8歳男児 受け口が気になる

8歳の男の子で、受け口を主訴にご相談に来院されました。

以前、他院で小児矯正にチャレンジされたものの、「痛みが強くて続けられなかった」という理由から、治療を途中で中断してしまった経験があったそうです。

当院では、お子さまの負担をできる限り抑えながら治療を進めることを重視し、マウスピース型矯正装置である「インビザライン・ファースト」をご提案しました。
過去の治療経験から不安もあったかと思いますが、マウスピース特有の痛みの少なさや違和感の少なさにより、今回は無理なく治療を継続することができました。

治療期間は約1年。
気にされていた受け口を改善し、健康的でバランスの取れた歯並びへと導くことができました。

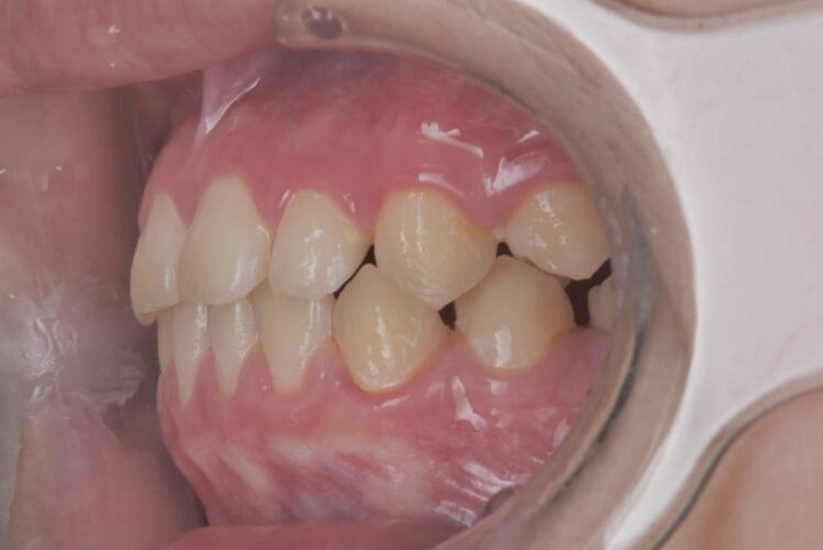
BEFORE AFTER
