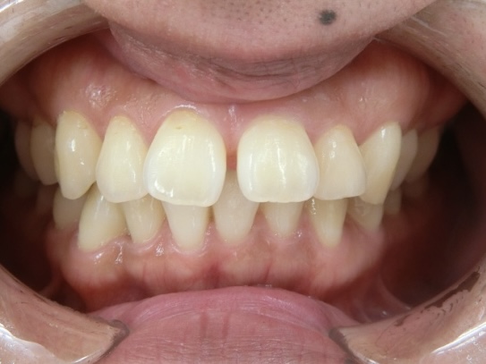
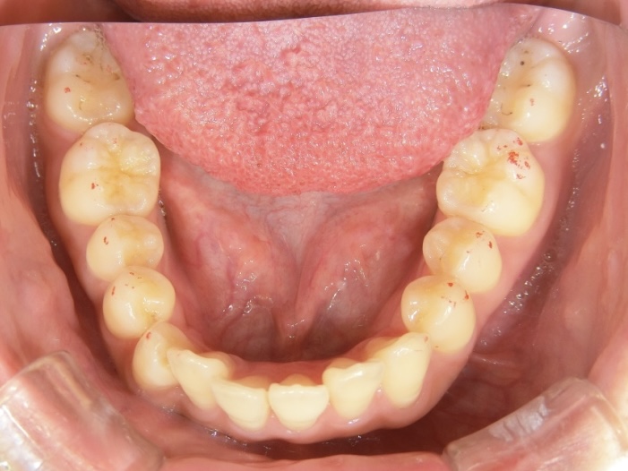
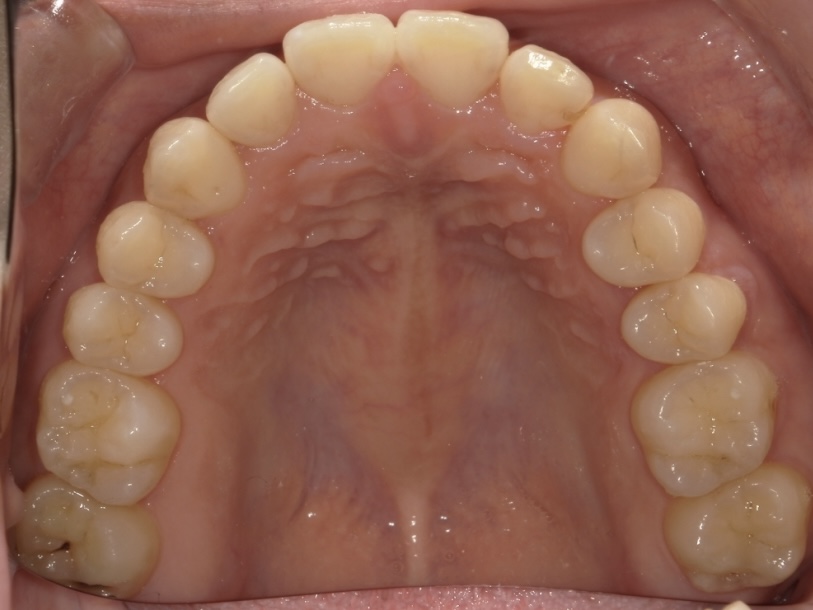
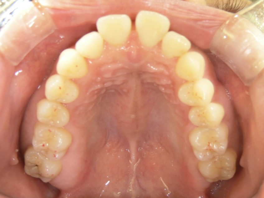
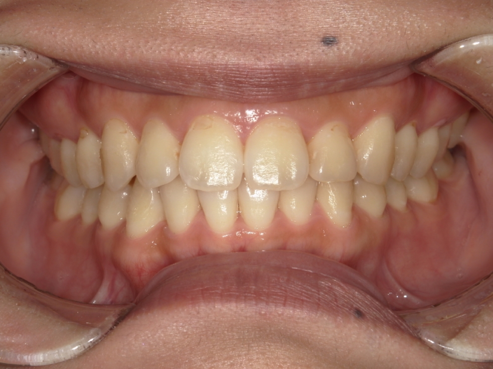
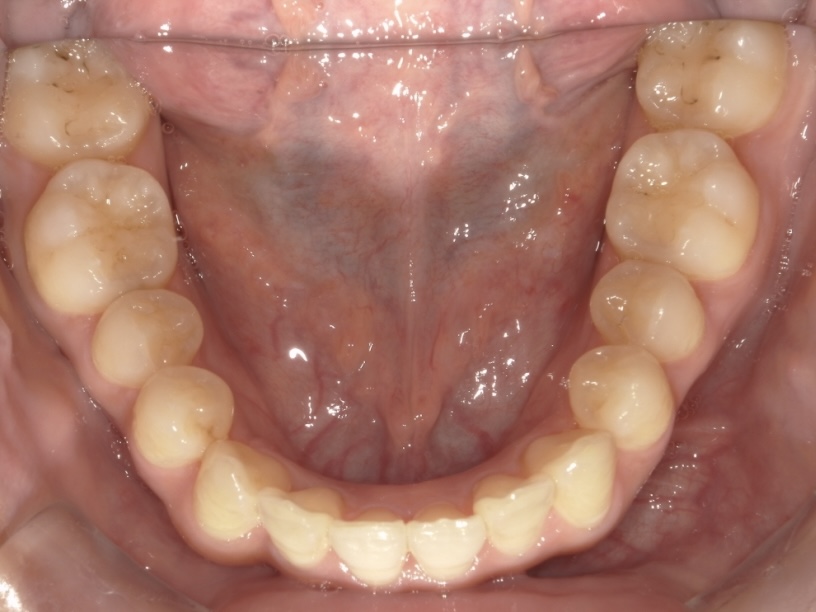
20代女性 すきっ歯と出っ歯が気になる

20代女性の患者さまで、出っ歯とすきっ歯を主訴にご相談に来院されました。できるだけ目立たず、不快感の少ない方法で矯正治療を行いたいというご希望から、マウスピース矯正を選択されています。

治療では、口元全体のバランスを考慮しながら歯列を整え、治療期間は1年5ヶ月で、きれいな歯並びへと改善しました。歯並びが整ったことで、笑顔の印象もより一層明るくなっています。

見た目の自然さと治療中の快適さの両立を重視しながら、無理なく治療を進めることができた症例です。

BEFORE AFTER
Before 1
After 1
Before 2
After 2
Before 3
After 3
年齢・性別 20代女性
主訴 すきっ歯と出っ歯が気になる
施術内容 歯全体のマウスピース矯正システム「インビザラインフル」を用いた治療
治療期間 1年5ヶ月
費用 924,000円(税込)
リスク/副作用 全ての方で、疼痛、咬合痛、歯根吸収、歯肉退縮、歯髄壊死が生じる可能性があります。
その他注意点 指定した時間、マウスピースをつけていただけない場合は治療期間が長くなる場合があります。
症例実績一覧へ戻る