「受け口を手術なしで治したいけど、横顔まできれいになるんだろうか」
「横顔はそこまで求めない。まず噛み合わせだけでも整えたい…」
受け口(反対咬合)の矯正を考えるとき、「手術をせずにどこまで改善できるのか」「横顔(口元・あごの印象)まで変わるのか」は、多くの方が気になるところではないでしょうか。実際のところ、手術なしで整えられる範囲は、「骨格差がどれくらい大きいか」「歯の傾きでどこまで補えるか」「噛み合わせの前後関係をどう作り直すか」などで大きく変わります。
このページでは、受け口を手術なしで治すときに期待できる変化の目安や、横顔が改善しやすいケース/しにくいケースの見極め、後悔しないための考え方を、のざき歯科・東広島おとなこども矯正歯科の副院長・野崎雄介が、できるだけわかりやすく解説します。当院では、マウスピース矯正(インビザライン)を中心に、部分矯正から抜歯を伴う全顎矯正まで幅広く対応できる体制を整えています。iTeroによる精密な型取りとシミュレーションで、「手術なしでどこまで狙えるか」「どんな流れで進むか」をできるだけ具体的に共有し、納得して治療を進めていただけるようにしています。
受け口で横顔が気になるのはなぜ?
受け口(反対咬合)で悩んでいる方の多くが、「噛み合わせ」だけでなく横顔や口元の印象も気にされています。
鏡を見たときや、写真に写ったときに「下あごが前に出て見える」「口元のバランスが悪い気がする」と感じたことがある方も多いのではないでしょうか。
受け口は、単に前歯の噛み合わせが逆になっているだけでなく、歯の位置関係やあごのバランスが横顔の印象に影響しやすい咬合です。そのため、「手術なしの矯正で、横顔まで変わるのか?」という疑問が生まれやすくなります。
ただし、ここで重要なのは、
- すべての受け口が横顔に大きな影響を与えるわけではない
- 横顔が気になる原因が「歯」なのか「骨格」なのかで、改善できる範囲が大きく変わる
という点です。
受け口の見え方には、
- 噛み合わせの前後関係
- 前歯の傾き
- あごの大きさ・位置関係
といった複数の要素が関わっています。これらを整理せずに「横顔を治したい」「手術は避けたい」と考えてしまうと、治療後に「思っていたのと違った」と後悔につながることもあります。
そこで次からは、
- そもそも受け口(反対咬合)とはどんな噛み合わせなのか
- なぜ横顔にネガティブな印象が出やすいのか
- よく混同される「しゃくれ」との違い
といった基本から、順番に整理していきます。
まずは「受け口の正体」を正しく知ることで、手術なしでどこまで目指せるのかを冷静に考えられるようになります。
受け口(反対咬合)とは?噛み合わせの前後関係が逆になった咬合
受け口(反対咬合)とは、上下の前歯の噛み合わせが本来とは逆になっている状態を指します。
通常は「上の前歯が下の前歯より外側(前方)」に位置しますが、受け口の場合は下の前歯が上の前歯より前に出て噛んでいるのが特徴です。

見た目としては、
- 前歯で噛んだときに下の歯が前に見える
- 口元が前に突き出して見える
- 下あごが強調された印象になる
といった変化が出やすく、「横顔が気になる」「しゃくれて見える気がする」と感じるきっかけになることも少なくありません。
また、受け口は見た目の問題だけでなく、
- 前歯で食べ物を噛み切りにくい
- 奥歯に負担が集中しやすい
- 顎関節や筋肉に余計な力がかかる
など、機能面のトラブルにつながることもあります。そのため、「横顔はそこまで気にしていない」という方でも、噛み合わせの改善を目的に矯正治療を検討されるケースも多い咬合です。
受け口になる原因について
受け口の原因は、大きく分けて3つのタイプがあります。
①歯の傾きが主な原因(歯性の受け口)
上の前歯が内側に倒れていたり、下の前歯が外側に倒れていることで、噛み合わせが逆になっている状態です。
このタイプは、あごの大きさ自体に大きな問題がないことも多く、矯正治療で歯の位置を整えることで改善できる可能性があります。
②あごの大きさ・位置が原因(骨格性の受け口)
下あごが大きい、あるいは前方に位置している/上あごが小さい、後方に位置しているなど、骨格的な前後差が主な原因です。
この場合、歯だけを動かしても限界があり、外科的な手術が必要になることもあるため、治療方針の見極めがとても重要になります。

③歯性と骨格性が混在しているタイプ
実際の臨床では、このタイプが最も多く見られます。
骨格差がある程度ありつつ、歯の傾きでさらに受け口が強調されているケースです。「手術なしでどこまで治せるか」を判断する際は、このバランスを細かく評価する必要があります。

このように、同じ「受け口」に見えても、原因は人によってまったく異なります。
横顔がどれくらい変わる可能性があるのか、手術なしで対応できるのかを考えるためには、まずこの原因の違いを理解しておくことが大切です。
受け口が横顔にネガティブな印象を与える理由
受け口の方が「横顔が気になる」「口元の印象が強い」と感じやすいのは、前歯の噛み合わせとあごの前後バランスが、顔貌に直接影響するためです。正面から見るとそれほど気にならなくても、横から見たときに違和感が出やすいのが受け口の特徴ともいえます。
まず、歯の位置関係による影響があります。
本来、上の前歯はやや前方に傾き、下の前歯を覆うことで、口元に自然なカーブが生まれます。しかし受け口では、
- 上の前歯が内側に倒れている
- 下の前歯が外側に倒れている
といった状態になりやすく、口元が平坦に見えたり、逆に下唇側が前に出て見えたりします。その結果、横顔のバランスが崩れて見えることがあります。
さらに、骨格性の要素が加わると、印象はより強くなります。
下あごが前方に位置している場合、横顔では
- 下あごが強調される
- 上あごが小さく、引っ込んで見える
といった見え方になりやすく、「きつそう」「男性的」「年齢より大人っぽく見える」といった印象を持たれることもあります。これは実際の性格や年齢とは関係なく、骨格バランスによる視覚的な影響です。
また、横顔の美しさの指標としてよく知られているEライン(鼻先とあご先を結んだライン)も、受け口では乱れやすくなります。
下あごが前に出ていると、口元がラインより前方に出たり、逆に上唇が引っ込んで見えたりして、口元の突出感や後退感が強調されることがあります。

