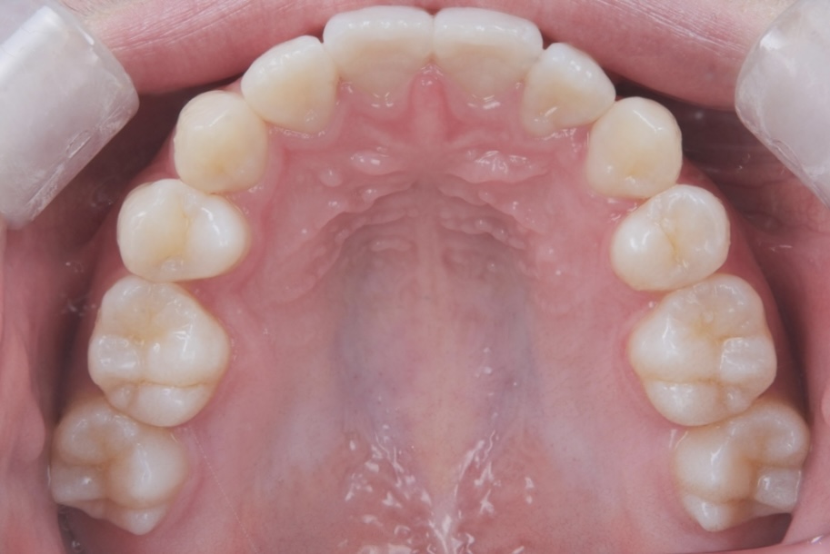
高校生女性 八重歯と噛み合わせが気になる
高校生の女性の患者さまで、初診時は15歳でした。八重歯と噛み合わせの乱れを主訴にご相談に来院されました。歯並びについて意識するようになったきっかけは、学校の歯科健診で矯正治療をすすめられたことだったそうです。
実はその前に、他院で一度ご相談されたものの、「15歳ではインビザライン矯正はできない」と言われ、治療を断られてしまったご経験があったそうです。その後、あらためて当院へご相談にお越しくださり、「高校生の間に矯正治療を終えたい」という明確なご希望をお持ちでした。
当院では、年齢や成長段階を正確に評価したうえで治療計画を立案し、カリエール装置を併用したマウスピース矯正を行いました。当院ではマウスピース矯正を専門的に数多く手がけてきた経験をもとに、見た目だけでなく噛み合わせの改善まで含めた治療を進めています。
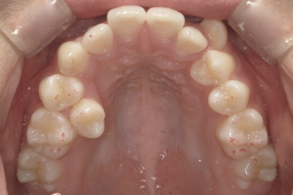
治療期間は1年7ヶ月で、高校生のうちに矯正治療を終えることができました。
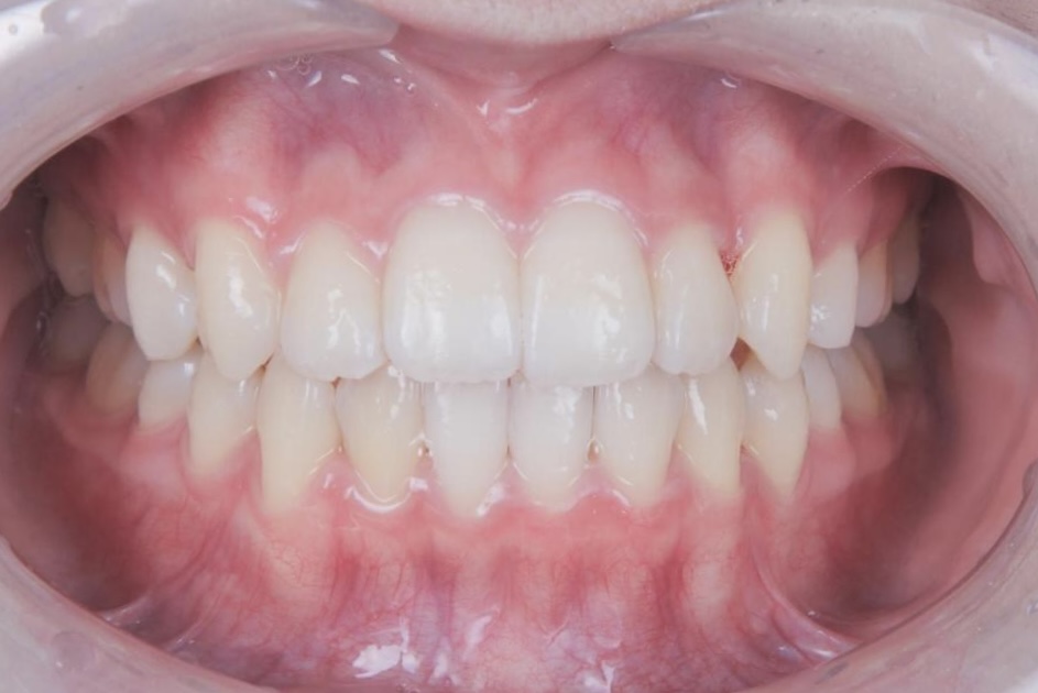
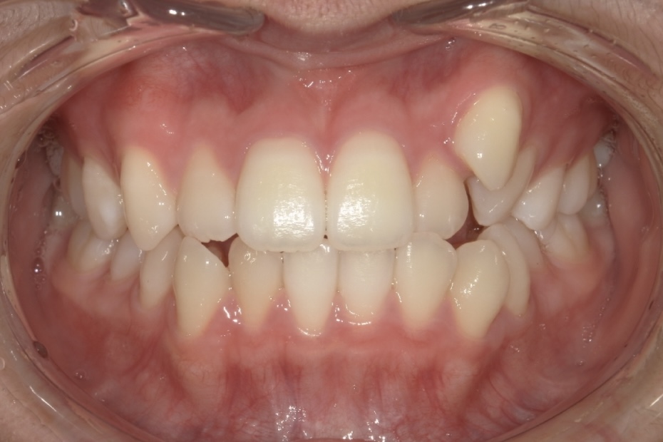
八重歯や噛み合わせが整い、口元の印象が大きく改善しています。治療後には、矯正中のモチベーション維持や経過確認がしやすかった点、想定よりも早く治療を終えられたことについて、嬉しい口コミもお寄せいただきました。
BEFORE
AFTER
| 年齢・性別 | 高校生女性 |
|---|---|
| 主訴 | 八重歯と噛み合わせが気になる |
| 施術内容 | 歯全体のマウスピース矯正システム「インビザラインアドバンス」を用いた治療 |
| 治療期間 | 1年7ヶ月 |
| 費用 | 1,034,000円(税込) |
| リスク/副作用 | 全ての方で、疼痛、咬合痛、歯根吸収、歯肉退縮、歯髄壊死が生じる可能性があります。 |
| その他注意点 | 指定した時間、マウスピースをつけていただけない場合は治療期間が長くなる場合があります。 |

ガタガタ・八重歯
出っ歯
受け口
すきっ歯
開咬
深い噛み合わせ
〜11歳
12〜19歳
20〜29歳
30〜39歳
40〜49歳
50歳〜