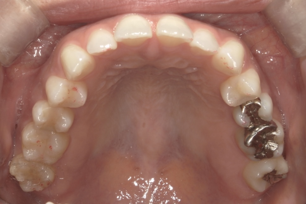
40代女性 すきっ歯が気になる

こちらの症例は40代女性の患者さまで、「すきっ歯が以前より広がってきたように感じること」や「正中(前歯の中心)のズレ」を主訴にご相談に来院されました。

見た目の変化が気になっていたものの、ワイヤー矯正は目立つため避けたいと考えられており、できるだけ周囲に気づかれにくい方法で治療したいというご希望から、マウスピース矯正を希望されていました。

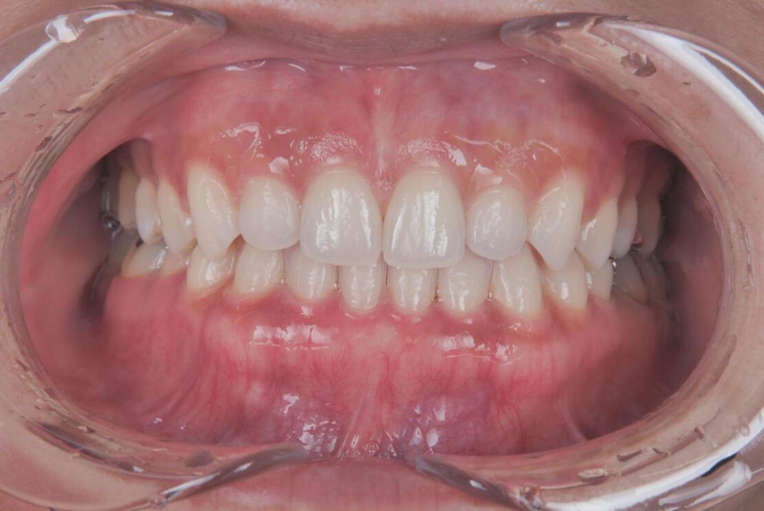
マウスピース矯正インビザラインを用いて、歯列全体のバランスを考慮しながら、すき間の改善と正中の調整を段階的に行いました。
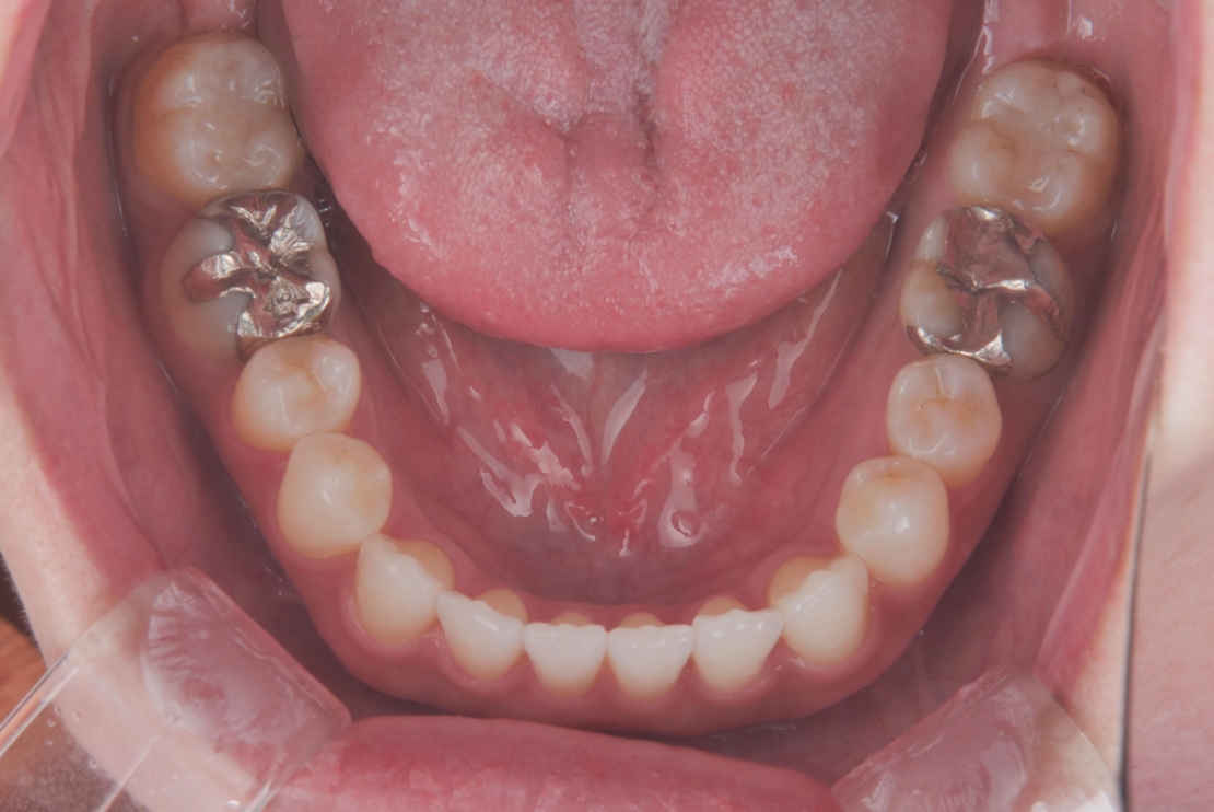
治療期間は1年8ヶ月で、歯と歯のすき間が整い、正面から見た際のバランスも改善しています。

見た目の自然さを重視しながら治療を進めることで、日常生活への影響を最小限に抑えつつ、口元の印象が大きく変わった症例です。

BEFORE AFTER
Before 1
After 1
Before 2
After 2
Before 3
After 3
年齢・性別 40代女性
主訴 すきっ歯が気になる
施術内容 歯全体のマウスピース矯正システム「インビザラインフル」を用いた治療
治療期間 1年8ヶ月
費用 924,000円(税込)
リスク/副作用 全ての方で、疼痛、咬合痛、歯根吸収、歯肉退縮、歯髄壊死が生じる可能性があります。
その他注意点 指定した時間、マウスピースをつけていただけない場合は治療期間が長くなる場合があります。
症例実績一覧へ戻る