このように、受け口は
- 前歯の噛み合わせ
- 歯の傾き
- あごの前後関係
が複雑に絡み合い、横顔の印象に影響します。そのため、「噛み合わせだけの問題」と軽く考えてしまうと、見た目の悩みとのギャップが生じやすくなるのです。
「しゃくれ」と「受け口」は同じ?混同しやすいポイント
口元の見た目は似ていても、しゃくれは噛み合わせが正常なケースがある
噛み合わせが逆(前歯が反対)なら、受け口
「受け口=しゃくれ」と思われがちですが、この2つは必ずしも同じではありません。見た目が似ているため混同されやすいものの、歯科的にはまったく異なる状態を指すことがあります。
まず「しゃくれ」という言葉は、医学的な診断名ではなく、見た目を表す俗称です。
一般的には「下あごが前に出て見える横顔」を指して使われることが多く、噛み合わせの状態までは含んでいない場合があります。
一方で「受け口(反対咬合)」は、噛み合わせの前後関係が逆になっている状態です。
つまり、
- 前歯で噛んだときに下の歯が上の歯より前にある
この条件を満たして初めて、歯科的に「受け口」と診断されます。
ここで重要なのは、
- しゃくれて見えても、噛み合わせが正常な人がいる
- 見た目はそれほどしゃくれていなくても、噛み合わせは受け口の人がいる
という点です。
たとえば、下あごがやや前に出ていても、歯の傾きで噛み合わせが正常に保たれているケースでは、「しゃくれっぽく見えるけれど受け口ではない」ことがあります。逆に、骨格差が軽度でも、歯の傾きによって前歯の噛み合わせが逆になっている場合は、見た目以上に機能的な問題を抱えている受け口ということもあります。
この違いを理解せずに
「しゃくれているから手術が必要なのでは」
「横顔が気になる=必ず受け口矯正で治るはず」
と考えてしまうと、治療のゴール設定がズレてしまう可能性があります。
大切なのは、見た目の印象だけで判断せず、噛み合わせの状態を正確に評価することです。
受け口かどうか、そして手術なしでどこまで改善できるのかは、レントゲンや口腔内の状態をもとに、総合的に判断する必要があります。
手術なしで治せる受け口/難しい受け口の見極め
受け口の相談で最も多いのが、「できれば手術は避けたい」「自分は矯正だけで治せるのか知りたい」という声です。
受け口の治療は、
- 矯正治療のみで噛み合わせを整えられるケース
- 外科矯正(手術+矯正)も選択肢に入るケース
の大きく2つに分かれますが、その境界線は単純ではありません。
見た目が似ていても、骨格の影響の大きさや、歯で補える余地によって、治療方針は大きく変わります。
「手術なしで可能かどうか」を考えるときは、
- 下あごと上あごの前後差がどれくらいあるか
- 歯を安全に動かせる余地がどれくらい残っているか
- 無理な歯の移動によって、将来的なリスクが出ないか
といった点を精密に検査し、冷静に評価することが重要です。
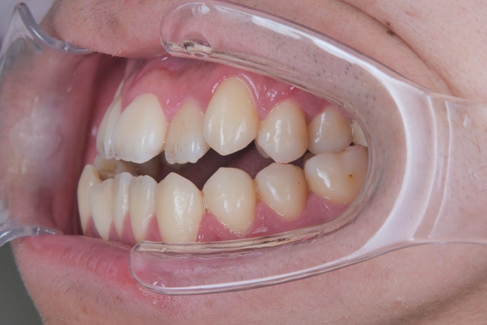
具体的には、口腔内写真やレントゲン写真、特にセファロX線写真を分析し、診断を行います。
次に、その判断軸となるポイントを整理します。
ポイントは「骨格の影響の大きさ」と「歯で補える余地」
受け口が手術なしで治療できるかどうかを考える際、最も重要なのは
「骨格のズレがどれくらい大きいか」と
「歯の移動でどこまで補えるか」
という2点です。
矯正治療は、あくまで歯を動かす治療です。
大人の矯正では、あごの骨そのものの位置を変えることはできません。そのため、骨格差が大きい場合は、歯だけで無理に噛み合わせを合わせようとすると、治療後にトラブルが起こる可能性があります。
例えばセファロX線写真での診断を行い上下の顎の位置のズレが大きいと判断した場合、歯列矯正のみでの治療は困難と判断し、外科的な手術をおすすめする場合もあります。

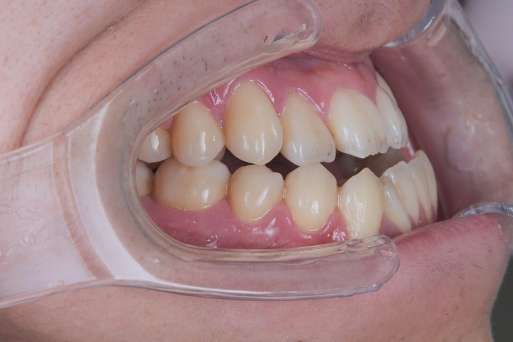
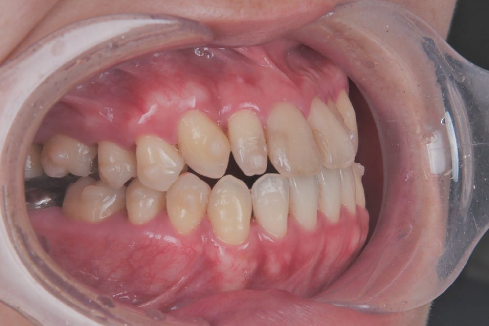
また骨格的な位置だけでなく、実際の奥歯の噛み合わせの状態がどうかというところも歯列矯正のみで治療できるかというところに大きく関わってきます。



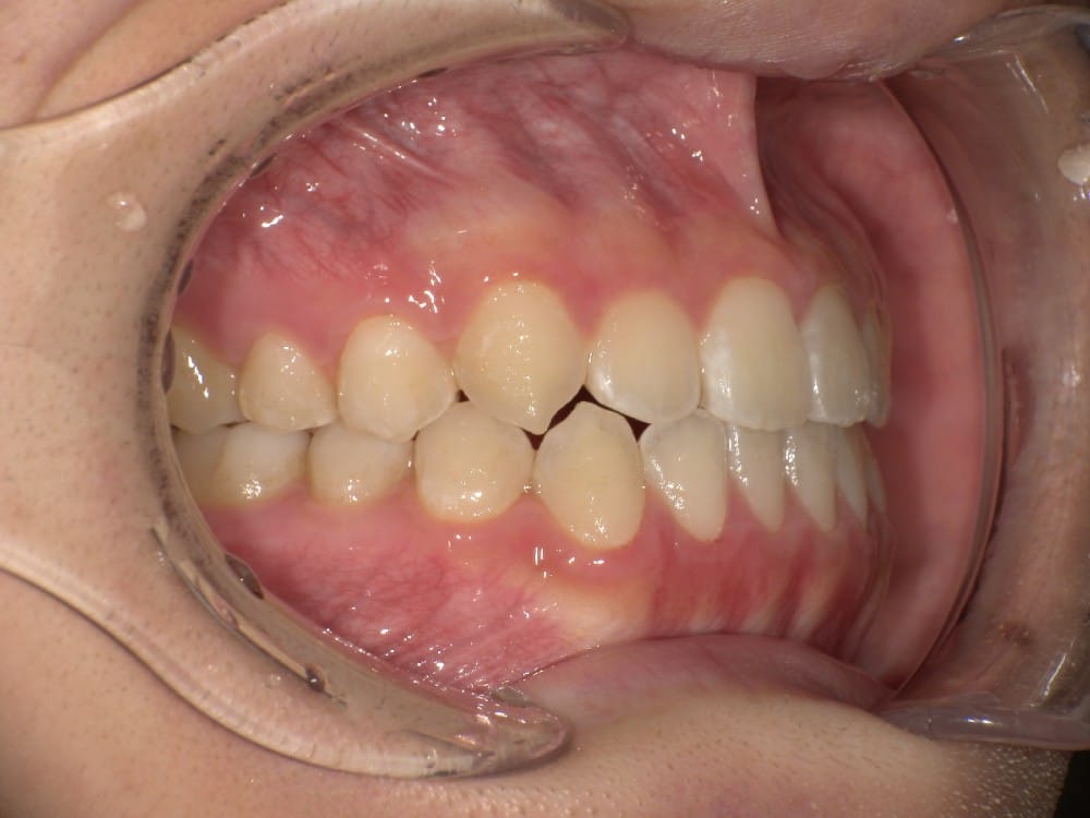
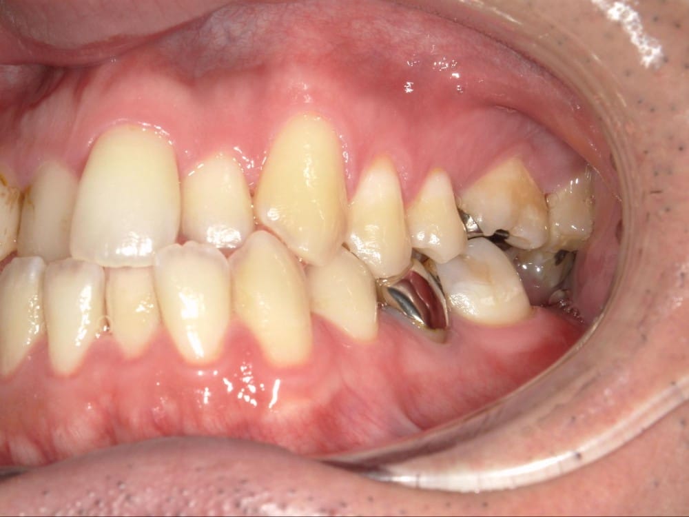
最後の画像のように奥歯のズレが1本以上あるケースでは、歯列矯正のみでの受け口の改善は困難と判断することが多いです。
一方で、骨格差が比較的軽度で、
- 歯の傾き(歯性)が強い
具体的には
上の前歯が内側に倒れている
下の前歯が外側に倒れている
- 噛み合わせのズレの多くを歯で説明できる
といった場合は、矯正治療のみで噛み合わせを整えられる可能性が高まります。
ここで注意したいのは、
「矯正で治せる=簡単に治る」
「手術が選択肢に入る=絶対に矯正だけでは無理」
というわけではない点です。
“歯で補える余地がどれくらい残っているか”を正確に評価し、
- 機能的に無理がないか
- 将来的に歯や歯周組織に負担が残らないか
まで含めて判断することが、後悔しない受け口治療につながります。
受け口の矯正は、難易度が高く、期間がかかることも多いので、経験豊富な矯正歯科医に診断してもらい、治療をすることが望ましいです。
手術なしで噛み合わせを整えられるケース
歯の傾き(歯性)の割合が大きい
ズレが軽度〜中等度で、機能障害が強くない
「当てはまれば絶対に手術なし」ではなく「手術なしで治療できる可能性が上がる」
受け口の中でも、比較的手術なしで矯正治療を進めやすいケースには、いくつか共通した特徴があります。
まず代表的なのが、歯の傾き(歯性)の影響が大きいケースです。

