「前歯を下げたいけど、どのくらいの期間で変化が出るんだろう」
「抜歯が必要と言われた。治療が長くなるのが不安…」
矯正を検討するとき、「どれくらいの期間で前歯が下がって見た目に変化が現れるか」多くの方がまず気になるのではないでしょうか。期間は「前歯をどれだけ下げる必要があるか」「抜歯でスペースを作るか」「噛み合わせの仕上げにどれだけ調整が必要か」などで大きく変わります。
このページでは、前歯が下がって見えるまでの目安や、期間が長引きやすいポイント、期間を短縮する方法などを、のざき歯科・東広島おとなこども矯正歯科の副院長である野崎雄介が、わかりやすく解説します。のざき歯科・東広島おとなこども矯正歯科では、マウスピース矯正(インビザライン)を中心に、前歯の部分矯正から抜歯を伴う本格矯正まで幅広く対応できる体制を整えています。さらに3Dスキャナー(iTero)による精密な型取りとシミュレーションで、治療開始前に「どの程度下げられそうか」「どんな流れで進むか」をできるだけ具体的に共有し、納得して進められるようにしています。
矯正で前歯を下げるのにかかる期間の目安
「前歯を下げたい」と一言でいっても、どの程度下げるのか・どんな方法で動かすのかによって、必要な期間は大きく変わります。
まず全体像として押さえておきたいのは、「矯正治療の総期間」と「前歯が下がったと実感できるまでの期間」は必ずしも一致しない、という点です。
一般的に、全顎矯正の場合は2〜3年程度、部分矯正で対応できる場合は半年〜1年程度が治療全体の目安とされます。ただしこの期間すべてが「前歯を下げる動き」に使われるわけではありません。
矯正治療の後半は、噛み合わせの微調整や歯並びの仕上げが中心となるため、見た目の大きな変化は治療前半に集中するケースが多いのが特徴です。抜歯矯正なのか非抜歯矯正なのか、奥歯を奥に動かすかどうかでも見た目に大きな変化が出る期間は変わってきます。
そのため多くの方が気になる
「いつ頃から前歯が引っ込んだと感じられるのか」
という点については、治療全体の年数だけで判断せず、治療の進み方や工程を見ることが重要になります。
ここからは、前歯が下がったと感じやすい時期の目安や、全顎矯正・部分矯正それぞれの場合の期間感について、もう少し具体的に解説していきます。
前歯が「引っ込んだ」と感じやすい時期の目安
矯正治療では、歯は少しずつ計画的に動いていくため、毎日劇的な変化を感じるわけではありません。しかし実際には、多くのケースで「ある時点から前歯の位置が明らかに変わった」と実感しやすいタイミングがあります。
一般的な矯正治療の流れとして、治療前半は歯を大きく動かす段階、後半は噛み合わせや細かな並びを整える段階に入ります。そのため、見た目に分かりやすい変化――特に前歯が引っ込んだと感じやすいのは、治療開始から数ヶ月〜1年程度の前半部分であることが多いです。
たとえば、治療期間が2年程度の全顎矯正の場合、
・6ヶ月前後:前歯の位置に変化を感じ始める
・1年経過時点:写真で見比べると「明らかに前歯が下がっている」と分かる
といった経過をたどるケースが一つの目安になります。
ただし、歯の動き方や変化の感じ方には個人差があります。
前歯を下げる量が少ない場合は変化が穏やかに見えることもありますし、逆に突出が大きかった方ほど、比較的早い段階で口元の印象が変わったと感じやすい傾向があります。
ここからは、全顎矯正の場合と部分矯正で対応できる場合に分けて、前歯が下がるまでの期間の目安をさらに詳しく見ていきましょう。
全顎矯正で前歯を下げる場合の期間の目安
前歯をしっかり下げたい場合、多くのケースで選択されるのが全顎矯正です。全顎矯正では、前歯だけでなく奥歯や噛み合わせ全体を調整しながら歯を動かすため、治療全体の期間は一般的に3年程度が目安とされていますが、当院では豊富な経験を生かし、治療計画を工夫するため、1年半〜2年半程度で終了することも多いです。
ただし、「前歯が下がるまで」に限って見ると、この全期間が必要になるわけではありません。
全顎矯正では、治療初期〜中期にかけて前歯を後方へ動かす工程が集中的に行われることが多く、前歯の位置変化そのものは比較的早い段階で進むのが特徴で、半年から1年も経つと、効果を実感することが多いです。
一般的な当院の経過の一例としては、



といった流れが目安になります。
もちろん、前歯を下げる量が大きい場合や、噛み合わせの調整に時間を要する場合は、前歯の移動期間がやや長くなることもあります。一方で、治療計画が適切に立てられ、装置の使用状況が良好であれば、見た目の変化自体は治療期間の前半で十分に実感できるケースが多いのも事実です。
当院では、治療前の精密検査と3Dシミュレーションをもとに、「前歯を下げる工程がいつ頃になるのか」「どの時点で見た目が変わりやすいか」をあらかじめ共有した上で治療計画を立てています。そのため、治療期間の長さだけに振り回されることなく、目に見える変化の時期を意識しながら矯正を進めることが可能です。
こちらのケースに関してもなるべく前歯を早く下げたいとの思いがあったことからIPRを併用し、治療期間の短縮を図りました。マウスピース矯正どこでやっても同じと言われがちですが、適切に診断し、治療短縮の工夫ができるか否かは、マウスピース矯正を担当する歯科医師の力量に左右されます。

通常であれば3年程度かかる重度の出っ歯のケースであっても、こちらのケースは1年半という短期間で終了することができました。
部分矯正で対応できる場合の期間の目安
「前歯を下げたい=部分矯正でできる」と思われがちですが、実際には部分矯正で前歯を大きく引っ込められるケースはそれほど多くありません。部分矯正は、あくまで歯並びの一部を整える治療であり、噛み合わせ全体や奥歯の位置を大きく動かすことは難しいためです。
ただし、
・前歯の傾きが軽度
・突出感がわずか
・噛み合わせに大きな問題がない
といった条件がそろう場合には、部分矯正でも前歯の位置を後方へ調整できるケースがあります。
そのようなケースでは、治療開始から3〜6ヶ月程度で「前歯が少し引っ込んだ」と実感できることが多く、治療全体としても半年〜1年程度で完了するのが一つの目安になります。全顎矯正と比べると、治療範囲が限定される分、変化を早く感じやすい点はメリットといえるでしょう。
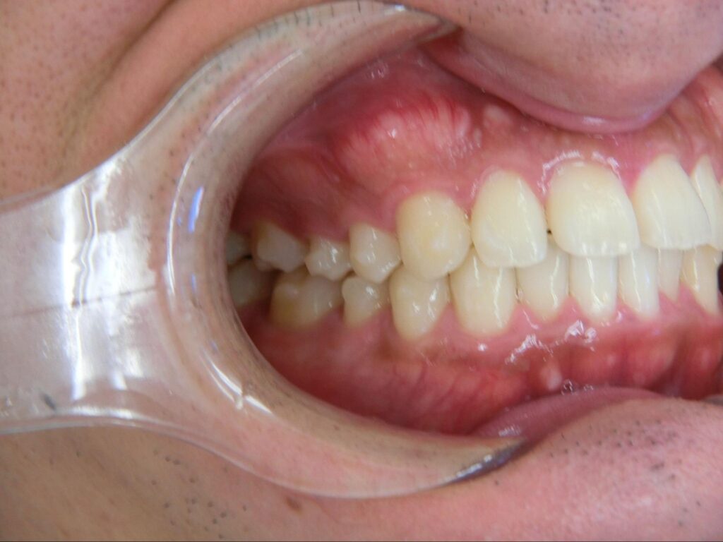
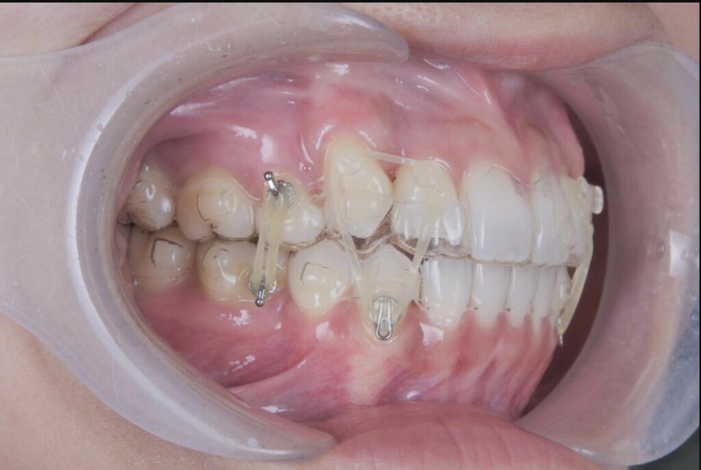
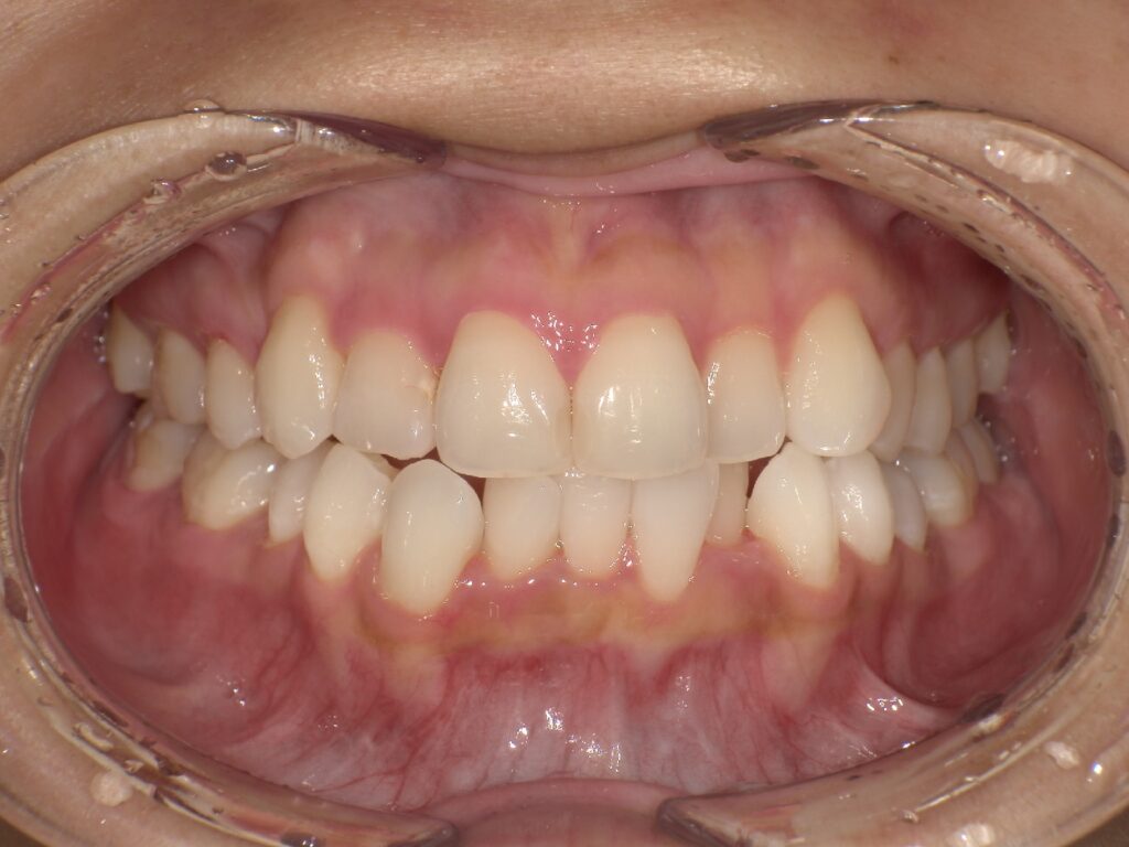
下記のケースでは、奥歯の噛み合わせが悪くなかったことから、患者様の希望もあり、部分矯正で対応いたしました。

