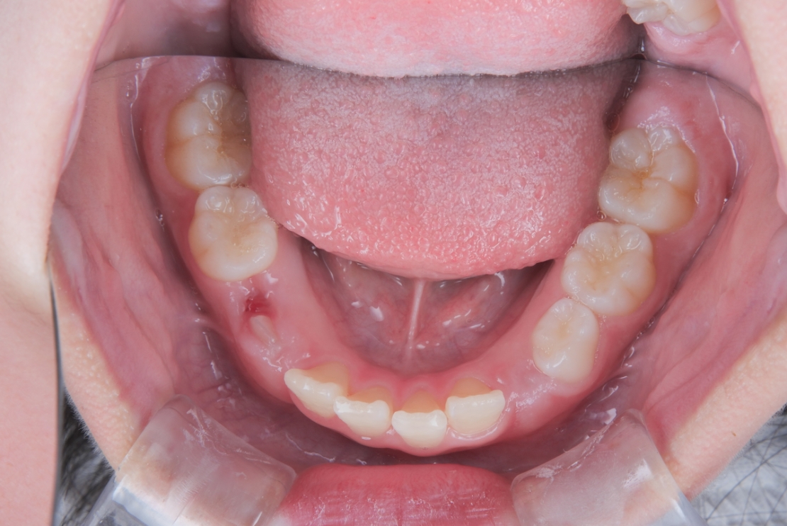
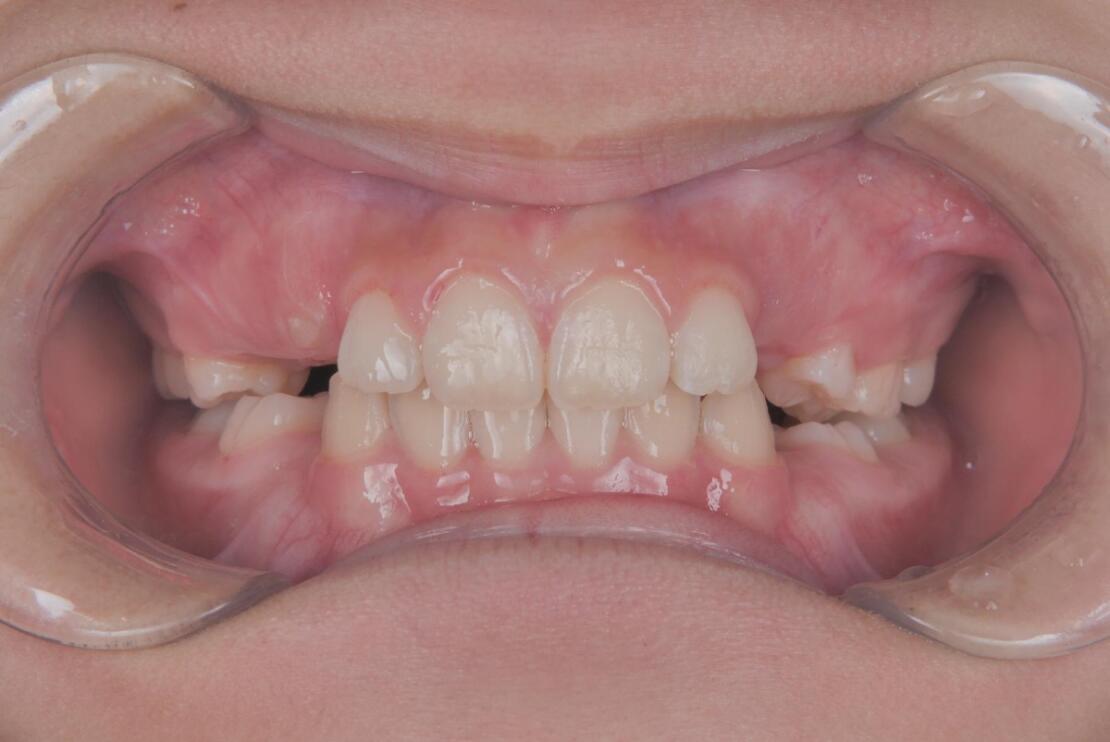
8歳女児 前歯のガタガタが気になる
スタート時8歳の女の子の症例です。主訴は歯並びのガタつきと、上の2番目の歯が八重歯のようにハの字に傾いていることでした。
お父さまは、「ワイヤー矯正だと痛みが強く、途中で続けられなくなるかもしれない」とご心配され、できるだけ負担の少ない方法で治療を受けさせてあげたいという思いからご相談に来院されました。
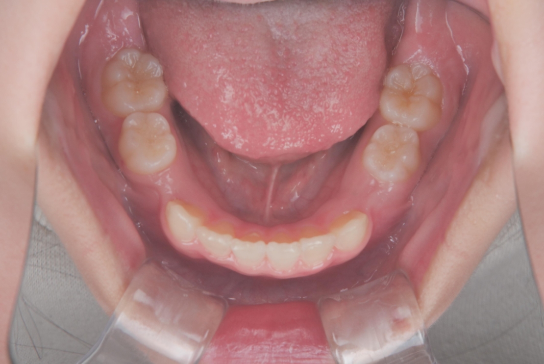
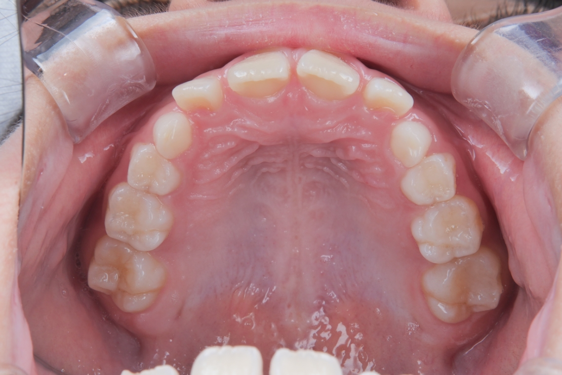
治療は、マウスピース矯正インビザライン・ファーストにて矯正治療を行い、成長を活かしながら歯列を整えていきました。治療期間はわずか11ヶ月で完了し、ガタつきと歯の傾きは改善しています。
治療終了時に「痛みはどうだった?大変じゃなかった?」とご本人にお聞きしたところ、「全然大丈夫だった!」と笑顔で答えてくださいました。無理なく前向きに取り組んでいただけたことが印象的な症例です。
BEFORE
AFTER
| 年齢・性別 | 8歳女児 |
|---|---|
| 主訴 | 前歯のガタガタが気になる |
| 施術内容 | プレオルソ+歯全体のマウスピース矯正システム「インビザラインファースト」を用いた治療 |
| 治療期間 | 1年3ヶ月(プレオルソ4ヶ月、インビザラインファースト11ヶ月) |
| 費用 | 594,000円(税込) |
| リスク/副作用 | 全ての方で、疼痛、咬合痛、歯根吸収、歯肉退縮、歯髄壊死が生じる可能性があります。 |
| その他注意点 | 指定した時間、マウスピースをつけていただけない場合は治療期間が長くなる場合があります。 |

ガタガタ・八重歯
出っ歯
受け口
すきっ歯
開咬
深い噛み合わせ
〜11歳
12〜19歳
20〜29歳
30〜39歳
40〜49歳
50歳〜