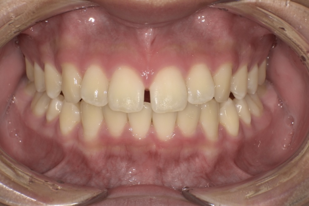
高校生男性 すきっ歯が気になる
高校生の男性の患者さまで「すきっ歯」を主訴にご相談に来院されました。
お母さまは、過去にワイヤー矯正を経験されており、装置が目立つことや歯みがきの難しさに苦労されたご経験があったそうです。
そのため、お子さまにはできるだけ目立たず、日常の歯みがきもしやすい方法で矯正治療を受けさせてあげたいと考え、マウスピース矯正で治療を希望されていました。
治療では、見た目の改善だけでなく、成長期にあることを考慮しながら歯列全体のバランスを整えていきました。
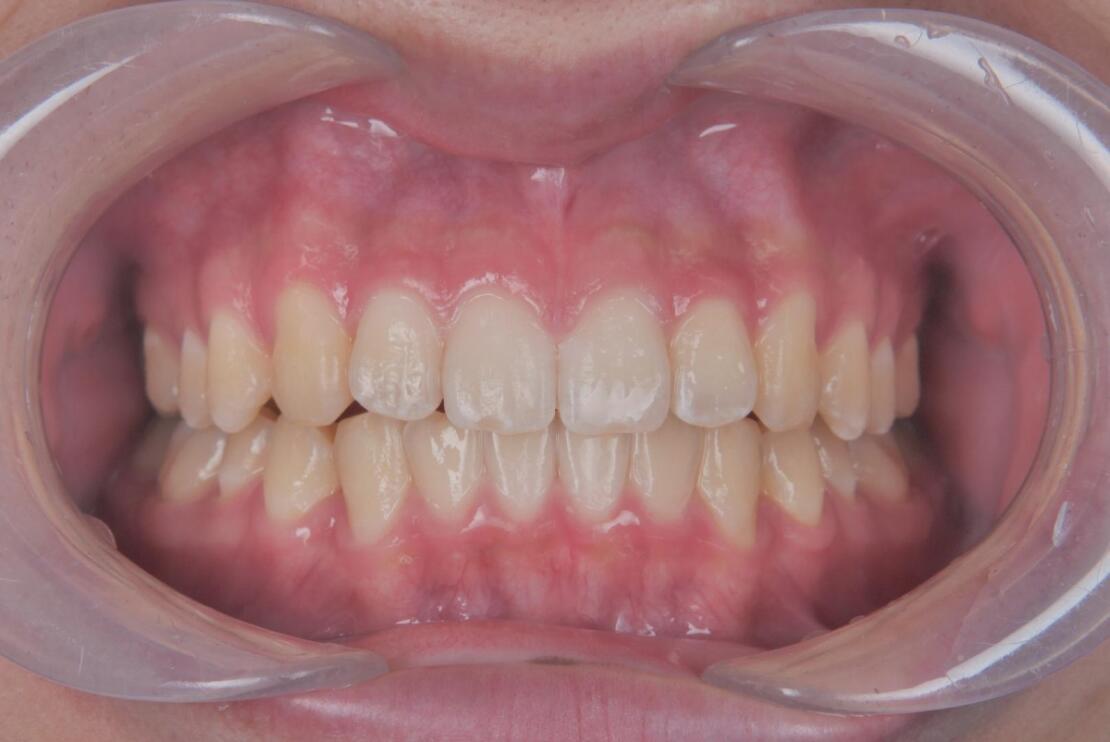
治療期間は1年半で、すき間が改善され、口元の印象が大きく変化しています。
学校生活への影響を最小限に抑えながら、無理なく治療を進めることができた症例で、ご本人だけでなくご家族にもご満足いただく結果となりました。
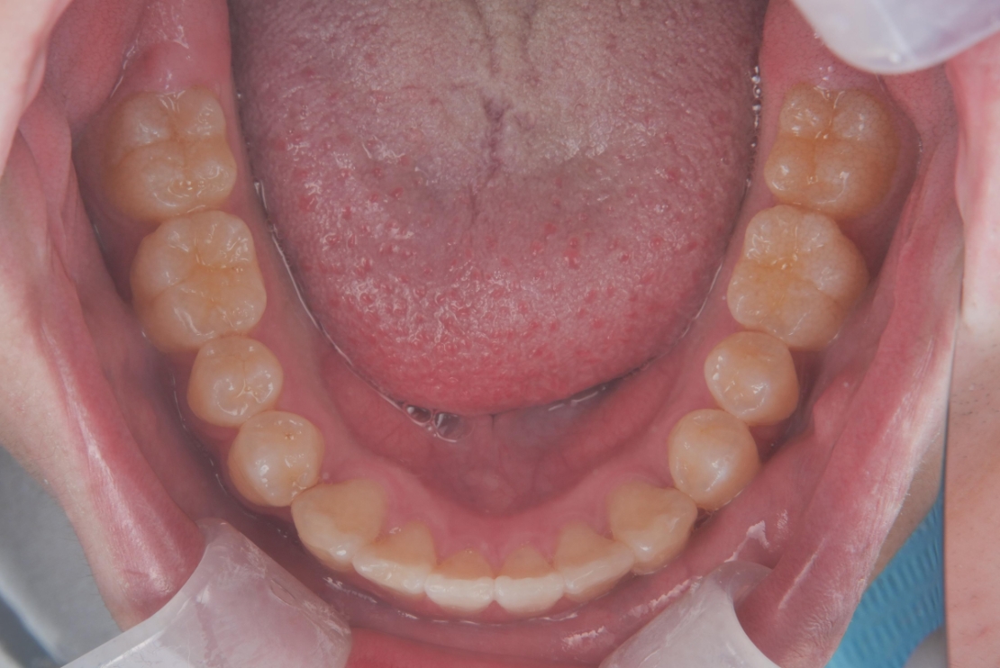
BEFORE
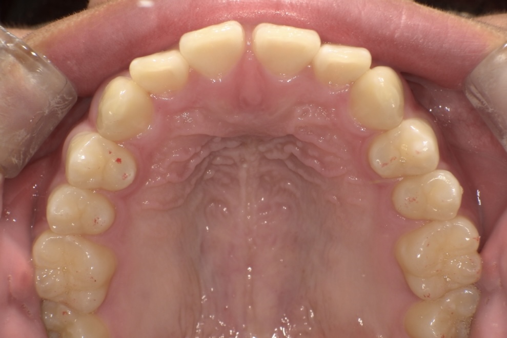
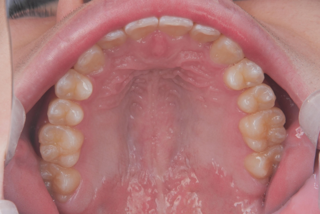
AFTER
| 年齢・性別 | 高校生男性 |
|---|---|
| 主訴 | すきっ歯が気になる |
| 施術内容 | 歯全体のマウスピース矯正システム「インビザラインフル」を用いた治療 |
| 治療期間 | 1年半 |
| 費用 | 924,000円(税込) |
| リスク/副作用 | 全ての方で、疼痛、咬合痛、歯根吸収、歯肉退縮、歯髄壊死が生じる可能性があります。 |
| その他注意点 | 指定した時間、マウスピースをつけていただけない場合は治療期間が長くなる場合があります。 |

ガタガタ・八重歯
出っ歯
受け口
すきっ歯
開咬
深い噛み合わせ
〜11歳
12〜19歳
20〜29歳
30〜39歳
40〜49歳
50歳〜