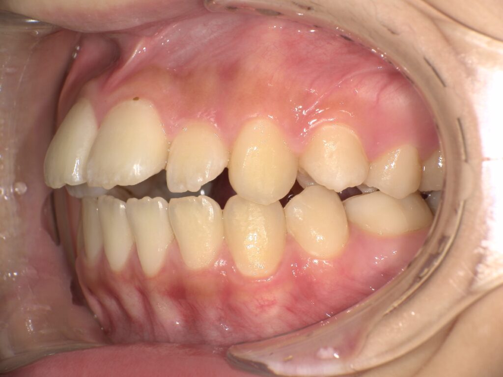
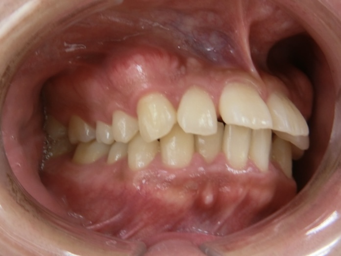
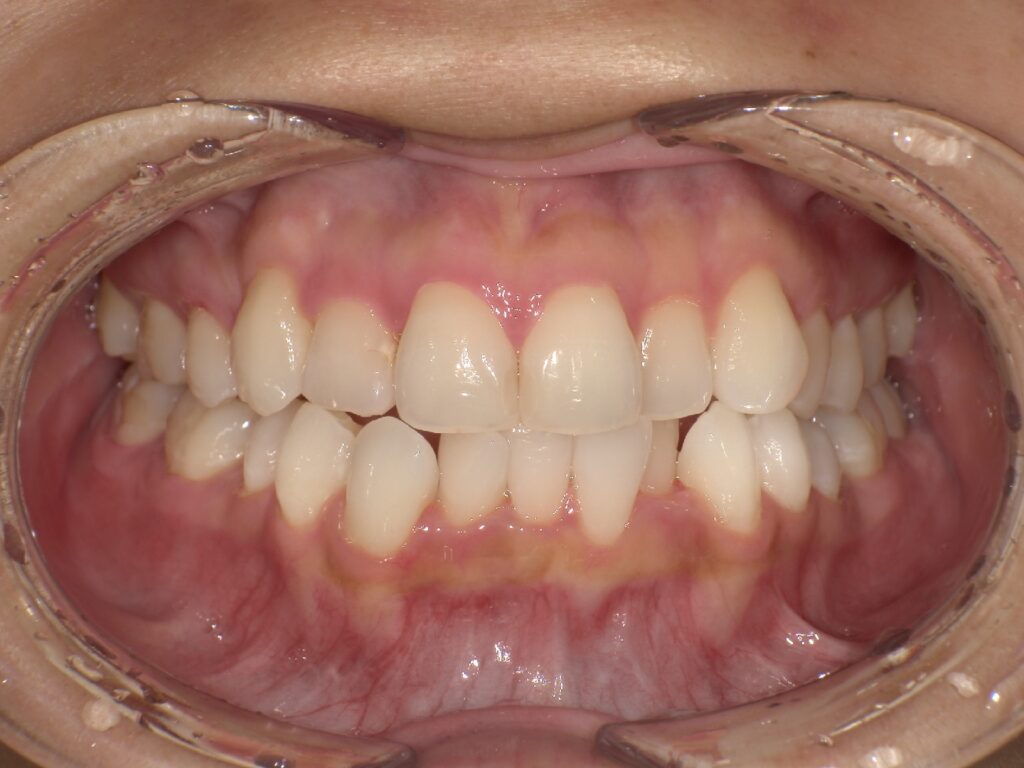
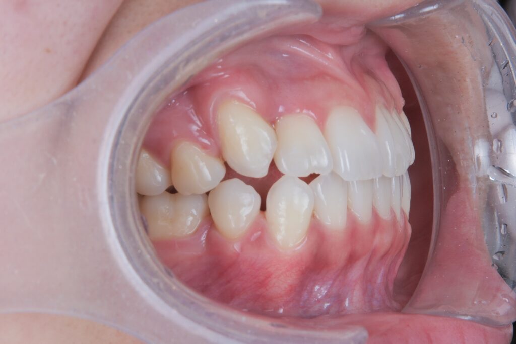
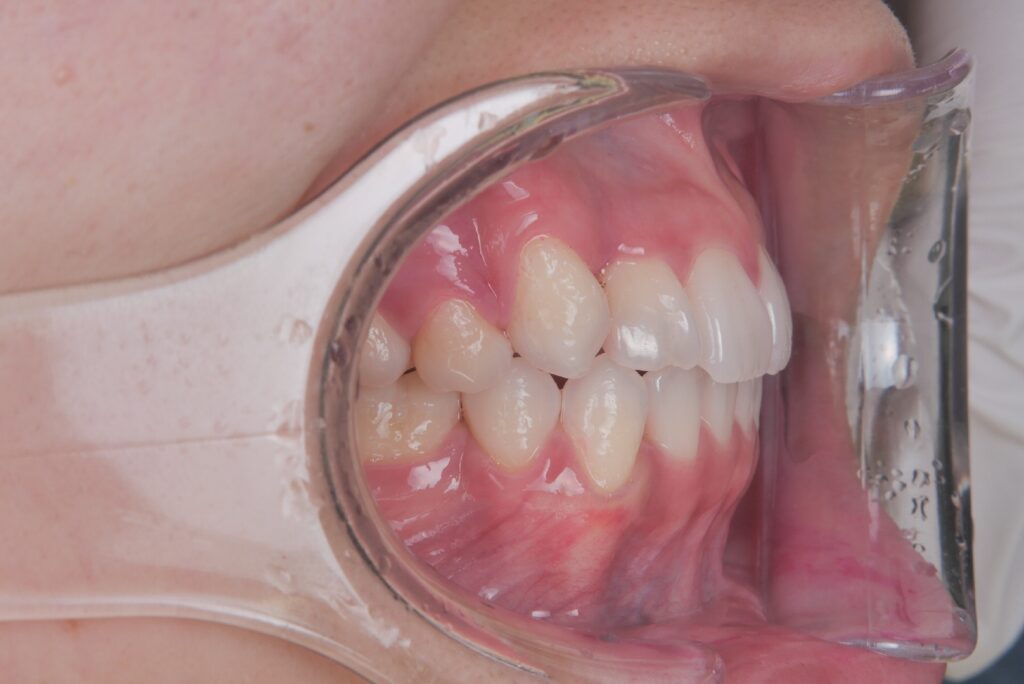
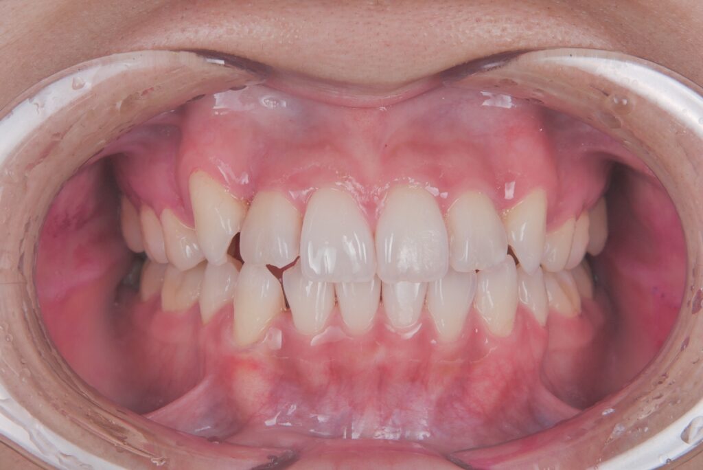
上顎の前歯が大きく突出しています