たとえば、
- 上の前歯が内側に倒れている
- 下の前歯が外側に傾いている
といった状態が強く、骨格的な前後差が比較的軽度な場合、歯の位置を整えることで噛み合わせを改善できる可能性があります。このタイプでは、矯正によって前歯の被さりを回復させることで、機能面の改善が期待できます。
次に、奥歯のズレが軽度〜中等度で、機能障害が強くないケースです。

日常生活で、
- 食事が極端にしにくい
- 発音に大きな支障がある
- 顎関節に強い症状が出ている
といった問題がない場合、矯正のみで噛み合わせを整える選択肢が現実的になることがあります。
また、歯を動かすためのスペースや余地が比較的確保できることも重要です。
歯列に多少のすき間がある、もしくはIPR(歯の側面をわずかに削る処置)や抜歯によって、無理のない範囲で歯を動かせる場合は、カモフラージュ矯正が成立しやすくなります。
繰り返しになりますが、
- 骨格差がゼロである必要はない
- 「軽いから大丈夫」と自己判断しない
ことが大切です。
専門的な検査を行い、「歯で補っても将来的に問題が出ないか」を見極めたうえで、手術なしの治療を選択することが重要になります。
手術が選択肢に入りやすいケース
一方で、受け口の中には矯正治療だけで無理に噛み合わせを整えようとすると、リスクが大きくなりやすいケースもあります。こうした場合は、外科矯正(手術+矯正)も含めて治療方針を検討することが現実的になります。
まず代表的なのが、骨格の上下差・前後差が大きいケースです。
上あごと下あごの位置関係に明らかなズレがあり、
- 下あごが大きく前方に出ている
- 上あごが小さく後方に位置している
といった状態が強い場合、歯をどれだけ動かしても、噛み合わせや横顔の印象を十分に改善できないことがあります。

また、顔の左右差(非対称)が強いケースも注意が必要です。
片側だけ噛み合わせがズレている、下あごが斜めにずれているような場合、歯だけでバランスを取ろうとすると、咬合の安定性や見た目の違和感が残りやすくなります。
さらに重要なのが、歯を無理に倒すことで歯周組織への負担が大きくなると予想されるケースです。
骨格差を歯の傾きだけで補おうとすると、
- 歯根が骨からはみ出る
- 歯肉退縮や知覚過敏が起こる
- 将来的に歯の寿命を縮めてしまう
といったリスクが高まることがあります。
このようなケースでは、「手術は避けたい」という気持ちだけで治療方針を決めてしまうと、治療後に後悔する可能性が高くなります。
大切なのは、
- 手術をするかしないか
- どこまでの改善を目指すのか
を、メリット・デメリットを理解したうえで選択することです。
受け口を手術なしで矯正して横顔は変化する?
「受け口を手術なしで治したら、横顔まできれいになりますか?」
この質問は、カウンセリングでも非常に多くいただきます。結論からお伝えすると、横顔が変わるかどうかはケースによるため、過度な期待を持たず、現実的なゴール設定をすることが大切です。
受け口矯正の主目的は、あくまで噛み合わせを正しく整えることです。横顔の変化は、その結果として「起こることもある」という位置づけになります。
ここを誤解してしまうと、「噛み合わせは良くなったけれど、見た目が思ったほど変わらなかった」という後悔につながりやすくなります。
まずは、当院が患者さまにどのようにお伝えしているか、その考え方から説明します。
矯正治療のみで横顔は「基本的には改善しない」とお伝えしています
当院では、受け口の矯正相談の際、「手術なしの歯並びの矯正だけでは、横顔は基本的には変わらない前提で考えておくと安心です」とお伝えしています。
これは決して悲観的な意味ではなく、過度な期待によるギャップを防ぐためです。
矯正治療は、歯を動かすことで噛み合わせを整える治療であり、
- 下あごを後ろに下げる
- 上あごを前に出す
といった骨の位置そのものを変えることはできません。そのため、骨格性の影響が強い受け口では、矯正だけで横顔が劇的に変化することは基本的にありません。
「横顔が変わるかどうか」を最優先に考えてしまうと、
- 無理なカモフラージュ治療を選んでしまう
- 本来必要な説明やリスクを軽視してしまう
といった問題が起こりやすくなります。
だからこそ、まずは噛み合わせをきれいにする。横顔は「変わったらラッキー」くらいの気持ちで考えておくほうが、治療後の満足度は高くなりやすいと考えています。
それでも症例によっては、横顔が整うこともある
とはいえ受け口を治すと、実際に横顔が変わることもあります。すべての症例で変わるとは限らないし、当院でも「横顔が変わります」とは言わないが、現実に横顔に変化が生まれるケースはたくさんあります。
一方で、受け口を手術なしで治療した結果、実際に横顔の印象が良くなるケースがあるのも事実です。
当院でも、「横顔が変わります」と断言することはありませんが、治療後に「思っていたより口元がすっきりした」「写真写りが良くなった」と感じられる患者さまは少なくありません。
これは主に、
- 歯の傾きが原因で口元が崩れていたケース
- 前歯の被さりが回復したことで、唇の位置関係が整ったケース
などで起こりやすい変化です。
歯の位置が変わることで、唇の支え方が変化し、横顔のラインが自然に整うことがあります。
実際に手術なしで横顔が整った受け口のケース
ここでは、実際の当院のケースで受け口を治すことで横顔の変化が見られたケースをご紹介します。
(case1)
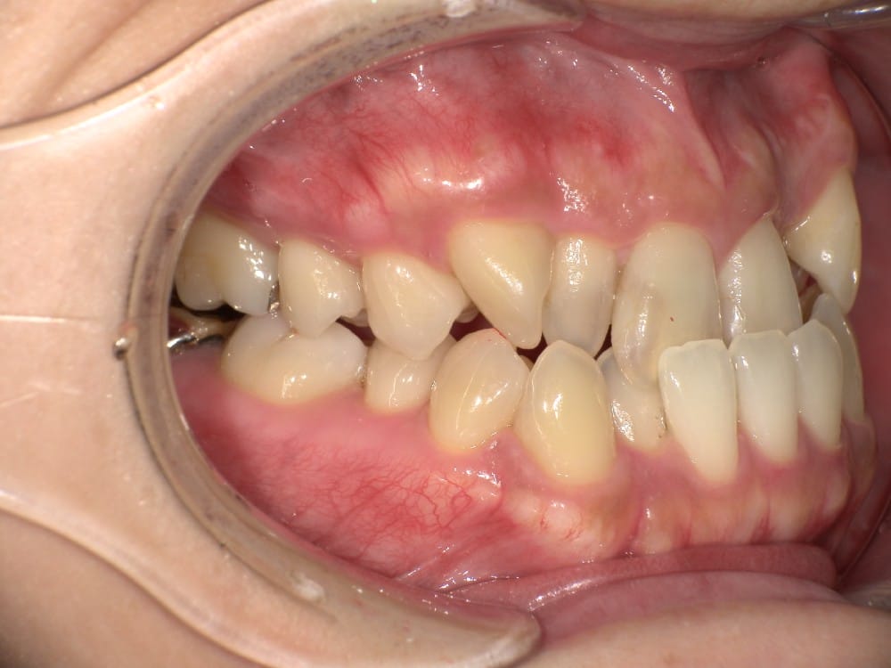
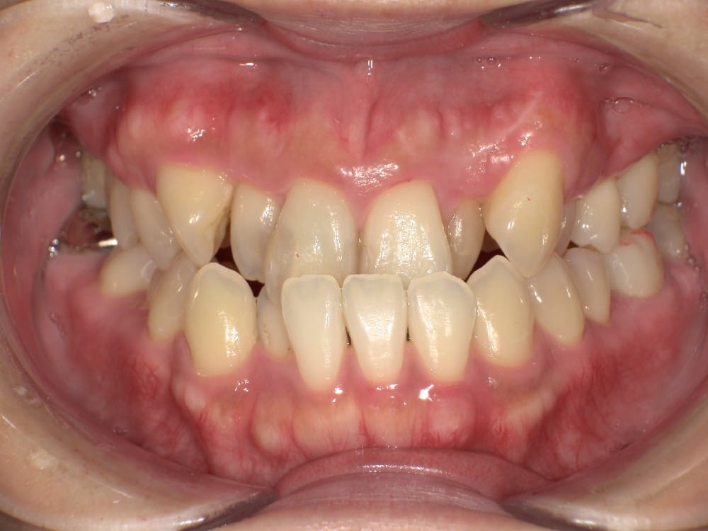
この子は、中学生の女の子で、受け口、横顔が気になるとのことでご来院されました。
治療前の様子




