9歳女児 ガタガタが気になる
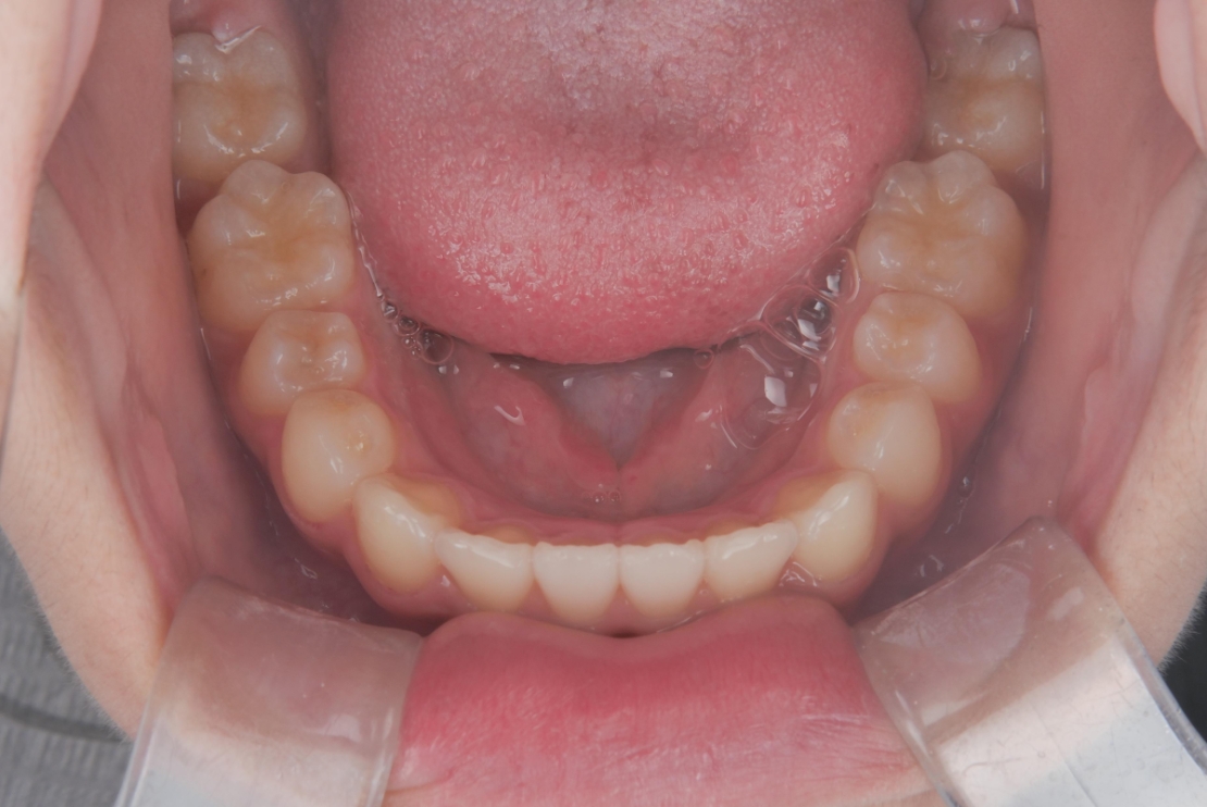
スタート時9歳の患者さまで、主訴は上下前歯のガタつきでした。早期に歯並びを整えたいとの思いからご相談に来院されました。
成長期であることを踏まえ、段階的な治療計画を立てました。まずプレオルソを1年1ヶ月使用し、口腔周囲筋や歯列のバランスを整えたうえで、その後、マウスピース矯正インビザライン・ファーストにて矯正治療を行い、さらに1年8ヶ月かけて歯並びを整えています。
