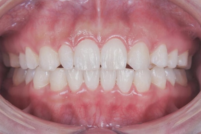
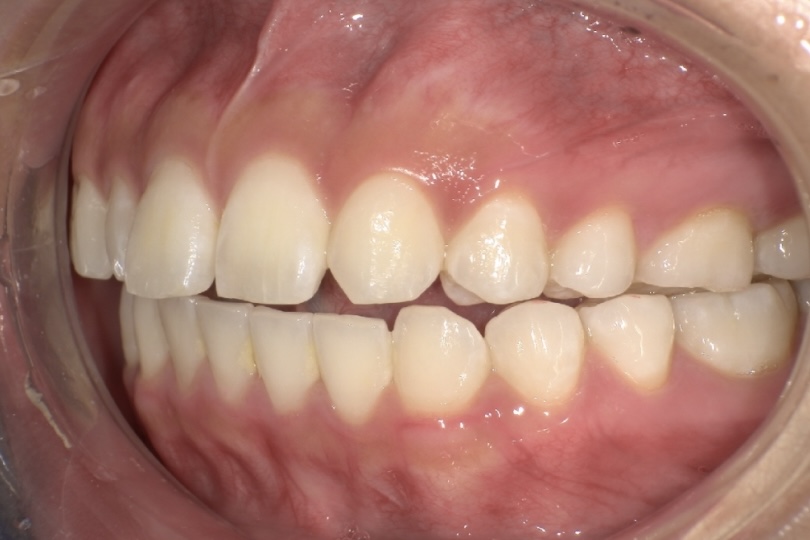
20代女性 すきっ歯が気になる
20代女性の患者さまで、主訴はすきっ歯でした。
中学生の頃に3年間ワイヤー矯正を経験されたそうですが、徐々に後戻りを感じるようになり、再度矯正を検討されたとのことです。ご友人から「のざき歯科が良いらしい」と聞かれたことをきっかけに、当院へご相談に来院されました。今回は、見た目が目立たない方法で治療を進めたいというご希望をお持ちでした。
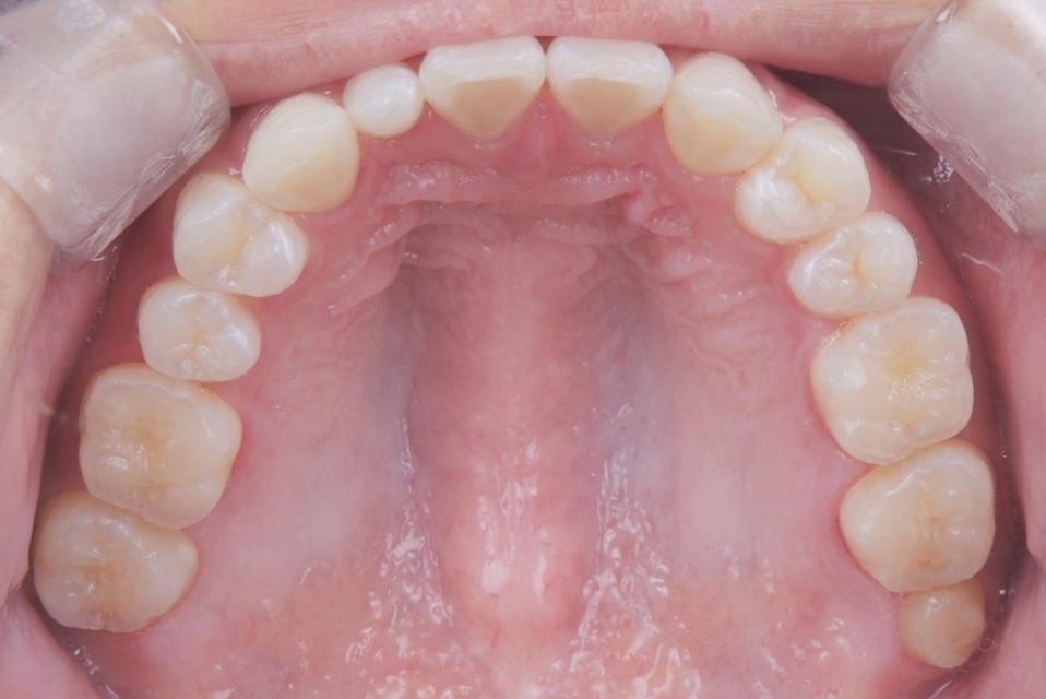
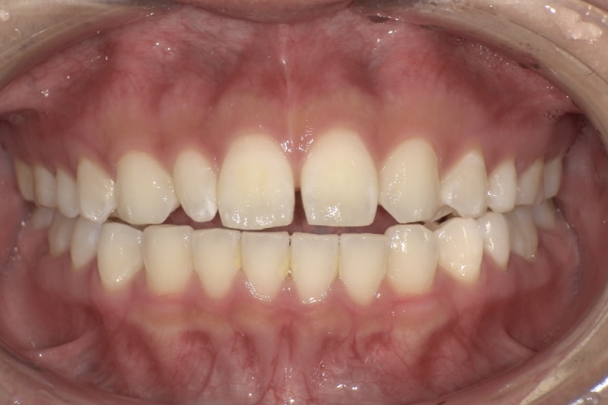
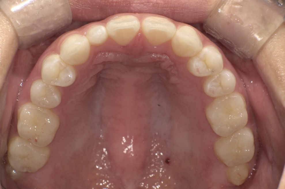
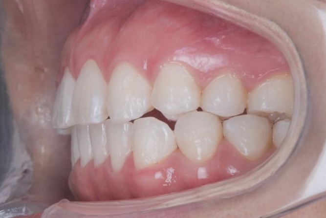
治療は、マウスピース矯正インビザラインにて矯正治療を行い、歯列全体のバランスと噛み合わせの改善を重視して計画を立てました。治療期間は1年8ヶ月で、すき間の改善に加え、機能的にも安定した噛み合わせへと改善しています。
再矯正にて、見た目と機能の両面を整えることができた症例です。
BEFORE
AFTER
| 年齢・性別 | 20代女性 |
|---|---|
| 主訴 | すきっ歯が気になる |
| 施術内容 | 歯全体のマウスピース矯正システム「インビザラインフル」を用いた治療 |
| 治療期間 | 1年8ヶ月 |
| 費用 | 924,000円(税込) |
| リスク/副作用 | 全ての方で、疼痛、咬合痛、歯根吸収、歯肉退縮、歯髄壊死が生じる可能性があります。 |
| その他注意点 | 指定した時間、マウスピースをつけていただけない場合は治療期間が長くなる場合があります。 |

ガタガタ・八重歯
出っ歯
受け口
すきっ歯
開咬
深い噛み合わせ
〜11歳
12〜19歳
20〜29歳
30〜39歳
40〜49歳
50歳〜