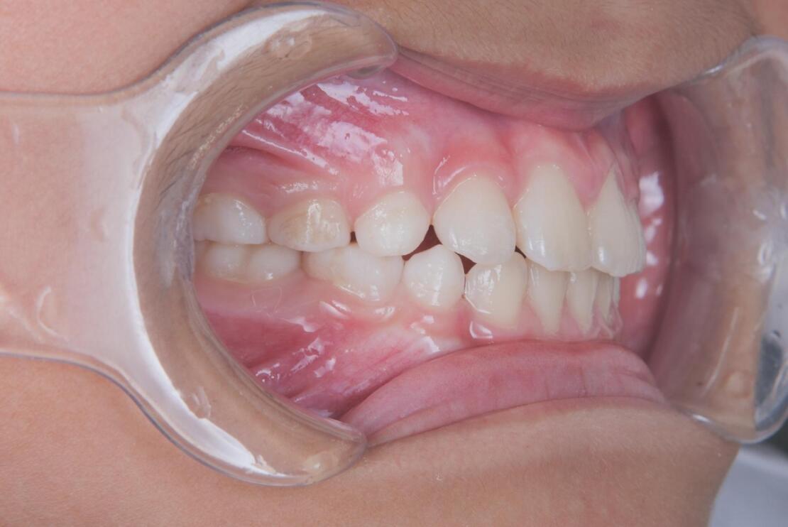
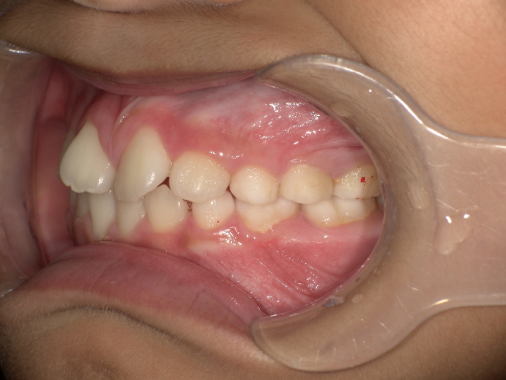
8歳男児 すきっ歯が気になる
スタート時8歳の男の子の症例です。
主訴はすきっ歯でした。
早期に歯並びを整えたいとの思いからご相談に来院されました。
成長期であることを踏まえ、精密な診査・診断のもと治療計画を立て、マウスピース矯正インビザライン・ファーストにて矯正治療を行いました。
顎の成長を活かしながら歯列を整えることで、すき間の改善を図っています。
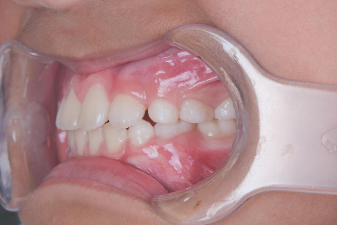
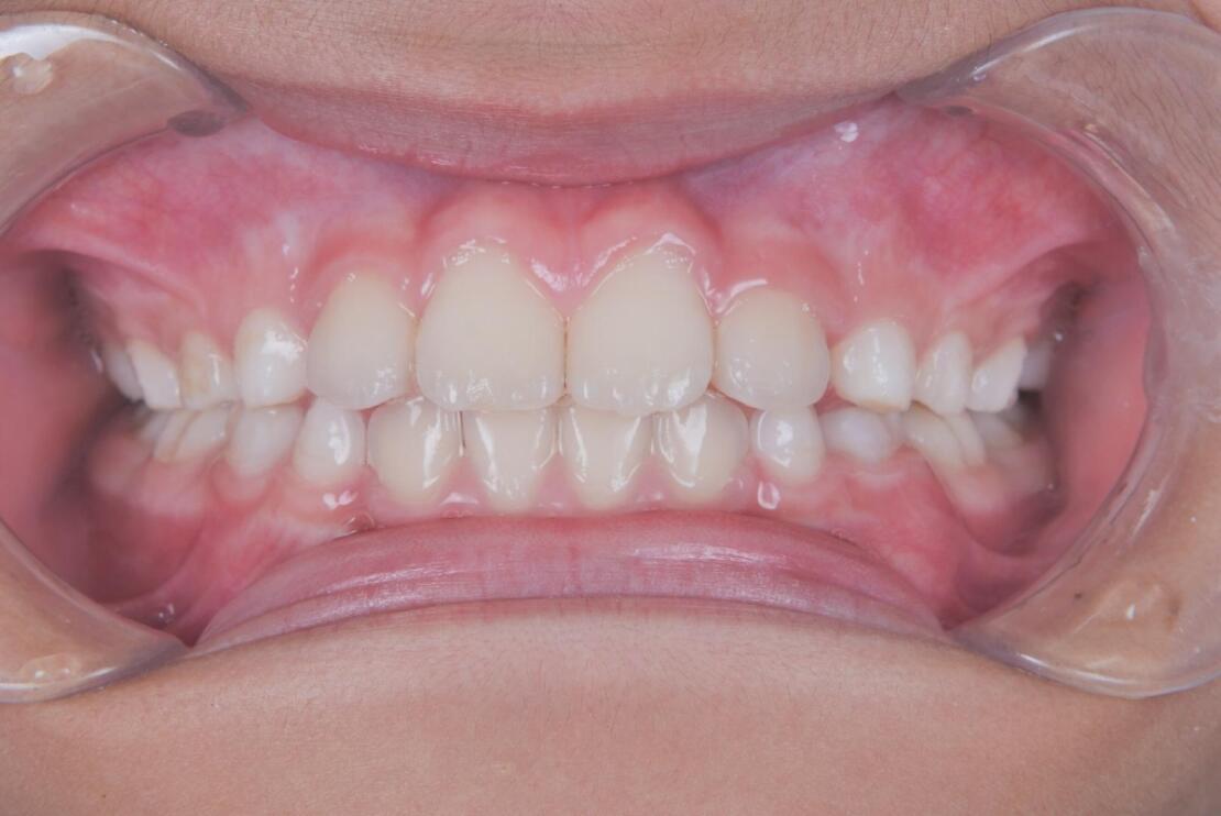
治療期間は1年4ヶ月で、歯並びが整い、将来を見据えた安定した歯列環境を整えることができました。
また、お兄さまも当院にて小児矯正治療を受けられており、ご家族で通院いただいている症例です。
安心して治療を任せていただけたことを大変嬉しく思います。
BEFORE
AFTER
| 年齢・性別 | 8歳男児 |
|---|---|
| 主訴 | すきっ歯が気になる |
| 施術内容 | 歯全体のマウスピース矯正システム「インビザラインファースト」を用いた治療 |
| 治療期間 | 1年4ヶ月 |
| 費用 | 594,000円(税込) |
| リスク/副作用 | 全ての方で、疼痛、咬合痛、歯根吸収、歯肉退縮、歯髄壊死が生じる可能性があります。 |
| その他注意点 | 指定した時間、マウスピースをつけていただけない場合は治療期間が長くなる場合があります。 |

ガタガタ・八重歯
出っ歯
受け口
すきっ歯
開咬
深い噛み合わせ
〜11歳
12〜19歳
20〜29歳
30〜39歳
40〜49歳
50歳〜