「歯茎ごと前に出てる気がする…。矯正で口元は引っ込むのかな?」
「外科矯正はなるべく避けて、Eラインまできれいに整えたい…」
歯茎ごと前に出てると感じる口元(口ゴボ)の矯正を考えるとき、「矯正だけでどこまで改善できるのか」「横顔(口元・Eライン)まで変わるのか」は、多くの方が気になるところではないでしょうか。
実際のところ、改善の幅は「歯の傾きが主な原因か」「骨格(歯を支える骨)の影響がどれくらい強いか」「口元を下げるためのスペースをどう作るか」などで大きく変わります。
このページでは、歯茎ごと前に出てる状態の歯列矯正治療について、のざき歯科・東広島おとなこども矯正歯科の副院長・野崎雄介が、できるだけわかりやすく解説します。
当院ではマウスピース矯正(インビザライン)で抜歯を伴う全顎矯正まで対応できる体制を整えています。初回カウンセリングでは無料で矯正前後の歯並びシミュレーションまで実施しておりますので、ぜひお気軽にご相談ください。
歯茎ごと前に出てる状態(口ゴボ)とは
「歯茎ごと前に出ている気がする」と感じる場合、単なる出っ歯とは異なり、歯だけでなく“歯を支える骨や歯茎ごと前方に位置している状態”である可能性があります。いわゆる「口ゴボ」と呼ばれる状態です。
正面から見るとそこまで気にならなくても、横顔になると口元が前に出て見える、Eライン(鼻先と顎を結んだライン)より唇が大きく前にある――このような特徴が見られます。

さらに、無意識に口が開いてしまう、唇を閉じると顎に梅干しのようなシワが寄るといった症状もよくあります。
ただし、「歯が原因なのか」「骨格が原因なのか」によって治療方針は大きく変わります。
矯正だけで改善できるケースもあれば、外科的なアプローチを検討するケースもあります。
まずは、口ゴボでよく見られるお悩みや、似た症状との違いから整理していきましょう。
歯茎ごと前に出てるケースでよくあるお悩み
歯茎ごと前に出ている、いわゆる口ゴボの状態では、見た目だけでなく日常生活の中でもさまざまな違和感が生じます。
まず多いのが「唇が自然に閉じにくい」というお悩みです。力を抜くと口がぽかんと開いてしまい、閉じようとすると顎に梅干しのようなシワが寄る――これは口元が前に位置しているサインの一つです。

無意識のうちに口呼吸になりやすく、乾燥や虫歯・歯周病のリスクが高まることもあります。
次に多いのが「横顔で口元が前に出て見える」というコンプレックスです。たとえば写真を横から撮られたとき、「思っていたより口元が出ている」と感じた経験はありませんか?Eラインより唇が大きく前にある場合、全体のバランスが気になりやすくなります。

さらに「笑うと歯茎が目立つ」というお悩みもよくあります。いわゆるガミースマイルを伴うケースでは、歯の長さよりも歯茎の露出が強調され、口元全体が前に張り出して見えることがあります。

このように、口ゴボは
- 唇の閉じにくさ
- 横顔のバランス
- 笑ったときの歯茎の見え方
といった複数の要素が重なって感じられることが多いのです。
では次に、「口ゴボ」とよく混同されやすい「出っ歯」や「ガミースマイル」との違いについて整理していきましょう。
口ゴボ・出っ歯・ガミースマイルの違いについて
「口ゴボ」「出っ歯」「ガミースマイル」は、似ているようで原因や特徴が異なります。ただし、実際の臨床ではこれらが単独で起こるとは限らず、複数が重なっているケースも少なくありません。
まず出っ歯(上顎前突)は、主に「上の前歯が前方に傾いている状態」を指します。
歯の傾きが原因で口元が前に出て見えるため、歯列矯正で改善しやすいケースが多いのが特徴です。