分析をしますと
- 骨格的な上下あごの前後差は中等度
- 噛み合わせの位置も下あごの奥歯が半分くらい前にズレていた
- 上の前歯が前に傾斜、下の前歯が内側に傾斜しているにもかかわらず、受け口
というケースで、外科的な処置も検討するようなケースでした。

患者さまに外科的な手術の選択肢も提示しましたが、希望されず、横顔の変化はおそらく起こらないことを納得の上、治療をスタートいたしました。
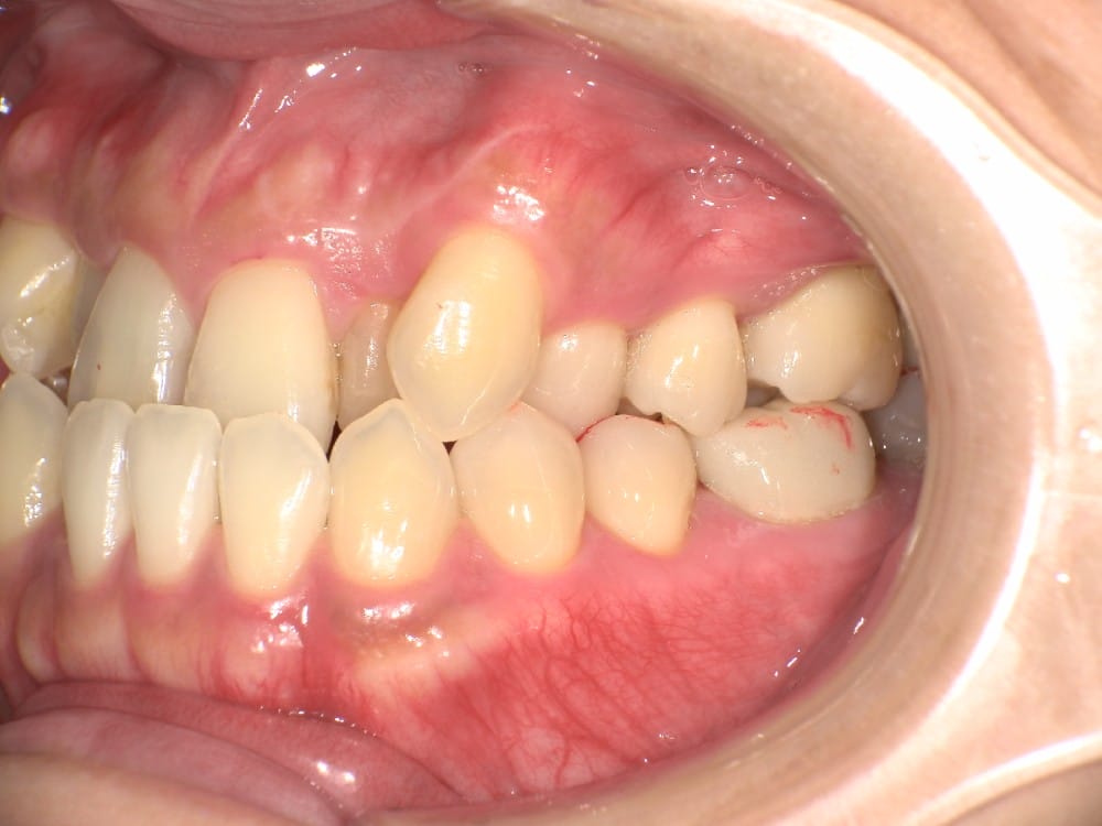
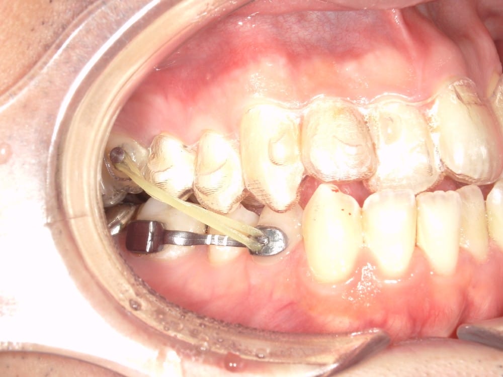
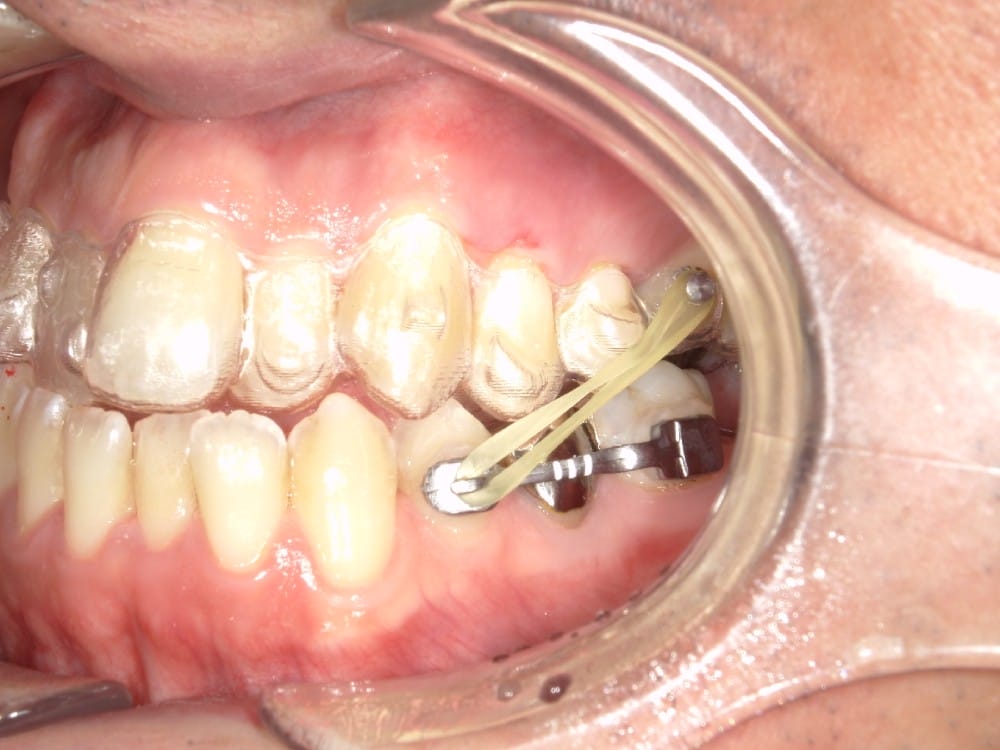
このような奥歯の移動量が大きい症例では、マウスピースだけでは難しいことがあり、カリエールとよばれる装置を補助的に使用し、上下の噛み合わせの前後関係を整えることで、手術を行わずに機能面と見た目の両方が改善することがあります。


