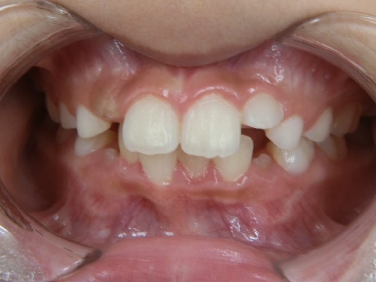
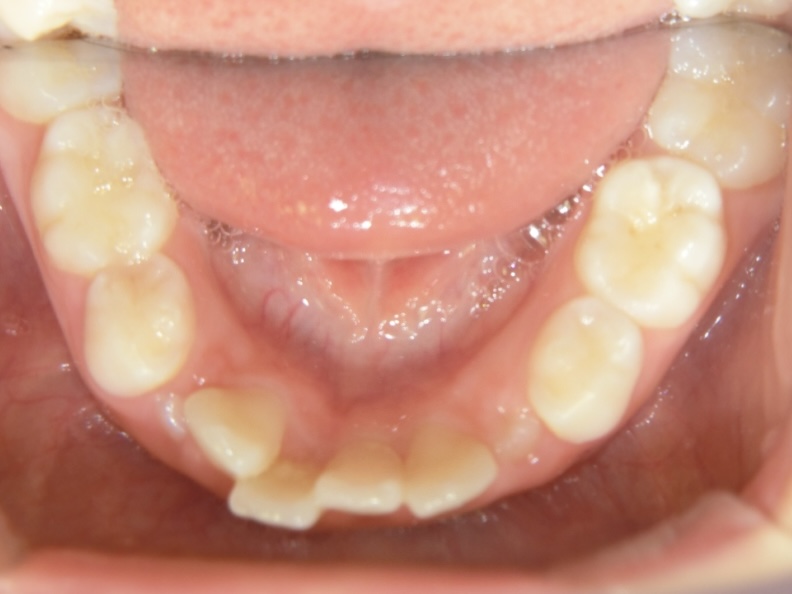
8歳女児 ガタガタが気になる

8歳女の子の症例です。
永久歯の萌出スペースが不足しており、ガタガタの歯並びを気にされてご来院されました。
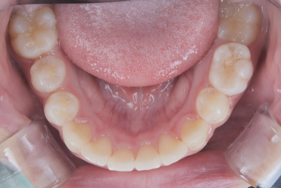
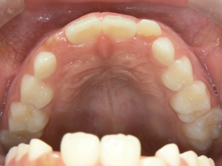
「目立たない装置で治療したい」とのご希望で、子ども用インビザラインで治療を行いました。
1年3ヶ月の治療で、きれいな歯並びへと改善しました。

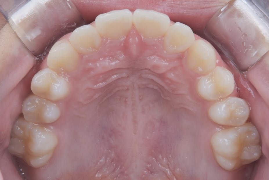
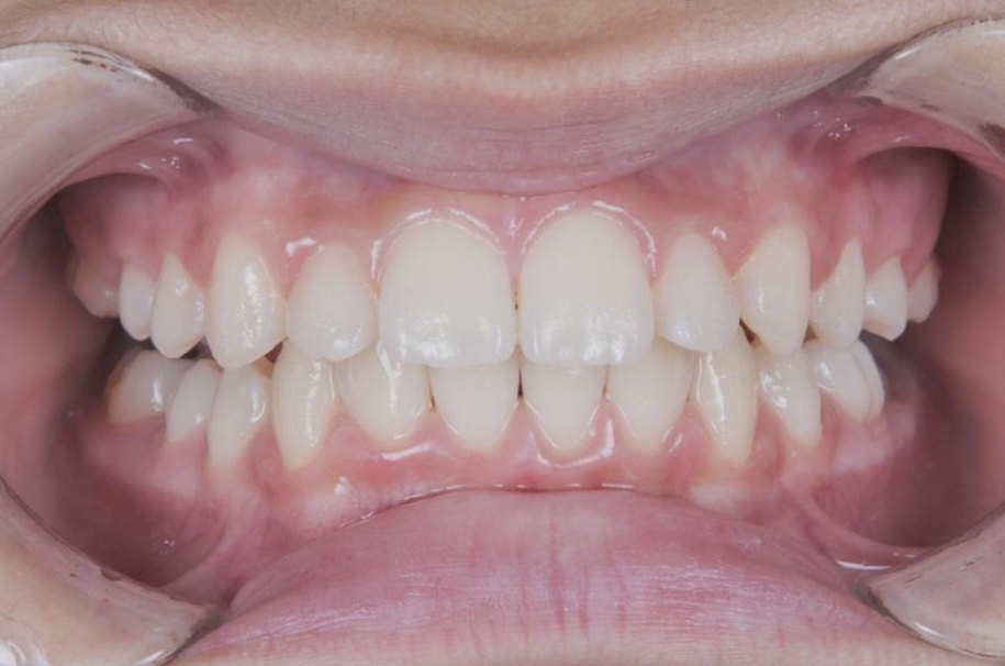
BEFORE AFTER
Before 1
After 1
Before 2
After 2
Before 3
After 3
年齢・性別 8歳女児
主訴 ガタガタした歯並び
施術内容 インビザラインファースト
治療期間 1年3ヶ月
費用 594,000円(税込)
リスク/副作用 全ての方で、疼痛、咬合痛、歯根吸収、歯肉退縮、歯髄壊死が生じる可能性があります。
その他注意点 指定した時間、マウスピースをつけていただけない場合は治療期間が長くなる場合があります。
症例実績一覧へ戻る