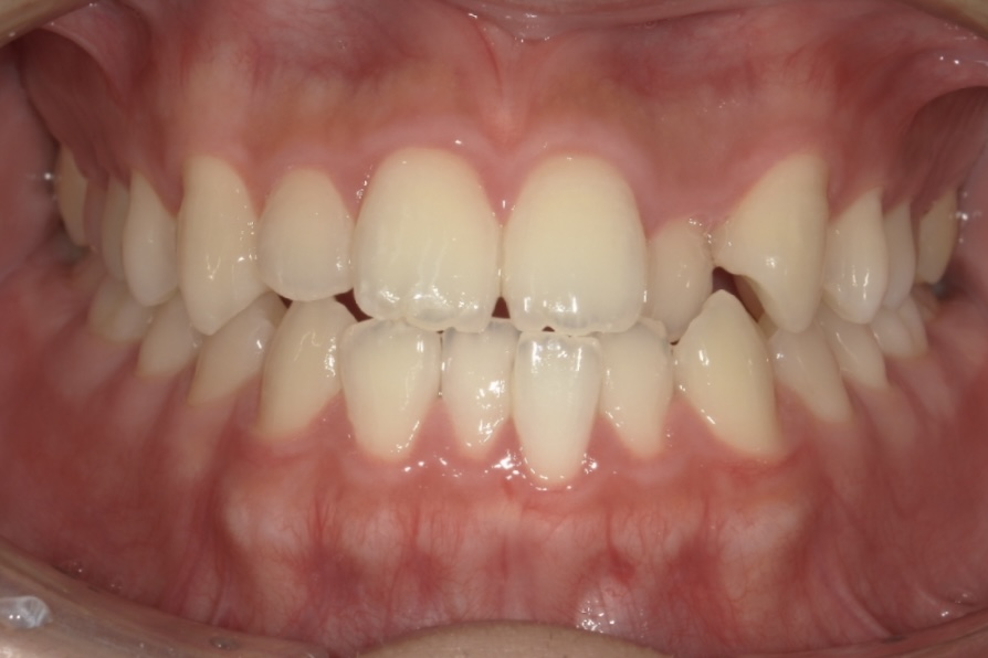
大学生男性 前歯のガタガタが気になる

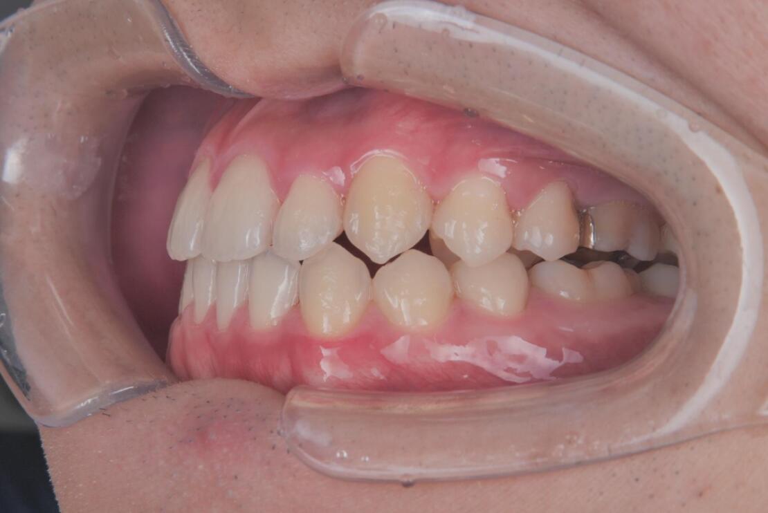
20代男性の患者さまで、主訴は内側に入っている前歯と下の前歯のガタつきでした。大学生のうちに歯並びを整えたいと考え、矯正治療をご検討されていました。

以前に他院で相談された際には、ワイヤー矯正で4本抜歯が必要と言われ、不安を感じられて当院へご相談に来院されました。

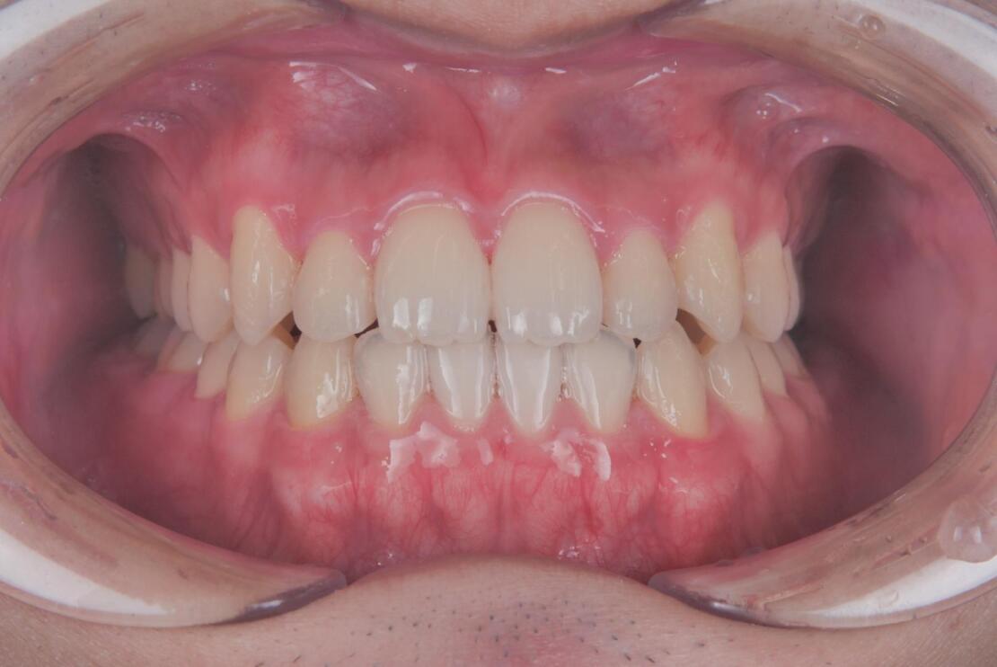
当院では、歯列全体のバランスと噛み合わせを精密に診断し、マウスピース矯正インビザラインにて抜歯を行わずに治療を進めました。治療期間は1年9ヶ月で、大学在学中に無事治療を終えることができました。

