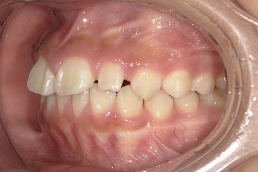
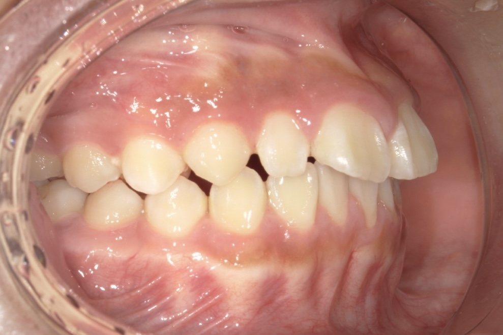
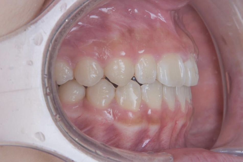
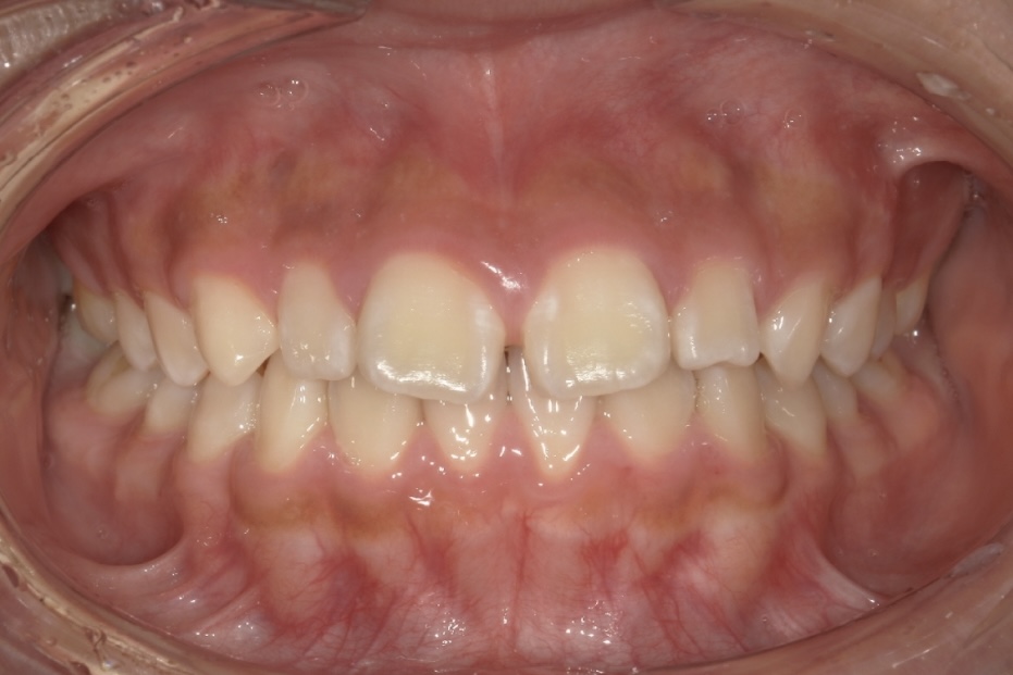
中学生女性 すきっ歯と出っ歯が気になる

初診時中学生の女性の患者さまで、すきっ歯と出っ歯を主訴にご相談に来院されました。
歯を抜かずに、できるだけ痛みの少ない方法で矯正したいというご希望をお持ちでした。

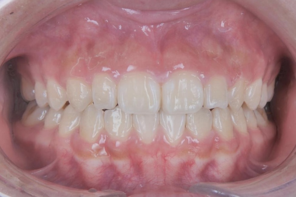
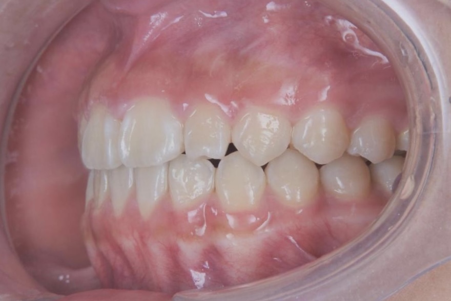
治療は、マウスピース矯正インビザラインにて矯正治療を行い、歯列全体のバランスを考慮しながら計画を立てました。矯正期間は1年2ヶ月で、抜歯を行うことなく歯並びが整っています。

また、お母さまも同時にインビザライン矯正を開始され、親子で前向きに治療に取り組んでくださいました。
ご家族で通院しながら、無理なく治療を進めることができた症例です。

BEFORE AFTER
Before 1
After 1
Before 2
After 2
Before 3
After 3
年齢・性別 中学生女性
主訴 すきっ歯と出っ歯が気になる
施術内容 歯全体のマウスピース矯正システム「インビザラインフル」を用いた治療
治療期間 1年2ヶ月
費用 924,000円(税込)
リスク/副作用 全ての方で、疼痛、咬合痛、歯根吸収、歯肉退縮、歯髄壊死が生じる可能性があります。
その他注意点 指定した時間、マウスピースをつけていただけない場合は治療期間が長くなる場合があります。
症例実績一覧へ戻る