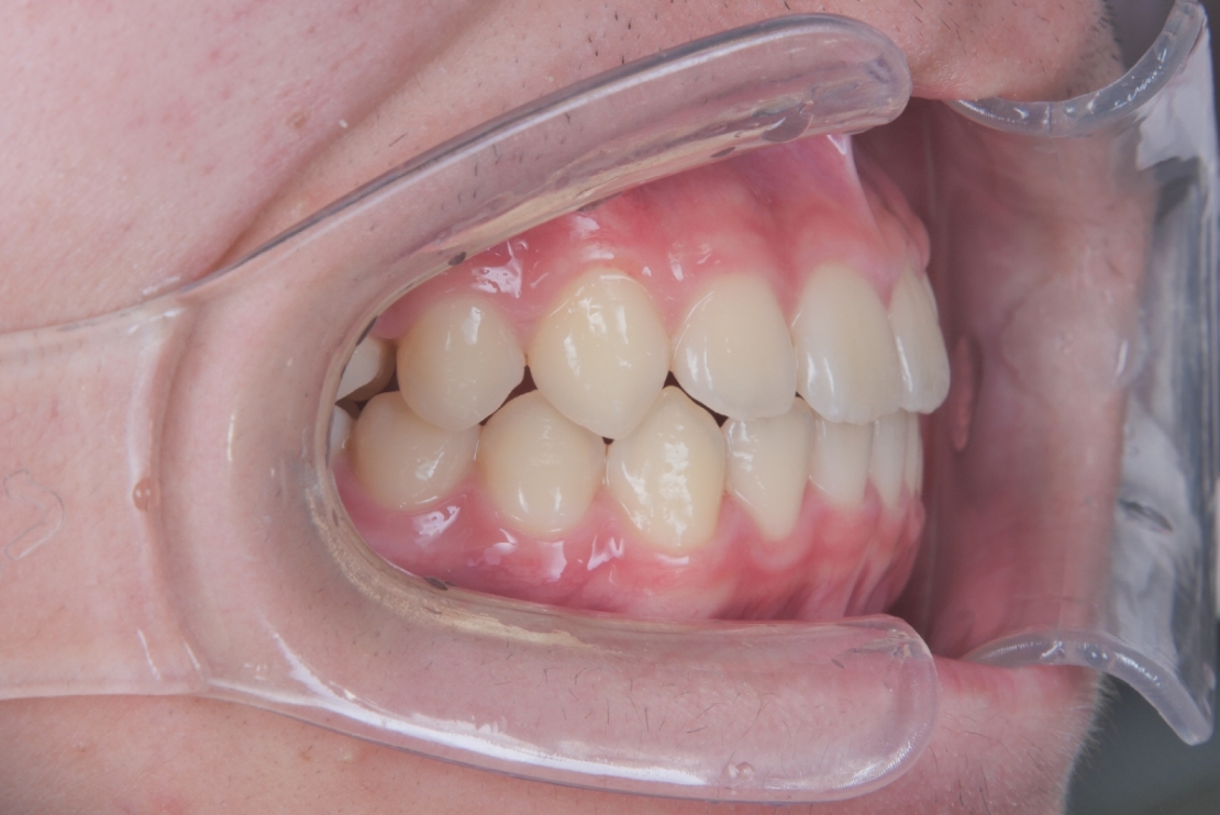
10歳男児 出っ歯と噛み合わせが気になる
スタート時10歳の男の子の症例です。主訴は出っ歯と噛み合わせの問題で、特に右上2が交叉している状態が認められました。できるだけ痛みが少なく、目立たない方法で治療を進めたいというご希望をお持ちでした。
精密な診査・診断のもと治療計画を立て、マウスピース矯正インビザライン・ファーストにて矯正治療を行いました。
成長を活かしながら歯列と噛み合わせを整えることで、前歯の突出感と交叉咬合の改善を図っています。
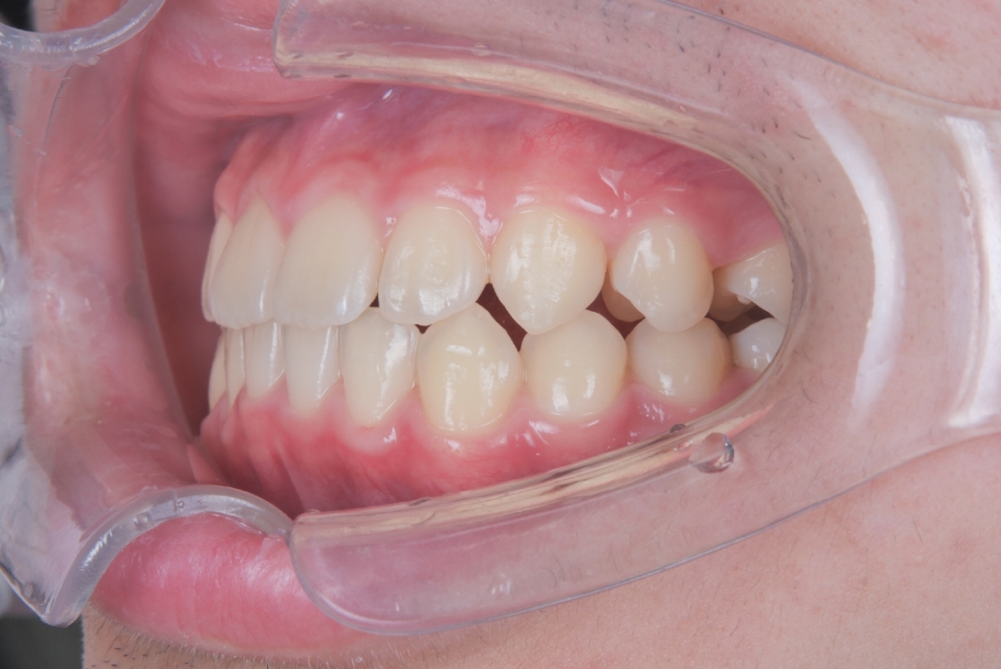
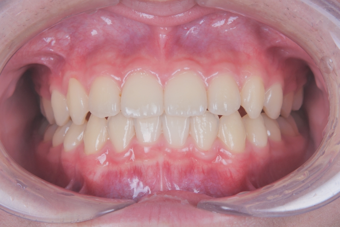
治療期間は1年9ヶ月で、歯並びと噛み合わせが整い、見た目と機能の両面が改善しました。
保護者の方からは、「子どもが以前の歯科での経験から不安を感じていましたが、先生やスタッフが優しく接してくれたことで安心して通うことができました」「毎回丁寧に説明してもらえ、子どもの意見も尊重してもらえた」との口コミをいただいています。
治療後には歯並びもきれいに整い、親子でご満足いただけた症例です。
BEFORE
AFTER
| 年齢・性別 | 10歳男児 |
|---|---|
| 主訴 | 出っ歯と噛み合わせが気になる |
| 施術内容 | 歯全体のマウスピース矯正システム「インビザラインファースト」を用いた治療 |
| 治療期間 | 1年9ヶ月 |
| 費用 | 594,000円(税込) |
| リスク/副作用 | 全ての方で、疼痛、咬合痛、歯根吸収、歯肉退縮、歯髄壊死が生じる可能性があります。 |
| その他注意点 | 指定した時間、マウスピースをつけていただけない場合は治療期間が長くなる場合があります。 |

ガタガタ・八重歯
出っ歯
受け口
すきっ歯
開咬
深い噛み合わせ
〜11歳
12〜19歳
20〜29歳
30〜39歳
40〜49歳
50歳〜