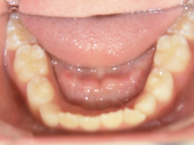
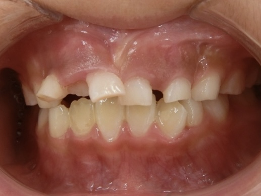
7歳男児 ガタガタが気になる
小さい時から歯の定期検診で通ってくださっていた患者様です。永久歯が生え変わるための萌出スペースがなく、このままではガタガタの歯並びになってしまうとが心配され矯正治療をご希望いただきました。
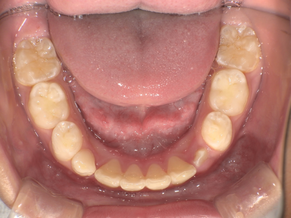
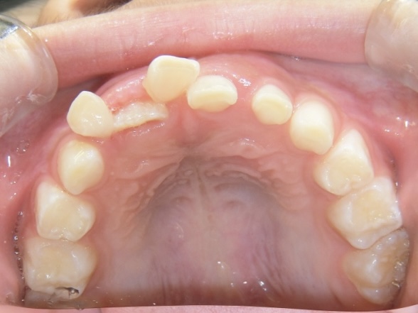
プレオルソで10ヶ月、その後インビザラインファーストで1年4ヶ月矯正治療を行い、永久歯が生えるスペースを確保。
健康で美しい歯並びに導くことができました。
BEFORE
AFTER
| 年齢・性別 | 7歳男児 |
|---|---|
| 主訴 | ガタガタの歯並び、永久歯がはえるスペースがない |
| 施術内容 | プレオルソ+インビザラインファースト |
| 治療期間 | 2年3ヶ月 |
| 費用 | 594,000円(税込) |
| リスク/副作用 | 全ての方で、疼痛、咬合痛、歯根吸収、歯肉退縮、歯髄壊死が生じる可能性があります。 |
| その他注意点 | 指定した時間、マウスピースをつけていただけない場合は治療期間が長くなる場合があります。 |

ガタガタ・八重歯
出っ歯
受け口
すきっ歯
開咬
深い噛み合わせ
〜11歳
12〜19歳
20〜29歳
30〜39歳
40〜49歳
50歳〜