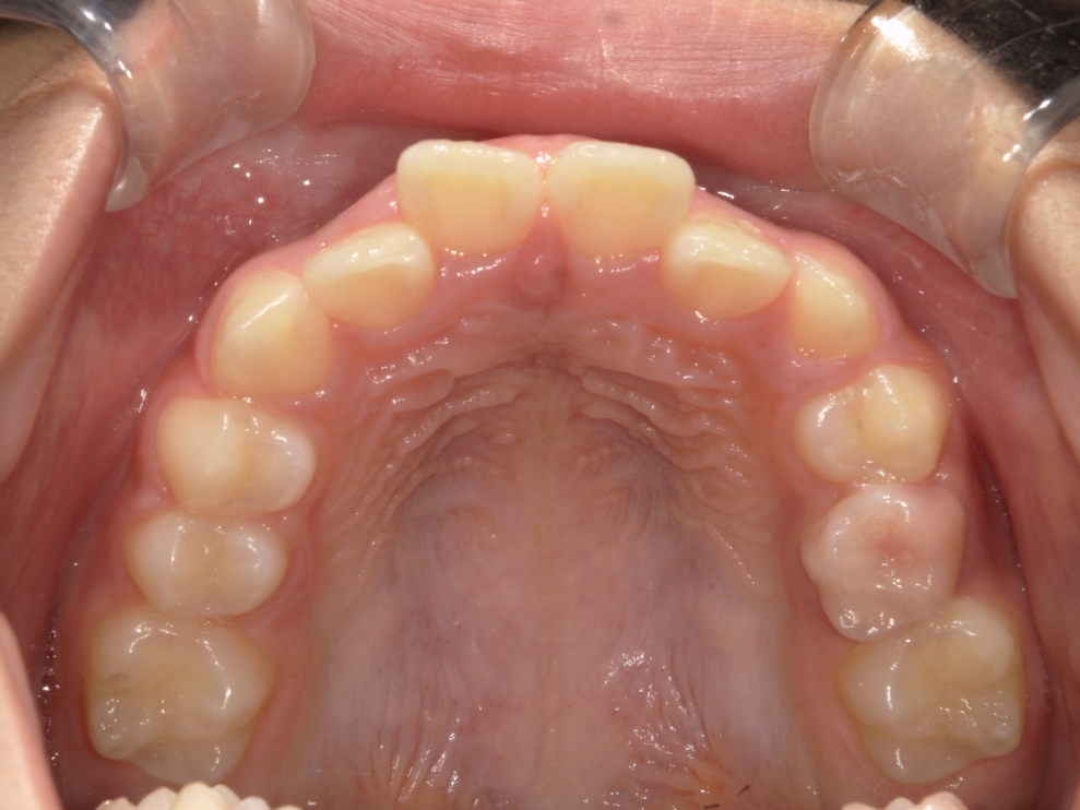
治療期間は合計2年9ヶ月で、上下前歯のガタつきは改善し、見た目と機能の両面が整った歯列へと改善しました。
また、妹さまも現在当院にて矯正治療を進めており、ご家族で通院いただいている症例です。安心して治療を任せていただけていることを大変嬉しく思います
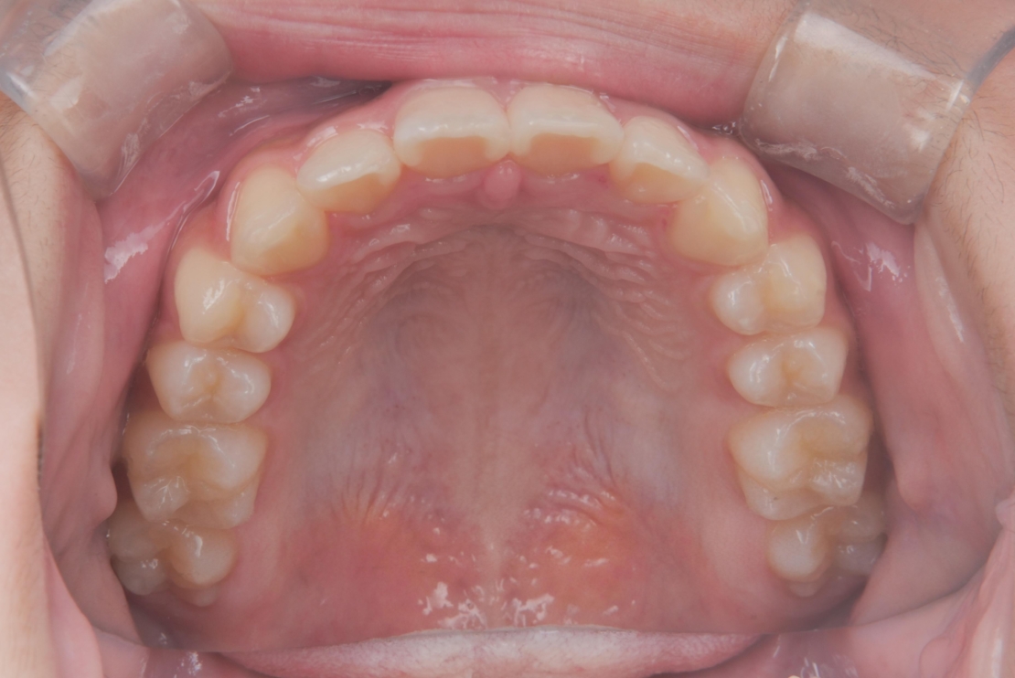
