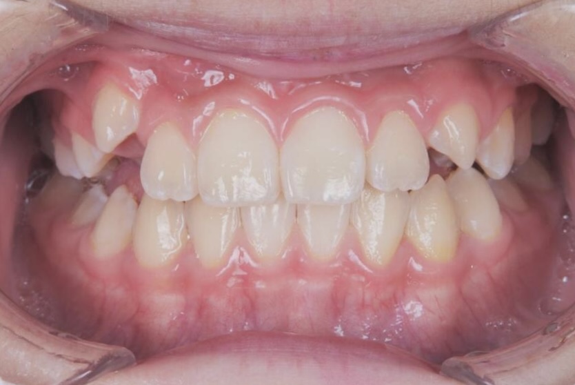
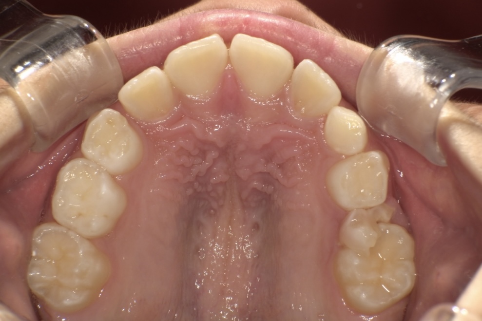
8歳男児 永久歯が生えるスペースがないのが気になる

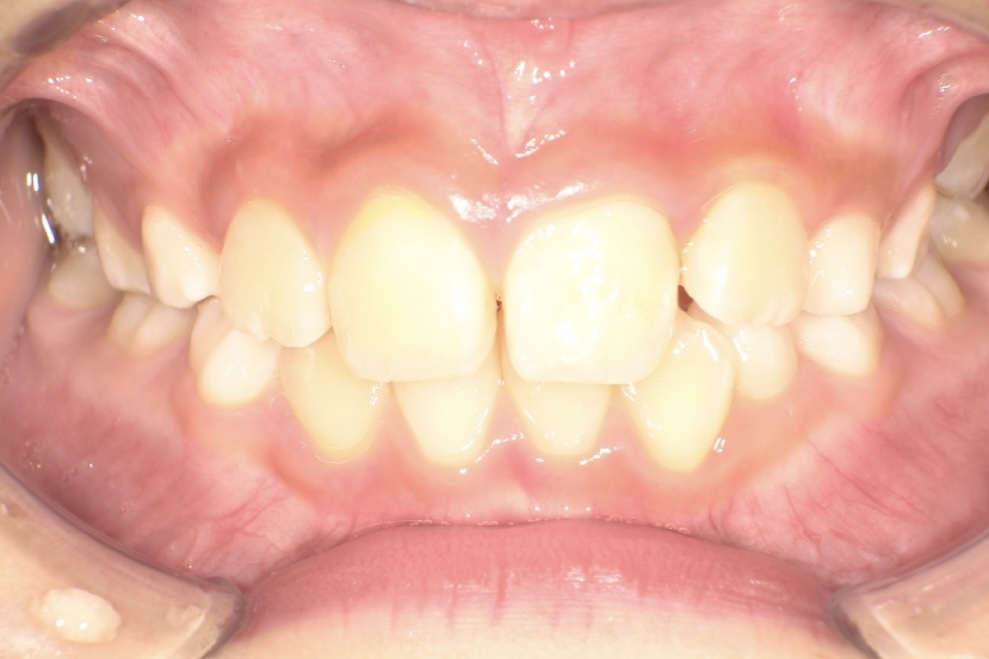
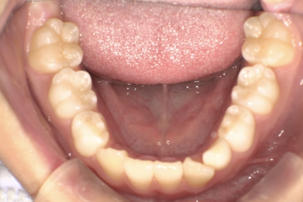
8歳の男の子の症例です。主訴は「永久歯が生えてくるスペースがないこと」でした。初診時の写真では一見きれいに歯が並んでいるように見えますが、上下顎ともにこれから生えてくる永久歯が並ぶためのスペースが不足している状態でした。

このまま成長を迎えると、将来的に歯並びの乱れが強くなったり、抜歯を伴う矯正治療が必要になる可能性が高いと判断しました。そこで、痛みが少なく目立たない子ども用マウスピース矯正であるインビザライン・ファーストを用いて治療を行いました。