歯並びが整ったことで口元の印象がすっきりと改善し、自信を持てるようになったとお話しくださっています。

ご本人からは、
「カウンセリングでは現状から最終的な状態まで丁寧に説明してくださり、自分に合ったプランを考えてもらえたので安心して治療を進められました。通い始めてから歯並びがすっきりし、自信が持てるようになりました。矯正を考えている方にぜひおすすめしたいクリニックです。」
と、大変嬉しいご感想をお寄せいただきました。

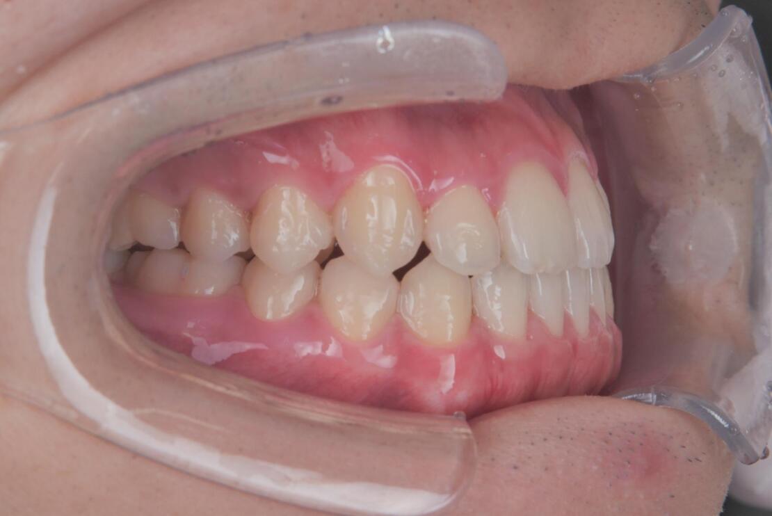
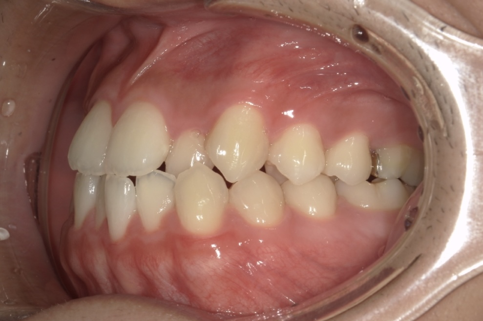
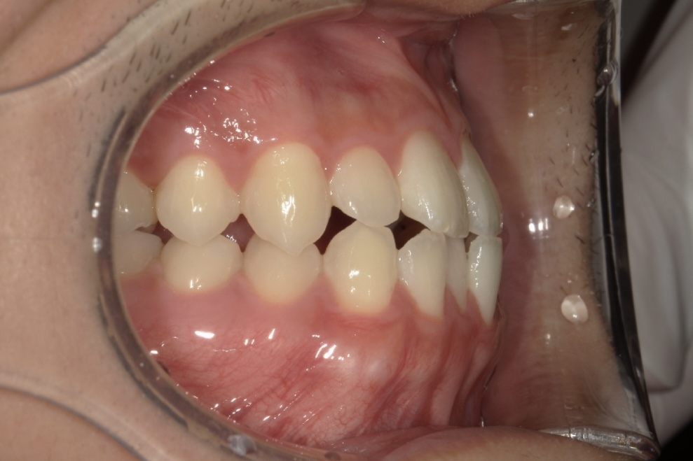
BEFORE AFTER
Before 1
After 1
Before 2
After 2
Before 3
After 3
年齢・性別 20代大学生
主訴 前歯のガタガタが気になる
施術内容 歯全体のマウスピース矯正システム「インビザラインアドバンス」を用いた治療
治療期間 1年9ヶ月
費用 924,000円(税込)
リスク/副作用 全ての方で、疼痛、咬合痛、歯根吸収、歯肉退縮、歯髄壊死が生じる可能性があります。
その他注意点 指定した時間、マウスピースをつけていただけない場合は治療期間が長くなる場合があります。
症例実績一覧へ戻る