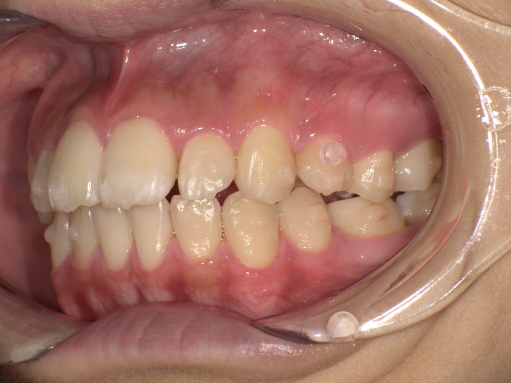
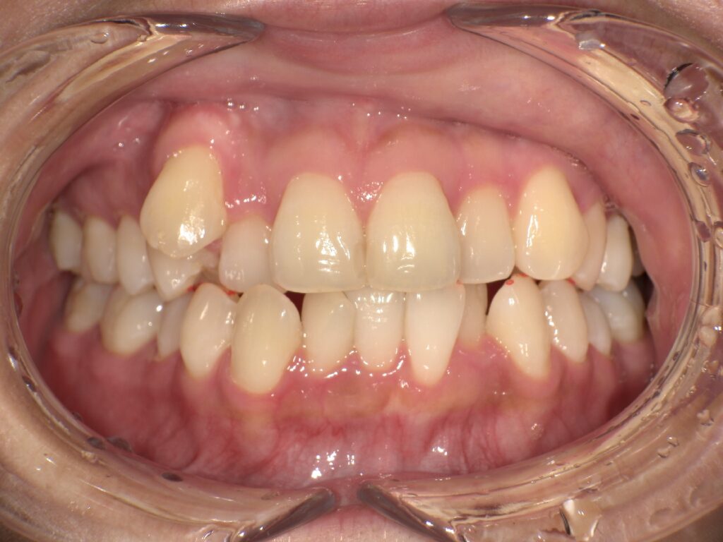
明らかに前歯の突出感が改善し、患者様はこの時点でとても喜ばれていました

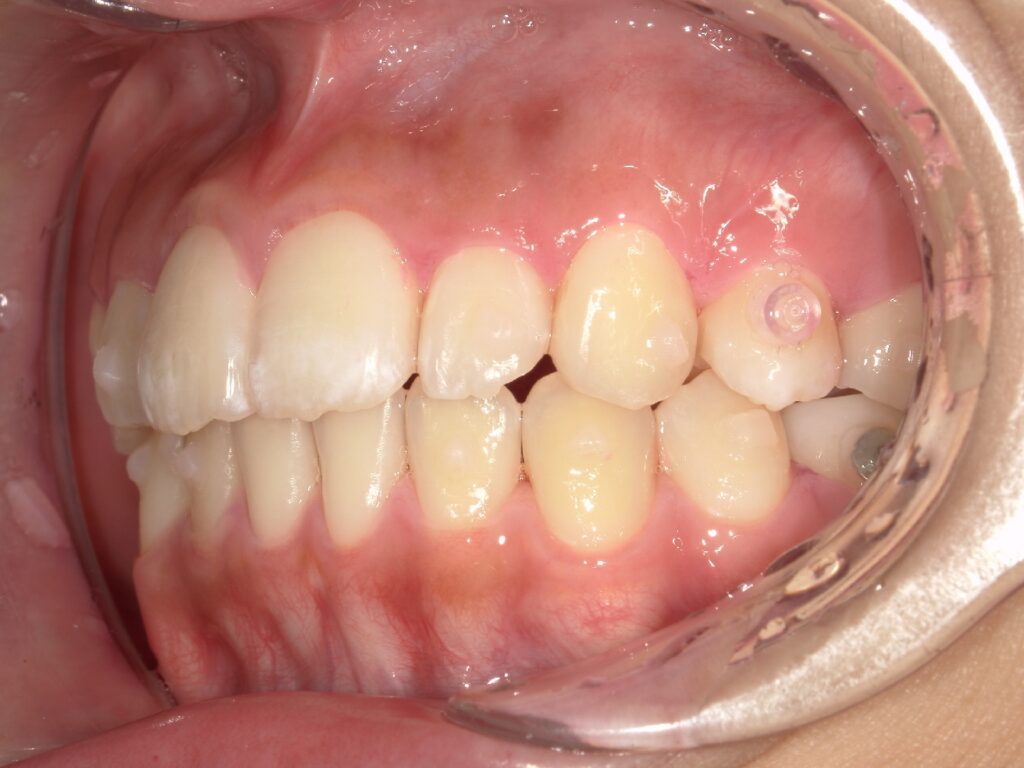
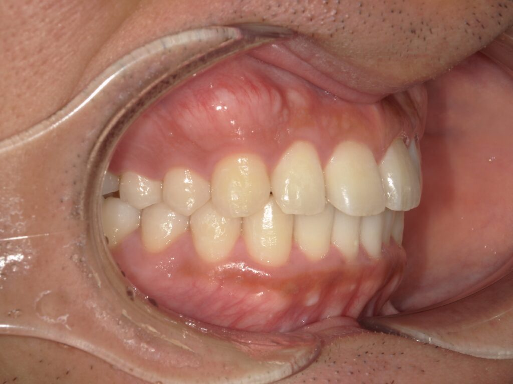
矯正治療終了時 部分矯正ということもあり、短期間で矯正治療を終了することができました
一方で、部分矯正には注意点もあります。
無理に部分矯正で前歯だけを下げようとすると、噛み合わせのバランスが崩れたり、後戻りしやすくなったりするリスクがあります。そのため、「早く下げたいから部分矯正」という判断ではなく、安全に・長期的に安定するかどうかを基準に治療法を選ぶことが重要です。
最近では、奥歯の噛み合わせがよくないのに、噛み合わせは治さず、歯を必要以上に削り、前歯を下げるといった手法で、安く、早く矯正を行う提案を受け、セカンドオピニオンに来られる方も多く、悲しい気持ちになることがあります。適切に診断すれば部分矯正は適応にならないことも多いです。
当院では、精密検査の結果をもとに、
「部分矯正で十分か」
「全顎矯正でしっかり下げた方がよいか」
を客観的に判断し、それぞれのメリット・デメリットを丁寧に説明した上で治療方針をご提案しています。期間だけでなく、仕上がりの質や安定性まで含めて検討することが、後悔しない矯正につながります。
矯正で前歯が下がるまでの期間が長引く原因
「思っていたより前歯が下がるのに時間がかかっている気がする」
矯正治療中、このように感じる方は少なくありません。実は、前歯が下がるまでの期間が長引く背景には、いくつかの共通した要因があります。
まず大前提として、歯は一気に動かすことができません。無理に力をかけると、歯根や骨、歯ぐきにダメージが出るリスクがあるため、安全なスピードで段階的に動かす必要があります。そのうえで、歯の動きやすさや治療の進み方は、症例ごとの条件によって大きく左右されます。
ここでは、前歯を下げる矯正で期間が長くなりやすい代表的な原因について、順番に解説していきます。ご自身の状況と照らし合わせながら読むことで、「なぜこの期間が必要なのか」を理解しやすくなるはずです。
歯を動かす距離が大きいほど期間は延びやすい
前歯を何mm下げるのか、口元にどれくらいの変化を生じさせたいのか、奥歯をどれくらい奥に動かすのかで期間が変化する。
矯正で前歯を下げる期間を左右する最も大きな要因のひとつが、歯をどれくらいの距離動かす必要があるか、奥歯をどれくらい動かす必要があるかです。
前歯を数ミリ下げるだけなのか、それとも口元の突出感をしっかり改善するために奥歯から大きく後方移動させるのかで、必要な期間は大きく変わります。
歯は1ヶ月に動かせる距離に限界があります。一般的には、安全に動かせる量は1ヶ月あたり約0.5〜1mm程度とされており、これ以上のスピードで無理に動かすと、歯根吸収や歯ぐき・骨への負担が増えるリスクがあります。そのため、前歯を下げる量が大きいほど、どうしても治療期間は長くなりやすくなります。
たとえば、
・前歯を1〜2mm下げるケース
・前歯を4〜5mm以上しっかり下げて口元の印象を変えたいケース
では、同じ矯正治療でも必要な工程や期間はまったく異なります。後者の場合、前歯を下げる前にスペースを確保したり、噛み合わせ全体を整えたりする工程が増えるため、前歯が下がる実感を得るまでに時間がかかることもあります。
また、見た目の変化は必ずしも「動かした距離=実感の大きさ」ではありません。歯の傾きが改善されるだけでも、前歯が引っ込んだように見えることもあり、数ミリの移動でも口元の印象が大きく変わるケースもあります。そのため、「何mm動かす必要があるのか」を正確に把握することが、期間の見通しを立てるうえで非常に重要です。
当院では、精密検査と3Dシミュレーションを用いて、前歯をどれくらい動かす必要があるのか、どの工程にどの程度の期間がかかるのかを事前に可視化しています。
これにより、「なぜこの期間が必要なのか」を理解したうえで、納得して治療を進めていただけます。
抜歯の有無で期間はどう変わる?
前歯を下げる矯正でよくある不安のひとつが、
「抜歯すると治療期間が長くなりそう」というイメージです。
しかし実際には、前歯を下げるスピードだけを見ると、抜歯矯正の方が早いケースも少なくありません。
その理由は、歯を動かすためのスペースの作り方にあります。
非抜歯矯正の場合、前歯を下げるためのスペースを奥歯側から少しずつ作る必要があります。奥歯を後方へ移動させたり、歯列全体を拡大したりしながら前歯を下げるため、下記の動画のように前歯そのものが動き始めるまでに時間がかかることがあります。その結果、「なかなか前歯が引っ込まない」と感じやすくなります。
一方、抜歯矯正では、あらかじめ歯を抜いて十分なスペースを確保した状態から前歯を後方へ動かせるため、治療計画通りに進めば、前歯の位置変化は比較的スムーズです。
「抜歯=時間がかかる」というよりも、前歯をしっかり下げたいケースでは、むしろ効率的に動かせる選択肢になることもあります。
上記の動画をみてもらったらわかるように、奥歯を奥に動かす場合、順に動かす必要があるため、前歯が下がり始めるのは、治療がある程度進んでからになってしまいます。抜歯矯正だと抜歯をして、次のマウスピースをつけた時から前歯は下がり始めます。
ただし、抜歯矯正が早いからといって、すべての方に適しているわけではありません。前歯を下げる量や顔立ちのバランスによっては、抜歯をすると下がりすぎてしまうリスクもあります。重要なのは、「期間」だけでなく、仕上がりの美しさや噛み合わせの安定性まで含めて判断することです。
ここからは、抜歯矯正・非抜歯矯正それぞれがどんなケースに向いているのかを具体的に見ていきます。
抜歯矯正が適しているケース
抜歯矯正が適しているのは、前歯の突出が比較的大きく、口元の印象をしっかり下げたい場合です。歯並びのガタつきだけでなく、横顔や口元のバランス改善を重視するケースでは、抜歯によって十分なスペースを確保した方が、無理なく前歯を後方へ動かせることがあります。
具体的には、
・前歯が前方に大きく出ており、唇が閉じにくい
・Eライン(横顔のバランス)を改善したい
・歯列全体に強い混雑(叢生)がある
・奥歯の噛み合わせのずれが大きく、奥歯を奥に動かすのでは、噛み合わせを改善できない
といった場合は、抜歯矯正が検討されやすくなります。
このようなケースでは、非抜歯で無理に治療を進めると、前歯が十分に下がらなかったり、歯が前に傾いたまま並んでしまったりすることがあります。その点、抜歯矯正では最初から前歯を下げるためのスペースが確保されているため、計画的に歯を動かしやすいのが特徴です。
また、前歯を下げる量が多い場合でも、スペースに余裕があることで歯の移動がスムーズになり、結果として前歯の位置変化を比較的早い段階で実感しやすいケースもあります。治療全体の期間は2〜3年程度かかることが多いものの、「見た目の変化」という観点では、治療前半で大きな改善が得られる可能性があります。
下記の横顔の変化は、元々口ごぼを治したい、口が閉じにくいとの思いのあった当院でマウスピースでの抜歯矯正を行った患者様の口元の変化になります。
下記のケースでは、奥歯の噛み合わせが悪くなかったことから、患者様の希望もあり、部分矯正で対応いたしました。



