20代男性 出っ歯とすきっ歯が気になる

20代男性の患者さまで、大学院生のうちに歯並びをきれいにしたいとご相談に来院されました。主訴は、すきっ歯と出っ歯でした。学業や日常生活への影響をできるだけ抑えながら、限られた期間の中で治療を進めたいというご希望を踏まえ、当院で専門的に行っているマウスピース矯正にて治療を開始しました。

治療はインビザラインによるマウスピース矯正で進め、わずか9ヶ月という短期間で歯並びが改善しています。引っ越しのご予定がある中でも、計画通りに治療を進めることができ、予定日までに治療を終えることができた点についても大変喜んでいただけました。

BEFORE AFTER
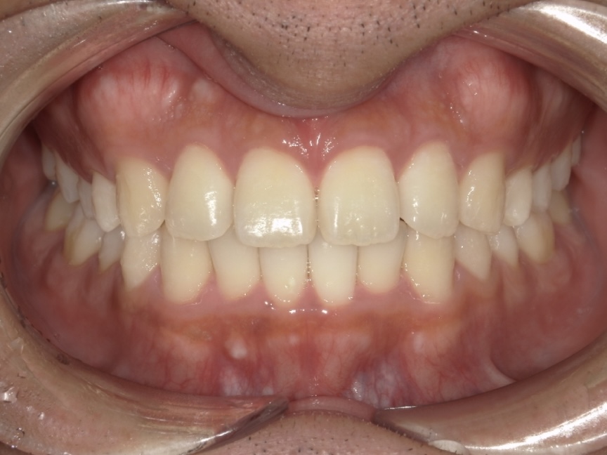
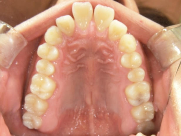
Before 1
After 1
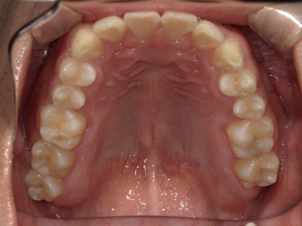
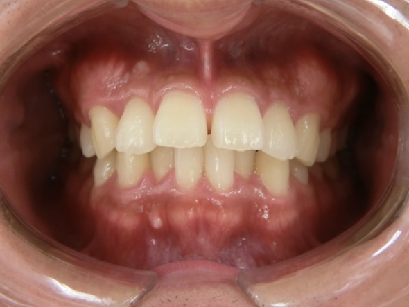
Before 2
After 2
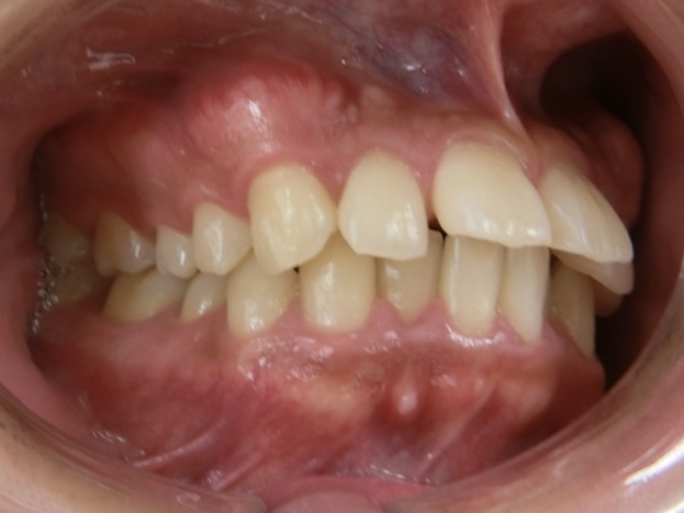
Before 3
After 3
年齢・性別 20代男性
主訴 出っ歯とすきっ歯が気になる
施術内容 歯全体のマウスピース矯正システム「インビザラインフル」を用いた治療
治療期間 9ヶ月
費用 924,000円(税込)
リスク/副作用 全ての方で、疼痛、咬合痛、歯根吸収、歯肉退縮、歯髄壊死が生じる可能性があります。
その他注意点 指定した時間、マウスピースをつけていただけない場合は治療期間が長くなる場合があります。
症例実績一覧へ戻る