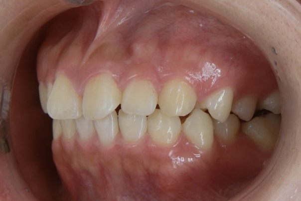
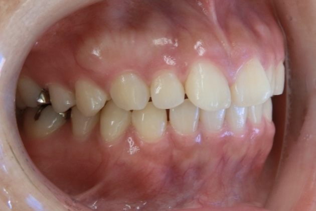
20代女性 すきっ歯が気になる
20代女性の患者さまで、4人のお子さまを育てながら、できるだけ目立たない方法ですきっ歯を治したいとご相談に来院されました。子育てや日常生活への影響をできる限り抑えながら治療を進めたいというご希望を踏まえ、当院で専門的に行っているマウスピース矯正にて治療を進めました。
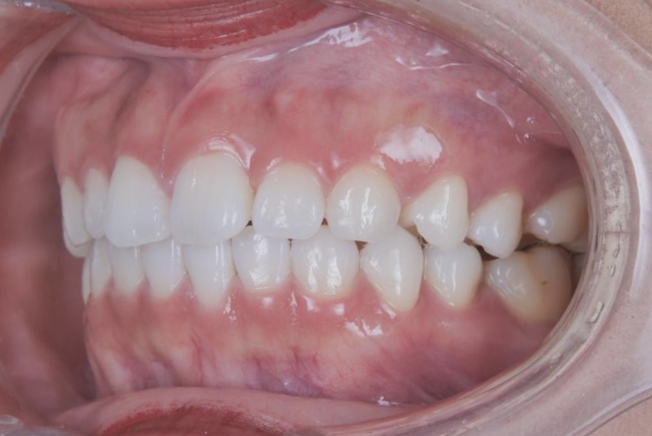
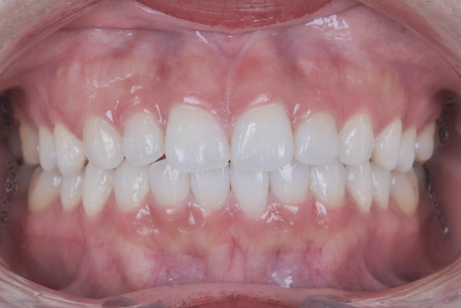
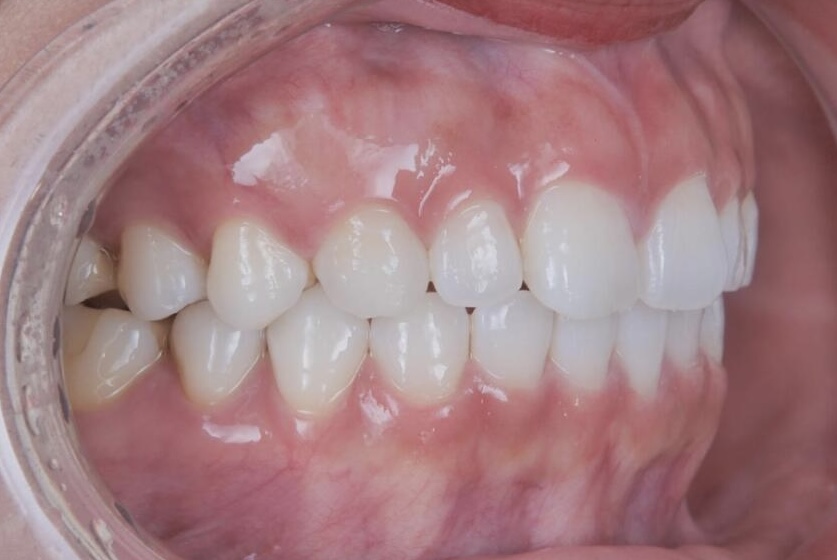
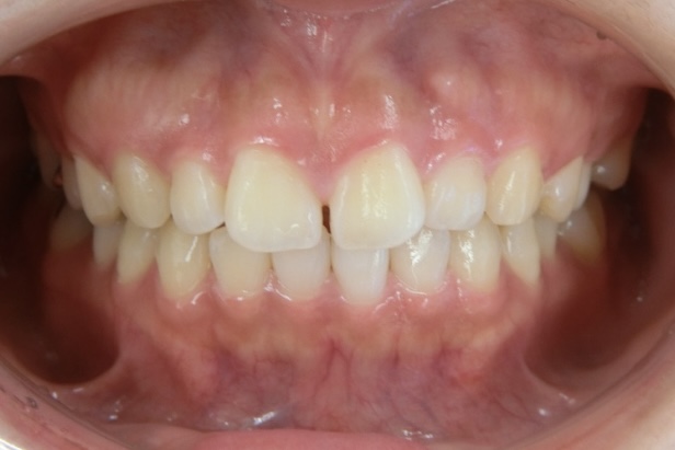
治療はマウスピース矯正で行い、治療期間はわずか1年で歯並びが整いました。さらにホワイトニングも併用したことで、歯並びだけでなく歯の色も明るくなり、整った歯並びと白い歯が調和した、より印象的な口元へと改善しています。
治療後は、周囲の方から歯を褒められることが増え、笑顔に自信が持てるようになったとお話しくださり、「本当に矯正してよかった」と、現在もメインテナンスで通院されるたびに嬉しいお言葉をいただいています。また、お子さまのうちお二人も、同じマウスピース矯正で現在当院にて治療を進めており、ご家族で通っていただいている症例です。
BEFORE
AFTER
| 年齢・性別 | 20代女性 |
|---|---|
| 主訴 | すきっ歯が気になる |
| 施術内容 | 歯全体のマウスピース矯正システム「インビザラインライト」を用いた治療 |
| 治療期間 | 1年 |
| 費用 | 528,000円 |
| リスク/副作用 | 全ての方で、疼痛、咬合痛、歯根吸収、歯肉退縮、歯髄壊死が生じる可能性があります。 |
| その他注意点 | 指定した時間、マウスピースをつけていただけない場合は治療期間が長くなる場合があります。 |

ガタガタ・八重歯
出っ歯
受け口
すきっ歯
開咬
深い噛み合わせ
〜11歳
12〜19歳
20〜29歳
30〜39歳
40〜49歳
50歳〜