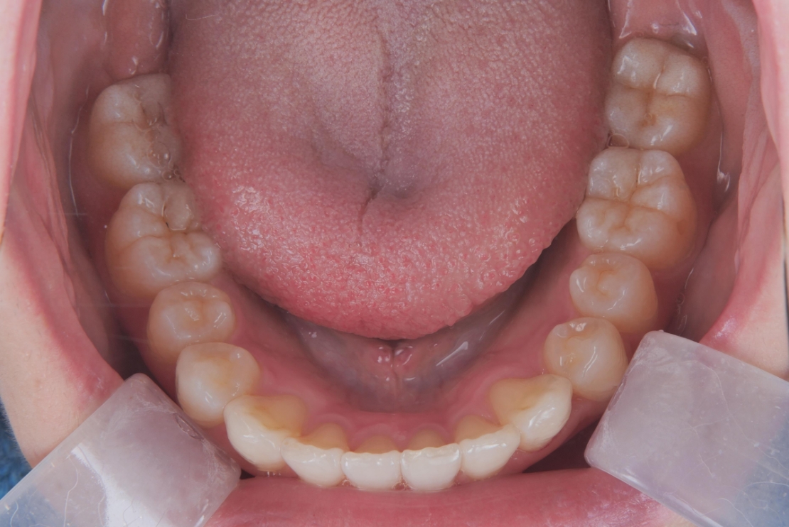
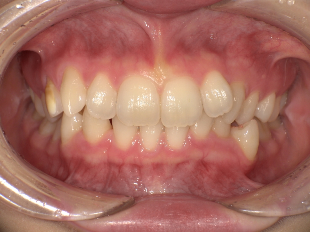
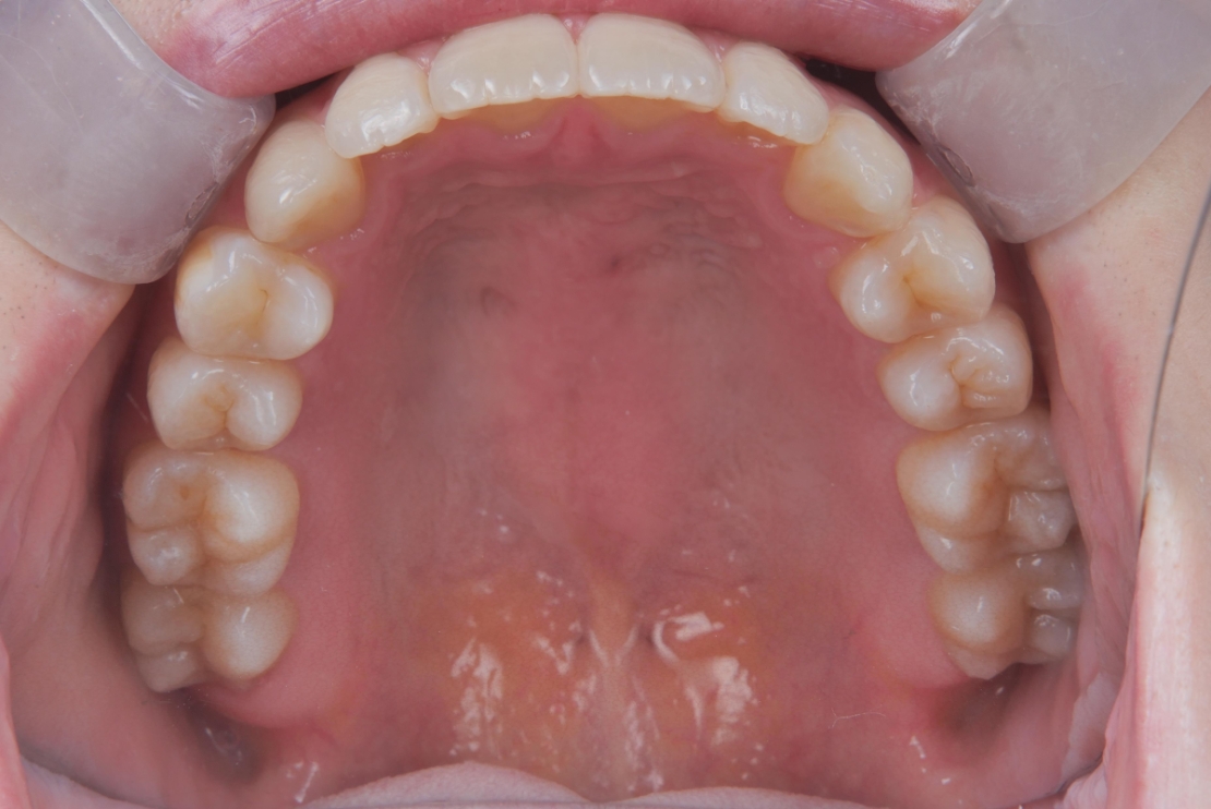
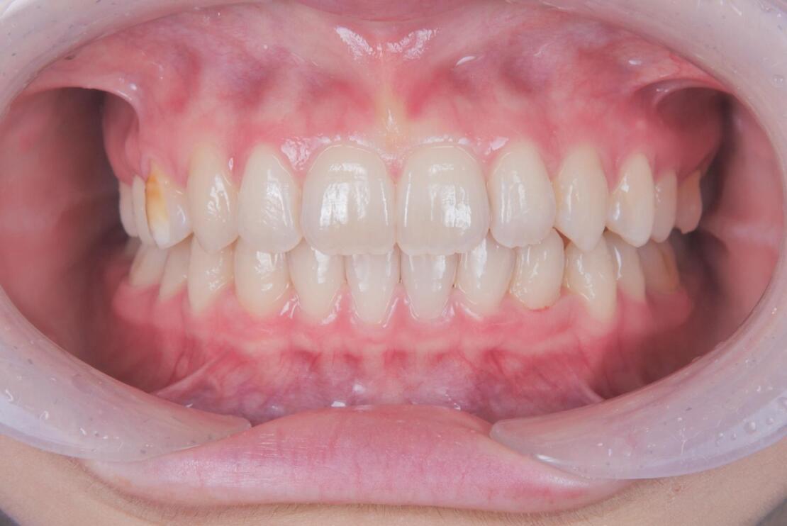
20代女性 ガタガタが気になる

