8歳男児 噛み合わせが気になる

スタート時8歳の男の子の症例です。
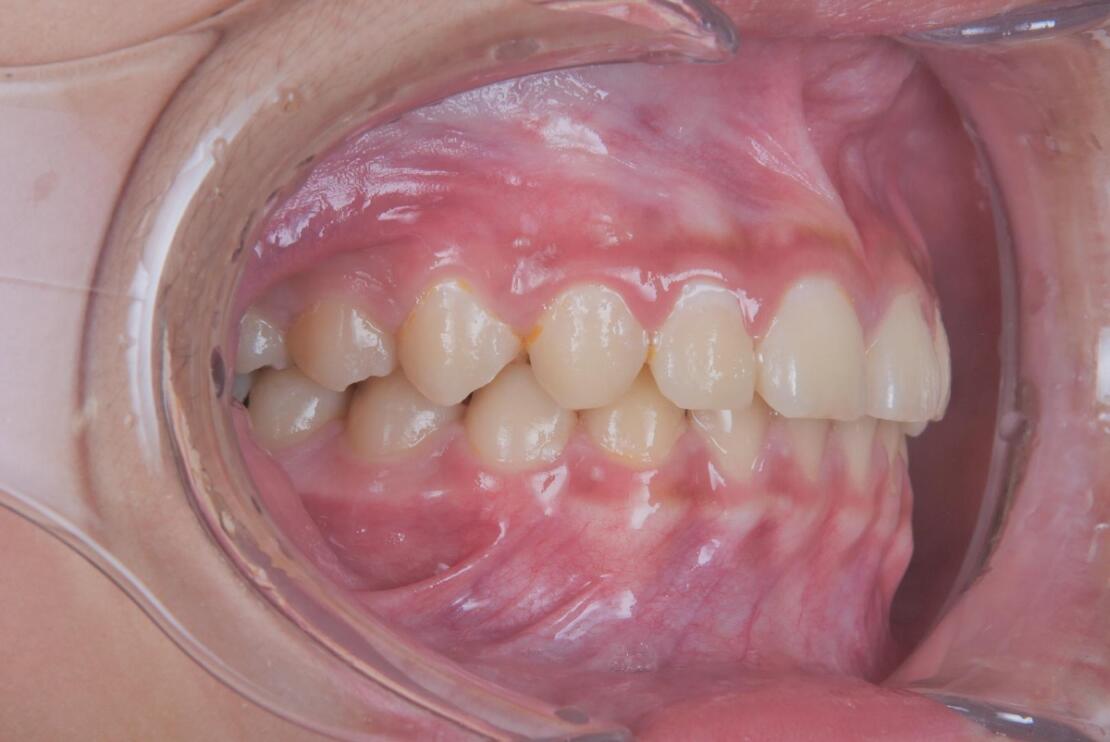
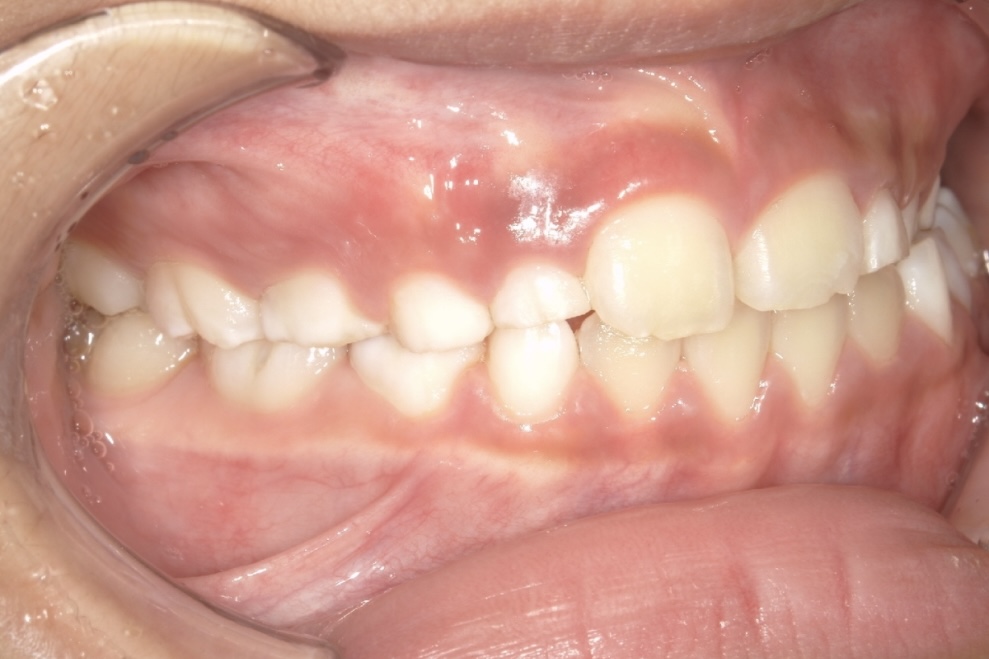
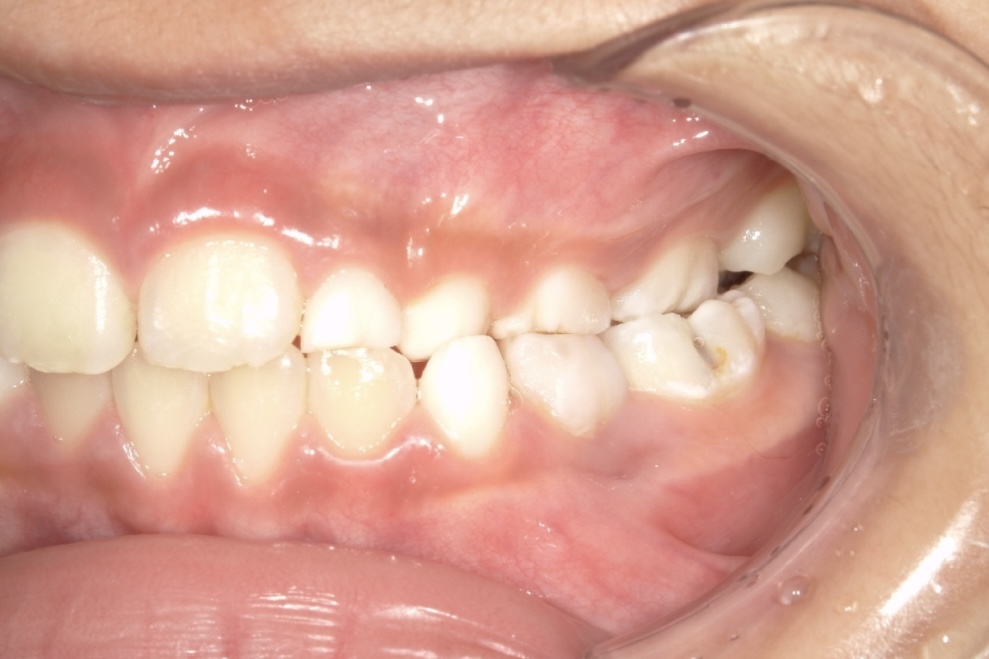
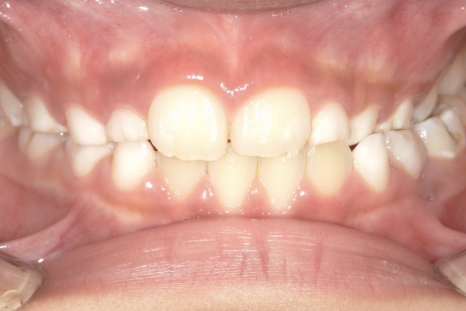
主訴は左側の噛み合わせが悪いことでした。診査の結果、左側で上下の歯が交差している「交叉咬合」の状態が認められ、それに伴い下顎が左側へずれることで、上下の前歯の正中も大きくずれていました。

