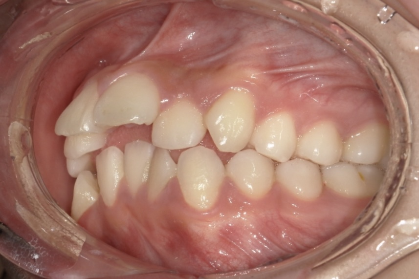
20代女性 出っ歯と噛み合わせが気になる
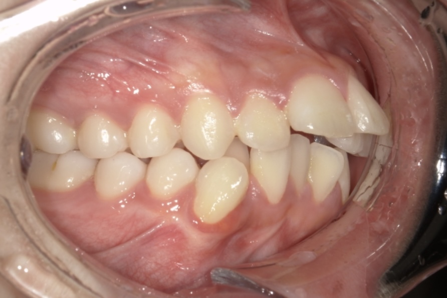
20代女性の患者さまで、治療開始時は17歳の高校生でした。出っ歯と歯並びのガタつきに加え、「前歯で噛めない」ことを主訴にご相談に来院されました。見た目の改善だけでなく、噛み合わせもきちんと整えたいというご希望をお持ちでした。
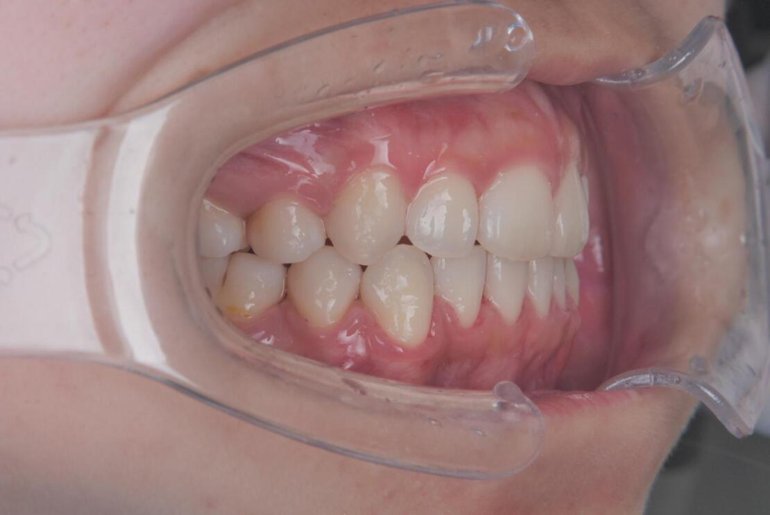
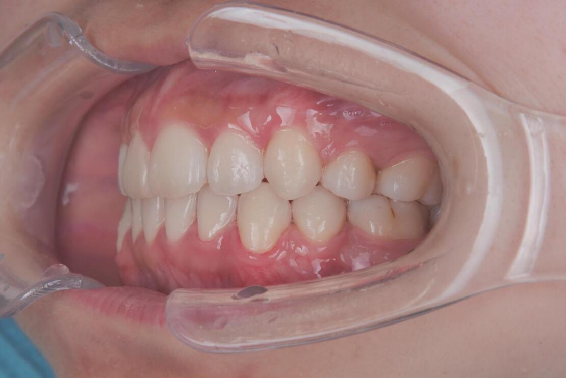
精密な診査・診断のもと治療計画を立て、抜歯を併用しながら、マウスピース矯正インビザラインにて矯正治療を行いました。歯列全体のバランスと機能面を重視しながら治療を進めています。
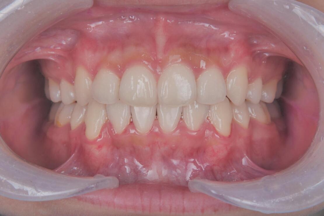
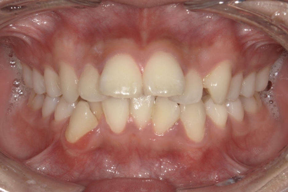
治療期間は2年6ヶ月で、歯並びと噛み合わせが改善し、前歯でしっかり噛める状態へと整いました。見た目と機能の両面を改善できた症例です。
BEFORE
AFTER
| 年齢・性別 | 20代女性 |
|---|---|
| 主訴 | 出っ歯と噛み合わせが気になる、前歯で噛めない |
| 施術内容 | 歯全体のマウスピース矯正システム「インビザラインアドバンス」を用いた治療 |
| 治療期間 | 2年6ヶ月 |
| 費用 | 1,034,000円(税込) |
| リスク/副作用 | 全ての方で、疼痛、咬合痛、歯根吸収、歯肉退縮、歯髄壊死が生じる可能性があります。 |
| その他注意点 | 指定した時間、マウスピースをつけていただけない場合は治療期間が長くなる場合があります。 |

ガタガタ・八重歯
出っ歯
受け口
すきっ歯
開咬
深い噛み合わせ
〜11歳
12〜19歳
20〜29歳
30〜39歳
40〜49歳
50歳〜