20代女性の患者さまで、ご来院時は大学3年生でした。将来大学院へ進学予定のため、「3年以内に矯正治療を終えたい」という明確なご希望をお持ちでした。主訴は下の前歯のガタつきで、できるだけ目立たない方法で治療を進めたいとお考えでした。

他にも2件の歯科医院で相談されたうえで、治療内容や説明の分かりやすさをご評価いただき、当院での治療をお任せくださいました。

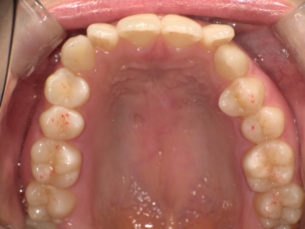
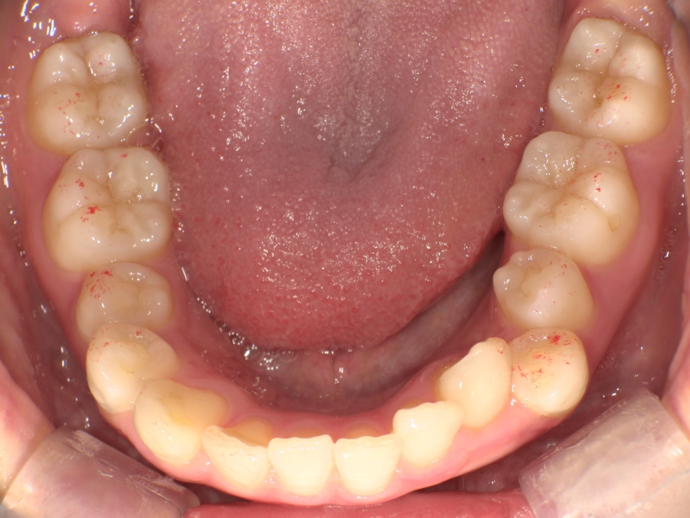
治療は、マウスピース矯正インビザラインにて矯正治療を行い、歯列全体のバランスを考慮しながら計画を立てました。治療期間は1年8ヶ月で、ご希望どおり大学院進学前に治療を終えることができました。

見た目の自然さを保ちながら、無理のないペースで治療を進めることができた症例です。

BEFORE AFTER
Before 1
After 1
Before 2
After 2
Before 3
After 3
年齢・性別 20代女性
主訴 ガタガタが気になる
施術内容 歯全体のマウスピース矯正システム「インビザラインフル」を用いた治療
治療期間 1年8ヶ月
費用 924,000円(税込)
リスク/副作用 全ての方で、疼痛、咬合痛、歯根吸収、歯肉退縮、歯髄壊死が生じる可能性があります。
その他注意点 指定した時間、マウスピースをつけていただけない場合は治療期間が長くなる場合があります。
症例実績一覧へ戻る