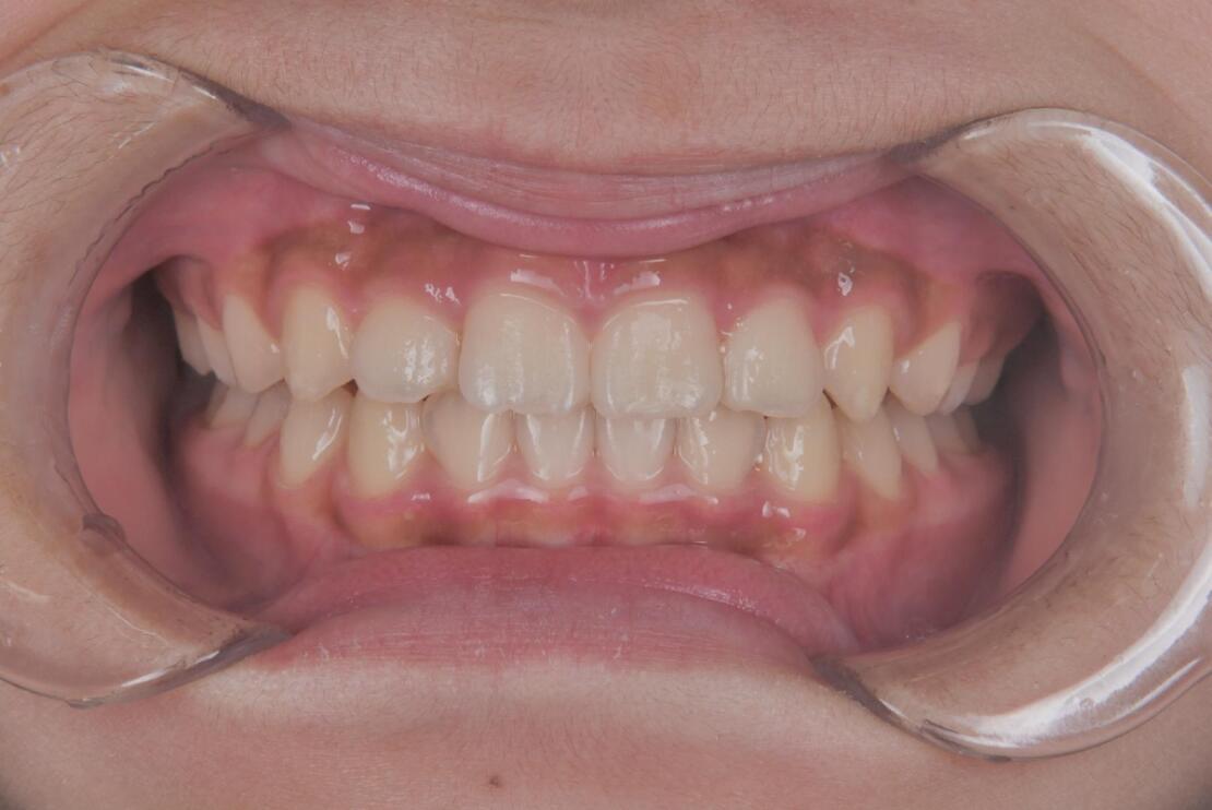
BEFORE
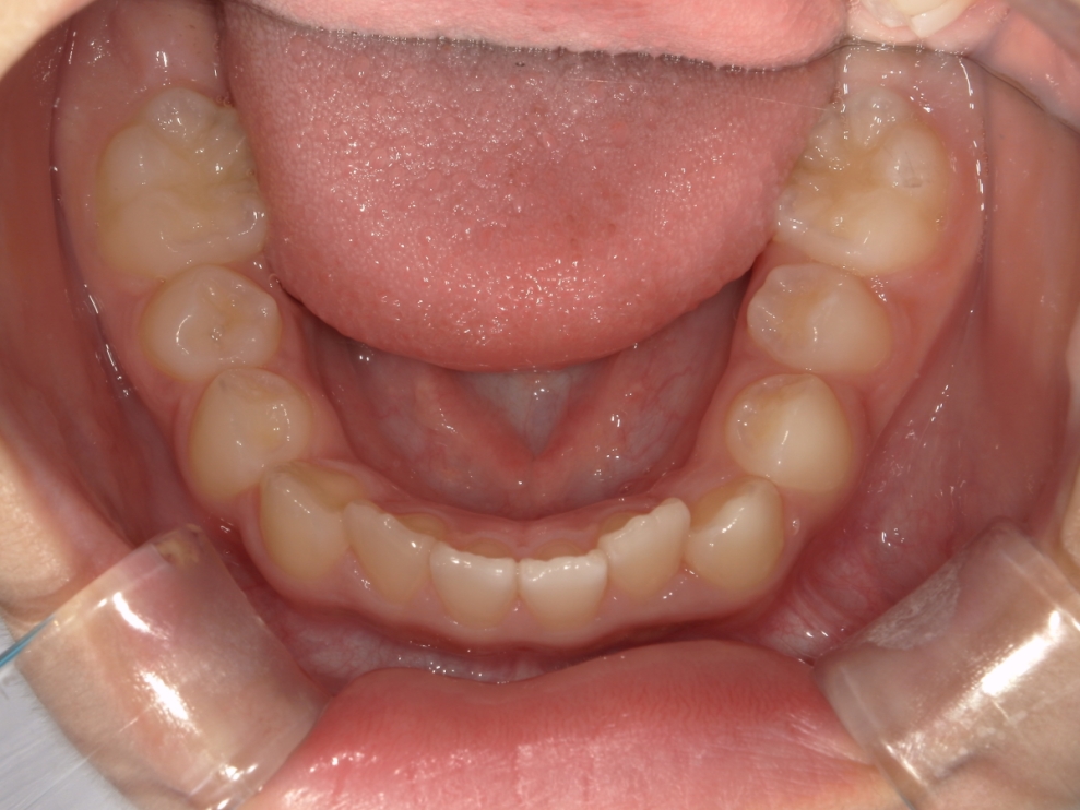
AFTER
| 年齢・性別 | 9歳女児 |
|---|---|
| 主訴 | 前歯のガタガタが気になる |
| 施術内容 | プレオルソ+歯全体のマウスピース矯正システム「インビザラインファースト」を用いた治療 |
| 治療期間 | 2年9ヶ月 |
| 費用 | 594,000円(税込) |
| リスク/副作用 | 全ての方で、疼痛、咬合痛、歯根吸収、歯肉退縮、歯髄壊死が生じる可能性があります。 |
| その他注意点 | 指定した時間、マウスピースをつけていただけない場合は治療期間が長くなる場合があります。 |

ガタガタ・八重歯
出っ歯
受け口
すきっ歯
開咬
深い噛み合わせ
〜11歳
12〜19歳
20〜29歳
30〜39歳
40〜49歳
50歳〜