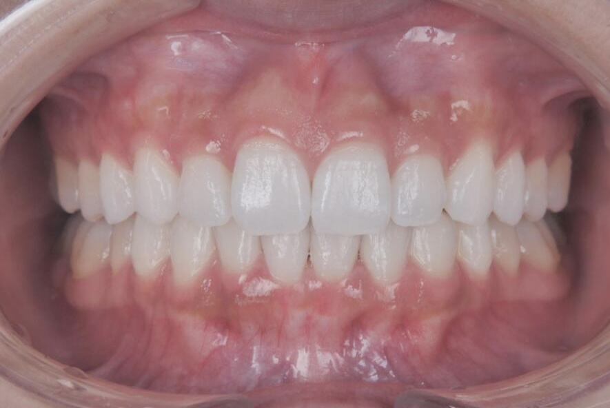
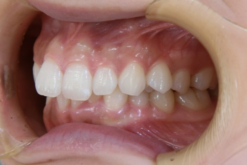
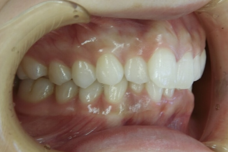
20代女性 上下ガタガタと噛み合わせが深いのが気になる
20代女性の患者さまで、目立たない方法で矯正治療を行いたいとのご希望から、マウスピース矯正をご希望されて来院されました。主訴は前歯のガタつきと、深い噛み合わせでした。
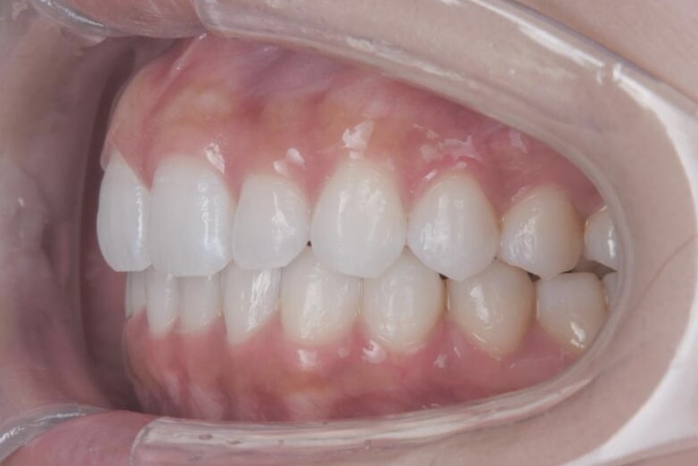
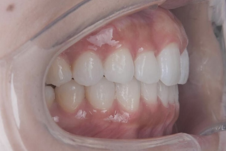
治療はインビザラインによるマウスピース矯正で進め、歯並びの改善だけでなく、噛み合わせのバランスにも配慮しながら治療計画を立案しました。治療期間は1年半で、歯列と噛み合わせが整い、自然で美しい口元へと改善しています。
治療中の痛みもほとんどなく、「あっという間に歯並びがきれいになった」と大変喜んでいただけた症例です。
BEFORE
AFTER
| 年齢・性別 | 20代女性 |
|---|---|
| 主訴 | 上下ガタガタと噛み合わせが深いのが気になる |
| 施術内容 | 歯全体のマウスピース矯正システム「インビザラインフル」を用いた治療 |
| 治療期間 | 1年6ヶ月 |
| 費用 | 924,000円(税込) |
| リスク/副作用 | 全ての方で、疼痛、咬合痛、歯根吸収、歯肉退縮、歯髄壊死が生じる可能性があります。 |
| その他注意点 | 指定した時間、マウスピースをつけていただけない場合は治療期間が長くなる場合があります。 |

ガタガタ・八重歯
出っ歯
受け口
すきっ歯
開咬
深い噛み合わせ
〜11歳
12〜19歳
20〜29歳
30〜39歳
40〜49歳
50歳〜