一時的に前歯は噛み合わせが開いていますが、受け口の矯正では、最終段階で前歯ばっかりあたって奥歯がしっかり噛まないということも起こりやすいので、あえて狙って動かしています。
ここから上下透明なマウスピースに変え、仕上げていきました。

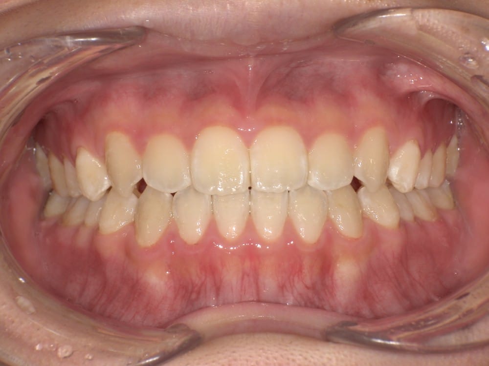
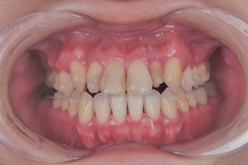
治療後の写真




矯正治療によって前歯の被さりを改善することで、口元の突出感が減り、横顔がやわらかい印象に変化しました。
<治療前後の比較です>




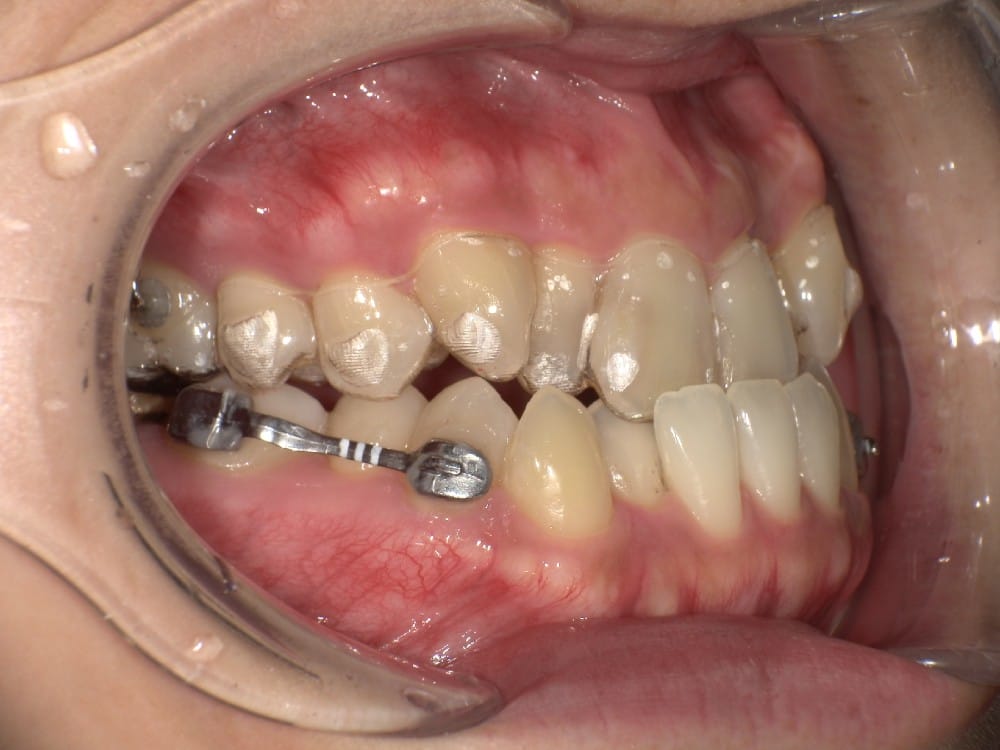
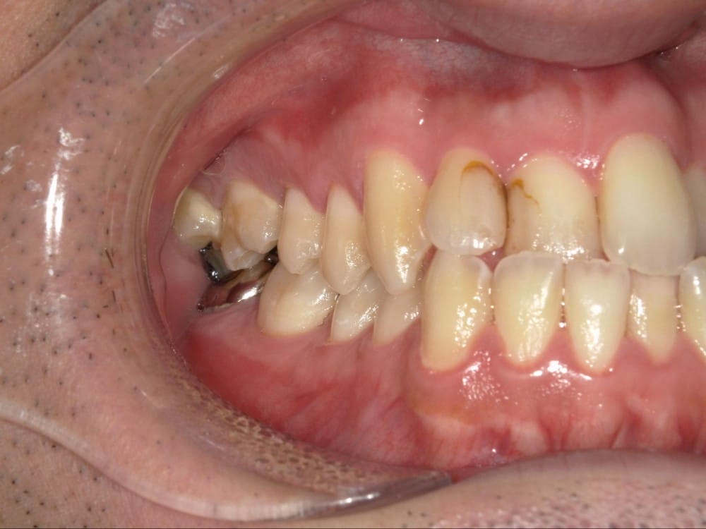
(case2)
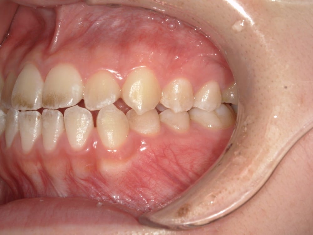
もう1ケース治療途中のケースでありますが、受け口を治すことで若干の横顔の改善が見られたケースを紹介します。
30代の女性で、受け口とガタガタを主訴にご来院されました。
治療前