一方で口ゴボは、歯だけでなく「歯を支える歯槽骨ごと前方に位置している状態」です。歯並びが比較的整っていても、口元全体が前に張り出して見えることがあります。横顔でEラインから唇が大きく出るのも特徴です。


そしてガミースマイルは、「笑ったときに歯茎が大きく露出する状態」です。原因は歯の長さ、上唇の動き、上顎の骨格などさまざまです。口ゴボを伴う場合もあれば、歯の位置とは関係なく生じることもあります。
たとえば、
- 歯が前に傾いている(出っ歯)
- 歯槽骨ごと前に出ている(口ゴボ)
- 笑うと歯茎が見える(ガミースマイル)
これらが同時に起こっているケースもあります。
そのため、「私はどれなんだろう?」と自己判断するのは難しいのが実情です。
正確な診断には、口元の写真、レントゲン、噛み合わせ分析などを総合的に確認する必要があります。
では次に、「歯並びは良いのに口ゴボになるケース」について解説していきます。
歯並びは良いのに口ゴボになるケースもある
「歯並びはきれいと言われるのに、なぜか口元だけが前に出て見える…」
実はこのようなケースも少なくありません。
一般的に“歯並びが良い=口元も整っている”と思われがちですが、口ゴボは歯のガタつきだけが原因ではないからです。
たとえば、前歯がわずかに外側へ傾いているだけでも、横顔では唇が前に押し出されて見えることがあります。
歯列自体は整っていても、歯の角度(トルク)が強い場合、口元の突出感が出やすくなります。
また、歯を支える骨(歯槽骨)の厚みや位置関係によって、歯並びが整っていても口元全体が前方にあるケースもあります。この場合、「見た目はきれいな歯並び」でも、Eラインとのバランスが崩れていることがあります。
さらに、上下の顎の位置関係が微妙にずれていることで、相対的に口元が出て見えることもあります。
正面では問題がなくても、横顔で初めて違和感に気づく方も多いです。
つまり、
- 歯並びの乱れ
- 歯の傾き
- 骨格の位置関係
これらは必ずしも一致しません。
そのため、「歯並びは悪くないから矯正は必要ない」と決めつけてしまうのは早計です。口元の印象を変えたい場合は、歯並びだけでなく“顔貌全体のバランス”を分析することが重要になります。
次は、歯茎ごと前に出ている原因について、より詳しく整理していきましょう。
歯茎ごと前に出ている原因|歯茎・骨格・歯列について
「歯茎ごと前に出ている」と感じる場合、その原因はひとつではありません。
大きく分けると、
- 歯の傾きや歯列の問題
- 上顎・下顎の骨格の問題
- 歯茎(歯槽骨)の形態的な問題
など、複数の要素が関係しています。
たとえば、「前歯が外側に傾いているだけ」のケースと、「上顎の骨そのものが前に出ている」ケースでは、治療方法も口元の下がり方も大きく変わります。同じ“口ゴボに見える状態”でも、改善のアプローチはまったく異なるのです。
また、歯列と骨格の両方が影響しているケースも少なくありません。そのため、「矯正だけでどこまで下がるのか」を正確に判断するには、セファロ分析(横顔のレントゲン)や噛み合わせの評価が欠かせません。