成長期であることを踏まえ、早期に噛み合わせの改善を行うため、マウスピース矯正インビザライン・ファーストにて矯正治療を行いました。
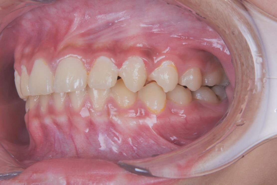
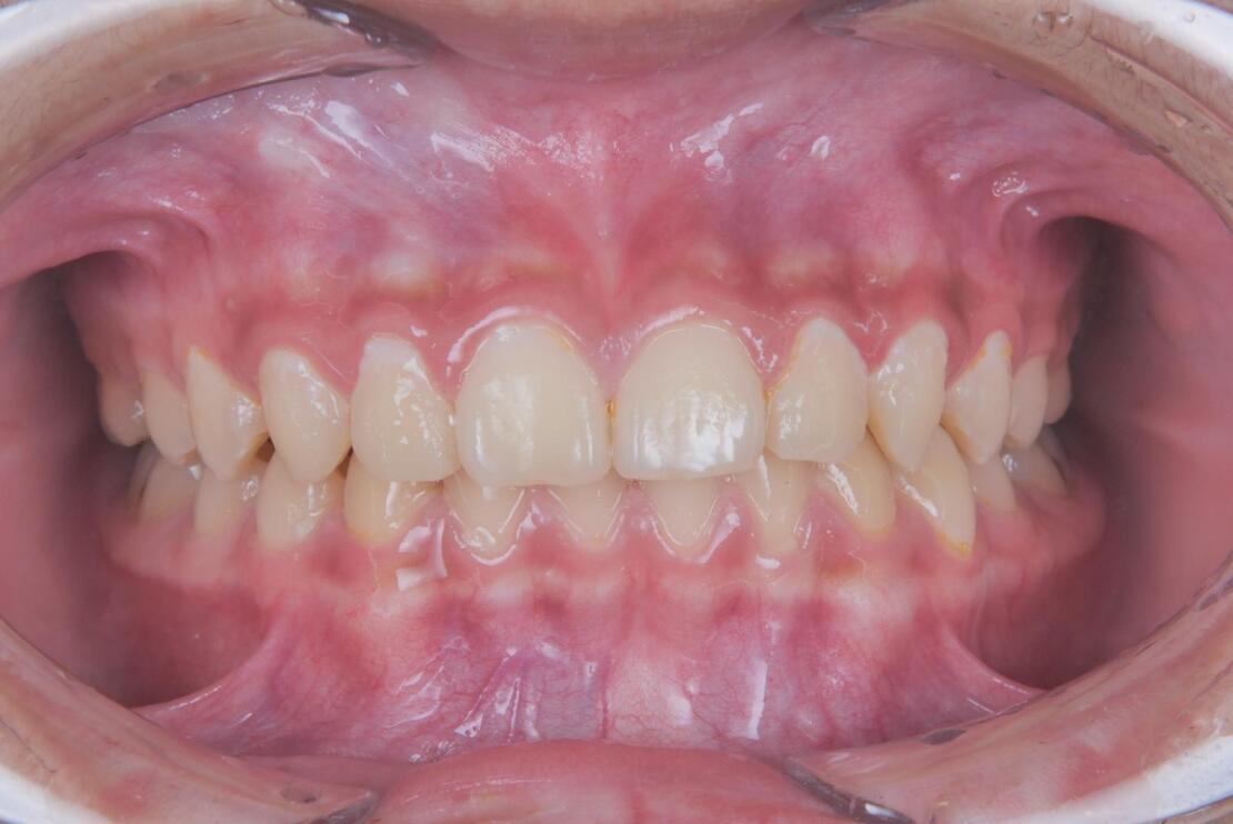
顎の成長をコントロールしながら歯列と噛み合わせを整えることで、交叉咬合は改善し、下顎の偏位と正中のずれも整っています。

治療期間は2年3ヶ月で、見た目だけでなく機能面も安定した噛み合わせへと改善しました。

このケースは、何も介入せずに成長すると下顎のずれがさらに強くなり、将来的に外科的な治療が必要となる可能性もありますが、小児期に適切に介入することで、負担の少ない方法で改善することができました。

BEFORE AFTER
Before 1
After 1
Before 2
After 2
Before 3
After 3
年齢・性別 8歳男児
主訴 左側の噛み合わせが悪い
施術内容 インビザラインファースト
治療期間 2年3ヶ月
費用 594,000円(税込)
リスク/副作用 全ての方で、疼痛、咬合痛、歯根吸収、歯肉退縮、歯髄壊死が生じる可能性があります。
その他注意点 指定した時間、マウスピースをつけていただけない場合は治療期間が長くなる場合があります。
症例実績一覧へ戻る