分析しますと
- 骨格的な上下あごの前後差は中等度〜重度
- 噛み合わせの位置も下あごの奥歯が半分くらい前にズレていた
- 上の前歯が内側に傾斜している
というケースで、外科的な処置も検討するようなケースでした。

骨格的なズレや奥歯の噛み合わせのズレもあり、重度の受け口でしたが、上あごの前歯が内側に傾斜しているため、本来の歯の軸に戻すことで、受け口を改善できると診断し、治療を開始しました。
先ほどのケースと同じように、患者さまに外科的な手術の選択肢も提示しましたが、希望されず、横顔の変化はおそらく起こらないことを納得の上、治療をスタートいたしました。
今回のケースも奥歯の移動量が大きいため、マウスピースだけでは難しいと判断し、カリエールとよばれる装置を補助的に使用し、上下の噛み合わせの前後関係を整えることで、手術を行わずに機能面と見た目の両方が改善することにしました。


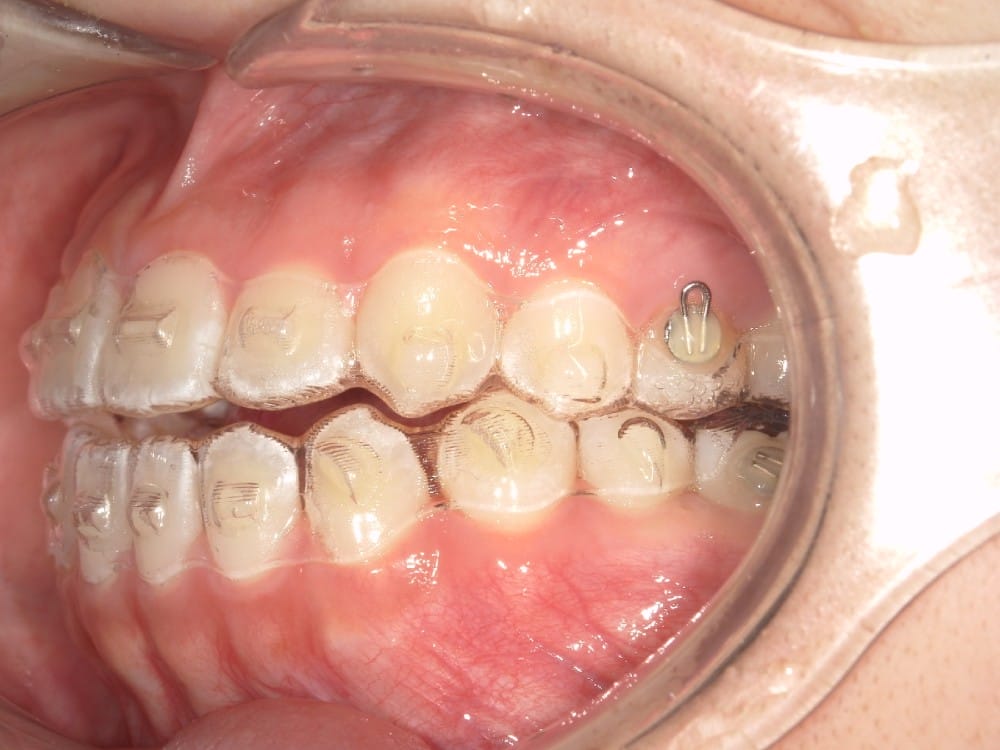
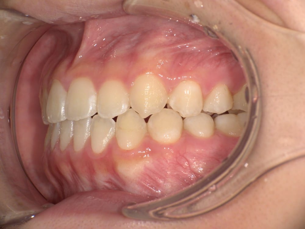
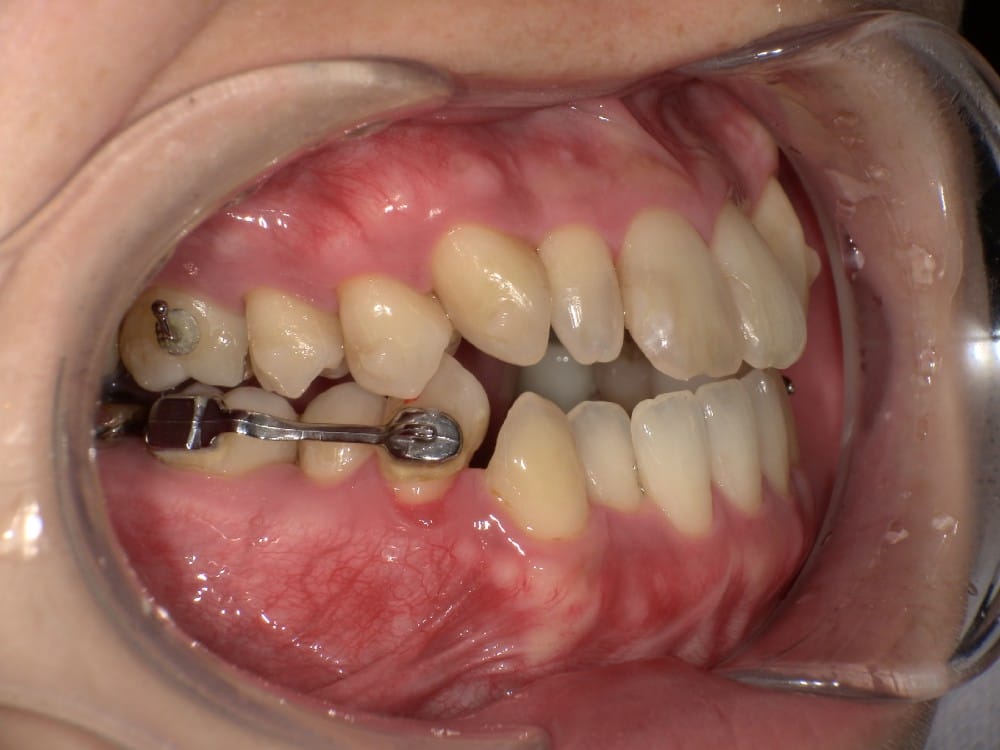
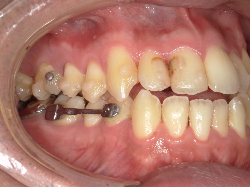
治療中の直近の写真です。生まれつき小さな歯である前から両側の2番目の歯は、被せ物をして見た目の回復をする予定にしています。



<治療前と現在の比較です>




矯正治療によって前歯の被さりを改善することで、先ほどの症例ほどではありませんが、下唇の突出感が減り、上唇も正常な位置に戻り、横顔がやわらかい印象に変化しました。
ただし重要なのは、
- すべての受け口で横顔が変わるわけではない
- 受け口は治ったけれど、横顔の印象はほとんど変わらなかった
というケースも確実に存在するという点です。
(case3)
受け口は治ったけれど横顔は変化しなかったケースもあるので、紹介します。
30代の男性で、受け口とガタガタを主訴にご来院されました。
治療前の様子




分析しますと
- 骨格的な上下あごの前後差は重度
- 噛み合わせの位置も下あごの奥歯が半分くらい前にズレていた
- 上の前歯が前に傾斜、下の前歯が内側に傾斜しているにもかかわらず、受け口
というケースで、外科的な処置も検討するようなケースでした。

骨格的なズレや奥歯の噛み合わせのズレもあり、重度の受け口でしたが、なんとか歯列矯正のみで受け口を改善できると診断し、治療を開始しました。
先ほどの2ケースと同じように、患者さまに外科的な手術の選択肢も提示しましたが、希望されず、横顔の変化はおそらく起こらないことを納得の上、治療をスタートいたしました。
今回のケースも奥歯の移動量が大きいため、マウスピースだけでは難しいと判断し、カリエールとよばれる装置を補助的に使用し、上下の噛み合わせの前後関係を整えることで、手術を行わずに機能面と見た目の両方が改善することにしました。