ここからは、代表的な原因をひとつずつ具体的に解説していきます。
歯の傾きなど歯列が主な原因になっているケース
比較的改善しやすいのが、「歯の傾き」や「歯列の並び方」が主な原因になっているケースです。
たとえば、前歯が外側に強く傾いている場合、本来あるべき位置よりも唇を前に押し出してしまいます。歯そのものが前方へ倒れているだけでも、横顔では口元が大きく突出して見えることがあります。また、歯が並ぶスペースが不足していると、歯列全体が前へ押し出されるように並び、結果として“歯茎ごと出ている”ように見えることもあります。
このタイプは、歯の角度をコントロールし、適切なスペースを確保できれば、矯正治療だけで口元の改善が期待しやすいケースです。特に抜歯矯正を行い、前歯を後方へ移動させることで、唇の位置が下がり、Eラインとのバランスが整う可能性があります。
具体的には、前歯を数ミリ後退させるだけでも、横顔の印象は大きく変わります。「思っていた以上に口元が引っ込んだ」と感じられる患者様も少なくありません。
このように、歯列が主な原因の場合は、外科手術を行わずに矯正単独で改善できる可能性が高いのが特徴です。
次は、骨格が原因となっているケースについて解説します。
上顎が前に出ているなど、骨格が原因のケース
歯の傾きではなく、「上顎の骨そのものが前方に位置している」ケースもあります。いわゆる上顎前突の骨格タイプです。
この場合、歯だけを後ろへ動かしても、口元全体の突出感を大きく改善するには限界があります。なぜなら、歯を支えている土台(上顎骨)が前にあるため、歯の移動量だけでは理想のEラインまで届かないことがあるからです。
たとえば、
- 横顔で鼻と顎を結んだラインより唇が大きく前にある
- 前歯の角度はそれほど悪くないのに口元が出て見える
- 笑ったときに上顎の歯茎が大きく見える
こうした特徴がある場合、骨格的な要素が関係している可能性があります。
このタイプでは、
- 矯正単独でどこまで下げられるか
- 外科矯正を併用することで理想の顔貌に近づけるか
を慎重に判断する必要があります。
外科矯正とは、顎の骨の位置を外科的に移動させたうえで歯列矯正を行う治療です。確実に口元を後退させられる反面、手術が必要になるため、身体的・心理的ハードルが高いのも事実です。
当院では、初診の無料カウンセリング時に、口元の写真やセファロ分析を行い、「矯正単独でどの程度まで改善可能か」「理想を目指すなら外科併用が必要か」を丁寧にご説明します。
無理に外科を勧めることはありません。まずは、矯正だけで目標にどこまで近づけるのかを、現実的に共有することを大切にしています。
次は、「下顎が後退していることで口元が前に見えるケース」について解説します。
下顎が後退しており相対的に上顎が出て見えるケース
口元が前に出て見える原因は、必ずしも「上顎が前にある」からとは限りません。実は、下顎が後ろに下がっていることで、相対的に上顎が突出して見えるケースもあります。