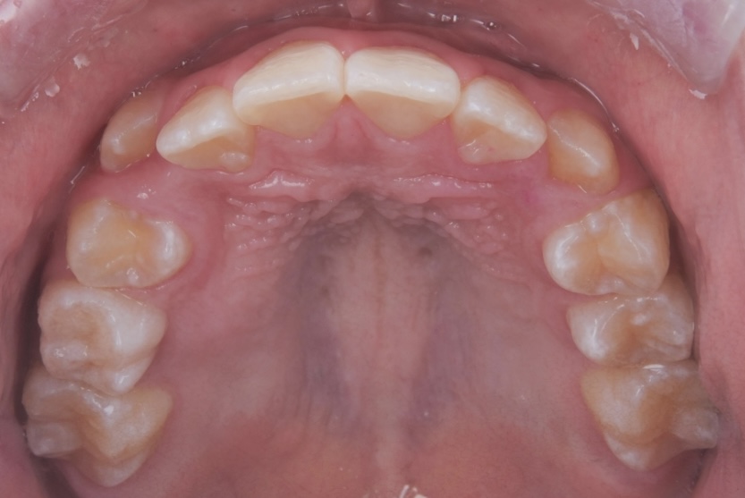
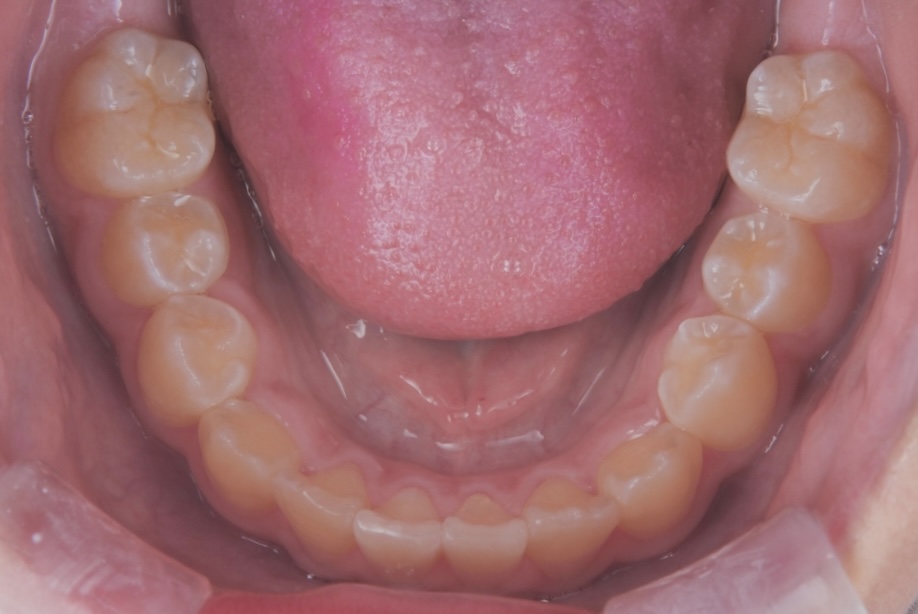
治療期間は約2年で、成長をうまく利用しながら顎を拡大し、永久歯が正しく生えてくるためのスペースを確保することができました。その結果、将来を見据えた健全な歯列環境を整えることができています。

このように、顎の成長を活かしてスペースを確保する治療は、成長期にある子ども時代だからこそ可能な治療であり、将来的な負担を軽減できる非常に価値の高い矯正治療といえます

BEFORE AFTER
Before 1
After 1
Before 2
After 2
Before 3
After 3
年齢・性別 8歳男児
主訴 永久歯が生えるスペースがない
施術内容 歯全体のマウスピース矯正システム「インビザラインファースト」を用いた治療
治療期間 2年
費用 594,000円(税込)
リスク/副作用 全ての方で、疼痛、咬合痛、歯根吸収、歯肉退縮、歯髄壊死が生じる可能性があります。
その他注意点 指定した時間、マウスピースをつけていただけない場合は治療期間が長くなる場合があります。
症例実績一覧へ戻る