患者様も横顔の変化、口が閉じやすくなったことにとても喜ばれたケースになります。
ただし、抜歯矯正は顔立ちや口元の印象に大きく影響する治療です。そのため、「前歯を下げたいから抜歯」という単純な判断ではなく、どの程度下げるのが適切か、下げすぎにならないかを慎重に見極める必要があります。
非抜歯矯正が適しているケース
非抜歯矯正が適しているのは、前歯を下げる量が比較的少なく、口元を「わずかに」整えたいケースや歯並びのガタつきや前歯の傾きが軽度で、噛み合わせ全体にも大きな問題がない場合には、歯を抜かずに矯正を進められることがあります。
また元々横顔のラインが綺麗で、これ以上口元を下げたくないケースにおいても非抜歯矯正を選択することが多いです。
具体的には、
・前歯が少し前に傾いているだけ
・口元の突出感は軽度で、劇的な変化までは求めていない
・歯列のスペース不足が小さい
といった場合が、非抜歯矯正の適応になりやすい例です。
非抜歯矯正では、歯列をわずかに広げたり、奥歯を後方へ移動させたりすることでスペースを作り、前歯を後ろへ下げていきます。そのため、抜歯矯正と比べると前歯の移動が始まるまでに時間がかかる傾向はありますが、下げる量が少ない分、ケースによっては自然でバランスの良い仕上がりになりやすいというメリットがあります。
また、前歯をほんの数ミリ整えるだけでも、
・唇の閉じやすさ
・口元のもたつき感
・横顔の印象
が改善されることも少なくありません。「下げすぎないこと」が重要なケースでは、非抜歯矯正の方が適切な結果につながることもあります。
ただし、非抜歯矯正で無理に前歯を下げようとすると、歯が前に傾いたまま並んでしまったり、後戻りしやすくなったりするリスクもあります。そのため、「抜かない=安全・早い」とは限らず、骨格や噛み合わせを含めた総合的な診断が欠かせません。
例えばこのケースは、重度のガタガタで、通常であれば抜歯矯正を選択したいケースでしたが、横顔がきれいなEラインであったので、これ以上下げると、若い時はいいのですが、お年を召されて、ほうれい線がめだったり、よく巷で言われる老人様顔貌になることが予測されたため、3次元のCT写真で正確に診断し、非抜歯で仕上げたケースになります。



重度のガタガタでしたが、抜歯矯正でなく、非抜歯矯正で治療することで、歯並びはもちろんのこときれいな横顔のまま、今日治療を終了することができたケースになります。
年齢や骨の状態など、個人差で変わること
前歯を下げるまでの期間には、治療方法や歯を動かす距離だけでなく、年齢や骨の状態といった個人差も大きく影響します。これは同じ治療計画であっても、人によって歯の動き方が異なる理由の一つです。
一般的に、成長期のお子さんや若年層は骨代謝が活発なため歯が動きやすく、比較的スムーズに治療が進む傾向があります。一方、大人の矯正では骨が成熟している分、歯の移動スピードはやや緩やかになります。ただし「大人だから極端に時間がかかる」というわけではなく、適切な力で計画的に動かせば問題なく治療は可能です。
また、歯の根の形(歯根形態)や、顎の骨の密度、歯ぐきの状態なども歯の動きやすさに影響します。
- 歯根が長い
- 骨が硬い
- 歯周組織が弱っている
といった場合には、無理にスピードを上げることができず、安全を優先して治療期間を調整する必要があります。
さらに、全身状態や生活習慣も間接的に関係します。喫煙習慣がある場合や、歯周病が進行している場合は、歯ぐきや骨の回復力が低下し、治療が慎重になることがあります。その結果、前歯が下がるまでに時間がかかるケースもあります。
当院では、年齢だけで判断するのではなく、レントゲンやCT、口腔内検査を通じて歯・骨・歯ぐきの状態を総合的に評価したうえで治療計画を立てています。そのため、「なぜこのペースなのか」「どこまで早められるのか」を明確にしながら、無理のない矯正を進めることが可能です。
セファロX線写真と分析