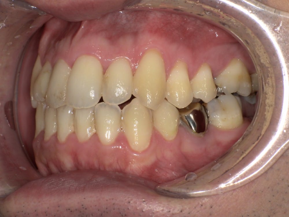
治療後の写真です。




<治療前後の比較です>




正面から見た時の受け口は改善していますが、横顔の変化は軽微かほとんど起こっていません。
同じように治したケースでも横顔の変化には差があります。
だからこそ、治療前に「どこまでを目標にするのか」をしっかり共有し、噛み合わせ改善を軸に治療を進めることが大切になります。
受け口を手術なしで整える矯正治療法
ワイヤー矯正でも治療可能ですが、
当院では基本的に全てマウスピース矯正で治療しています。
受け口はワイヤー矯正・マウスピース矯正のどちらでも治療可能ですが、どの装置を使っても「できること・できないこと」は基本的に同じですが、マウスピース矯正は奥歯を奥に動かしやすいという特徴があります。
ワイヤー矯正でも奥歯を奥に動かすことはできますが、TADと言われるネジを入れる必要があることが多いです。
違いが出るのは、治療の進めやすさや日常生活への影響、そして患者さまの負担感(QOL)です。
当院では、受け口矯正も原則としてマウスピース矯正を中心に対応しています。部分矯正から、抜歯を伴う全顎矯正まで、マウスピースで計画的に噛み合わせを作り直すことが可能です。
マウスピース矯正での受け口の治し方
マウスピース矯正では、最初に精密検査を行い、歯の移動を3Dシミュレーションで可視化します。

受け口の場合は特に、
- 前歯の被さりをどう作るか
- 上下の歯列の前後関係をどう整えるか
といった点を、治療前に具体的に確認することが重要です。
治療では、
- 上の前歯を適切に前方・外側へ
- 下の前歯を無理のない範囲で後方・内側へ
といった動きを段階的に行い、機能的に安定した噛み合わせを目指します。
マウスピースは弱い力を持続的にかけられるため、歯や歯周組織への負担を抑えながら治療を進めやすい点もメリットです。
またワイヤーと比べても、下あごの奥歯を奥に動かすことができるので、非常に有利です。
必要に応じて顎間ゴムやIPR・抜歯などで補助する
受け口の治療では、マウスピース単独ではなく、補助的な手段を組み合わせることが重要になる場合があります。
代表的なのが顎間ゴム(ゴムかけ)です。

上下のマウスピースにゴムをかけることで、歯列全体の前後関係をコントロールし、受け口特有のズレを改善していきます。
また、歯を動かすスペースが不足している場合には、
- IPR(歯の側面をわずかに削る処置)
- 抜歯
を検討することもあります。
これは「無理に歯を倒さないため」の選択であり、将来的な歯の健康を守るうえでも重要な判断です。
しかし、受け口の矯正で抜歯をするというのは、非常に難易度が高いので、最終手段にとっておくことが多いです。
マウスピース・ワイヤーどちらも骨の位置は変えられない
ここでよくある誤解として、
「ワイヤー矯正のほうが強力だから、骨格も変えられるのでは?」
というものがあります。
結論から言うと、マウスピースでもワイヤーでも、あごの骨の位置は変えられません。
できるのは、あくまで歯の移動による噛み合わせの再構築です。
つまり、
- 治療の限界は装置ではなく「骨格条件」で決まる
- 装置の違いは、快適さや生活のしやすさに表れる
ということになります。
その点で、取り外しができ、痛みや口内トラブルが少ないマウスピース矯正は、日常生活のQOLを保ちながら治療を続けやすい選択肢といえます。
当院では、よりマウスピースに加えて必要に応じて、受け口矯正をより安全に、効率よく進めるための強力な補助装置『カリエール』という器具を併用することでより難易度の高い受け口矯正に対応でき、期間を短くできるよう努めております。
カリエール(CarriereMotion)とは?受け口矯正での役割
カリエール(CarriereMotion)は、噛み合わせの前後関係を整えるための補助装置です。

主に受け口(反対咬合)や出っ歯など、上下の噛み合わせにズレがあるケースで使用されます。
歯並びを細かく整える装置ではなく、矯正治療の初期段階で「土台となる噛み合わせ」を作ることが主な目的です。
カリエールで「できること」「できないこと」
カリエールでできること
- 上下の歯列の前後関係を改善する
- 受け口特有の「前歯が反対に噛んでいる状態」を整える準備をする
- 後続のマウスピース矯正やワイヤー矯正をスムーズに進めやすくする
顎間ゴム(ゴムかけ)と併用することで、歯列全体の位置関係を効率よくコントロールできます。
カリエールではできないこと
一方で、カリエールは
- 下あごを後ろに下げる
- 上あごを前に出す
- 骨格そのものを変える
といった骨の位置を変える装置ではありません。
そのため、
👉「カリエールを使えば必ず横顔が変わる」わけではない
という点は、治療前にしっかり理解しておくことが大切です。
受け口治療でカリエールを使うメリット
受け口の矯正では、いきなり歯並びを整えようとすると、
- 無理な歯の移動が必要になる
- 治療が長引く
- 噛み合わせが不安定になる
といった問題が起こることがあります。
カリエールを使って先に噛み合わせの前後関係を整えておくことで、
- マウスピース矯正での歯の動きが素直になる
- 無理なカモフラージュ治療を避けやすくなる
- 手術なしでの受け口矯正が可能になる場合がある
- 結果として、治療期間の短縮が図れる
といったメリットが期待できます。
カリエールは「受け口矯正の近道」になることがある
カリエールは万能な装置ではありませんが、
適切な症例で正しく使えば、
受け口矯正をより安全に、効率よく進めるための強力な補助装置になります。
「自分の受け口にカリエールが合うのか」
「手術なしでどこまで目指せるのか」
その判断には、精密な検査と治療計画が欠かせません。
気になる方は、カウンセリングでお気軽にご相談ください。
手術なしで受け口を矯正して後悔しないために
「手術なしで治したい」という希望は、とても自然なものです。
ただし、その気持ちだけを優先してしまうと、治療後に「思っていたのと違った」と感じてしまうリスクもあります。
受け口の矯正で後悔しないためには、
- 治療の限界を理解すること
- 無理のある治療を選ばないこと
- 患者さま自身が治療にしっかり関わること
この3つが非常に重要です。以下で順番に解説します。
無理なカモフラージュ治療で起こりやすい問題
「どうしても手術はしたくない」という思いが強すぎると、本来は避けたほうがよい無理なカモフラージュ治療を選んでしまうことがあります。
無理なカモフラージュ治療では、
- 歯を必要以上に傾けて噛み合わせを合わせる
- 骨格差を歯だけで隠そうとする
といった治療になりやすく、その結果、
- 歯肉退縮や歯根へのダメージ
- 噛み合わせの不安定さ
- 見た目は一時的に改善しても、長期的な後戻り
といった問題が起こる可能性があります。
重要なのは、「手術なしで治す」こと自体ではなく、
将来的にも安定して使える噛み合わせを作れるかどうかです。
そのため当院では、手術なしの治療が可能かどうかだけでなく、「無理がないか」「長期的に問題が出ないか」を重視して治療方針を決めています。
マウスピースの装着時間やゴム掛けを徹底する
患者さまのコンプライアンス次第で矯正の結果に影響するので、きっちりやらないと後悔する可能性
→週1回のモニタリングなどで患者さまのコンプライアンスの向上に寄与できるので、当院で治療すると良い、という訴求に繋げられる。
手術なしで受け口を治療する場合、患者さまの協力度(コンプライアンス)が、結果に大きく影響します。
特に重要なのが、
- マウスピースの装着時間(1日20時間以上)
- 顎間ゴム(ゴムかけ)の正確な使用
です。
これらが守れないと、
- 計画通りに歯が動かない
- 治療期間が延びる
- 最終的な噛み合わせが不十分になる
といった問題が起こりやすくなります。
逆にいえば、きちんと装着・使用できれば、治療の再現性は大きく高まります。
当院では、週1回のオンラインモニタリングなどを活用し、
- 装着状況の確認
- トラブルの早期発見
- モチベーションの維持
をサポートする体制を整えています。
「自己管理が不安」という方でも、一緒に治療を進めていける仕組みがあることで、後悔の少ない矯正治療につながります。
のざき歯科・東広島おとなこども矯正歯科の受け口矯正
受け口の矯正治療では、「手術をする・しない」や「横顔が変わる・変わらない」といった点に意識が向きがちです。
しかし当院では、それ以上に「患者さまにとって無理のない、長く安定する噛み合わせを作れるか」を大切にしています。
その考え方を、3つの軸でご紹介します。
横顔も重要ですが、まずは「正しい噛み合わせ」を目指します
横顔の印象は、確かに多くの方が気にされるポイントです。
ただし、矯正治療で確実にコントロールできるのは噛み合わせであり、横顔の変化はあくまで結果として現れるものです。
そのため当院では、
- 横顔がどこまで変わるかは正直にお伝えする
- 変わるかどうか分からない部分を過度に約束しない
- そのうえで、噛み合わせとしてベストなゴールを目指す
という姿勢で治療を行っています。
「横顔が変わるなら嬉しい。でも、まずはしっかり噛めるようになりたい」
そう考える方にとって、現実的で後悔の少ない治療方針を一緒に考えることを大切にしています。
歯列矯正のみで改善が難しいと判断した場合は、無理をせず、正直に外科的な手術が必要とお話ししております。
検査やシミュレーションで「手術なしでどこまで出来るか」現実的に提示します
受け口治療で不安が大きくなる原因の一つが、
「結局、自分はどこまで治るのか分からない」
という状態のまま治療が始まってしまうことです。
当院では、
- 精密検査
- 3Dシミュレーション(iTero)