このタイプでは、横顔で顎先が小さく見えたり、フェイスラインが後方に位置していたりするのが特徴です。その結果、実際には上顎が極端に前に出ていなくても、口元全体が強調されて見えてしまいます。
たとえば、
- 顎が小さい、または後ろに引っ込んでいる
- 横顔で下顎のラインがはっきりしない
- 口を閉じると下顎に力が入る
こうした特徴がある場合、下顎の位置関係が影響している可能性があります。
このケースでも判断が重要になります。
矯正単独で噛み合わせを整え、口元の印象をある程度改善できることもあります。しかし、理想の横顔バランスを追求する場合には、外科的に下顎の位置を前方へ移動させる治療を検討することもあります。
当院では、初診時に横顔の分析(セファロ)を行い、
- 矯正だけでバランスを整えられるか
- 外科併用が必要か
- どこまでを目標にするか
を具体的に数値でご説明します。



大切なのは、「医学的に可能かどうか」と「患者様が目指したいゴール」が一致しているかどうかです。無理のない範囲で、現実的な改善ラインを共有することが、満足度の高い矯正治療につながります。
次は、歯列や骨格に明確な前突がないのに歯茎が隆起しているケースについて解説します。
歯列も骨格も前突していないが歯茎が隆起しているケース
まれに、歯列や骨格に大きな前突がないにもかかわらず、「歯茎が出ているように見える」ケースがあります。
これは、歯を支える骨(歯槽骨)の一部が局所的に隆起している、いわゆる骨隆起などが原因となっている場合です。歯の位置や顎のバランスには大きな問題がないため、見た目の印象として「口ゴボっぽい」と感じるものの、典型的な出っ歯や骨格性上顎前突とは異なります。
たとえば、
- 前歯の歯茎のあたりだけがふくらんで見える
- 歯並びは整っている
- 横顔のバランスはそこまで悪くない
このような特徴がある場合は、歯列矯正で大きく口元が下がるタイプではない可能性があります。
このケースでは、まず「矯正でどの程度見た目が変わるのか」を丁寧に検討します。歯の角度調整だけで印象が改善する場合もありますが、骨の形態そのものが原因であれば、矯正単独で劇的な変化は期待しにくいこともあります。
そのうえで、もし患者様がより改善を希望される場合には、口腔外科的な処置を専門とする医療機関をご紹介することも可能です。
大切なのは、「できること」と「できないこと」を正直にお伝えすることです。無理に矯正治療へ進めるのではなく、医学的に適切な選択肢を一緒に整理し、その方にとって最善の方法を考えることを重視しています。
次は、「歯茎ごと前に突出している口ゴボは矯正だけで治療できるのか?」という、多くの方が最も気になるテーマについて解説していきます。
歯茎ごと前に突出している口ゴボは矯正だけで治療できる?
「結局のところ、矯正だけで口元は引っ込むの?」
これは、初診カウンセリングで最も多くいただくご質問です。
結論から言うと、矯正だけで改善できるかどうかは、検査結果によります。
歯の傾きが主な原因なのか、骨格の影響がどれくらいあるのか、どの程度の後退量を希望されているのか――これらによって、治療の選択肢は変わります。
たとえば、
- 「今より少し引っ込めたい」という希望なのか
- 「Eラインまでしっかり整えたい」のか
目標設定によっても必要なアプローチは異なります。
そのため当院では、見た目の印象だけで判断せず、写真・レントゲン・歯列データをもとに総合的に診断します。そのうえで、
- 矯正単独で可能か
- 外科矯正の併用が必要か
- どの程度まで改善が見込めるか
を具体的にご説明します。
ここからは、実際に初診カウンセリングで確認しているポイントについて詳しく解説します。
初診カウンセリングで確認するポイント
口ゴボが矯正だけで改善できるかどうかを判断するためには、「見た目の印象」だけでは不十分です。当院では、客観的なデータに基づいて総合的に診断します。
具体的には、次のようなポイントを確認します。
① 口元・横顔の写真分析
まず、正面・側面の顔貌写真を撮影し、Eラインとの位置関係を確認します。
唇の突出量、口を閉じたときの筋肉の緊張、笑ったときの歯茎の見え方などを細かく分析します。



② セファロ(横顔レントゲン)分析
骨格的な問題があるかどうかを数値で評価します。
上顎・下顎の前後関係、前歯の傾斜角度、口元の軟組織のバランスなどを客観的に確認することで、「歯が原因なのか」「骨格が原因なのか」を明確にします。

③ 歯列・噛み合わせデータの取得
口腔内スキャナーで歯型データを取得し、スペースの有無や前歯をどの程度後退させられるかをシミュレーションします。
単に“下げたい”という希望だけでなく、実際に動かせる範囲を具体的に検討します。