CT写真を活用し、骨格的に無理ないようにたてた治療計画
装置の種類による期間の変化
装置には得意不得意がある。マウスピース矯正は一般的に「ゆっくり」だと思われやすいが、歯科医院の技術次第でワイヤー矯正と同程度の速さで治療できる。特に非抜歯矯正で前歯を下げるならマウスピース矯正の方が早い場合も。
ただしマウスピース矯正は患者様が「サボる」こともできるため、サボってしまうとワイヤー矯正よりも進捗が遅れてしまいやすい。
前歯を下げる矯正では、どの装置を使うかによっても治療の進み方や期間に違いが出ます。代表的なのはワイヤー矯正とマウスピース矯正ですが、それぞれに得意・不得意があります。
一般的に、ワイヤー矯正は「歯をしっかり動かせる」「複雑な動きに対応しやすい」というイメージがあり、マウスピース矯正は「ゆっくり」「軽度向け」と思われがちです。しかし実際には、治療計画の立て方と歯科医院の技術力次第で、マウスピース矯正でもワイヤー矯正と同程度のスピードで前歯を下げることは可能です。
特に、
・非抜歯矯正で前歯を下げたい場合
・前歯の傾きをコントロールしながら下げたい場合
・奥歯を段階的に奥におくりながら、前歯の突出感を治したい場合
には、マウスピース矯正の方が効率的に進むケースもあります。段階的に力をコントロールしやすく、歯の動きをシミュレーション通りに再現しやすいためです。
一方で、マウスピース矯正には患者様の協力度が治療期間に直結するという特徴があります。
1日20時間以上の装着や、指示されたタイミングでのマウスピース交換、ゴムかけなどを守れないと、歯が予定通り動かず、結果として治療期間が延びてしまいます。いわゆる「サボれてしまう」点は、ワイヤー矯正にはない注意点です。
ワイヤー矯正の場合は装置が固定されているため、装着忘れは起こりませんが、清掃が難しく、虫歯や歯ぐきの炎症が起きると治療を一時中断せざるを得ないことがあります。そうなると、結果的に治療期間が長引く原因になることもあります。
当院では、ほとんどの症例をマウスピース矯正で対応していますが、それは「見た目が自然だから」だけではありません。前歯を下げる工程を精密に設計し、計画通りに進めやすいからこそ選択している治療法です。装置の特性を理解したうえで適切に使い分けることが、期間短縮と仕上がりの質の両立につながります。
虫歯や歯ぐきの炎症などのトラブルによる長引き
矯正で前歯を下げる期間が予定より長くなる原因として、虫歯や歯ぐきの炎症などの口腔内トラブルは意外と見落とされがちです。これらのトラブルが起きると、歯を安全に動かせなくなり、一時的に矯正治療をストップせざるを得ないことがあります。
特にワイヤー矯正は、装置の周囲に汚れが溜まりやすく、歯磨きが難しくなりがちです。その結果、虫歯や歯肉炎が起こりやすく、治療の中断や計画変更につながるケースも少なくありません。こうした中断が積み重なると、前歯が下がるまでの期間も自然と延びてしまいます。
一方、マウスピース矯正は装置を取り外して歯磨きができるため、清潔な状態を保ちやすいのが大きな特徴です。食事や歯磨きのたびに装置を外せるため、セルフケアを丁寧に行えば、虫歯や歯ぐきの炎症を予防しやすく、治療計画通りに進みやすい環境を整えることができます。
ただし、マウスピース矯正であっても、
・歯磨きを怠る
・マウスピースを不衛生な状態で使用する
といったことが続けば、トラブルが起きる可能性はあります。矯正期間を無駄に延ばさないためには、歯科医院での定期的なクリーニングと、日々のセルフケアの質を高めることが非常に重要です。
当院では、矯正治療中も一般歯科と連携し、虫歯や歯周病の早期発見・早期対応を行っています。万が一トラブルが起きた場合でも、院内で迅速に対応できる体制があるため、治療の中断や大幅な遅れを最小限に抑えることが可能です。
例えばこの患者様もマウスピース矯正中に歯茎が腫れてしまいましたが、適切に対応することで、現在では問題なく治療が進んでいます。当院では、そのようなトラブルがあってもラインにて対応ができるので、安心とおっしゃっていただく患者様が多いです。


食べ物がつまり、上記の部分が腫れて痛みがあり、マウスピースの装着が困難な状態でしたが、清掃指導及びマウスピースの辺縁を調整することで、治療の中断することなく、矯正治療を進めることができました。その後、患者様もフロスや歯間ブラシを使っていただくことで、良好に経過しています。
矯正で前歯を下げる期間を短くするためにできること
「できるだけ早く前歯を下げたい」
これは矯正相談で非常に多いご希望です。前歯は見た目の印象に直結するため、治療期間そのものよりも、「前歯が下がったと実感できるまでの期間」を重視される方も少なくありません。
前歯を下げる矯正では、治療計画そのものを無理に詰め込むことはできません。安全性を無視してスピードを優先すると、歯や歯ぐきに悪影響が出る可能性があるためです。
ただし、正しい方法で取り組めば、結果的に治療期間のロスを減らし、予定通り、あるいはそれ以上にスムーズに進めることは十分可能です。
ここでは、患者様ご自身が意識できるポイントから、治療を効率よく進めるための選択肢まで、前歯を下げる期間を短くするためにできることを具体的に解説します。
マウスピースの装着やゴムかけなどを、医院の指示通りに実行する
前歯を下げる期間を短くするうえで、最も重要で、かつ確実に差が出るポイントがこの項目です。
マウスピース矯正やゴムかけは、「どれだけ正確に指示通り行えるか」=治療スピードといっても過言ではありません。
マウスピース矯正では、1日20時間以上の装着が基本となります。
「今日は少し外す時間が長かった」
「数日サボってしまった」
こうした小さなズレが積み重なると、歯が予定通り動かず、次のマウスピースが合わなくなる → 交換延期 → 全体の遅れという悪循環に陥ることがあります。
また、前歯を下げる治療では、ゴムかけ(顎間ゴム)を併用するケースも多くあります。ゴムかけは前歯を後方へ引く力や、噛み合わせを整えるために非常に重要な役割を果たしますが、患者様が自分で行う必要があるため、実行度に差が出やすい工程でもあります。
「忙しいから今日はいいか」
「違和感があるからやめておこう」
と自己判断で中断してしまうと、前歯が下がる工程そのものが止まり、結果として治療期間が長引いてしまいます。
当院では、なぜこの装着時間やゴムかけが必要なのかを事前にしっかり説明し、“前歯が下がる工程”と患者様の行動がどう結びついているかを具体的に共有しています。そのため、「ただ言われたからやる」のではなく、目的を理解したうえで取り組みやすい環境を整えています。

矯正治療は、医院と患者様の二人三脚です。
指示通りに装置を使うことが、最短ルートで前歯を下げる一番の近道になります。
適切な口腔ケアで中断を防ぐ
上述の通り虫歯や歯茎の炎症で長引くので、そうならないために歯科医院でのクリーニングだけでなく、セルフケアの質を上げることが大切。
矯正で前歯を下げる期間を予定通りに進めるためには、口腔内トラブルを起こさないことが非常に重要です。虫歯や歯ぐきの炎症が起きてしまうと、安全面を優先して矯正治療を一時中断する必要があり、その分だけ前歯が下がる時期も後ろ倒しになってしまいます。
特に矯正中は、歯が動くことで歯ぐきに負担がかかりやすく、また装置の影響で磨き残しが増えやすい状態です。
「少し歯ぐきが腫れているだけ」
「痛みはないから大丈夫」
と放置してしまうと、炎症が悪化し、矯正の力をかけられない状態になることもあります。
前歯を下げる期間を無駄に延ばさないためには、
・毎日の歯磨きを丁寧に行う
・フロスや歯間ブラシを習慣化する
・定期的に歯科医院でクリーニングを受ける
といった基本的な口腔ケアの質を高めることが欠かせません。
マウスピース矯正の場合は、装置を外して歯磨きができるため、清潔な状態を保ちやすいというメリットがあります。食後すぐに歯を磨き、マウスピースも洗浄する習慣を身につけることで、虫歯や歯肉炎のリスクを大きく下げることができます。これは結果的に、治療計画通りに前歯を下げるための土台作りになります。
当院では、矯正治療中も予防・メンテナンスを重視し、必要に応じてクリーニングやブラッシング指導を行っています。一般歯科と矯正歯科が院内で連携しているため、万が一トラブルの兆候が見られた場合でも、早期対応によって治療の中断を防ぎやすい環境を整えています。
またエアフローとよばれる空気・水・微細なパウダーを同時に噴射することで歯の汚れを除去する、最新の歯科クリーニング方法を取り入れていますので、マウスピース矯正中の着色が気になる方にもおすすめです。

