30代女性 出っ歯とガタガタが気になる
30代女性の方です。
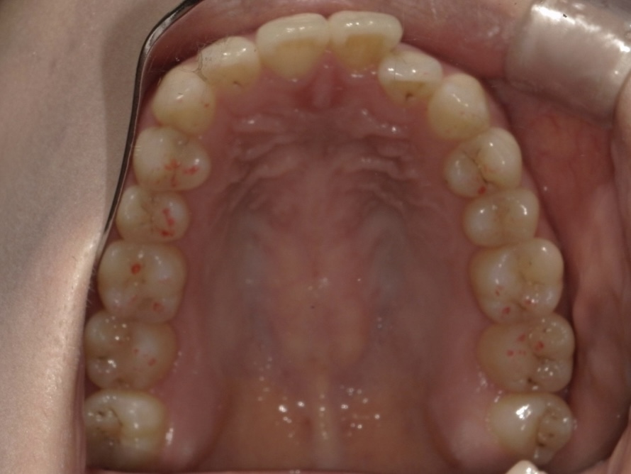
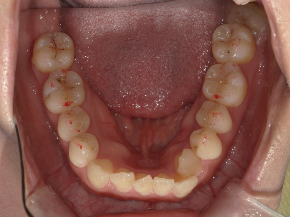
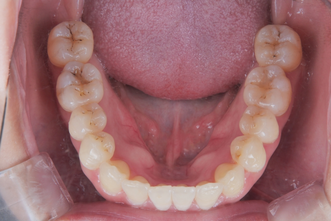
出っ歯やガタガタの歯並びに悩まれていらっしゃいました。
目立たないマウスピース矯正で2年間治療を行ったビフォーアフターです。
当院で矯正してよかった!これからは歯と笑顔に自信をもって笑えそうです、と大変嬉しいお言葉をいただきました。
BEFORE
AFTER
| 年齢・性別 | 30代女性 |
|---|---|
| 主訴 | 出っ歯、ガタガタ |
| 施術内容 | 歯全体のマウスピース矯正システム「インビザラインフル」を用いた治療 |
| 治療期間 | 2年 |
| 費用 | 924,000円(税込) |
| リスク/副作用 | 全ての方で、疼痛、咬合痛、歯根吸収、歯肉退縮、歯髄壊死が生じる可能性があります。 |
| その他注意点 | 指定した時間、マウスピースをつけていただけない場合は治療期間が長くなる場合があります。 |

ガタガタ・八重歯
出っ歯
受け口
すきっ歯
開咬
深い噛み合わせ
〜11歳
12〜19歳
20〜29歳
30〜39歳
40〜49歳
50歳〜
抜歯
非抜歯