30代女性 出っ歯が気になる
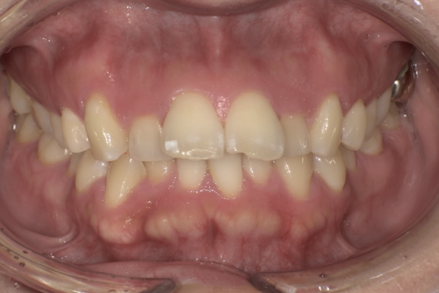
今回の症例の患者さまは30代女性で、出っ歯、下の前歯のガタつき、前歯で噛めないことを主訴にご来院されました。
以前から矯正治療に興味はあったものの、周囲でワイヤー矯正をしている方から「痛い」と聞いていたこともあり、見た目や痛みに不安を感じ、なかなか治療に踏み切れずにいたそうです。そんな中、当院のInstagramをご覧いただいたことをきっかけに、目立ちにくく痛みの少ないマウスピース矯正に関心を持たれ、矯正相談にお越しくださいました。
見た目の改善に加え、長年前歯で噛むことができず、常に奥歯で食事をしている点も気にされていました。
診断の結果、上顎前歯の唇側傾斜が強く、歯並びの状態だけを見ると抜歯を検討するケースでしたが、患者さまの「できるだけ抜歯は避けたい」というご希望を踏まえ、奥歯の遠心移動とIPR(歯と歯の間をわずかに調整する処置)を適切に組み合わせることで、抜歯を行わずに治療を進めました。
治療期間は1年10ヶ月、通院は2〜3ヶ月に1回と無理のないペースで進め、治療の経過を確認しながら計画的に歯並びと咬み合わせを整えました。
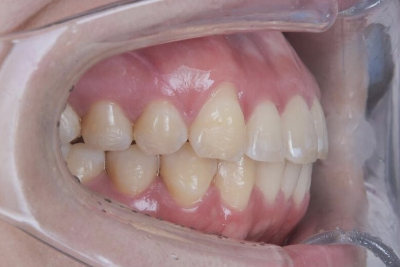
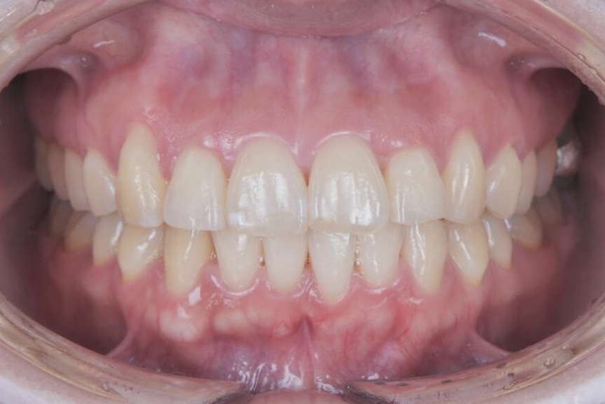
その結果、前歯の突出感や下の前歯のガタつきが改善し、前歯でしっかり噛める機能的な咬み合わせを獲得することができ、見た目と機能の両面で良好な結果が得られた症例です。
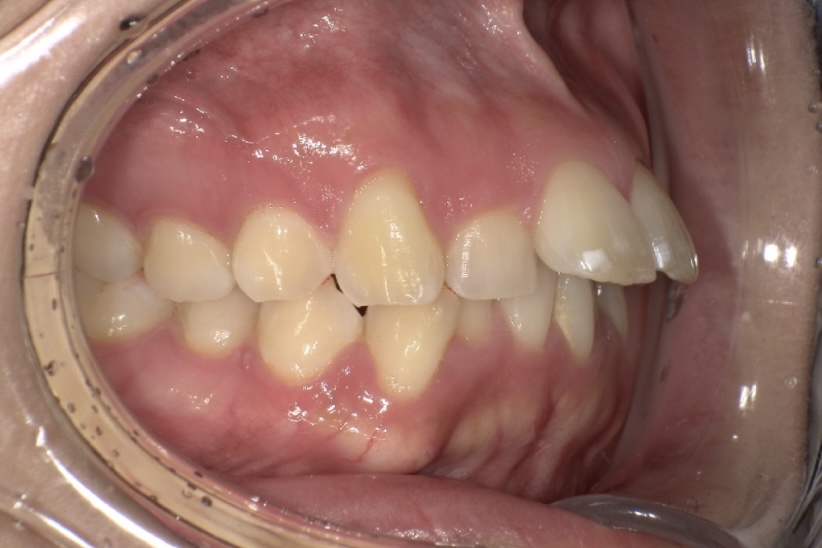
BEFORE
AFTER
| 年齢・性別 | 30代女性 |
|---|---|
| 主訴 | 出っ歯が気になる、前歯で噛めない |
| 施術内容 | 歯全体のマウスピース矯正システム「インビザラインフル」を用いた治療 |
| 治療期間 | 1年10ヶ月 |
| 費用 | 924,000円(税込) |
| リスク/副作用 | 全ての方で、疼痛、咬合痛、歯根吸収、歯肉退縮、歯髄壊死が生じる可能性があります。 |
| その他注意点 | 指定した時間、マウスピースをつけていただけない場合は治療期間が長くなる場合があります。 |

ガタガタ・八重歯
出っ歯
受け口
すきっ歯
開咬
深い噛み合わせ
〜11歳
12〜19歳
20〜29歳
30〜39歳
40〜49歳
50歳〜