を活用し、
- 手術なしで噛み合わせをどう作れるか
- 歯の移動量に無理はないか
- 横顔に変化が出る可能性があるか
といった点を、できるだけ具体的に可視化して共有します。
「手術なしでここまで」「それ以上を求めるなら別の選択肢もある」
というように、メリット・限界の両方を理解したうえで選択できることが、治療後の納得感につながると考えています。
こちらから当院の受け口の治療例もみていただくことが可能です。
>>受け口 | 東広島市で矯正治療なら|のざき歯科・東広島おとなこども矯正歯科
オンラインで状態を確認して矯正治療のトラブルを回避します
マウスピース矯正、とくに受け口治療では、
- マウスピースがきちんとはまっているか
- ゴムかけが正しく行われているか
といった治療途中の管理が結果を大きく左右します。
当院では、バーチャルケアと言われる週1回のオンラインモニタリングを取り入れ、
- マウスピースのフィット確認
- 治療の遅れやズレの早期発見
- 患者さまの不安や疑問への迅速な対応
を行っています。

「通院回数を減らしながらも、放置しない矯正治療」
を実現することで、治療の質と続けやすさの両立を目指しています。
受け口矯正のよくあるご質問
受け口の矯正は、「手術」「横顔」「装置」「年齢」など、気になる点が多く、疑問を抱えたまま相談に来られる方も少なくありません。
ここでは、カウンセリングで特によくいただく質問を中心に、考え方の整理も含めてお答えします
Q.カリエールを使うと横顔は変わりますか?
カリエールは、上下の噛み合わせの前後関係を改善するための補助装置です。
受け口の場合、噛み合わせが整うことで口元のバランスが変わり、結果的に横顔の印象がやわらぐことはあります。
ただし、カリエール自体が
- 下あごを後ろに下げる
- 骨格を変える
といった装置ではありません。
そのため、「カリエールを使えば横顔が必ず変わる」というものではなく、歯性要因が大きいケースで変化が出やすいと考えておくと現実的です。
Q.「横顔はいいので噛み合わせだけ綺麗にしたい」場合は治療できますか?
はい、問題ありません。
実際には、「見た目よりも噛み合わせや将来の歯の健康を重視したい」という方も多くいらっしゃいます。
その場合は、
- 横顔の変化は追い求めない
- 無理のない範囲で噛み合わせを安定させる
というゴール設定で治療計画を立てます。
「横顔を変えない=治療の質が下がる」わけではありませんので、ご希望は遠慮なくお伝えいただくことが大切です。
Q.中学生や高校生くらいだと横顔が変わりやすいですか?
成長期にある中学生・高校生は、
- あごの成長をコントロールできる可能性がある
- 歯の移動に対する適応が良い
といった点から、大人よりも変化が出やすいケースはあります。
ただし、それでも
- 骨格差の大きさ
- 成長の残り具合
によって個人差は大きく、「必ず横顔が変わる」とは言えません。
早めに相談することで選択肢が広がる、という認識が適切です。
Q.手術なしで難しいと言われた場合、他に選択肢はありますか?
あります。
「手術なしでは難しい」と言われた場合でも、選択肢は一つではありません。
たとえば、
- 機能改善を優先した矯正(横顔の変化は求めない)
- 外科矯正も含めて改めて検討する
- 今は治療せず、経過観察を選ぶ
など、ご本人の価値観に応じた選択が可能です。
重要なのは、「できない」で終わらせるのではなく、何ができて、何ができないのかを理解したうえで決めることです。
Q.ゴムかけが苦手だと治りませんか?
ゴムかけは、受け口治療において非常に重要な役割を持ちます。
正直に言うと、ゴムかけがほとんどできない場合、治療結果に影響が出る可能性は高くなります。
ただし、
- ゴムの種類やかけ方を工夫する
- 使う時間帯を調整する
- モニタリングで早めに修正する
といった対応で、負担を減らすことは可能です。
「苦手だから無理」ではなく、どうすれば続けられるかを一緒に考えることが大切です。
まとめ:手術なしでも噛み合わせを改善する当院の受け口矯正
受け口の矯正を考えるとき、
「手術なしで治せるのか」
「横顔まで変わるのか」
という点に目が向きがちですが、最も大切なのは自分に合った現実的なゴールを設定することです。
受け口は、
- 歯の傾きが主な原因なのか
- 骨格の影響がどれくらいあるのか
によって、治療の選択肢や期待できる変化が大きく異なります。
手術なしの矯正でも、噛み合わせが整うことで生活の質が大きく改善するケースは少なくありません。
当院では、
- 正しい噛み合わせを第一に考える
- 手術なしでどこまで可能かを正直に伝える
- シミュレーションとモニタリングで治療のズレを防ぐ
という姿勢で、受け口矯正に取り組んでいます。
「横顔が変わるかどうか不安」
「手術は避けたいけれど、噛み合わせはきちんと治したい」
そんな方こそ、一度ご相談ください。
カウンセリングを通じて、あなたにとって後悔の少ない受け口矯正の選択肢を一緒に考えていきます。
その判断には、丁寧なカウンセリングと精密な検査と治療計画が欠かせません。
無理のない範囲で、あなたにとって最適な治療計画を一緒に考えていきますので、どうぞ安心してご相談ください。
