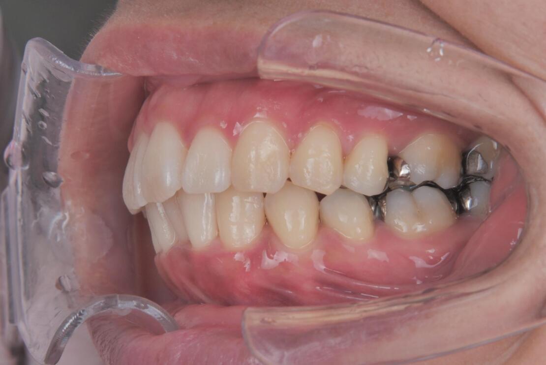
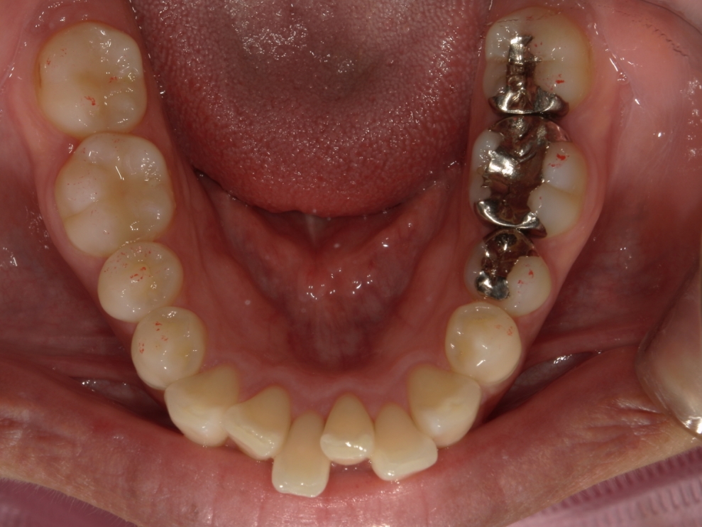
30代女性 出っ歯とガタガタが気になる
30代女性の患者さまで、出っ歯と下の前歯のガタつきを主訴にご相談に来院されました。
できるだけ抜歯をせずに治したい、目立たない方法で治療を進めたいというご希望をお持ちでした。
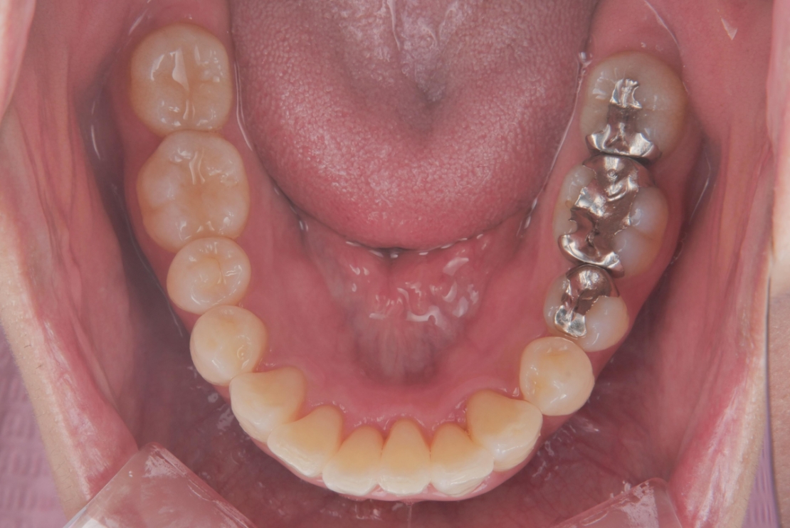
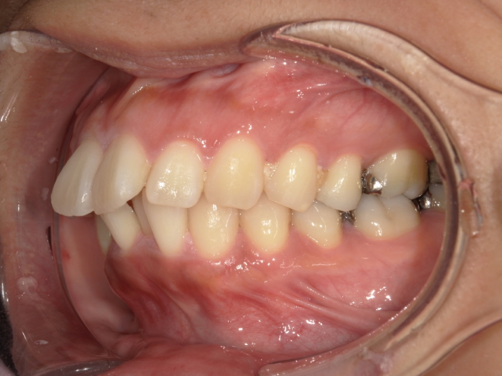
マウスピース矯正インビザラインにて矯正治療を行い、歯列全体のバランスと噛み合わせを考慮しながら計画を立てました。
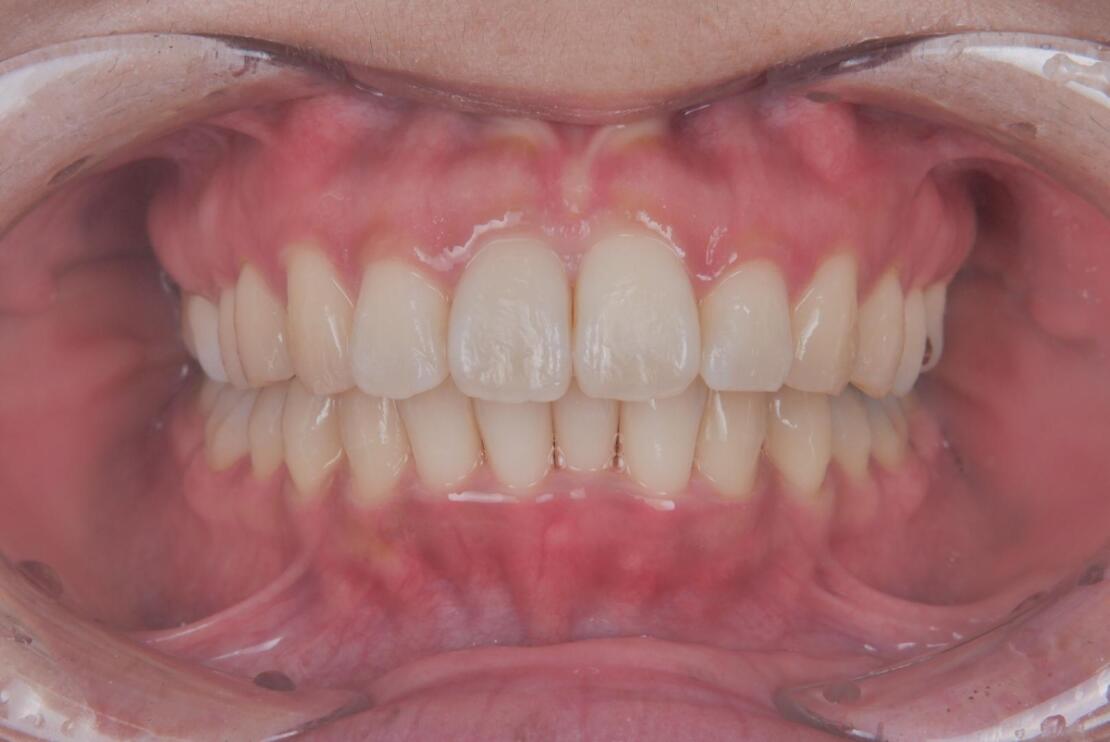
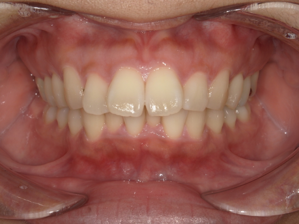
抜歯を行うことなく歯並びが改善し、見た目の印象も自然に整っています。
治療後には、「抜歯せずにここまできれいになって嬉しい」と大変喜んでいただけた症例です。
BEFORE
AFTER
| 年齢・性別 | 30代女性 |
|---|---|
| 主訴 | 出っ歯とガタガタが気になる |
| 施術内容 | 歯全体のマウスピース矯正システム「インビザラインフル」を用いた治療 |
| 治療期間 | 2年 |
| 費用 | 924,000円(税込) |
| リスク/副作用 | 全ての方で、疼痛、咬合痛、歯根吸収、歯肉退縮、歯髄壊死が生じる可能性があります。 |
| その他注意点 | 指定した時間、マウスピースをつけていただけない場合は治療期間が長くなる場合があります。 |

ガタガタ・八重歯
出っ歯
受け口
すきっ歯
開咬
深い噛み合わせ
〜11歳
12〜19歳
20〜29歳
30〜39歳
40〜49歳
50歳〜