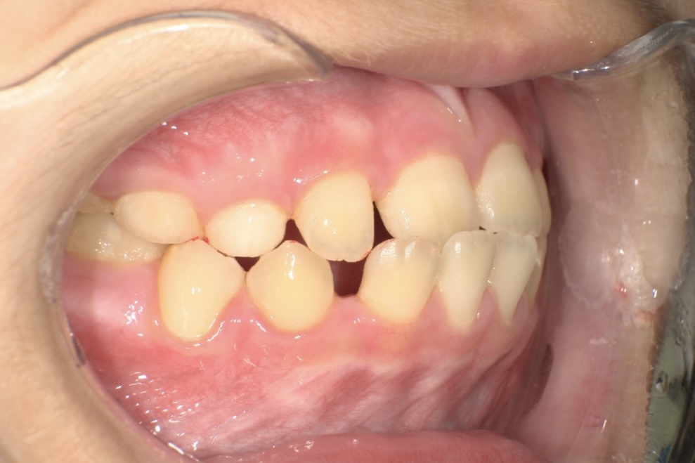
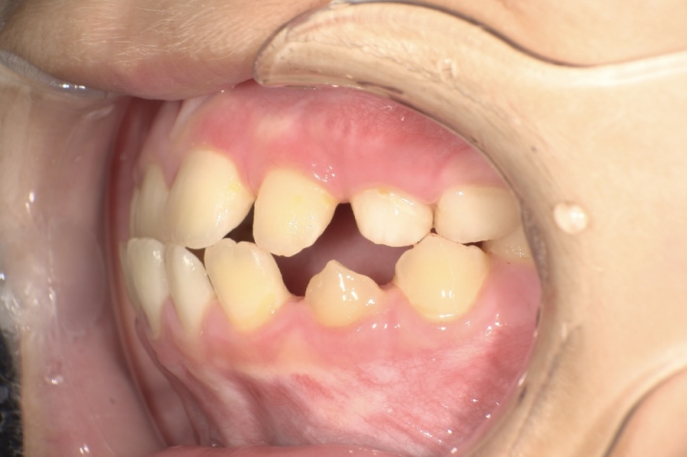
Before 1
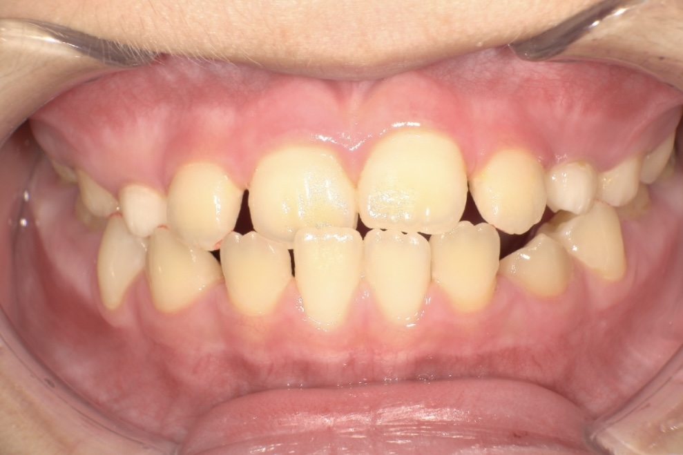
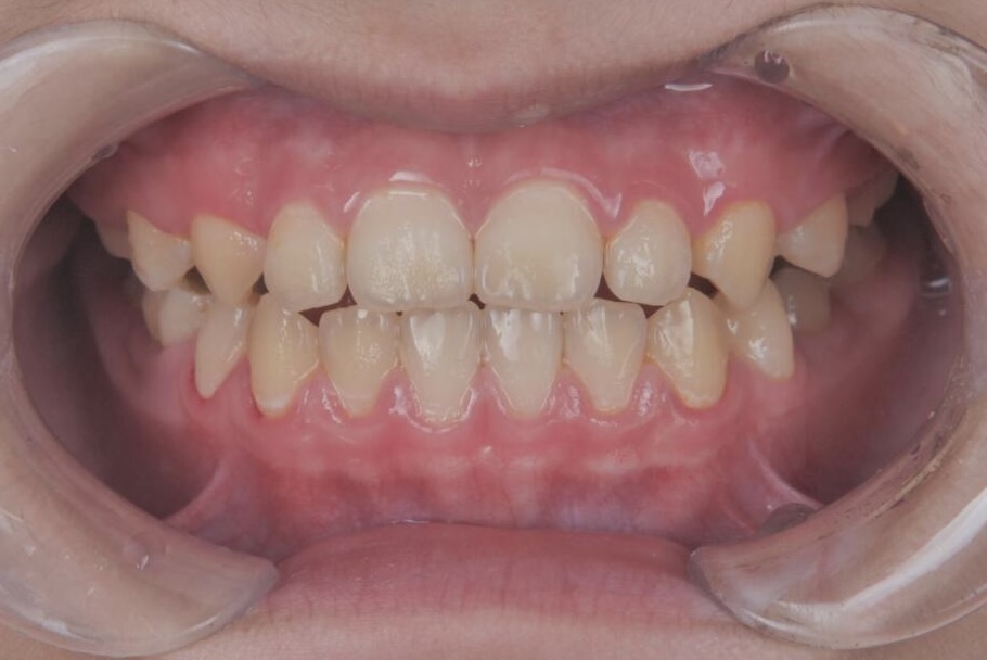
After 1
Before 2
After 2
Before 3
After 3
年齢・性別 8歳男児
主訴 受け口が気になる
施術内容 歯全体のマウスピース矯正システム「インビザラインファースト」を用いた治療
治療期間 1年
費用 594,000円(税込)
リスク/副作用 全ての方で、疼痛、咬合痛、歯根吸収、歯肉退縮、歯髄壊死が生じる可能性があります。
その他注意点 指定した時間、マウスピースをつけていただけない場合は治療期間が長くなる場合があります。
症例実績一覧へ戻る