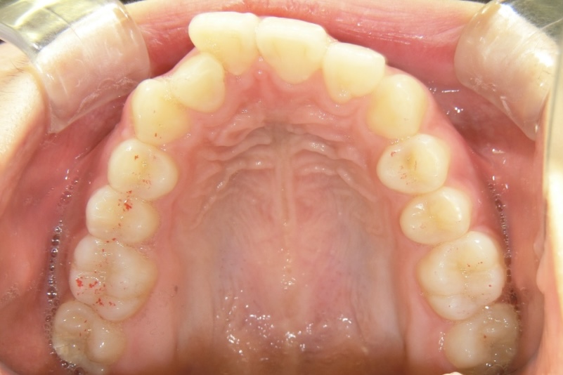
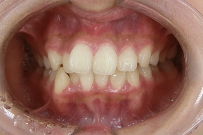
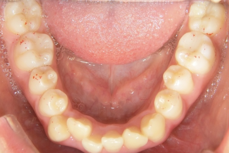
高校生女性 ガタガタが気になる
以前よりメインテナンスで通院してくださっていた高校生の女性の患者さまで、高校生のうちに目立たない方法でガタガタした歯並びをきれいにしたいとご相談をいただきました。学校生活への影響をできるだけ抑えながら治療を進めたいというご希望を踏まえ、当院で専門的に行っているマウスピース矯正にて治療を開始しました。
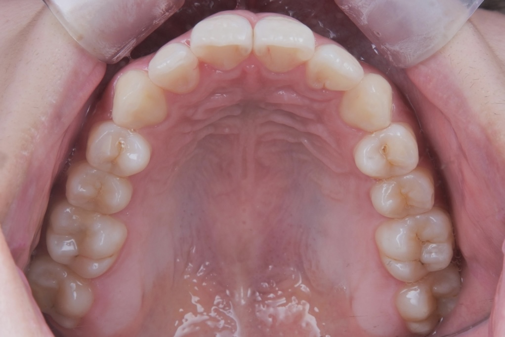
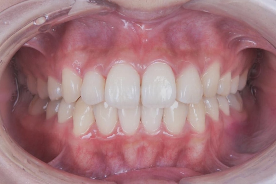
治療は計画通りに進み、わずか1年2ヶ月で歯並びが整いました。見た目が自然に改善したことで、笑顔の印象もより明るくなっています。
今後もメインテナンスを通して、整った歯並びと噛み合わせを長く良い状態で保てるよう、引き続きサポートしていきます。
BEFORE
AFTER
| 年齢・性別 | 10代女性 |
|---|---|
| 主訴 | ガタガタが気になる |
| 施術内容 | 歯全体のマウスピース矯正システム「インビザラインフル」を用いた治療 |
| 治療期間 | 1年2ヶ月 |
| 費用 | 924,000円(税込) |
| リスク/副作用 | 全ての方で、疼痛、咬合痛、歯根吸収、歯肉退縮、歯髄壊死が生じる可能性があります。 |
| その他注意点 | 指定した時間、マウスピースをつけていただけない場合は治療期間が長くなる場合があります。 |

ガタガタ・八重歯
出っ歯
受け口
すきっ歯
開咬
深い噛み合わせ
〜11歳
12〜19歳
20〜29歳
30〜39歳
40〜49歳
50歳〜