>>エアフローのメリットとは?従来のクリーニングとの違いを解説!
治療期間短縮の選択肢:「矯正加速装置」
「できることはきちんとやっているのに、もう少し早く前歯を下げたい」
そんな方にとって、治療期間短縮の選択肢となるのが「矯正加速装置」です。
矯正加速装置とは、歯に直接強い力をかけるのではなく、歯が動く際に起こる骨の代謝反応を促進することで、歯の移動をサポートする装置です。代表的なものには、振動を与えるタイプや、近赤外線などの光を利用するタイプがあります。
歯が動く際には、歯の周囲の骨が一度吸収され、新しく作り替えられる「骨リモデリング」という現象が起こります。矯正加速装置は、このリモデリングを活性化させることで、歯がスムーズに動きやすい環境を作ることを目的としています。
適切に使用した場合、
・マウスピースの交換間隔を短縮できる
・治療計画通りに歯が動きやすくなる
・結果として治療全体の期間を短くできる可能性がある
といったメリットが期待できます。
ただし、矯正加速装置は「使えば誰でも必ず早く終わる魔法の装置」ではありません。
治療計画が適切に立てられていること、装置の使用方法を守ること、そして症例に合っていることが前提となります。そのため、導入するかどうかは、歯並びや治療目標を踏まえて慎重に判断する必要があります。
当院では振動型矯正加速装置のVProをご提供しております

当院では、矯正治療の期間短縮を目的として、振動型の矯正加速装置「VPro」を導入しています。VProは、歯に直接強い力を加えるのではなく、微弱な振動を与えることで歯の移動をサポートする装置です。
振動型を採用している理由は、
・日常生活への負担が少ない
・ご自宅で簡単に使用できる
・マウスピース矯正と相性が良い
といった点にあります。VProは1日数分程度、マウスピースを装着した状態で使用するだけなので、忙しい方でも無理なく継続しやすいのが特徴です。
この装置を併用することで、骨の代謝が促され、マウスピースの交換間隔を通常より短縮できる可能性があります。その結果、治療計画通りに歯が動きやすくなり、前歯を下げる工程をスムーズに進められるケースがあります。また、振動によって矯正中の違和感や痛みが軽減されると感じる方もいます。
特に、
・結婚式や就職など明確な期限がある
・できるだけ早く前歯の見た目を整えたい
といった方にとっては、有効な選択肢のひとつになります。
ただし、VProも万能ではありません。使用の必要性や効果の見込みは症例によって異なるため、当院では精密検査と治療計画を踏まえたうえで、本当に適しているかどうかを判断しています。無理に勧めることはせず、「期間短縮の可能性が高い」と判断できる場合にのみご提案しています。
この日までに前歯を下げたい!希望を叶える当院の矯正治療
「結婚式までに前歯の印象を変えたい」
「就職活動が始まる前に、口元を整えておきたい」
矯正相談では、このように明確な期限を意識したご相談も多くいただきます。ただ、矯正治療は数年単位になることもあるため、「本当に間に合うのか」「途中で妥協が必要になるのでは」と不安に感じる方も少なくありません。
当院では、単に「矯正が終わる日」だけを見るのではなく、
「前歯が下がって見た目が変わる時期」
を一つの重要なゴールとして捉え、治療計画を立てています。治療全体の完了が先であっても、患者様にとって価値の高い変化を、できるだけ早い段階で実感していただくことを重視しています。
そのために行っているのが、治療計画の見える化、継続しやすい通院設計、そして期限がある方への柔軟な相談体制です。ここでは、当院の矯正治療が「期間に不安のある方」に選ばれている理由をご紹介します。
①日本に30名しかいない世界トップドクター表彰を受賞

当院の矯正治療を担当する副院長は、日本に約30名しかいない「世界トップドクター表彰」を受賞した歯科医師です。これは、単に資格を持っているというレベルではなく、症例数・治療精度・仕上がり・患者満足度など、総合的な実績が評価された歯科医師のみが選ばれる名誉ある表彰です。
矯正治療、とくに「前歯を下げる」治療は、見た目の印象を大きく左右する一方で、
・下げすぎて口元が貧相に見える
・噛み合わせが不安定になる
・計画通りに歯が動かず期間が延びる
といったリスクも伴います。こうした問題は、治療計画の精度や経験値によって大きく差が出る部分です。
当院では、初診カウンセリングから治療終了まで、同じ矯正医が一貫して治療を担当します。毎回担当が変わることがないため、
「なぜこのタイミングで前歯を下げるのか」
「どこまで下げるのがベストなのか」
といった細かな判断をブレなく行うことができます。これは、期間に制限がある矯正治療において非常に大きな強みです。
また、インビザラインにおいては、症例数・治療実績ともに全国でもトップクラスの評価を受けており、難易度の高い前歯の後方移動や、抜歯を伴うケースにも数多く対応してきました。その経験があるからこそ、「早く前歯を下げたい」というご希望に対しても、現実的かつ安全なラインを見極めた提案が可能になります。
②矯正の中間ゴールと最後のゴールを分けて考えます
矯正そのものが完了するのは2年や3年先であっても、患者様にとって大切な「前歯が下がって見た目が変わる」期間はもっと手前なので、それを一つのゴールと捉えて、治療計画を立てられます。
矯正治療というと、「装置が外れる日=ゴール」と考えがちですが、患者様にとって本当に重要なのはそこだけではありません。特に前歯を下げたい方にとっては、
「いつ前歯の見た目が変わるのか」
が、治療満足度を大きく左右します。
当院では、
- 最終ゴール:噛み合わせまで含めた矯正治療の完了
- 中間ゴール:前歯が下がり、見た目の印象が改善した状態
この2つを明確に分けて治療計画を立てています。
たとえば、矯正全体の期間が2〜3年かかる場合でも、「前歯が下がって口元の印象が変わる段階」はその途中、治療前半に設定できることが多くあります。
結婚式や就職活動、写真撮影など、「この時期までに前歯を整えたい」という明確な希望がある場合、その時点を中間ゴールとして治療計画に組み込むことで、
・どの工程を優先するか
・どこまで改善を目指すか
・期間短縮の選択肢を使うか
といった判断がしやすくなります。
このようにゴールを細かく設定することで、「まだ終わらない矯正」に対する精神的な負担も軽減され、モチベーションを保ったまま治療を続けやすくなるというメリットもあります。
例えばこの方は、結婚式まで半年しかないが、極力歯並びをよくしたいとのことでご来院されました。
前歯の出っ歯と特に八重歯が気になるとのことでした。

診断の結果、上下左右の小臼歯を1本ずつ抜く必要があることがわかりました。
通常であれば開始時から上下左右1本ずつ抜歯を行い、矯正治療を行って行くのですが、それだと時間がかかってしまい、結婚式の時に抜いた歯の隙間がある状態になってしまいます。

それではよくないので、患者様との話し合いの結果、変則的ではあるのですが、まずは右上の歯を1本だけ抜歯して、右上の八重歯だけを治すことに全集中して、結婚式後に残りの歯を抜いて治していくことにしました。
矯正治療開始して半年後の結婚式前の写真が下記になります。

もちろん完璧ではありませんが、一番気になっていた右上の八重歯は改善し、初めの写真と比べると、見た目の変化は一目瞭然です。
患者様からも半年しかないから無理かと思ったが、八重歯でないきれいな歯並びで写真が撮れてよかったですととても喜ばれていて、本当に嬉しかったです。
3Dスキャンとシミュレーションで見た目の変化を具体的に

「どのくらい前歯が下がるのか」
「いつ頃、見た目が変わってくるのか」
これらを言葉だけで想像するのは難しいものです。そこで当院では、治療開始前に3Dスキャンとシミュレーションを活用し、前歯の下がり方や経過のイメージをできるだけ具体的に共有しています。
口腔内3Dスキャナー(iTero)を使用することで、従来の粘土のような型取りは不要になり、短時間で精密な歯型データを取得できます。そのデータをもとに、
・前歯がどの方向に、どの程度下がるのか
・治療のどの段階で見た目が変わりやすいか
といった点を視覚的に確認することができます。
特に「この日までに前歯を下げたい」という期限がある方にとっては、
いつ頃までにどこまで改善できそうか
を事前に把握できることは、大きな安心材料になります。中間ゴールを設定しやすくなるため、治療期間に対する不安も軽減されます。
また、シミュレーションを通じて、
「思っていたほど下げなくても印象が変わりそう」
「ここまで下げると下がりすぎかもしれない」
といった判断もしやすくなります。これにより、期間だけを優先して無理な治療計画を立ててしまうリスクも防げます。
当院では、3Dスキャンとシミュレーションを治療の説明ツールとしてだけでなく、患者様とゴールを共有するためのコミュニケーションツールとして活用しています。期間や仕上がりに納得したうえで治療を始められることが、結果的に満足度の高い矯正につながります。
矯正初診時には、スマイルのビフォーアフターを静止画と動画で見ていただけます。