④ 患者様のゴール設定
「どこまで改善したいか」は人それぞれです。
少し自然に整えば十分なのか、横顔を大きく変えたいのかによって、治療方針は変わります。
当院では、3Dシミュレーションを用いて「矯正単独でここまで変わる」というイメージを事前に共有します。そのうえで、治療を進めるかどうかを患者様ご自身に決めていただきます。
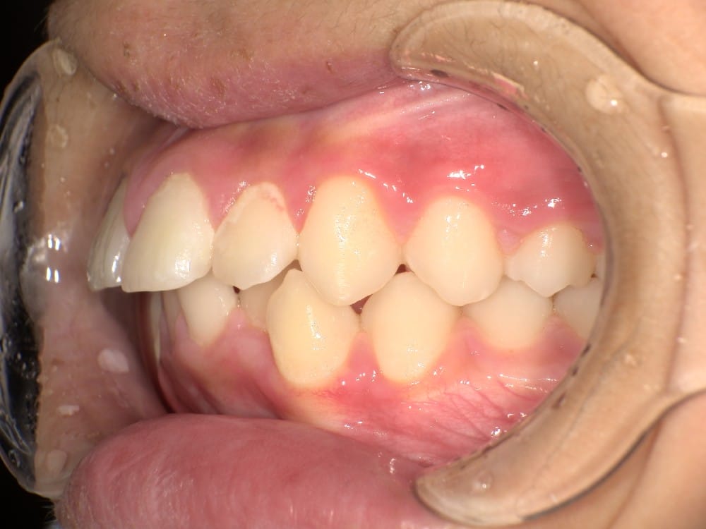
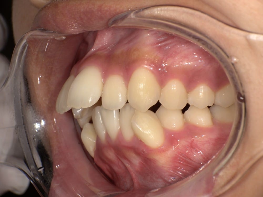
実際の治療前後の写真


次は、「矯正だけで改善しやすいケース」について具体的に解説します。
矯正だけで改善しやすいケースについて
歯茎ごと前に出ているように見えても、実は矯正単独で改善しやすいケースは少なくありません。
特に多いのは、「歯の傾き」や「歯列の前方突出」が主な原因となっているタイプです。
たとえば、
- 前歯が外側に倒れている
- 歯が並ぶスペースが不足し、全体的に前へ押し出されている
- 上下ともに前歯の角度が強く、唇を前に押している
こうしたケースでは、抜歯によってスペースを確保し、前歯を後方へ移動させることで、口元の印象が大きく改善する可能性があります。
before



after



前歯を数ミリ後退させるだけでも、唇の位置は明確に変わります。
横顔ではEラインとの距離が縮まり、「横顔がすっきりした」「口が自然に閉じられるようになった」と感じられる方が多いです。
また、歯の角度を適切にコントロールすることで、歯茎ごと前に出ているように見えていた印象が改善するケースもあります。歯列が原因であれば、外科手術を行わずに目標に近づける可能性が高いのです。
ただし注意が必要なのは、「どこまで下げたいか」によっては限界があるという点です。医学的に安全な範囲を超えて無理に後退させることはできません。
そのため当院では、
- 理論上どこまで下げられるか
- 現実的に自然な仕上がりはどこか
を事前にシミュレーションで確認します。
矯正だけで口元が改善しにくい場合の外科矯正について
一方で、骨格的な前突が強い場合は、矯正単独での改善には限界があります。
具体的には、
- 上顎骨そのものが前に出ている
- 下顎が大きく後退している
- Eラインからの突出量が大きい
こうしたケースでは、歯だけを動かしても理想的な横顔バランスに届かないことがあります。
この場合に検討されるのが外科矯正です。
顎の骨の位置を外科的に移動させ、その後に歯列矯正で噛み合わせを整える治療です。
確実に口元を後退させられるメリットがありますが、
- 入院や全身麻酔が必要
- ダウンタイムがある
- 身体的負担がある
といった点も理解しておく必要があります。
当院では、まず矯正単独でどこまで改善できるかを最大限検討します。そのうえで、外科併用が現実的に必要な場合は、信頼できる専門医療機関と連携し、トータルでサポートします。
大切なのは、「理想」と「医学的な安全性」のバランスです。無理な治療は行いません。
仕上がりのイメージを共有し、治療を進めるかを決める
口ゴボ矯正で後悔しないために最も重要なのは、「どこまで変わるのか」を治療前に共有することです。
「思っていたより下がらなかった」
「ここまで変わるとは思わなかった」
こうしたギャップを防ぐため、当院では治療開始前に3Dシミュレーションを行い、歯並びだけでなく口元の変化イメージまで確認していただきます。
具体的には、
- 前歯が何ミリ後退するのか
- 横顔の唇の位置がどの程度変化するのか
- Eラインとの関係はどう変わるのか
を視覚的に確認します。


