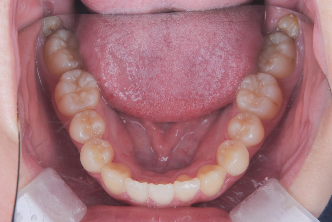
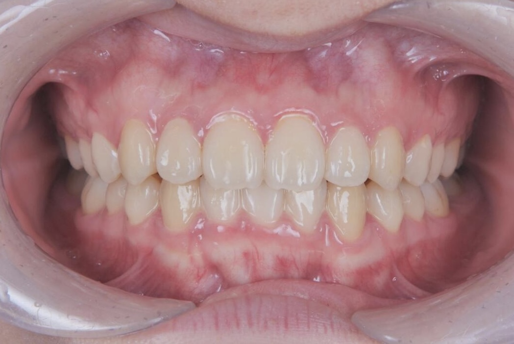
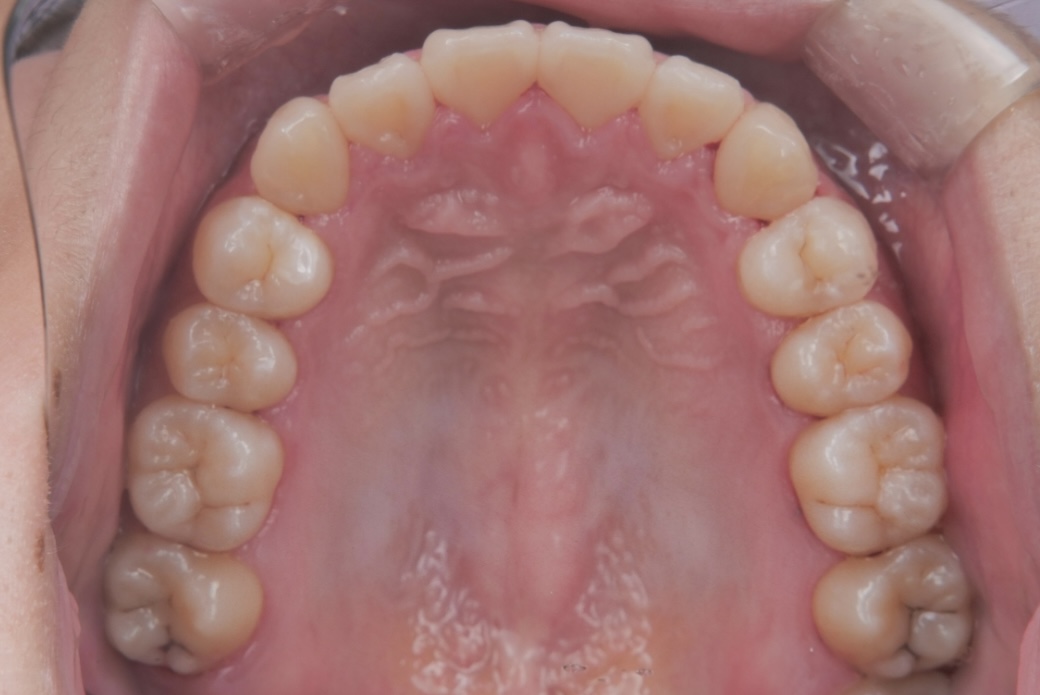
大学生女性 ガタガタが気になる
大学生の女性の患者さまで、ガタガタした歯並びをできるだけ痛みの少ない方法で整えたいとご相談に来院されました。
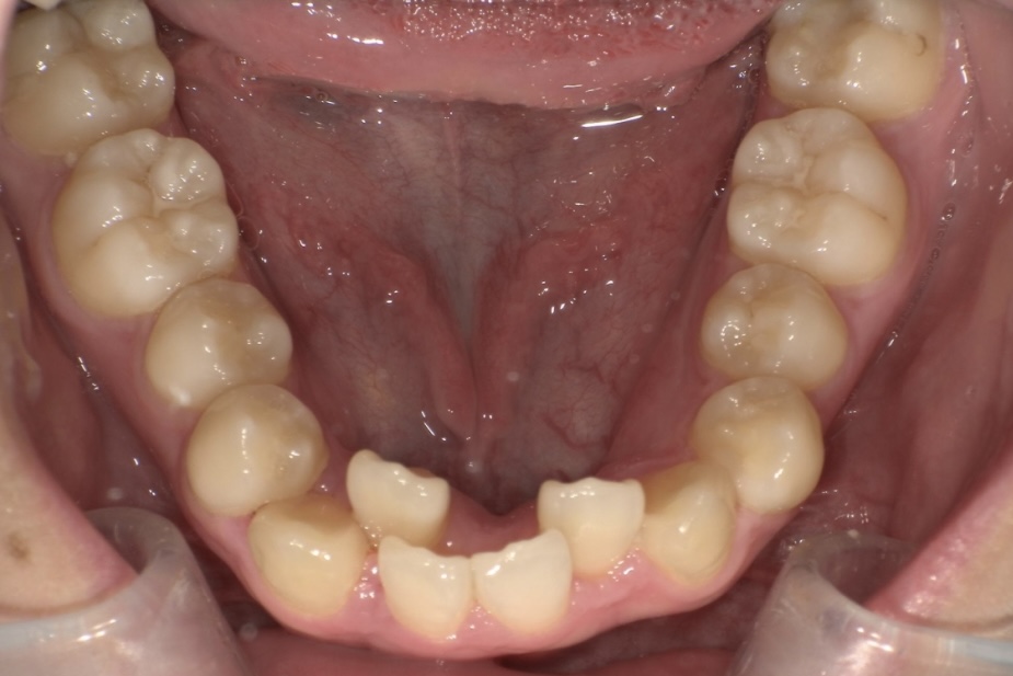
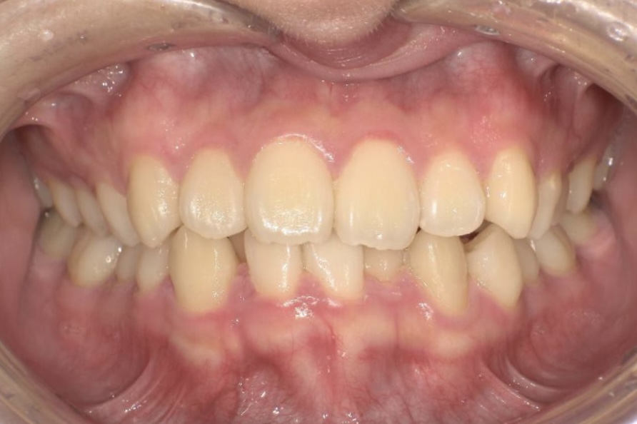
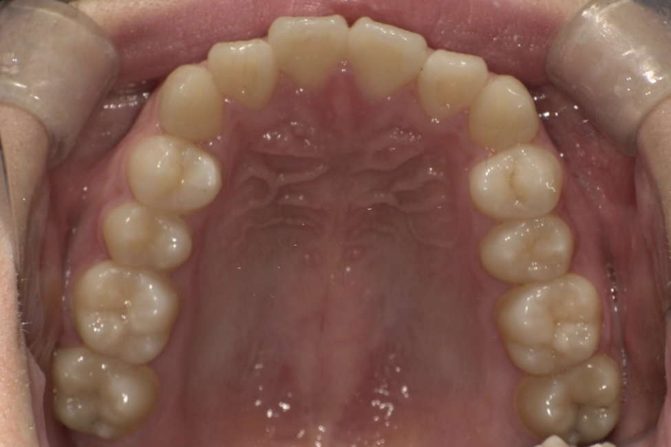
治療は、マウスピース矯正インビザラインにて矯正治療を行い、歯列全体のバランスを考慮しながら計画を立てました。治療期間は1年4ヶ月で、歯並びがきれいに整っています。
見た目の自然さと治療中の快適さの両立を重視しながら、無理なく治療を進めることができた症例です。
BEFORE
AFTER
| 年齢・性別 | 大学生女性 |
|---|---|
| 主訴 | ガタガタの歯並びが気になる |
| 施術内容 | 歯全体のマウスピース矯正システム「インビザラインアドバンス」を用いた治療 |
| 治療期間 | 1年4ヶ月 |
| 費用 | 1,034,000円(税込) |
| リスク/副作用 | 全ての方で、疼痛、咬合痛、歯根吸収、歯肉退縮、歯髄壊死が生じる可能性があります。 |
| その他注意点 | 指定した時間、マウスピースをつけていただけない場合は治療期間が長くなる場合があります。 |

ガタガタ・八重歯
出っ歯
受け口
すきっ歯
開咬
深い噛み合わせ
〜11歳
12〜19歳
20〜29歳
30〜39歳
40〜49歳
50歳〜