8歳女児 ガタガタが気になる
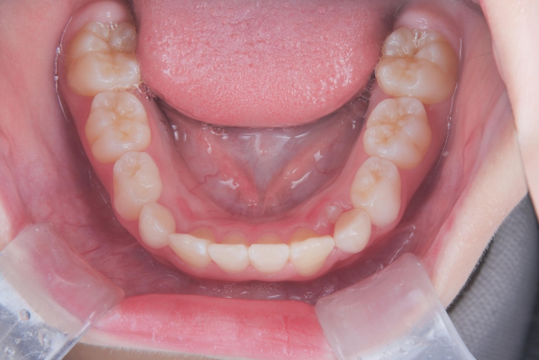
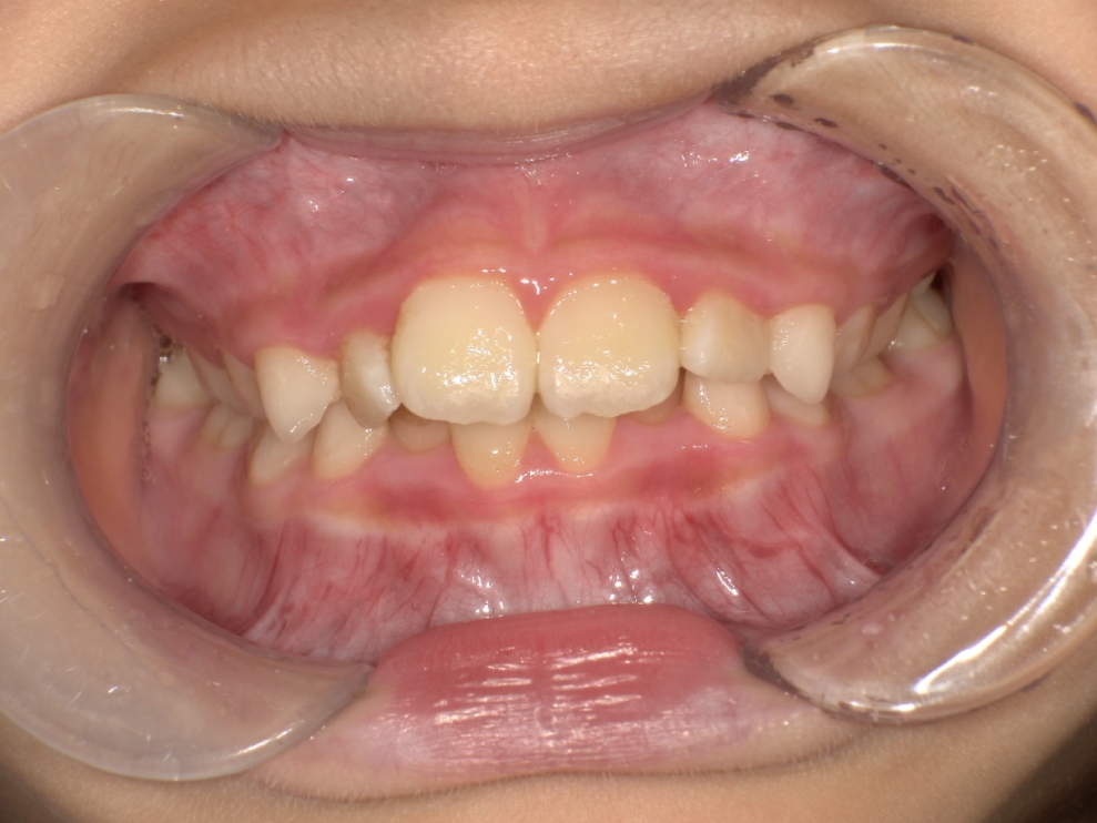
スタート時8歳の女の子の症例です。主訴は歯並びのガタつきでした。2年前に歯科医院で「顎が小さく、このままだと歯並びが悪くなる可能性がある」と指摘を受けていたことや、学校健診でチェックが入ったことをきっかけにご相談に来院されました。診査の結果、歯列のガタつきに加え、深い噛み合わせの状態も確認されました。
できるだけ痛みや不快感の少ない方法で治療を進めたいとのご希望があり、「しっかり治るのであれば期間にはこだわらない」と前向きなお気持ちで治療に臨まれました。
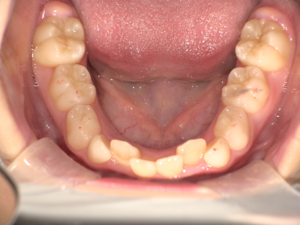
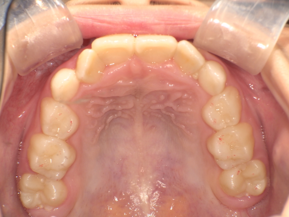
治療は、マウスピース矯正インビザライン・ファーストにて矯正治療を行い、成長を活かしながら歯列と噛み合わせを整えていきました。治療期間は1年2ヶ月で、ガタつきと深い噛み合わせが改善し、将来を見据えた安定した歯列環境を整えることができました。
成長期だからこそ可能なアプローチで、早期に問題を改善できた症例です。
BEFORE
AFTER
| 年齢・性別 | 8歳女児 |
|---|---|
| 主訴 | ガタガタが気になる |
| 施術内容 | インビザラインファースト |
| 治療期間 | 1年2ヶ月 |
| 費用 | 594,000円(税込) |
| リスク/副作用 | 全ての方で、疼痛、咬合痛、歯根吸収、歯肉退縮、歯髄壊死が生じる可能性があります。 |
| その他注意点 | 指定した時間、マウスピースをつけていただけない場合は治療期間が長くなる場合があります。 |

ガタガタ・八重歯
出っ歯
受け口
すきっ歯
開咬
深い噛み合わせ
〜11歳
12〜19歳
20〜29歳
30〜39歳
40〜49歳
50歳〜