特に口ゴボの場合、「歯並びを整える」ことよりも「横顔をどうしたいか」がゴールになることが多いため、ゴール設定の共有は欠かせません。
また、
- 矯正単独でここまで改善可能
- 理想を追求するなら外科併用が必要
といった選択肢も、メリット・デメリットを含めて率直にお伝えします。
大切なのは、医師が決めるのではなく、患者様が納得して選択することです。
無料カウンセリングでは、
「まずはシミュレーションだけ見てみたい」という方も歓迎しています。
治療を無理に勧めることはありません。
次は、実際にどのような方法で歯茎ごと前に出ている口ゴボを改善していくのか、具体的な矯正方法について解説します
歯茎ごと前に出てる口ゴボの矯正方法
歯茎ごと前に出ている口ゴボを改善するためには、「前歯をどれだけ後方へ移動できるか」が重要なポイントになります。
単に歯を整えるだけではなく、口元全体の突出感をどうコントロールするかが治療の本質です。そのためには、十分なスペースを確保し、歯の角度と位置を精密に調整する必要があります。
多くのケースでは、ある程度しっかりと前歯を下げる必要があるため、抜歯矯正が選択肢になります。一方で、「できれば抜歯は避けたい」というご希望も少なくありません。
ここでは、実際にどのような方法で口ゴボを改善していくのかを具体的に解説していきます。
基本的には抜歯矯正が選択肢となる
歯茎ごと前に出ている場合、前歯を後退させるための“スペース”が必要です。歯は骨の中を移動するため、空間がなければ十分に下げることができません。
そのため、口元をしっかり改善したい場合は、小臼歯(前から4番目または5番目の歯)を抜歯してスペースを作る方法が一般的です。
抜歯と聞くと不安に感じる方も多いですが、目的は「歯を減らすこと」ではなく、「口元のバランスを整えること」です。適切にコントロールすれば、横顔の印象は大きく変わります。
どの歯を抜くことが多い?
一般的には、上下左右の第一小臼歯(4番目の歯)を抜歯するケースが多いです。
これは、前歯を効率よく後退させやすく、噛み合わせのバランスも整えやすいためです。
ただし、噛み合わせや骨格によっては、第二小臼歯(5番目)を選択する場合もあります。診断によって最適な部位を決定します。
抜歯後に隙間は残らない?矯正中に目立つ?
矯正治療では、抜歯スペースを利用して前歯を後方へ移動させるため、最終的に隙間は閉じます。治療後に空間が残ることはありません。
矯正中は一時的に隙間が見える期間がありますが、マウスピース矯正の場合はワイヤーよりも目立ちにくいのが特徴です。必要に応じて目立ちにくい工夫も可能です。