また精密検査後の説明では、フェイシャルスキャンを併用し、横顔の変化を視覚的にみていただけるように工夫しております。

③ほとんど全ての症例をマウスピース矯正で対応
せっかく早く前歯が下がっても、目立つワイヤーが付いていては台無しです。
当院では、前歯を下げる矯正治療のほとんどの症例をマウスピース矯正で対応しています。
これは「目立たないから」という理由だけではなく、前歯の位置を計画通り・効率よくコントロールしやすいという治療上のメリットが大きいからです。
マウスピース矯正は、治療開始前に歯の動きを段階的にシミュレーションし、
・どのタイミングで前歯を下げるか
・どの歯にどれくらいの力をかけるか
を細かく設計できます。そのため、「前歯を優先的に下げたい」「この時期までに見た目を変えたい」といった期間を意識した治療計画と非常に相性が良い矯正方法です。
また、透明なマウスピースを使用するため、
「せっかく前歯が早く下がっても、装置が目立ってしまう」
といった心配がありません。治療途中でも口元の印象が自然で、仕事やプライベート、写真撮影の場面でも気になりにくいのは大きなメリットです。
さらに、マウスピース矯正は装置を取り外せるため、口腔内を清潔に保ちやすく、虫歯や歯ぐきの炎症による治療中断のリスクも抑えやすくなります。これは結果的に、前歯を下げるまでの期間を無駄に延ばさないことにもつながります。
もちろん、すべての症例が簡単というわけではありません。抜歯を伴うケースや、前歯を大きく下げる必要がある場合は、高度な治療設計が求められます。当院では、豊富な症例経験をもとに、マウスピース矯正でも無理なく・計画的に前歯を下げる設計を行っています。
④矯正加速装置でさらに短期間で前歯を下げられる
加速装置について再度訴求。すでに何度か話題に上がっているので、最小限でOKです。
「できるだけ早く前歯を下げたい」というご希望がある場合、矯正加速装置を併用することで、治療期間をさらに短縮できる可能性があります。すでにご説明した通り、矯正加速装置は歯に無理な力をかけるのではなく、歯が動く際に必要な骨の代謝反応をサポートするのが目的です。
当院では、治療計画そのものを無理に詰め込むのではなく、
・装置の装着
・ゴムかけ
・口腔ケア
といった基本をしっかり行ったうえで、「さらに早めたい場合の選択肢」として矯正加速装置をご提案しています。
特に、
・前歯を下げる工程をできるだけ前倒ししたい
・中間ゴールまでの期間を短くしたい
・結婚式や就職など明確な期限がある
といった方にとっては、有効な補助的手段になります。
ただし、すでにお伝えしている通り、矯正加速装置は「誰にでも必須」というものではありません。歯の動きやすさや治療内容によっては、使用しなくても十分にスムーズに進むケースもあります。当院では、期間短縮の効果が見込めるかどうかを見極めたうえで、必要な方にのみご案内しています。
矯正で前歯を下げる期間のよくある質問
「結局、前歯は何ヶ月で下がるの?」
「抜歯した隙間はいつ閉じる?」
「マウスピース矯正でも本当に大丈夫?」
矯正で前歯を下げたいと考えたとき、多くの方が似たような疑問や不安を感じています。これまで本文で解説してきた内容とも重なる部分はありますが、Q&A形式で疑問を整理しました。
ここでは、実際のカウンセリングや検索で特に多い質問をピックアップし、期間の目安・考え方・注意点を改めて分かりやすくまとめます。
「自分のケースに近い質問はどれか?」という視点で読み進めてみてください。
Q.前歯は何ヶ月で引っ込みますか?
A. 個人差はありますが、早い方では数ヶ月、一般的には半年〜1年程度で変化を感じるケースが多いです。
前歯が引っ込んだと実感できるまでの期間は、
・前歯をどれくらい下げる必要があるか
・抜歯か非抜歯か
・全顎矯正か部分矯正か
といった条件によって大きく変わります。
一般的な目安としては、矯正治療全体が2〜3年かかる場合でも、前歯の見た目の変化は治療前半(半年〜1年程度)で現れることが多いです。特に前歯の突出が大きかった方ほど、比較的早い段階で口元の印象が変わったと感じやすい傾向があります。
一方で、前歯を下げる量が少ない場合や、非抜歯でゆっくりスペースを作りながら進める場合は、変化が穏やかに見えることもあります。そのため、「何ヶ月で必ず引っ込む」と断言できる数字はなく、必要な移動量と治療工程によって左右されると考えるのが現実的です。
当院では、精密検査と3Dシミュレーションを行い、
「前歯が動き始める時期」
「見た目が変わりやすいタイミング」
をできるだけ具体的にお伝えしています。期間に不安がある方は、事前に見通しを確認したうえで治療を始めることができます。
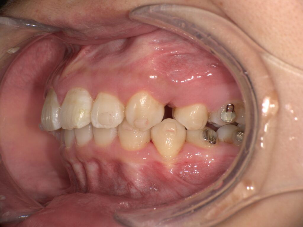
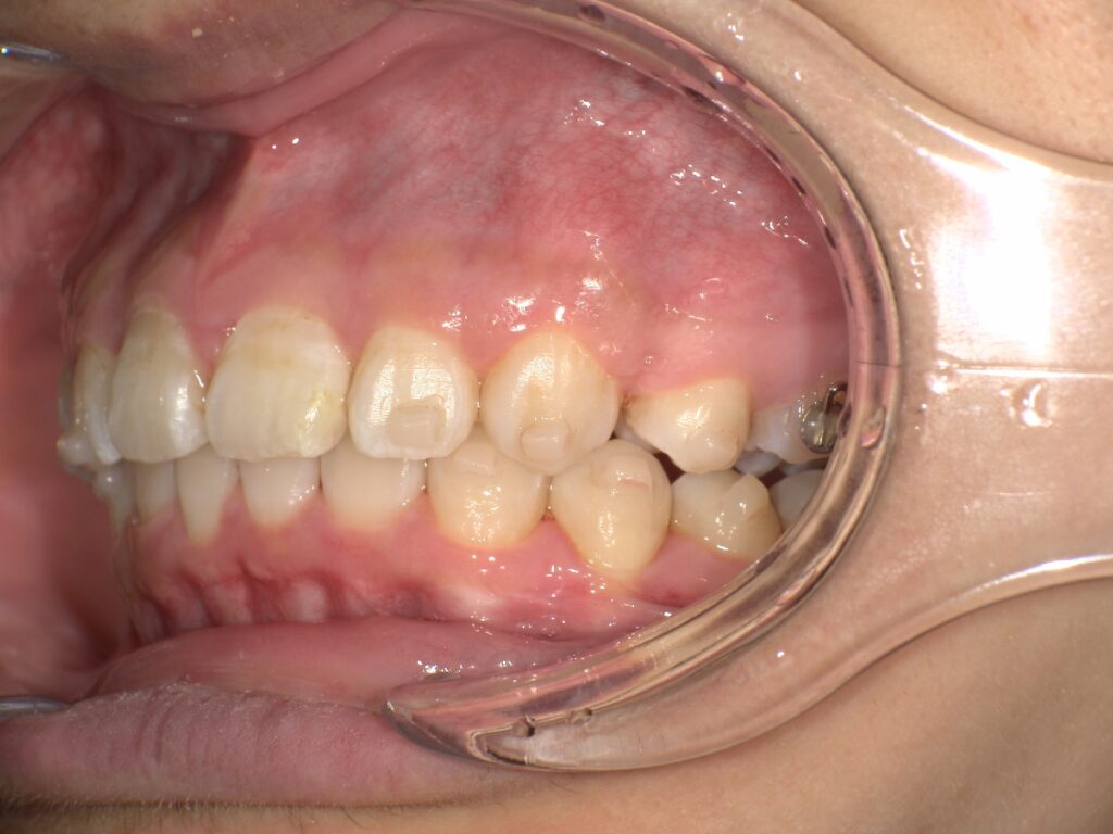
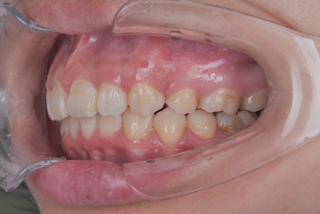
Q.抜歯の隙間はどれくらいで目立たなくなりますか?
A. 目安としては、半年〜1年で半分程度、12〜18ヶ月ほどでほぼ閉じるケースが多いです。
抜歯矯正を行った場合、「抜いた隙間がいつまで残るのか」は多くの方が不安に感じるポイントです。
実際には、抜歯後すぐに隙間が閉じるわけではなく、段階的に前歯や周囲の歯を動かしながら少しずつ閉じていくことになります。
一般的な経過の目安としては、
・半年〜1年程度:隙間が半分ほど閉じ、見た目の違和感が軽減
・1年〜1年半程度:日常会話ではほとんど気にならない状態
・12〜18ヶ月前後:ほぼ完全に閉じる
といった流れをたどるケースが多く見られます。
当院のケースを参考に供覧します。




