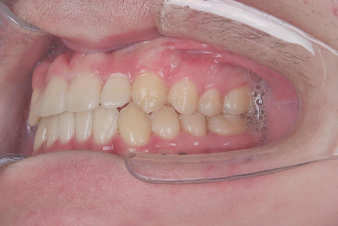
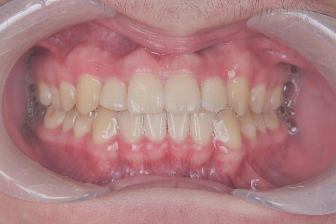
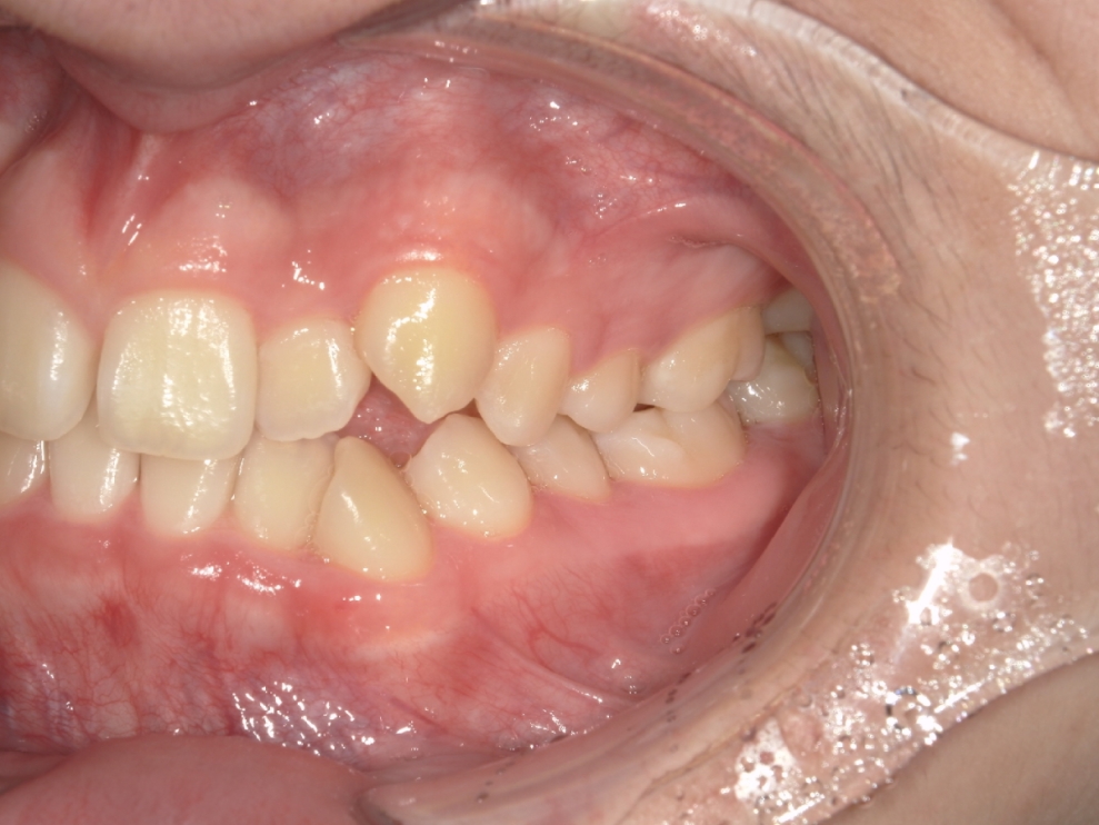
中学生男性 ガタガタが気になる
10代男性の患者さまで、治療開始時は13歳でした。主訴は歯並びのガタつきで、学校健診で指摘を受けたことをきっかけにご相談に来院されました。
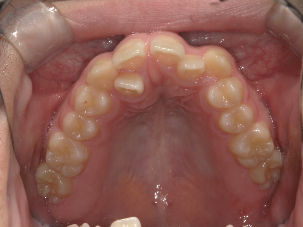
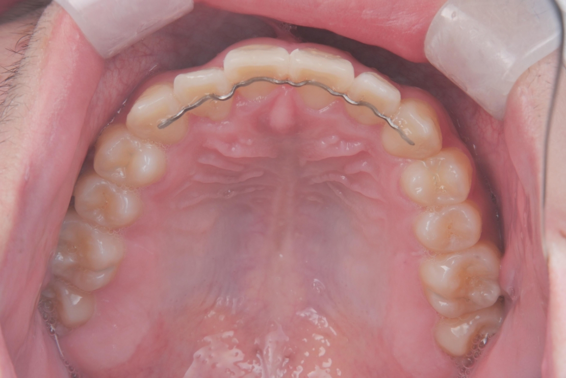
成長期であることを踏まえ、精密な診査・診断のもと治療計画を立てました。まず8ヶ月間、急速拡大装置を用いて顎の幅を広げ、歯がきれいに並ぶためのスペースを確保しました。その後、マウスピース矯正インビザラインにて矯正治療を行い、歯列全体を整えています。
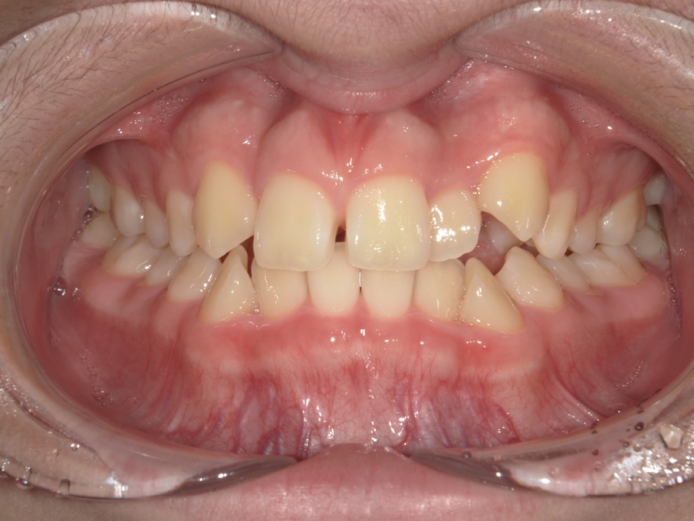
インビザラインと急速拡大装置を併用することで、抜歯を行うことなく歯並びを改善することができました。治療期間は2年8ヶ月で、見た目だけでなく機能面も安定した噛み合わせへと整っています。
成長期を活かしたアプローチにより、将来を見据えた歯列環境を整えることができた症例です。
BEFORE
AFTER
| 年齢・性別 | 中学生男性 |
|---|---|
| 主訴 | ガタガタが気になる |
| 施術内容 | 急速拡大装置+インビザラインアドバンス |
| 治療期間 | 2年8ヶ月 |
| 費用 | 1,034,000円(税込) |
| リスク/副作用 | 全ての方で、疼痛、咬合痛、歯根吸収、歯肉退縮、歯髄壊死が生じる可能性があります。 |
| その他注意点 | 指定した時間、マウスピースをつけていただけない場合は治療期間が長くなる場合があります。 |

ガタガタ・八重歯
出っ歯
受け口
すきっ歯
開咬
深い噛み合わせ
〜11歳
12〜19歳
20〜29歳
30〜39歳
40〜49歳
50歳〜