抜歯したくない場合の代替案について
抜歯せずに歯を後退させるのは難しく、以下の方法を複数併用することも多い。
「できれば歯は抜きたくない」
これは多くの患者様が抱く率直なお気持ちです。
ただし、歯茎ごと前に出ている口ゴボのケースでは、十分に口元を下げるためのスペース確保が必要になります。抜歯を行わない場合、そのスペースを別の方法で作らなければなりません。
しかし現実的には、抜歯と同等レベルの後退量を“完全に非抜歯で実現する”のは難しいことが多いです。そのため、複数の方法を組み合わせながら、どこまで改善できるかを検討します。
ここでは代表的な方法をご紹介します。
奥歯を後ろへ動かしてスペースを作る方法
奥歯全体を後方へ移動させることで、前歯を下げるためのスペースを確保する方法です。
マウスピース矯正では、この“遠心移動”が比較的得意です。ただし、
- 骨の厚み
- 親知らずの有無
- 動かせる限界距離
によって可能な範囲が決まります。
大きく口元を下げたいケースでは、十分なスペースを確保できないこともあります。
歯を少し削ってスペースを作る方法
歯と歯の間を0.2〜0.5mm程度わずかに削り、合計で数ミリのスペースを作る方法です。
「歯を削る」と聞くと心配になるかもしれませんが、エナメル質の範囲内で安全に行います。虫歯になるリスクが高まることは基本的にありません。
ただし、作れるスペースは限られているため、軽度の口元突出向けの方法です。
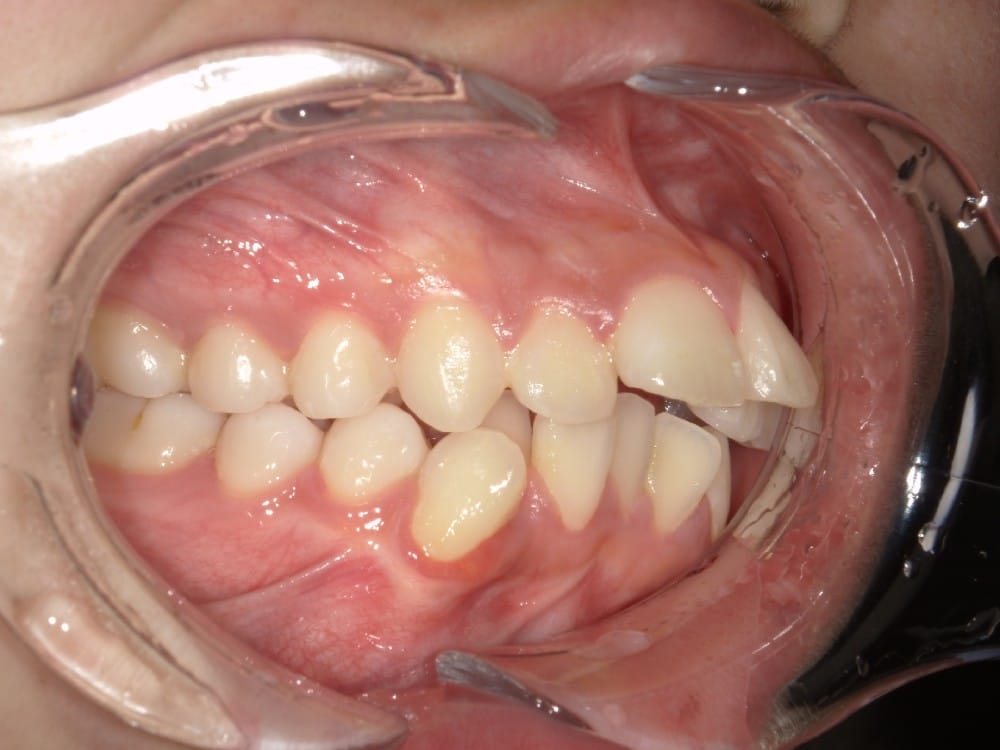
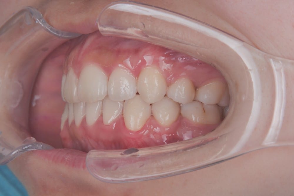
治療前後比較


歯列を横に広げる方法
歯列の幅を広げることで、前歯の前方突出を緩和する方法です。
特に成長期のお子様には有効ですが、大人の場合は骨が硬いため、拡大量には限界があります。広げすぎると歯肉退縮のリスクもあるため、慎重な判断が必要です。


