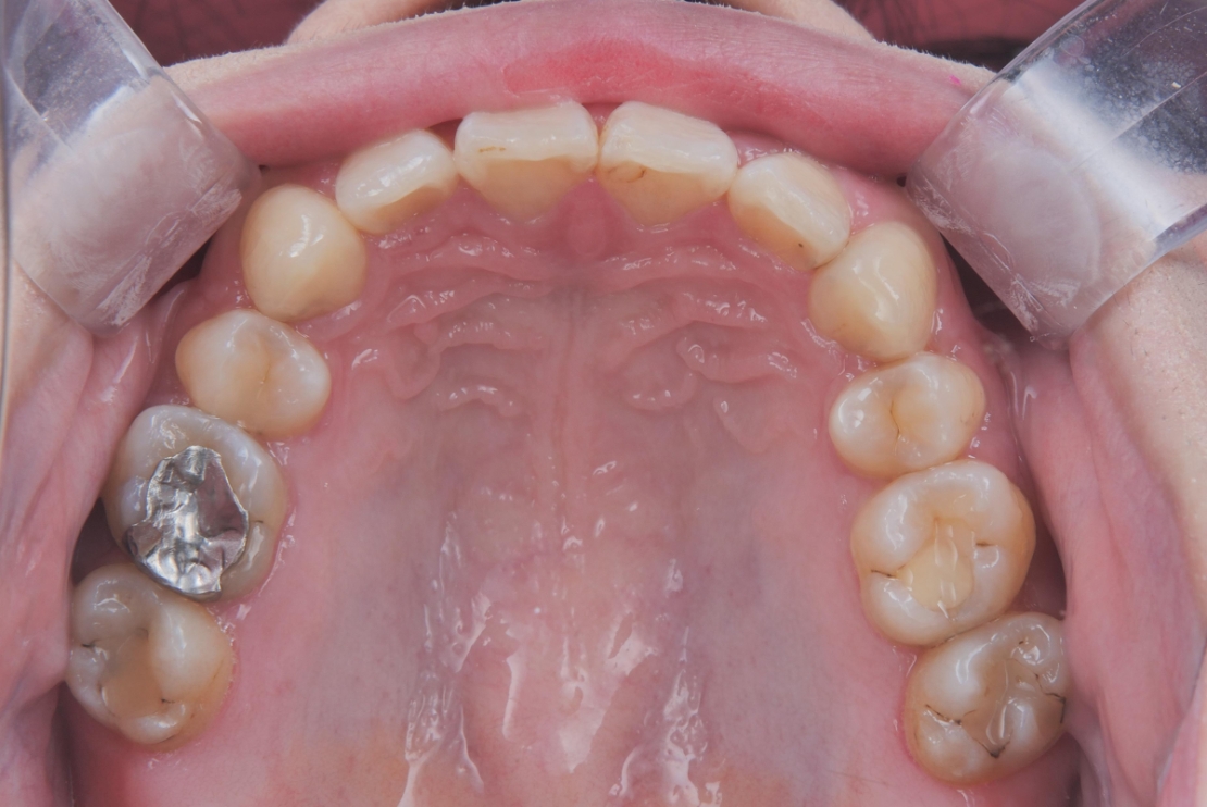
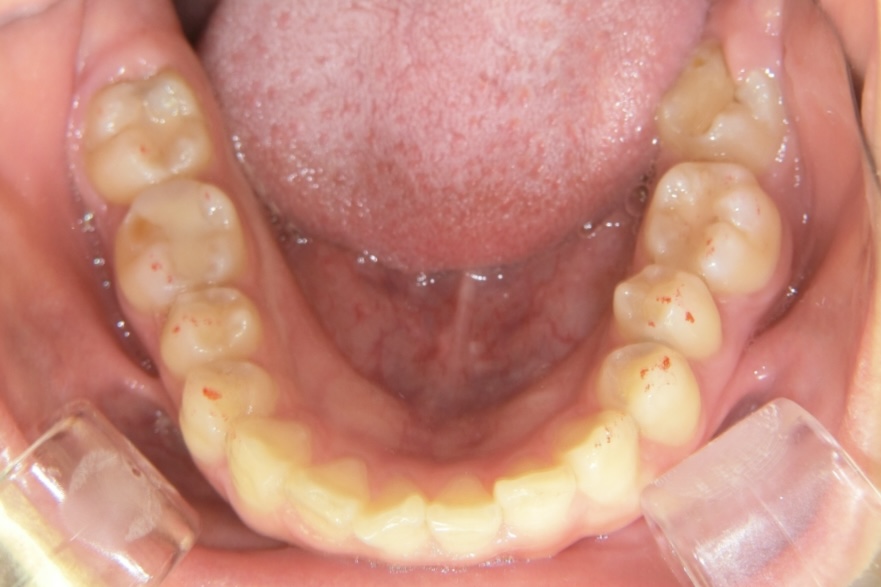
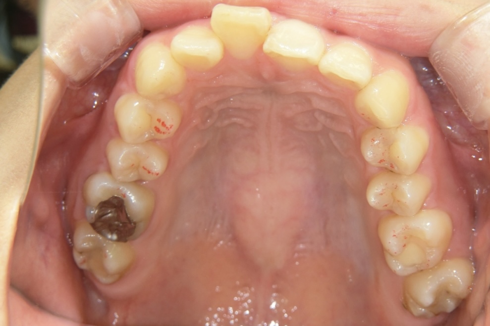
精密な診査・診断のもと治療計画を立て、上顎2本の抜歯を併用しながら、マウスピース矯正インビザラインにて矯正治療を行いました。歯列全体のバランスと噛み合わせを重視しながら治療を進めています。
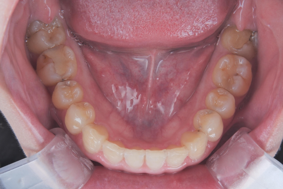
治療期間は3年7ヶ月で、前歯の突出感とねじれが改善し、自然で整った口元へと変化しました。見た目と機能の両面をしっかり改善できた症例です。
BEFORE
AFTER
| 年齢・性別 | 20代女性 |
|---|---|
| 主訴 | 出っ歯、前歯のガタガタが気になる |
| 施術内容 | 歯全体のマウスピース矯正システム「インビザラインアドバンス」を用いた治療 |
| 治療期間 | 3年7ヶ月 |
| 費用 | 1,034,000円(税込) |
| リスク/副作用 | 全ての方で、疼痛、咬合痛、歯根吸収、歯肉退縮、歯髄壊死が生じる可能性があります。 |
| その他注意点 | 指定した時間、マウスピースをつけていただけない場合は治療期間が長くなる場合があります。 |

ガタガタ・八重歯
出っ歯
受け口
すきっ歯
開咬
深い噛み合わせ
〜11歳
12〜19歳
20〜29歳
30〜39歳
40〜49歳
50歳〜
抜歯
非抜歯