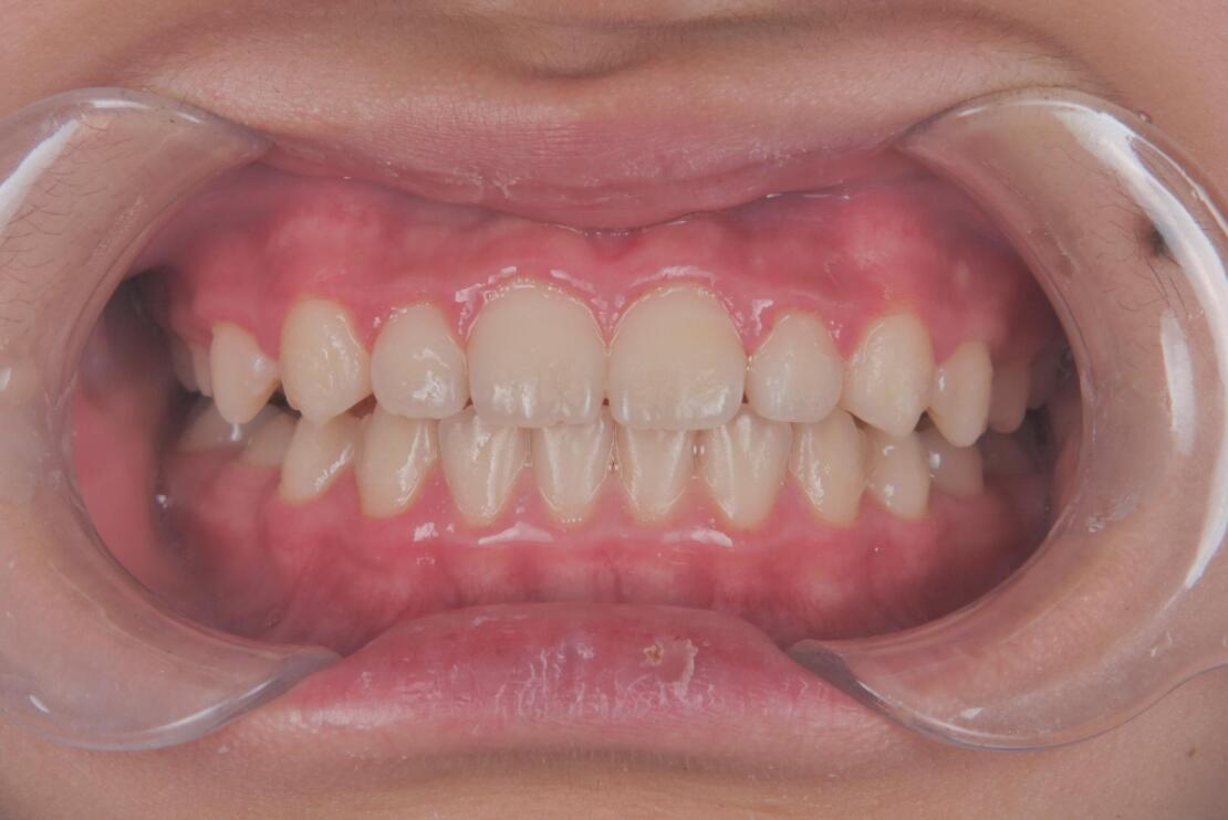
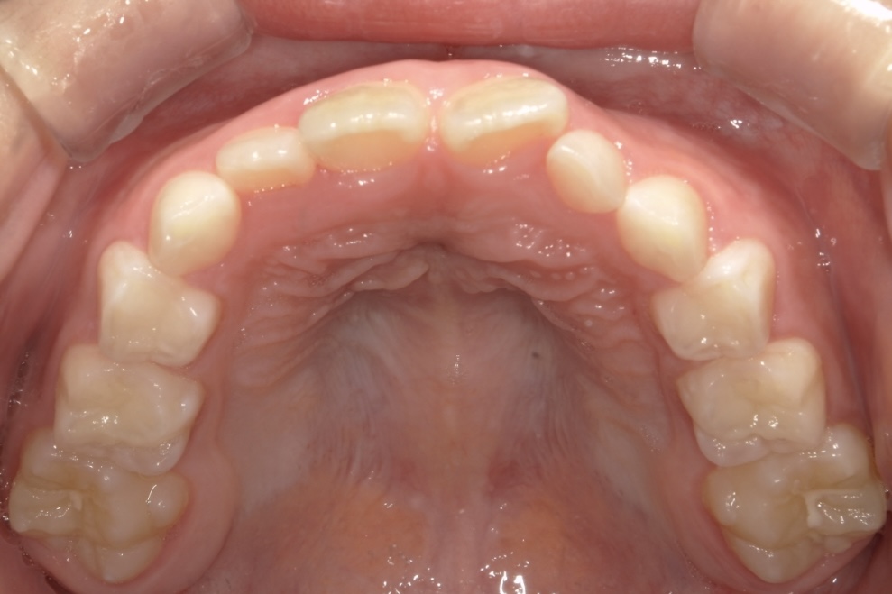
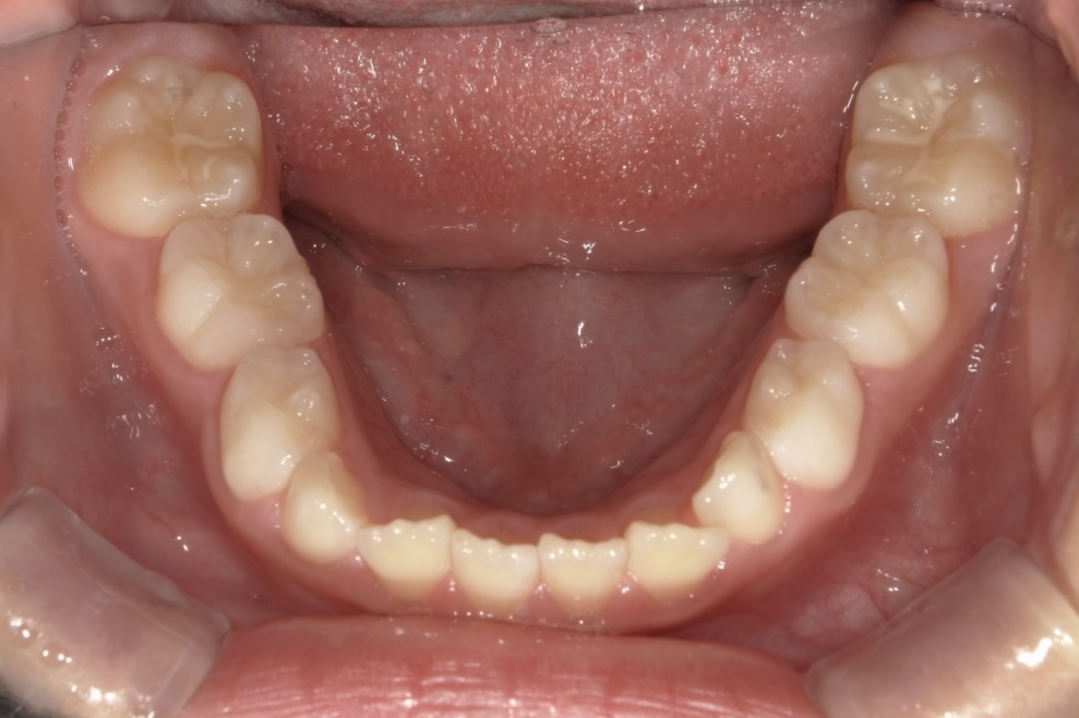
9歳男児 すきっ歯とガタガタが気になる
主訴は歯並びのガタつきとすきっ歯でした。できるだけ痛みや不快感の少ない方法で治療を進めたいとのご希望をお持ちでした。
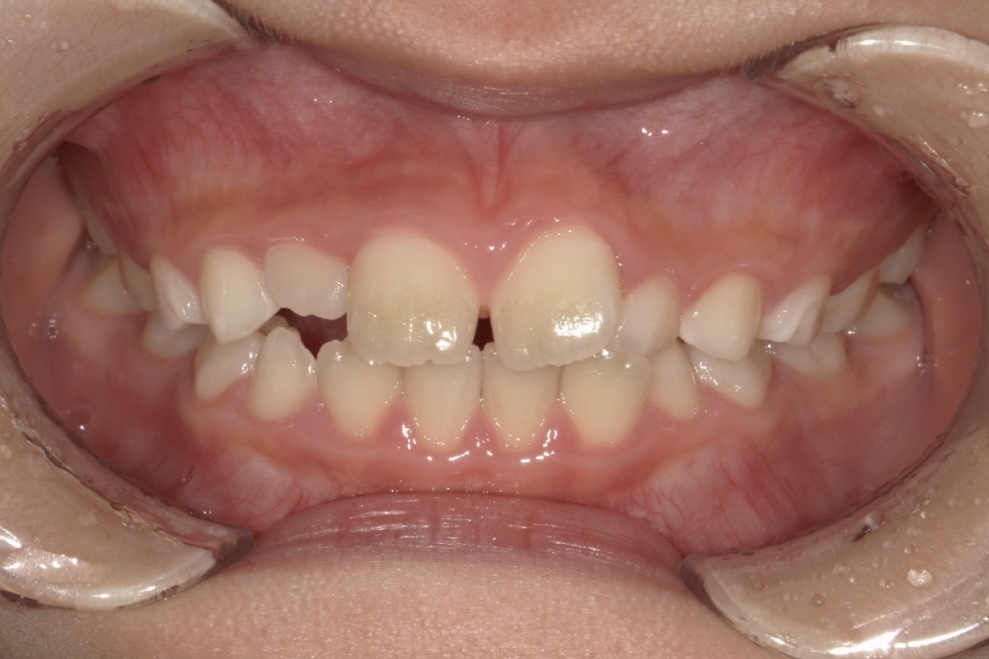
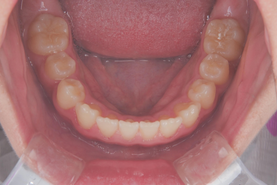
成長を活かした治療計画のもと、まずプレオルソを1年間使用し、歯列と顎のバランスを整えました。その後、マウスピース矯正インビザライン・ファーストにて矯正治療を行い、半年間で歯並びをさらに整えています。
段階的にアプローチすることで、無理なく歯列を改善し、見た目と機能の両面を整えることができた症例です。
BEFORE
AFTER
| 年齢・性別 | 9歳男児 |
|---|---|
| 主訴 | すきっ歯とガタガタが気になる |
| 施術内容 | プレオルソ+インビザラインファースト |
| 治療期間 | 1年半 |
| 費用 | 594,000円(税込) |
| リスク/副作用 | 全ての方で、疼痛、咬合痛、歯根吸収、歯肉退縮、歯髄壊死が生じる可能性があります。 |
| その他注意点 | 指定した時間、マウスピースをつけていただけない場合は治療期間が長くなる場合があります。 |

ガタガタ・八重歯
出っ歯
受け口
すきっ歯
開咬
深い噛み合わせ
〜11歳
12〜19歳
20〜29歳
30〜39歳
40〜49歳
50歳〜