アンカースクリューを使用してより大きく歯を動かす方法
歯茎に小さなチタン製のネジ(アンカースクリュー)を一時的に固定し、そこを支点に前歯を効率よく後退させる方法です。
これにより、
- 奥歯が前に引っ張られにくい
- 前歯を集中的に後退させられる
といったメリットがあります。
非抜歯でもある程度の改善は可能になりますが、やはり“劇的な口元の後退”を求める場合は抜歯矯正のほうが有利になることが多いです。
大切なのは、
「抜歯をする・しない」ではなく、
「どこまで口元を下げたいのか」です。
目標と医学的に可能な範囲を照らし合わせたうえで、最適な方法を一緒に決めていきます。
次は、歯茎ごと前に出ている口ゴボの矯正期間や通院頻度について解説します。
歯茎ごと前に出てるケースの矯正期間と通院頻度
歯茎ごと前に出ている口ゴボのケースでは3年程度の通院が必要
「どのくらいで口元は引っ込みますか?」
これも非常に多いご質問です。
歯茎ごと前に出ている口ゴボのケースでは、おおよそ3年程度の通院が必要になることが多いです。
特に抜歯を伴う全顎矯正の場合、
- 抜歯スペースの閉鎖
- 前歯の後退
- 噛み合わせの調整
といった工程を丁寧に進める必要があります。
ただし、これはあくまで目安です。歯の動きや骨の状態、目標とする後退量によって前後します。
見た目の変化は半年〜1年程度から生じる
「3年もかかるの?」と不安になる方もいらっしゃいますが、実際には見た目の変化は比較的早い段階から感じられます。
特に前歯の角度が改善し始める半年〜1年頃には、
- 口が閉じやすくなった
- 横顔が少しすっきりした
- 写真写りが変わった
と実感される患者様が多いです。
口を閉じている状態の変化は比較的早く出るため、半年ほどで大きな満足感を得られるケースも少なくありません。



通院頻度や回数を減らすための当院の取り組み
当院では、できるだけ通院負担を減らせる体制を整えています。
- マウスピース矯正による効率的な歯の移動
- 遠隔モニタリングシステムによる経過チェック
- 治療計画を綿密に立て、無駄な調整を減らす

これにより、通院間隔を通常より長めに設定できるケースもあります。
特にお仕事や子育てで忙しい方、遠方から通院される方にとっては、大きなメリットになります。
治療期間は“長いようで短い”と感じる方が多いです。大切なのは、将来の横顔バランスや噛み合わせを長期的に安定させることです。
次は最後に、この記事のまとめとして、無料カウンセリングのご案内をお伝えします。
まとめ:無料カウンセリング・精密検査後の説明で顔貌のシミュレーションまで行います
「歯茎ごと前に出ている気がする」
「矯正で横顔は本当に変わるの?」
口ゴボのお悩みは、見た目の問題だけでなく、自信や表情にも影響する繊細なテーマです。
本記事でお伝えしたように、
歯茎ごと前に出ている原因は
- 歯の傾き(歯列の問題)
- 上顎や下顎の骨格の問題
- 歯茎(歯槽骨)の形態
などさまざまです。
そのため、「矯正だけで治るのか?」という問いに対する答えは、検査をしてみなければ正確には分かりません。
しかし、歯列が主な原因であれば、抜歯矯正によって前歯を後退させ、横顔の印象を大きく改善できる可能性があります。一方で、骨格の影響が強い場合は、外科矯正を含めた選択肢を整理する必要があります。
大切なのは、
✔ どこまで下げたいのか
✔ 矯正単独でどこまで可能なのか
✔ 理想と現実のバランスはどこか
を事前に明確にすることです。
当院では、精密検査後のカウンセリング時に
- 口元と横顔の分析
- セファロによる骨格診断
- 3Dシミュレーションによる仕上がり予測
を行い、「矯正だけでここまで変わる」という具体的なイメージを共有します。
before




実際の治療計画
治療前に想定した治療前後の横顔のイメージ
実際の治療前後の写真


治療を無理に勧めることはありません。
まずはシミュレーションで、ご自身の可能性を知るところから始めてみませんか。
口元が変わると、横顔の印象だけでなく、自然な笑顔や自信にもつながります。
将来のご自身のために、まずはお気軽にご相談ください。
