20代男性 すきっ歯が気になる

20代男性の患者さまで、すきっ歯と下の前歯のガタつきを主訴にご相談に来院されました。
見た目の改善とあわせて、できるだけ負担の少ない方法で治療を進めたいとお考えでした。

治療は、マウスピース矯正インビザラインにて矯正治療を行い、歯列全体のバランスを考慮しながら計画を立てました。
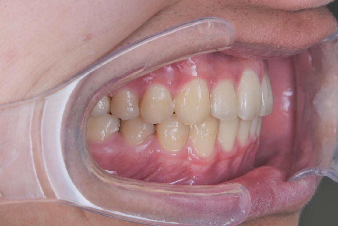
治療期間は2年1ヶ月で、歯並びが整い、自然で調和のとれた口元へと改善しています。

ご本人からは、「カウンセリングで矯正後のシミュレーションを確認できたことで安心して治療を始められた」「来院回数も少なく、負担なく終えることができきた」とのご感想をいただいています。
忙しい社会人の方でもマウスピース矯正なら通院頻度が2〜3ヶ月に1度なので無理なく続けていただけます。

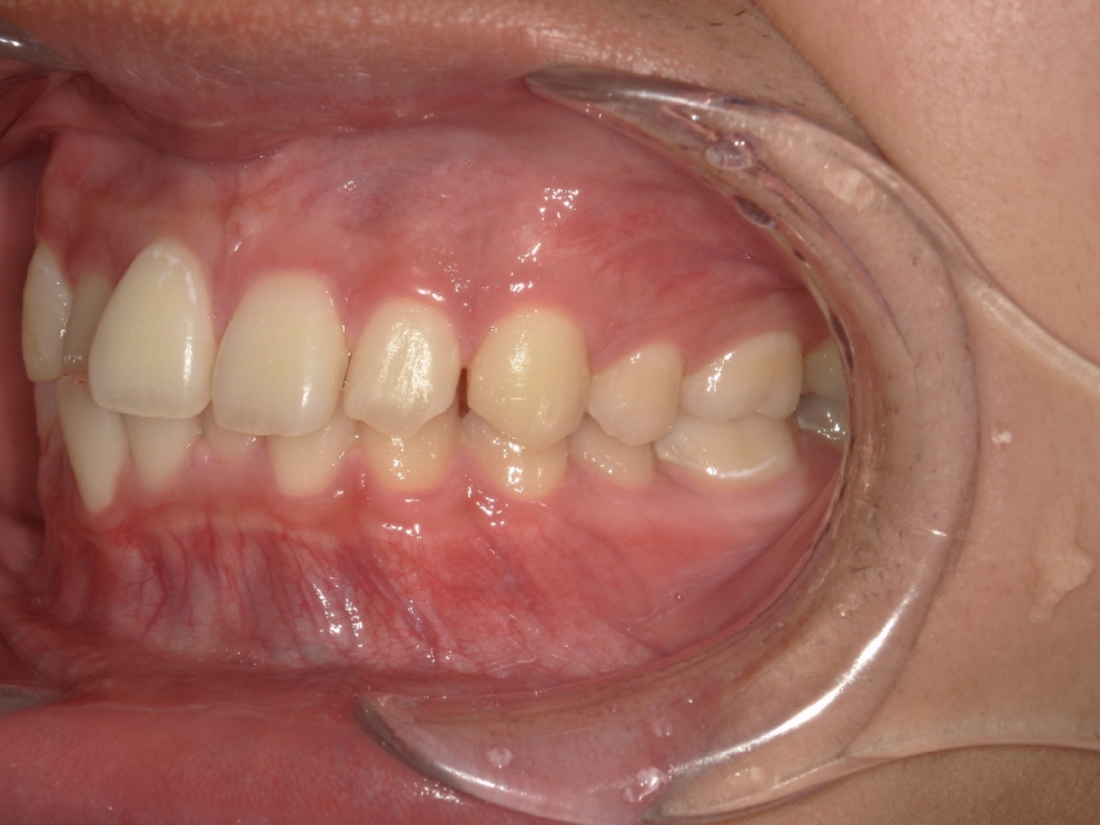
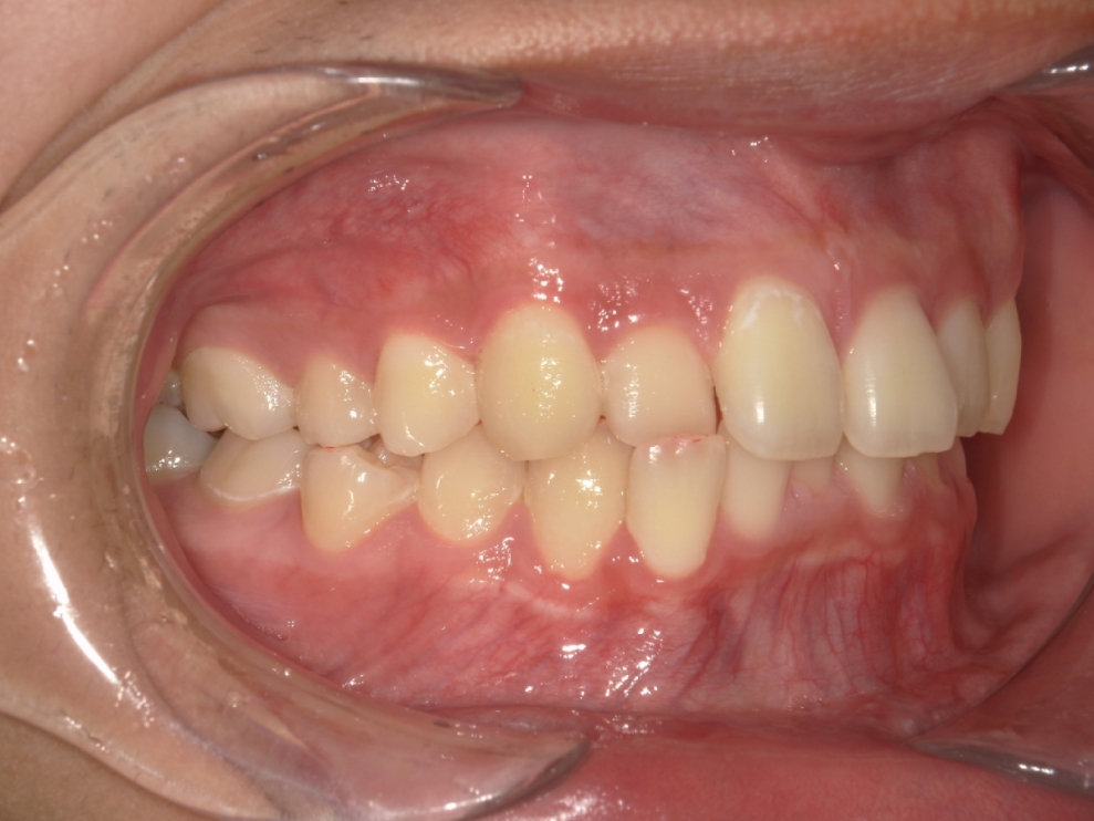
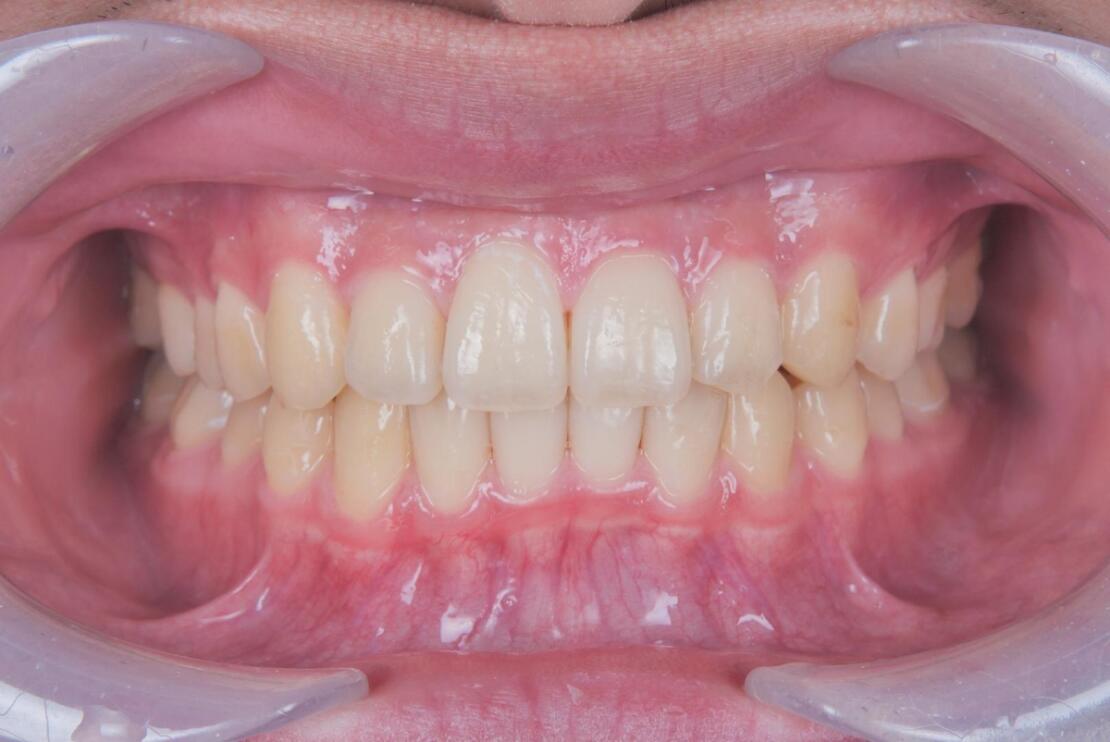
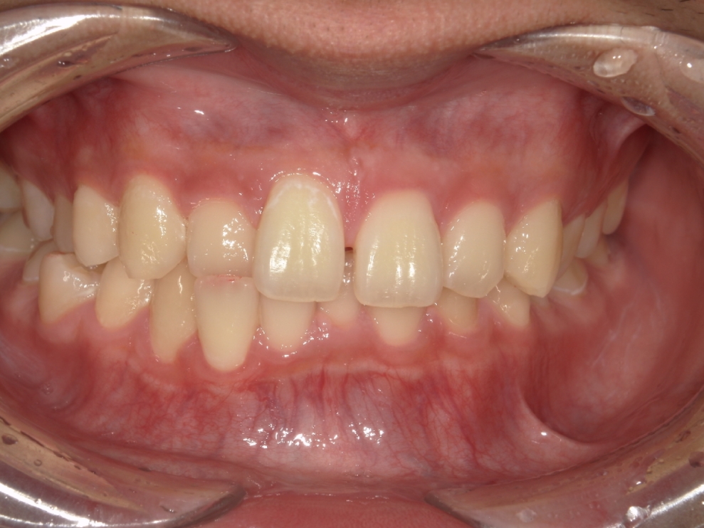
BEFORE AFTER
Before 1
After 1
Before 2
After 2
Before 3
After 3
年齢・性別 20代男性
主訴 すきっ歯とガタガタが気になる
施術内容 歯全体のマウスピース矯正システム「インビザラインフル」を用いた治療
治療期間 2年1ヶ月
費用 924,000円(税込)
リスク/副作用 全ての方で、疼痛、咬合痛、歯根吸収、歯肉退縮、歯髄壊死が生じる可能性があります。
その他注意点 指定した時間、マウスピースをつけていただけない場合は治療期間が長くなる場合があります。
症例実績一覧へ戻る