ただし、この期間は
・抜歯した部位(前歯寄りか奥歯寄りか)
・前歯を下げる量
・治療計画上、どの歯を優先して動かすか
によって前後します。たとえば、「前歯を先に下げること」を優先する治療計画では、前歯の見た目は早く改善する一方、隙間の完全閉鎖は後半になることもあります。
当院では、「隙間を早く閉じたい」「前歯の見た目を優先したい」など、患者様のご希望に応じて治療の優先順位を調整しています。抜歯矯正=長く隙間が目立つ、というわけではないため、どの段階で何を重視するかを事前に相談することが大切です。
また当院では、歯がない部分が極力目立たなくなるように、患者様のご希望に応じて、抜歯した部位のマウスピースにホワイトワックスなどを入れることで、マウスピースをつけている時は、歯があるように見えるよう細工をすることを行っております。
Q.マウスピース矯正で前歯は下げられますか?
A. 多くのケースで可能ですが、噛み合わせや骨格などで難易度が上がる場合があります。医院によって変わるので、経験豊富な当院にご相談ください。
「前歯をしっかり下げたい場合はワイヤー矯正でないと無理なのでは?」
このように思われる方も多いですが、現在のマウスピース矯正(インビザライン)では、前歯を下げる治療に対応できるケースは非常に多くなっています。
特に、
・前歯の傾きをコントロールしながら後方移動させたい
・非抜歯で前歯を下げたい
・見た目の変化を治療前半で出したい
といった条件では、マウスピース矯正の方が有利に働くこともあります。
一方で、
・前歯を大きく下げる必要がある
・抜歯を伴い、歯の移動量が多い
・噛み合わせや骨格に強い特徴がある
といったケースでは、治療設計の難易度が高くなり、医院ごとの経験差が結果に大きく影響します。そのため、「マウスピース矯正ならどこでも同じ」というわけではありません。
当院では、これまで多数の前歯後方移動・抜歯症例をマウスピース矯正で対応してきた実績があり、前歯をどのタイミングで、どれくらい下げるかを精密に設計しています。
可能かどうかを曖昧に判断するのではなく、精密検査とシミュレーションをもとに、「どこまで下げられそうか」「どれくらいの期間が必要か」を具体的にご説明していますので、経験豊富な当院にご相談ください。
Q.途中で計画どおりに進まないときはどうなりますか?
A. 遅れの原因を見極めたうえで、治療計画を微調整し、適切に立て直します。当院では、豊富な経験をもとにリカバリーを行うので、無駄のない進行が可能になります。
矯正治療では、どれだけ綿密に計画を立てていても、
・歯の動きが想定よりゆっくり
・噛み合わせの微調整に時間がかかる
・虫歯や歯ぐきの炎症などのトラブルが起きた
といった理由で、計画どおりに進まないことが起こり得ます。
重要なのは、「遅れている」という事実そのものではなく、なぜ遅れているのかを正確に把握し、どう対応するかです。
原因が、
・マウスピースの装着時間不足
・ゴムかけの不足
であれば、行動を修正することで軌道修正が可能です。一方で、歯の動きや噛み合わせの調整が原因であれば、治療計画そのものを見直す必要があります。
当院では、治療中も定期的に経過を細かく確認し、
「前歯を下げる工程が予定通り進んでいるか」
「中間ゴールに対してどの位置にいるか」
を常にチェックしています。もしズレが生じた場合は、無理に当初の計画に固執せず、最適な形に再設計し、装置を新たに発注することもあれば、ズレを修正するリカバリーを行うこともあります。
例えばこのケースは1年後の結婚式までにある程度歯並びをきれいにしたいとおっしゃって来られた患者様です。
矯正開始時


治療開始10ヶ月後


右上の八重歯はだいぶ改善して来たのですが、移動量が大きかったため、装置と歯との間に空隙を認めております。
これくらい浮きがある状態だと資料を撮り直して、新しい装置を作ることもありますが、それだと時間のロスになりますし、また結婚式には間に合いません。
そこで結婚式に少しでもいい状態で迎えていただくために、リカバリーでゴムかけを行いました。

下記が2ヶ月後の写真です。
治療開始1年後(治療途中です)


八重歯の部分がしっかり改善していることがわかります。
豊富な経験を積むことで、ズレがでてきた場合にすぐに新しい装置を作り直したほうがいいのか、それとも何かリカバリーをしたほうがいいのかを的確に判断することが無駄のない進行には、とても大切です。
この方は、この状態で結婚式を迎えることができましたので、とても喜んでいただきました。
また、一般歯科と矯正歯科が院内で連携しているため、虫歯や歯周トラブルが起きた場合も、迅速に対応できます。これにより、治療の中断や大幅な遅れを最小限に抑えることが可能です。
「途中で遅れたらどうしよう」と不安を抱えたまま矯正を始める必要はありません。柔軟に対応できる体制があるかどうかは、矯正期間を安心して過ごすための大切なポイントです。
また当院では、バーチャルケアとよばれるモニタリングシステムを使っておりますので、頻繁に医院にくることなく、いち早く異常や遅れに気づくことが可能です。
Q.結婚式や就職など、期限がある場合は間に合いますか?
A. 期限がある場合は、「いつまでに、どこまで改善したいか」を明確にすれば、間に合う可能性は十分あります。そういった相談にも当院は慣れており、治療を早めるための選択肢もあるので、ぜひ一度相談してください。
結婚式・就職活動・写真撮影など、明確な期限がある矯正相談は非常に多くあります。
この場合に重要なのは、「矯正治療をすべて終わらせること」を目標にするのではなく、
期限までに「前歯が下がって、見た目の印象が変わる状態」をゴールとして設定することです。
矯正治療は、
・前歯を下げる工程(見た目の変化が出る)
・噛み合わせを整える工程(仕上げ)
という流れで進むため、見た目の改善は治療前半で達成できるケースが多いのが特徴です。そのため、期限までに「どこまで改善できれば満足か」を明確にすることで、現実的な治療計画が立てやすくなります。
当院では、期限がある方に対して、
・前歯を優先的に動かす治療設計
・中間ゴールの設定
・マウスピース矯正や矯正加速装置の併用
などを組み合わせ、「その日までにできる最善」を一緒に考えます。
例えばこの方は、結婚式までの半年までにできる範囲で歯並びをきれいにしたいとのことでご来院されました。
半年でできることは限られるため、一番気になっている右上の八重歯の改善に絞って治療を行いました。


マウスピース矯正でやるいいところは、結婚式や前どり前に矯正中につけているアタッチメントとよばれるポッチやゴムかけの金属のボタンをとることができることです。
ワイヤー矯正では、なかなか途中でワイヤーを外すということは現実的に難しいので、期限がある方、矯正治療の途中で、大事なイベントや写真をとるために矯正器具を外したいという方には、マウスピース矯正がおすすめです。当院では追加費用なしで、アタッチメントの除去や再装着を行っております。
もちろん、歯並びや骨格によってはご希望どおりの改善が難しい場合もありますが、その場合も「何がどこまで可能か」「別の選択肢はあるか」を正直にお伝えします。
期限があるからこそ、早めの相談が何より重要です。
まとめ:なるべく短期間で前歯を下げるために
矯正で前歯を下げるまでにかかる期間は、
「どれくらい下げる必要があるか」「抜歯の有無」「治療方法」「装置の使い方」など、さまざまな要素によって決まります。そのため、「何ヶ月で必ず下がる」と一概に言えるものではありません。
ただし、多くのケースで共通して言えるのは、
- 前歯の見た目の変化は治療前半(半年〜1年程度)に現れやすい
- 治療全体の期間=前歯が下がるまでの期間、ではない
という点です。矯正が2〜3年かかる場合でも、口元の印象が変わるのはもっと早い段階であることが少なくありません。
なるべく短期間で前歯を下げるためには、
- 自分に合った治療法(全顎矯正・部分矯正、抜歯・非抜歯)を正しく選ぶ
- マウスピースの装着やゴムかけを指示通りに継続する
- 虫歯や歯ぐきの炎症を防ぎ、治療の中断を避ける
- 必要に応じて矯正加速装置などの選択肢を検討する
といった点が非常に重要になります。
また、結婚式や就職など期限がある場合は、「矯正を完全に終わらせる」ことではなく、
「その日までに前歯が下がり、見た目が改善した状態」をゴールに設定する
という考え方が、満足度の高い治療につながります。
のざき歯科・東広島おとなこども矯正歯科では、精密検査と3Dシミュレーションをもとに、
「どのくらい下げられそうか」
「いつ頃、見た目が変わりやすいか」
をできるだけ具体的にお伝えし、納得したうえで治療を進めていただくことを大切にしています。
前歯を下げたいけれど期間が不安な方、期限があって迷っている方も、まずはカウンセリングで状況を整理することが第一歩です。
無理のない範囲で、あなたにとって最適な治療計画を一緒に考えていきますので、どうぞ安心してご相談ください。
