20代男性 出っ歯が気になる

主訴は出っ歯と横顔の口元の突出感(いわゆる口ゴボ)でした。
できるだけ早く治療を終えたいというご希望をお持ちで、歯並びだけでなく横顔の印象も改善したいとご相談に来院されました。

精密な診査・診断のもと治療計画を立て、マウスピース矯正インビザラインにて矯正治療を行いました。
当初は抜歯を行うかどうか悩まれていましたが、歯列全体のバランスを慎重に評価し、IPR(歯の幅をわずかに調整する処置)を併用することで、抜歯を行わずに口元を整えることができました。

治療期間は2年で、前歯の突出感が改善し、気にされていた横顔のEラインも美しく整いました。
見た目と機能の両面をバランスよく改善できた症例です。

BEFORE AFTER
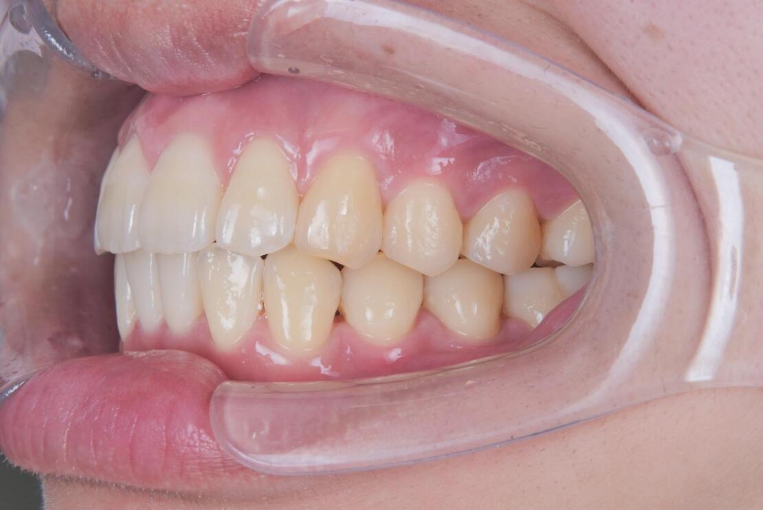
Before 1
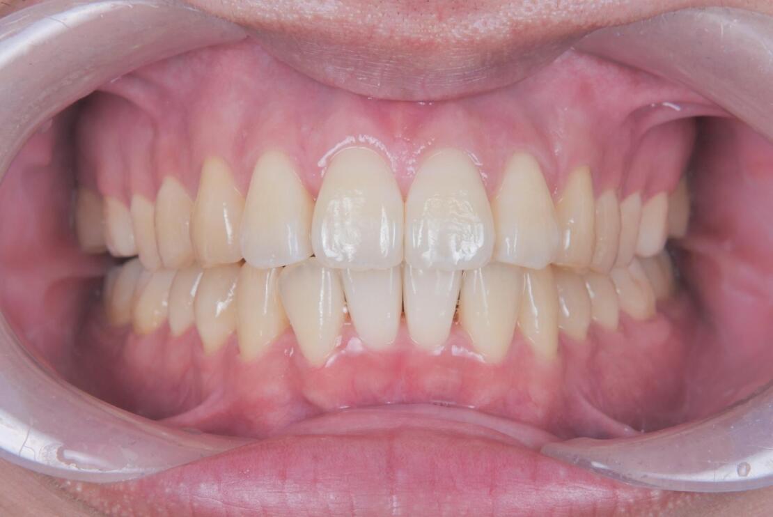
After 1
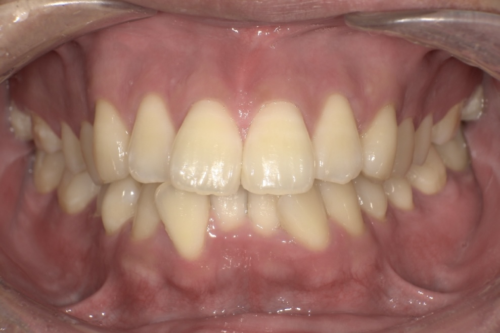
Before 2
After 2
Before 3
After 3
年齢・性別 20代男性
主訴 出っ歯が気になる
施術内容 歯全体のマウスピース矯正システム「インビザラインフル」を用いた治療
治療期間 2年
費用 924,000円(税込)
リスク/副作用 全ての方で、疼痛、咬合痛、歯根吸収、歯肉退縮、歯髄壊死が生じる可能性があります。
その他注意点 指定した時間、マウスピースをつけていただけない場合は治療期間が長くなる場合があります。
症例実績一覧へ戻る